JavaScript is disabled in your browser. Please enable JavaScript to view this website.
AB128942

Anti-CPS1 antibody [EPR7494]

Be the first to review this product! Submit a review

|

(4 Publications)

Rabbit Recombinant Monoclonal CPS1 antibody. Suitable for IHC-P, WB, Flow Cyt (Intra) and reacts with Human samples. Cited in 4 publications.

View Alternative Names

Carbamoyl-phosphate synthetase I, CPSase I, CPS1

3 Images
Flow Cytometry (Intracellular) - Anti-CPS1 antibody [EPR7494] (AB128942)
  • Flow Cyt (Intra)

Lab

Flow Cytometry (Intracellular) - Anti-CPS1 antibody [EPR7494] (AB128942)

Intracellular Flow Cytometry analysis of HeLa (human cervix adenocarcinoma) cells labeling CPS1 with unpurified ab128942 at 1/200 dilution (10ug/ml) (red). Cells were fixed with 4% paraformaldehyde and permeabilised with 90% methanol. A Goat anti-rabbit IgG (Alexa Fluorr® 488) (1/2000 dilution) was used as the secondary antibody. Rabbit monoclonal IgG (Black) was used as the isotype control, cells without incubation with primary antibody and secondary antibody (Blue) were used as the unlabeled control.

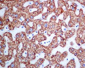
Immunohistochemistry (Formalin/PFA-fixed paraffin-embedded sections) - Anti-CPS1 antibody [EPR7494] (AB128942)
  • IHC-P

Unknown

Immunohistochemistry (Formalin/PFA-fixed paraffin-embedded sections) - Anti-CPS1 antibody [EPR7494] (AB128942)

ab128942 at 1/250 dilution staining CPS1 in paraffin-embedded Human liver tissue by Immunohistochemistry.

Perform heat mediated antigen retrieval with citrate buffer pH 6 before commencing with IHC staining protocol.

Western blot - Anti-CPS1 antibody [EPR7494] (AB128942)
  • WB

Unknown

Western blot - Anti-CPS1 antibody [EPR7494] (AB128942)

All lanes:

Western blot - Anti-CPS1 antibody [EPR7494] (ab128942) at 1/1000 dilution

Lane 1:

HeLa cell lysate at 10 µg

Lane 2:

Human fetal liver tissue lysate at 10 µg

Secondary

All lanes:

HRP labelled goat anti-rabbit at 1/2000 dilution

Predicted band size: 165 kDa

Observed band size: 150 kDa

false

  • Carrier free

    Anti-CPS1 antibody [EPR7494] - BSA and Azide free

Key facts

Host species

Rabbit

Clonality

Monoclonal

Clone number

EPR7494

Isotype

IgG

Carrier free

No

Reacts with

Human

Applications

WB, Flow Cyt (Intra), IHC-P

applications

Immunogen

The exact immunogen used to generate this antibody is proprietary information.

Reactivity data

{ "title": "Reactivity Data", "filters": { "stats": ["", "Species", "Dilution Info", "Notes"], "tabs": { "all-applications": {"fullname" : "All Applications", "shortname": "All Applications"}, "IHCP" : {"fullname" : "Immunohistochemistry (Formalin/PFA-fixed paraffin-embedded sections)", "shortname":"IHC-P"}, "WB" : {"fullname" : "Western blot", "shortname":"WB"}, "FlowCytIntra" : {"fullname" : "Flow Cytometry (Intracellular)", "shortname":"Flow Cyt (Intra)"} }, "product-promise": { "all": "all", "testedAndGuaranteed": "tested", "guaranteed": "expected", "predicted": "predicted", "notRecommended": "not-recommended" } }, "values": { "Human": { "IHCP-species-checked": "testedAndGuaranteed", "IHCP-species-dilution-info": "1/250 - 1/500", "IHCP-species-notes": "<p></p>", "WB-species-checked": "testedAndGuaranteed", "WB-species-dilution-info": "1/1000 - 1/10000", "WB-species-notes": "<p></p>", "FlowCytIntra-species-checked": "testedAndGuaranteed", "FlowCytIntra-species-dilution-info": "", "FlowCytIntra-species-notes": "<p></p>" } } }

Product details

Species reactivity
Mouse, Rat: We have preliminary internal testing data to indicate this antibody may not react with these species.
Please contact us for more information.

Patented technology
Our RabMAb® technology is a patented hybridoma-based technology for making rabbit monoclonal antibodies. For details on our patents, please refer to RabMAb® patents.

What are the advantages of a recombinant monoclonal antibody?
This product is a recombinant monoclonal antibody, which offers several advantages including:

  • - High batch-to-batch consistency and reproducibility
  • - Improved sensitivity and specificity
  • - Long-term security of supply
  • - Animal-free batch production

For more information, read more on recombinant antibodies.

Properties and storage information

Form
Liquid
Purification technique
Affinity purification Protein A
Storage buffer
pH: 7.2 - 7.4 Preservative: 0.01% Sodium azide Constituents: PBS, 50% Tissue culture supernatant, 40% Glycerol (glycerin, glycerine), 0.05% BSA
Shipped at conditions
Blue Ice
Appropriate short-term storage conditions
+4°C
Appropriate long-term storage conditions
-20°C
Storage information
Stable for 12 months at -20°C

Supplementary information

This supplementary information is collated from multiple sources and compiled automatically.

CPS1 also known as carbamoyl-phosphate synthetase 1 is an important mitochondrial enzyme with a mass of around 165 kDa. It acts in the urea cycle by converting ammonia and bicarbonate into carbamoyl phosphate. CPS1 expression occurs in the liver and intestinal enterocytes which situates it in tissues responsible for metabolism and detoxification processes. This enzyme plays a critical role in the removal of excess nitrogen from the body.
Biological function summary

Carbamoyl-phosphate synthetase 1 functions as an initial step enzyme in the urea cycle which is a metabolic pathway for nitrogen disposal. It does not function alone as it forms part of multi-enzyme complexes to enhance efficiency in the cycle. These complexes facilitate the process of converting toxic ammonia into urea which the body can safely excrete. The proper function of CPS1 ensures that ammonia levels remain non-toxic.

Pathways

The urea cycle remains the chief pathway involving CPS1 collaborating with enzymes like ornithine transcarbamylase and argininosuccinate synthetase. This cycle intersects with the mitochondrial respiratory chain showcasing a relationship between CPS1 and cellular energy balance. Besides the urea cycle the enzyme also links to other metabolic functions like gluconeogenesis given its prerequisite for maintaining a stable nitrogen homeostasis.

CPS1 deficiencies can lead to urea cycle disorders like hyperammonemia characterized by elevated ammonia levels in blood. This may result in neurological damage if untreated. Another condition related to CPS-1 is pulmonary arterial hypertension where studies suggest mishandling of ammonia may alter blood pressure regulation. Genetic mutations affecting the CPS1 protein often underlie these conditions highlighting the importance of genetic screening in affected individuals.

Product protocols

For this product, it's our understanding that no specific protocols are required. You can visit:

Target data

Involved in the urea cycle of ureotelic animals where the enzyme plays an important role in removing excess ammonia from the cell.
See full target information CPS1

Publications (4)

Recent publications for all applications. Explore the full list and refine your search

OncoTargets and therapy 14:2673-2688 PubMed33888992

2021

3D Culture of Circulating Tumor Cells for Evaluating Early Recurrence and Metastasis in Patients with Hepatocellular Carcinoma.

Applications

Unspecified application

Species

Unspecified reactive species

Cong-Li Hu,Yan-Jun Zhang,Xiao-Feng Zhang,Xiang Fei,Hai Zhang,Chun-Guang Li,Bin Sun

Oncology letters 21:441 PubMed33868479

2021

Expression profiling of CPS1 in Correa's cascade and its association with gastric cancer prognosis.

Applications

Unspecified application

Species

Unspecified reactive species

Xuqian Fang,Xiaoqiong Wu,Enfei Xiang,Fangxiu Luo,Qinqin Li,Qianchen Ma,Fei Yuan,Peizhan Chen

The journal of physiological sciences : JPS 70:15 PubMed32066374

2020

Pathophysiological properties of CLIC3 chloride channel in human gastric cancer cells.

Applications

Unspecified application

Species

Unspecified reactive species

Shunsuke Kawai,Takuto Fujii,Takahiro Shimizu,Kenta Sukegawa,Isaya Hashimoto,Tomoyuki Okumura,Takuya Nagata,Hideki Sakai,Tsutomu Fujii

Acta physiologica (Oxford, England) 215:89-104 PubMed26235702

2015

Mouse white adipose tissue-derived mesenchymal stem cells gain pericentral and periportal hepatocyte features after differentiation in vitro, which are preserved in vivo after hepatic transplantation.

Applications

Unspecified application

Species

Unspecified reactive species

S Winkler,M Hempel,S Brückner,F Mallek,A Weise,T Liehr,H-M Tautenhahn,M Bartels,B Christ
View all publications

Product promise

We are committed to supporting your work with high-quality reagents, and we're here for you every step of the way. In the unlikely event that one of our products does not perform as expected, you're protected by our Product Promise.
For full details, please see our Terms & Conditions

Please note: All products are 'FOR RESEARCH USE ONLY. NOT FOR USE IN DIAGNOSTIC OR THERAPEUTIC PROCEDURES'.

For licensing inquiries, please contact partnerships@abcam.com