JavaScript is disabled in your browser. Please enable JavaScript to view this website.
AB155083

Anti-CPS1 antibody [EPR7493-29]

Be the first to review this product! Submit a review

|

(1 Publication)

Rabbit Recombinant Monoclonal CPS1 antibody. Suitable for IHC-P, WB and reacts with Human, Rat samples. Cited in 1 publication.

View Alternative Names

Carbamoyl-phosphate synthetase I, CPSase I, CPS1

4 Images
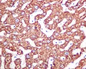
Immunohistochemistry (Formalin/PFA-fixed paraffin-embedded sections) - Anti-CPS1 antibody [EPR7493-29] (AB155083)
  • IHC-P

Unknown

Immunohistochemistry (Formalin/PFA-fixed paraffin-embedded sections) - Anti-CPS1 antibody [EPR7493-29] (AB155083)

Immunohistochemical analysis of paraffin-embedded Human liver tissue, labeling CPS1 with ab155083 at 1/250 dilution.

Perform heat mediated antigen retrieval before commencing with IHC staining protocol.

Western blot - Anti-CPS1 antibody [EPR7493-29] (AB155083)
  • WB

Unknown

Western blot - Anti-CPS1 antibody [EPR7493-29] (AB155083)

Lanes 1-3 : Merged signal (red and green). Green - ab155083 observed at 165 kDa. Red - loading control, ab8245 observed at 37 kDa.

ab155083 Anti-CPS1 antibody [EPR7493-29] was shown to specifically react with CPS1 in wild-type HeLa cells. Loss of signal was observed when knockout cell line ab261809 (knockout cell lysate ab257121) was used. Wild-type and CPS1 knockout samples were subjected to SDS-PAGE. ab155083 and Anti-GAPDH antibody [6C5] - Loading Control (ab8245) were incubated overnight at 4°C at 1 in 1000 dilution and 1 in 20000 dilution respectively. Blots were developed with Goat anti-Rabbit IgG H&L (IRDye® 800CW) preadsorbed (ab216773) and Goat anti-Mouse IgG H&L (IRDye® 680RD) preadsorbed (ab216776) secondary antibodies at 1 in 10000 dilution for 1 hour at room temperature before imaging.

All lanes:

Western blot - Anti-CPS1 antibody [EPR7493-29] (ab155083) at 1/1000 dilution

Lane 1:

Wild-type HeLa cell lysate at 20 µg

Lane 2:

CPS1 knockout HeLa cell lysate at 20 µg

Lane 3:

Human liver tissue lysate at 20 µg

Predicted band size: 165 kDa

Observed band size: 165 kDa

false

Western blot - Anti-CPS1 antibody [EPR7493-29] (AB155083)
  • WB

Lab

Western blot - Anti-CPS1 antibody [EPR7493-29] (AB155083)

Lanes 1-3 : Merged signal (red and green). Green - ab155083 observed at 165 kDa. Red - loading control, ab8245 observed at 37 kDa.

ab155083 Anti-CPS1 antibody [EPR7493-29] was shown to specifically react with CPS1 in wild-type HeLa cells. Loss of signal was observed when knockout cell line ab261809 (knockout cell lysate ab257121) was used. Wild-type and CPS1 knockout samples were subjected to SDS-PAGE. ab155083 and Anti-GAPDH antibody [6C5] - Loading Control (ab8245) were incubated overnight at 4°C at 1 in 1000 dilution and 1 in 20000 dilution respectively. Blots were developed with Goat anti-Rabbit IgG H&L (IRDye® 800CW) preadsorbed (ab216773) and Goat anti-Mouse IgG H&L (IRDye® 680RD) preadsorbed (ab216776) secondary antibodies at 1 in 10000 dilution for 1 hour at room temperature before imaging.

All lanes:

Western blot - Anti-CPS1 antibody [EPR7493-29] (ab155083) at 1/1000 dilution

Lane 1:

Wild-type HeLa cell lysate at 20 µg

Lane 2:

CPS1 knockout HeLa cell lysate at 20 µg

Lane 2:

Western blot - Human CPS1 knockout HeLa cell line (<a href='/en-us/products/cell-lines/human-cps1-knockout-hela-cell-line-ab261809'>ab261809</a>)

Lane 3:

Human liver tissue lysate at 20 µg

Predicted band size: 165 kDa

Observed band size: 165 kDa

false

Western blot - Anti-CPS1 antibody [EPR7493-29] (AB155083)
  • WB

Unknown

Western blot - Anti-CPS1 antibody [EPR7493-29] (AB155083)

All lanes:

Western blot - Anti-CPS1 antibody [EPR7493-29] (ab155083) at 1/1000 dilution

Lane 1:

HeLa cell lysate at 10 µg

Lane 2:

Human fetal liver lysate at 10 µg

Lane 3:

Rat liver lysate at 10 µg

Secondary

All lanes:

Goat anti-rabbit HRP at 1/2000 dilution

Predicted band size: 165 kDa

false

  • Carrier free

    Anti-CPS1 antibody [EPR7493-29] - BSA and Azide free

Key facts

Host species

Rabbit

Clonality

Monoclonal

Clone number

EPR7493-29

Isotype

IgG

Carrier free

No

Reacts with

Rat, Human

Applications

IHC-P, WB

applications

Immunogen

The exact immunogen used to generate this antibody is proprietary information.

Reactivity data

{ "title": "Reactivity Data", "filters": { "stats": ["", "Species", "Dilution Info", "Notes"], "tabs": { "all-applications": {"fullname" : "All Applications", "shortname": "All Applications"}, "IHCP" : {"fullname" : "Immunohistochemistry (Formalin/PFA-fixed paraffin-embedded sections)", "shortname":"IHC-P"}, "FlowCyt" : {"fullname" : "Flow Cytometry", "shortname":"Flow Cyt"}, "WB" : {"fullname" : "Western blot", "shortname":"WB"}, "ICCIF" : {"fullname" : "Immunocytochemistry/ Immunofluorescence", "shortname":"ICC/IF"} }, "product-promise": { "all": "all", "testedAndGuaranteed": "tested", "guaranteed": "expected", "predicted": "predicted", "notRecommended": "not-recommended" } }, "values": { "Human": { "IHCP-species-checked": "testedAndGuaranteed", "IHCP-species-dilution-info": "1/250 - 1/500", "IHCP-species-notes": "<p></p>", "FlowCyt-species-checked": "notRecommended", "FlowCyt-species-dilution-info": "", "FlowCyt-species-notes": "<p></p>", "WB-species-checked": "testedAndGuaranteed", "WB-species-dilution-info": "1/1000 - 1/10000", "WB-species-notes": "<p></p>", "ICCIF-species-checked": "notRecommended", "ICCIF-species-dilution-info": "", "ICCIF-species-notes": "<p></p>" }, "Mouse": { "IHCP-species-checked": "predicted", "IHCP-species-dilution-info": "", "IHCP-species-notes": "", "FlowCyt-species-checked": "notRecommended", "FlowCyt-species-dilution-info": "", "FlowCyt-species-notes": "", "WB-species-checked": "predicted", "WB-species-dilution-info": "", "WB-species-notes": "", "ICCIF-species-checked": "notRecommended", "ICCIF-species-dilution-info": "", "ICCIF-species-notes": "" }, "Rat": { "IHCP-species-checked": "guaranteed", "IHCP-species-dilution-info": "", "IHCP-species-notes": "", "FlowCyt-species-checked": "notRecommended", "FlowCyt-species-dilution-info": "", "FlowCyt-species-notes": "<p></p>", "WB-species-checked": "testedAndGuaranteed", "WB-species-dilution-info": "1/1000 - 1/10000", "WB-species-notes": "<p></p>", "ICCIF-species-checked": "notRecommended", "ICCIF-species-dilution-info": "", "ICCIF-species-notes": "<p></p>" } } }

Product details

Patented technology
Our RabMAb® technology is a patented hybridoma-based technology for making rabbit monoclonal antibodies. For details on our patents, please refer to RabMAb® patents.

What are the advantages of a recombinant monoclonal antibody?
This product is a recombinant monoclonal antibody, which offers several advantages including:

  • - High batch-to-batch consistency and reproducibility
  • - Improved sensitivity and specificity
  • - Long-term security of supply
  • - Animal-free batch production

For more information, read more on recombinant antibodies.

Properties and storage information

Form
Liquid
Purification technique
Affinity purification Protein A
Storage buffer
pH: 7.2 - 7.4 Preservative: 0.01% Sodium azide Constituents: PBS, 50% Tissue culture supernatant, 40% Glycerol (glycerin, glycerine), 0.05% BSA
Shipped at conditions
Blue Ice
Appropriate short-term storage conditions
+4°C
Appropriate long-term storage conditions
-20°C

Supplementary information

This supplementary information is collated from multiple sources and compiled automatically.

CPS1 also known as carbamoyl-phosphate synthetase 1 is an important mitochondrial enzyme with a mass of around 165 kDa. It acts in the urea cycle by converting ammonia and bicarbonate into carbamoyl phosphate. CPS1 expression occurs in the liver and intestinal enterocytes which situates it in tissues responsible for metabolism and detoxification processes. This enzyme plays a critical role in the removal of excess nitrogen from the body.
Biological function summary

Carbamoyl-phosphate synthetase 1 functions as an initial step enzyme in the urea cycle which is a metabolic pathway for nitrogen disposal. It does not function alone as it forms part of multi-enzyme complexes to enhance efficiency in the cycle. These complexes facilitate the process of converting toxic ammonia into urea which the body can safely excrete. The proper function of CPS1 ensures that ammonia levels remain non-toxic.

Pathways

The urea cycle remains the chief pathway involving CPS1 collaborating with enzymes like ornithine transcarbamylase and argininosuccinate synthetase. This cycle intersects with the mitochondrial respiratory chain showcasing a relationship between CPS1 and cellular energy balance. Besides the urea cycle the enzyme also links to other metabolic functions like gluconeogenesis given its prerequisite for maintaining a stable nitrogen homeostasis.

CPS1 deficiencies can lead to urea cycle disorders like hyperammonemia characterized by elevated ammonia levels in blood. This may result in neurological damage if untreated. Another condition related to CPS-1 is pulmonary arterial hypertension where studies suggest mishandling of ammonia may alter blood pressure regulation. Genetic mutations affecting the CPS1 protein often underlie these conditions highlighting the importance of genetic screening in affected individuals.

Product protocols

For this product, it's our understanding that no specific protocols are required. You can visit:

Target data

Involved in the urea cycle of ureotelic animals where the enzyme plays an important role in removing excess ammonia from the cell.
See full target information CPS1

Publications (1)

Recent publications for all applications. Explore the full list and refine your search

Journal of cellular and molecular medicine 21:2036-2045 PubMed28272778

2017

The activity of the carbamoyl phosphate synthase 1 promoter in human liver-derived cells is dependent on hepatocyte nuclear factor 3-beta.

Applications

Unspecified application

Species

Unspecified reactive species

Zhanfei Chen,Nanhong Tang,Xiaoqian Wang,Yanling Chen
View all publications

Product promise

We are committed to supporting your work with high-quality reagents, and we're here for you every step of the way. In the unlikely event that one of our products does not perform as expected, you're protected by our Product Promise.
For full details, please see our Terms & Conditions

Please note: All products are 'FOR RESEARCH USE ONLY. NOT FOR USE IN DIAGNOSTIC OR THERAPEUTIC PROCEDURES'.

For licensing inquiries, please contact partnerships@abcam.com