JavaScript is disabled in your browser. Please enable JavaScript to view this website.
AB181221

Anti-CPSF6 antibody [EPR12899]

Be the first to review this product! Submit a review

|

(1 Publication)

Rabbit Recombinant Monoclonal CPSF6 antibody. Suitable for IHC-P, WB and reacts with Human samples. Cited in 1 publication.

View Alternative Names

CFIM68, CPSF6, Cleavage and polyadenylation specificity factor subunit 6, Cleavage and polyadenylation specificity factor 68 kDa subunit, Cleavage factor Im complex 68 kDa subunit, Pre-mRNA cleavage factor Im 68 kDa subunit, Protein HPBRII-4/7, CPSF 68 kDa subunit, CFIm68

3 Images
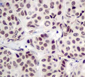
Immunohistochemistry (Formalin/PFA-fixed paraffin-embedded sections) - Anti-CPSF6 antibody [EPR12899] (AB181221)
  • IHC-P

Supplier Data

Immunohistochemistry (Formalin/PFA-fixed paraffin-embedded sections) - Anti-CPSF6 antibody [EPR12899] (AB181221)

Immunohistochemical analysis of paraffin embedded Human testis tissue sections labeling CPSF6 using ab181221 at a 1/500 dilution. A ready to use HRP Polymer for Rabbit IgG was used as the secondary. Hematoxylin counterstain.

Perform heat mediated antigen retrieval with citrate buffer pH 6 before commencing with IHC staining protocol.

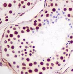
Immunohistochemistry (Formalin/PFA-fixed paraffin-embedded sections) - Anti-CPSF6 antibody [EPR12899] (AB181221)
  • IHC-P

Supplier Data

Immunohistochemistry (Formalin/PFA-fixed paraffin-embedded sections) - Anti-CPSF6 antibody [EPR12899] (AB181221)

Immunohistochemical analysis of paraffin embedded Human breast cancer tissue sections labeling CPSF6 using ab181221 at a 1/500 dilution. A ready to use HRP Polymer for Rabbit IgG was used as the secondary. Hematoxylin counterstain.

Perform heat mediated antigen retrieval with citrate buffer pH 6 before commencing with IHC staining protocol.

Western blot - Anti-CPSF6 antibody [EPR12899] (AB181221)
  • WB

Supplier Data

Western blot - Anti-CPSF6 antibody [EPR12899] (AB181221)

Blocking/ Dilution buffer : 5% NFDM /TBST.

All lanes:

Western blot - Anti-CPSF6 antibody [EPR12899] (ab181221) at 1/2000 dilution

Lane 1:

HeLa cell lysate at 20 µg

Lane 2:

293T (Human embryonic kidney epithelial cell) cell lysate at 20 µg

Lane 3:

Jurkat cell lysate at 20 µg

Lane 4:

K562 cell lysate at 20 µg

Secondary

All lanes:

Goat Anti-Rabbit IgG, (H+L), Peroxidase conjugated at 1/1000 dilution

Predicted band size: 59 kDa

false

  • Carrier free

    Anti-CPSF6 antibody [EPR12899] - BSA and Azide free

Key facts

Host species

Rabbit

Clonality

Monoclonal

Clone number

EPR12899

Isotype

IgG

Carrier free

No

Reacts with

Human

Applications

WB, IHC-P

applications

Immunogen

The exact immunogen used to generate this antibody is proprietary information.

Reactivity data

{ "title": "Reactivity Data", "filters": { "stats": ["", "Species", "Dilution Info", "Notes"], "tabs": { "all-applications": {"fullname" : "All Applications", "shortname": "All Applications"}, "IHCP" : {"fullname" : "Immunohistochemistry (Formalin/PFA-fixed paraffin-embedded sections)", "shortname":"IHC-P"}, "WB" : {"fullname" : "Western blot", "shortname":"WB"} }, "product-promise": { "all": "all", "testedAndGuaranteed": "tested", "guaranteed": "expected", "predicted": "predicted", "notRecommended": "not-recommended" } }, "values": { "Human": { "IHCP-species-checked": "testedAndGuaranteed", "IHCP-species-dilution-info": "1/250 - 1/500", "IHCP-species-notes": "<p></p>", "WB-species-checked": "testedAndGuaranteed", "WB-species-dilution-info": "1/1000 - 1/2000", "WB-species-notes": "<p></p>" }, "Mouse": { "IHCP-species-checked": "predicted", "IHCP-species-dilution-info": "", "IHCP-species-notes": "", "WB-species-checked": "predicted", "WB-species-dilution-info": "", "WB-species-notes": "" }, "Rat": { "IHCP-species-checked": "predicted", "IHCP-species-dilution-info": "", "IHCP-species-notes": "", "WB-species-checked": "predicted", "WB-species-dilution-info": "", "WB-species-notes": "" } } }

Product details

Patented technology
Our RabMAb® technology is a patented hybridoma-based technology for making rabbit monoclonal antibodies. For details on our patents, please refer to RabMAb® patents.

What are the advantages of a recombinant monoclonal antibody?
This product is a recombinant monoclonal antibody, which offers several advantages including:

  • - High batch-to-batch consistency and reproducibility
  • - Improved sensitivity and specificity
  • - Long-term security of supply
  • - Animal-free batch production

For more information, read more on recombinant antibodies.

Properties and storage information

Form
Liquid
Purification technique
Affinity purification Protein A
Storage buffer
Preservative: 0.01% Sodium azide Constituents: PBS, 40% Glycerol (glycerin, glycerine), 0.05% BSA
Shipped at conditions
Blue Ice
Appropriate short-term storage duration
1-2 weeks
Appropriate short-term storage conditions
+4°C
Appropriate long-term storage conditions
-20°C
Aliquoting information
Upon delivery aliquot
Storage information
Avoid freeze / thaw cycle

Supplementary information

This supplementary information is collated from multiple sources and compiled automatically.

Cleavage and Polyadenylation Specificity Factor 6 (CPSF6) also referred to as CFIm68 for its molecular weight of approximately 68 kDa plays an important role in mRNA processing. The protein is expressed widely in various tissues emphasizing its broad functional role in cellular mechanisms. CPSF6 operates as an important component of the cleavage and polyadenylation complex where it facilitates the regulation of pre-mRNA 3'-end processing influencing gene expression control.
Biological function summary

CPSF6 influences alternative polyadenylation impacting mRNA maturation by recognizing specific RNA sequences. As part of a broader complex this protein engages in cooperation with components like CPSF5 and CPSF7 showcasing its integrated role in this essential process. The regulation exerted by CPSF6 on polyadenylation modifies the length and stability of mRNA transcripts. This impact on mRNA dynamics is important for normal cellular function and response.

Pathways

CPSF6 integrates into key mRNA processing and maturation pathways affecting transcriptional regulation and mRNA stability. This protein functionally interlinks with RNA polymerase II playing an integral part in the transcriptional machinery. CPSF6 also associates with the spliceosome complex a critical group in mRNA splicing establishing its multi-functional role within gene expression pathways.

CPSF6 associations emerge prominently in cancer and viral infections. Abnormalities in CPSF6 expression or function can contribute to oncogenic processes through dysregulated mRNA processing. Additionally CPSF6 has significant links to HIV where it interacts with viral components affecting virus replication. The relationship between CPSF6 and other proteins like CPSF1 in these contexts highlights its involvement in disease progression mechanisms rendering it a potential target for therapeutic strategies.

Product protocols

For this product, it's our understanding that no specific protocols are required. You can visit:

Target data

Component of the cleavage factor Im (CFIm) complex that functions as an activator of the pre-mRNA 3'-end cleavage and polyadenylation processing required for the maturation of pre-mRNA into functional mRNAs (PubMed : 14690600, PubMed : 29276085, PubMed : 8626397, PubMed : 9659921). CFIm contributes to the recruitment of multiprotein complexes on specific sequences on the pre-mRNA 3'-end, so called cleavage and polyadenylation signals (pA signals) (PubMed : 14690600, PubMed : 8626397, PubMed : 9659921). Most pre-mRNAs contain multiple pA signals, resulting in alternative cleavage and polyadenylation (APA) producing mRNAs with variable 3'-end formation (PubMed : 23187700, PubMed : 29276085). The CFIm complex acts as a key regulator of cleavage and polyadenylation site choice during APA through its binding to 5'-UGUA-3' elements localized in the 3'-untranslated region (UTR) for a huge number of pre-mRNAs (PubMed : 20695905, PubMed : 29276085). CPSF6 enhances NUDT21/CPSF5 binding to 5'-UGUA-3' elements localized upstream of pA signals and promotes RNA looping, and hence activates directly the mRNA 3'-processing machinery (PubMed : 15169763, PubMed : 21295486, PubMed : 29276085). Plays a role in mRNA export (PubMed : 19864460).. (Microbial infection) Binds HIV-1 capsid-nucleocapsid (HIV-1 CA-NC) complexes and might thereby promote the integration of the virus in the nucleus of dividing cells (in vitro).
See full target information CPSF6

Publications (1)

Recent publications for all applications. Explore the full list and refine your search

Cell reports 36:109477 PubMed34348143

2021

Activation of a hippocampal CREB-pCREB-miRNA-MEF2 axis modulates individual variation of spatial learning and memory capability.

Applications

Unspecified application

Species

Unspecified reactive species

I-Fang Wang,Yihan Wang,Yi-Hua Yang,Guo-Jen Huang,Kuen-Jer Tsai,Che-Kun James Shen
View all publications

Product promise

We are committed to supporting your work with high-quality reagents, and we're here for you every step of the way. In the unlikely event that one of our products does not perform as expected, you're protected by our Product Promise.
For full details, please see our Terms & Conditions

Please note: All products are 'FOR RESEARCH USE ONLY. NOT FOR USE IN DIAGNOSTIC OR THERAPEUTIC PROCEDURES'.

For licensing inquiries, please contact partnerships@abcam.com