JavaScript is disabled in your browser. Please enable JavaScript to view this website.
AB234906

Anti-CPT1A antibody [EPR21843-71-1C] - BSA and Azide free

Be the first to review this product! Submit a review

|

(1 Publication)

Rabbit Recombinant Monoclonal CPT1A antibody. Carrier free. Suitable for IP, WB, ICC/IF, Flow Cyt (Intra), IHC-P and reacts with Human samples. Cited in 1 publication.

View Alternative Names

CPT1, CPT1A, CPT1-L, Carnitine palmitoyltransferase 1A, Succinyltransferase CPT1A, CPT I, CPTI-L

12 Images
Flow Cytometry (Intracellular) - Anti-CPT1A antibody [EPR21843-71-1C] - BSA and Azide free (AB234906)
  • Flow Cyt (Intra)

Lab

Flow Cytometry (Intracellular) - Anti-CPT1A antibody [EPR21843-71-1C] - BSA and Azide free (AB234906)

This data was developed using ab220789, the same antibody clone in a different buffer formulation.

Flow cytometry overlay histogram showing wild-type HAP1 (green line) and CPT1A knockout HAP1 stained with ab220789 (magenta line). The cells were fixed with 4% formaldehyde (10 min) and then permeabilised with 0.1% PBS-Triton X-100 for 15 min. The cells were then incubated in 1x PBS containing 10% normal goat serum to block non-specific protein-protein interaction followed by the antibody (ab220789) (1x 106 in 100μl at 0.2 μg/ml (1/2970)) for 30min at 22°C.

The secondary antibody Goat Anti-Rabbit IgG H&L (Alexa Fluor® 488) preadsorbed was incubated at 1/4000 for 30min at 22°C.

Isotype control antibody was Recombinant Rabbit IgG, monoclonal [EPR25A] - Isotype Control in HAP1 WT cells (black line) and HAP1-CPT1A KO cells (grey line), at the same conditions as the primary antibody.

Acquisition of >5000 events were collected using a 50 mW Blue laser (488nm) and 525/40 bandpass filter.

This antibody gave a positive signal in wild-type A-549 fixed with 80% methanol (5 min) and then permeabilised with 0.1% PBS-Triton X-100 for 15 min under the same conditions.

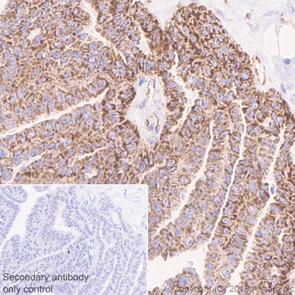
Immunohistochemistry (Formalin/PFA-fixed paraffin-embedded sections) - Anti-CPT1A antibody [EPR21843-71-1C] - BSA and Azide free (AB234906)
  • IHC-P

Supplier Data

Immunohistochemistry (Formalin/PFA-fixed paraffin-embedded sections) - Anti-CPT1A antibody [EPR21843-71-1C] - BSA and Azide free (AB234906)

Immunohistochemical analysis of paraffin-embedded human ovarian carcinoma tissue labeling CPT1A with ab220789 at 1/1000 dilution, followed by Goat Anti-Rabbit IgG H&L (HRP) Ready to use. Granular cytoplasmic staining in human ovarian carcinoma (PMID : 26716645). Counter stained with hematoxylin.

Secondary antibody only control : Used PBS instead of primary antibody, secondary antibody is Goat Anti-Rabbit IgG H&L (HRP) Ready to use.

This data was developed using the same antibody clone in a different buffer formulation containing PBS, BSA, glycerol, and sodium azide (ab220789).

Perform heat mediated antigen retrieval with Tris/EDTA buffer pH 9.0 before commencing with IHC staining protocol.

Immunocytochemistry/ Immunofluorescence - Anti-CPT1A antibody [EPR21843-71-1C] - BSA and Azide free (AB234906)
  • ICC/IF

Supplier Data

Immunocytochemistry/ Immunofluorescence - Anti-CPT1A antibody [EPR21843-71-1C] - BSA and Azide free (AB234906)

Immunofluorescent analysis of 4% paraformaldehyde-fixed, 0.1% Triton X-100 permeabilized SK-OV-3 (human ovarian cancer cell line) cells labeling CPT1A with ab220789 at 1/100 dilution followed by Goat Anti-Rabbit IgG H&L (Alexa Fluor® 488) (ab150077) secondary antibody at 1/1000 dilution (green). Confocal image showing mitochondrial staining in SK-OV-3 cell line.

The nuclear counter stain is DAPI (blue). COX IV is detected with Anti-COX IV antibody [mAbcam33985] - Mitochondrial Marker (ab33985) at 1/1000 dilution, followed by Goat Anti-Mouse IgG H&L (Alexa Fluor® 594) preadsorbed (ab150120) (red).

The negative controls are as follows :

-ve control 1 : ab220789 at 1/100 dilution followed by Goat Anti-Mouse IgG H&L (Alexa Fluor® 594) preadsorbed (ab150120) secondary antibody at 1/1000 dilution.

-ve control 2 : Anti-COX IV antibody [mAbcam33985] - Mitochondrial Marker (ab33985) at 1/1000 dilution, followed by Goat Anti-Rabbit IgG H&L (Alexa Fluor® 488) (ab150077).

This data was developed using the same antibody clone in a different buffer formulation containing PBS, BSA, glycerol, and sodium azide (ab220789).

Immunocytochemistry/ Immunofluorescence - Anti-CPT1A antibody [EPR21843-71-1C] - BSA and Azide free (AB234906)
  • ICC/IF

Supplier Data

Immunocytochemistry/ Immunofluorescence - Anti-CPT1A antibody [EPR21843-71-1C] - BSA and Azide free (AB234906)

Immunofluorescent analysis of 4% paraformaldehyde-fixed, 0.1% Triton X-100 permeabilized HeLa (human epithelial cell line from cervix adenocarcinoma) cells labeling CPT1A with ab220789 at 1/100 dilution followed by Goat Anti-Rabbit IgG H&L (Alexa Fluor® 488) (ab150077) secondary antibody at 1/1000 dilution (green). Confocal image showing mitochondrial staining in HeLa cell line.

The nuclear counter stain is DAPI (blue). COX IV is detected with Anti-COX IV antibody [mAbcam33985] - Mitochondrial Marker (ab33985) at 1/1000 dilution, followed by Goat Anti-Mouse IgG H&L (Alexa Fluor® 594) preadsorbed (ab150120) (red).

The negative controls are as follows :

-ve control 1 : ab220789 at 1/100 dilution followed by Goat Anti-Mouse IgG H&L (Alexa Fluor® 594) preadsorbed (ab150120) secondary antibody at 1/1000 dilution.

-ve control 2 : Anti-COX IV antibody [mAbcam33985] - Mitochondrial Marker (ab33985) at 1/1000 dilution, followed by Goat Anti-Rabbit IgG H&L (Alexa Fluor® 488) (ab150077).

This data was developed using the same antibody clone in a different buffer formulation containing PBS, BSA, glycerol, and sodium azide (ab220789).

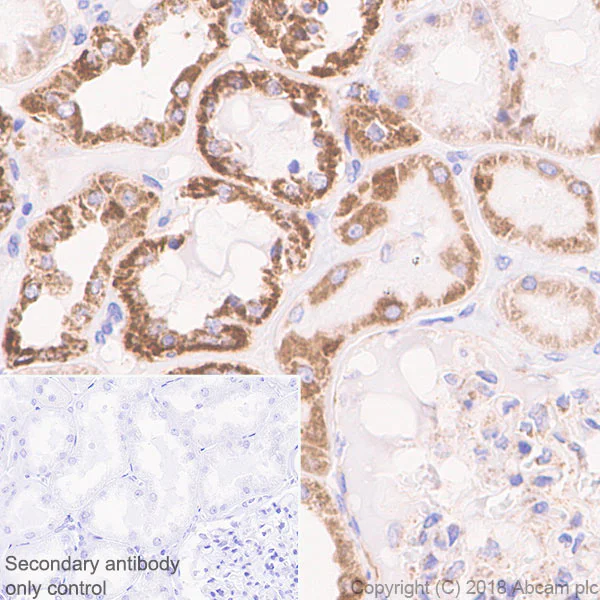
Immunohistochemistry (Formalin/PFA-fixed paraffin-embedded sections) - Anti-CPT1A antibody [EPR21843-71-1C] - BSA and Azide free (AB234906)
  • IHC-P

Supplier Data

Immunohistochemistry (Formalin/PFA-fixed paraffin-embedded sections) - Anti-CPT1A antibody [EPR21843-71-1C] - BSA and Azide free (AB234906)

Immunohistochemical analysis of paraffin-embedded human kidney tissue labeling CPT1A with ab220789 at 1/1000 dilution, followed by Goat Anti-Rabbit IgG H&L (HRP) Ready to use. Granular cytoplasmic staining in human kidney (PMID : 18192268; PMID : 28956034). Counter stained with hematoxylin.

Secondary antibody only control : Used PBS instead of primary antibody, secondary antibody is Goat Anti-Rabbit IgG H&L (HRP) Ready to use.

This data was developed using the same antibody clone in a different buffer formulation containing PBS, BSA, glycerol, and sodium azide (ab220789).

Perform heat mediated antigen retrieval with Tris/EDTA buffer pH 9.0 before commencing with IHC staining protocol.

Immunocytochemistry/ Immunofluorescence - Anti-CPT1A antibody [EPR21843-71-1C] - BSA and Azide free (AB234906)
  • ICC/IF

Lab

Immunocytochemistry/ Immunofluorescence - Anti-CPT1A antibody [EPR21843-71-1C] - BSA and Azide free (AB234906)

This data was developed using the same antibody clone in a different buffer formulation containing PBS, BSA, glycerol, and sodium azide (ab220789).

Immunofluorescent analysis of 100% methanol-fixed-fixed 0.1%, Triton X-100 permeabilized Hap1 WT and Hap1-CPT1A KO cells labelling CPT1A protein with ab220789 at 0.2 μg/ml concentration followed by ab150081 Goat Anti-Rabbit IgG H&L (Alexa Fluor® 488) preadsorbed antibody at 1/1000 (2 μg/ml dilution (Green). Image showing mitochodrial staining in Hap1 WT cell line. ab7291 Anti-alpha Tubulin antibody [DM1A] was used to counterstain tubulin at 1/1000 dilution (Magenta). The nuclear counterstain was DAPI (Blue).

Flow Cytometry (Intracellular) - Anti-CPT1A antibody [EPR21843-71-1C] - BSA and Azide free (AB234906)
  • Flow Cyt (Intra)

Supplier Data

Flow Cytometry (Intracellular) - Anti-CPT1A antibody [EPR21843-71-1C] - BSA and Azide free (AB234906)

Intracellular flow cytometric analysis of 4% paraformaldehyde-fixed, 90% methanol-permeabilized HeLa (human epithelial cell line from cervix adenocarcinoma) cell line labeling CPT1A with ab220789 at 1/600 dilution (red) compared with a Rabbit IgG, monoclonal [EPR25A] - Isotype Control (ab172730) (black) and an unlabeled control (cells without incubation with primary antibody and secondary antibody) (blue). Goat Anti-Rabbit IgG H&L (Alexa Fluor® 488) (ab150077) at 1/2000 dilution was used as the secondary antibody.

This data was developed using the same antibody clone in a different buffer formulation containing PBS, BSA, glycerol, and sodium azide (ab220789).

Immunoprecipitation - Anti-CPT1A antibody [EPR21843-71-1C] - BSA and Azide free (AB234906)
  • IP

Supplier Data

Immunoprecipitation - Anti-CPT1A antibody [EPR21843-71-1C] - BSA and Azide free (AB234906)

CPT1A was immunoprecipitated from 0.35 mg of SK-OV-3 (human ovarian cancer cell line) whole cell lysate with ab220789 at 1/30 dilution. Western blot was performed from the immunoprecipitate using ab220789 at 1/1000 dilution. VeriBlot for IP Detection Reagent (HRP) (ab131366), was used for detection at 1/5000 dilution.

Lane 1 : SK-OV-3 whole cell lysate 10 μg (Input).

Lane 2 : ab220789 IP in SK-OV-3 whole cell lysate.

Lane 3 : Rabbit monoclonal IgG (ab172730) instead of ab220789 in SK-OV-3 whole cell lysate.

Blocking and dilution buffer and concentration : 5% NFDM/TBST.

Exposure time : 30 seconds.

This data was developed using the same antibody clone in a different buffer formulation containing PBS, BSA, glycerol, and sodium azide (ab220789).

All lanes:

Immunoprecipitation - Anti-CPT1A antibody [EPR21843-71-1C] (<a href='/en-us/products/primary-antibodies/cpt1a-antibody-epr21843-71-1c-ab220789'>ab220789</a>)

Predicted band size: 88 kDa

Observed band size: 88 kDa

false

Western blot - Anti-CPT1A antibody [EPR21843-71-1C] - BSA and Azide free (AB234906)
  • WB

Lab

Western blot - Anti-CPT1A antibody [EPR21843-71-1C] - BSA and Azide free (AB234906)

This data was developed using the same antibody clone in a different buffer formulation (ab220789).

Lanes 1- 2 : Merged signal (red and green). Green - ab220789 observed at 88 kDa. Red - Anti-GAPDH antibody [6C5] - Loading Control (ab8245) observed at 37 kDa.

ab220789 was shown to react with CPT1A in wild-type HEK-293T cells in western blot. Loss of signal was observed when knockout cell line ab266319 (knockout cell lysate ab256880) was used. Wild-type HEK-293T and CPT1A knockout HEK-293T cell lysates were subjected to SDS-PAGE. Membrane was blocked for 1 hour at room temperature in 0.1% TBST with 3% non-fat dried milk. ab220789 and Anti-GAPDH antibody [6C5] - Loading Control (ab8245) overnight at 4°C at a 1 in 1000 dilution and a 1 in 20000 dilution respectively. Blots were developed with Goat anti-Rabbit IgG H&L (IRDye®800CW) preadsorbed (ab216773) and Goat anti-Mouse IgG H&L (IRDye®680RD) preadsorbed (ab216776) secondary antibodies at 1 in 20000 dilution for 1 hour at room temperature before imaging.

All lanes:

Western blot - Anti-CPT1A antibody [EPR21843-71-1C] (<a href='/en-us/products/primary-antibodies/cpt1a-antibody-epr21843-71-1c-ab220789'>ab220789</a>) at 1/1000 dilution

Lane 1:

Wild-type HEK-293T cell lysate at 20 µg

Lane 2:

CPT1A knockout HEK-293T cell lysate at 20 µg

Lane 2:

Western blot - Human CPT1A knockout HEK-293T cell line (<a href='/en-us/products/cell-lines/human-cpt1a-knockout-hek-293t-cell-line-ab266319'>ab266319</a>)

Predicted band size: 88 kDa

Observed band size: 88 kDa

false

Western blot - Anti-CPT1A antibody [EPR21843-71-1C] - BSA and Azide free (AB234906)
  • WB

Lab

Western blot - Anti-CPT1A antibody [EPR21843-71-1C] - BSA and Azide free (AB234906)

This data was developed using the same antibody clone in a different buffer formulation containing PBS, BSA, glycerol, and sodium azide (ab220789). Blocking and diluting buffer and concentration : 5% NFDM/TBST. CPT1A is strongly expressed in kidney and heart, and lower in liver and skeletal muscle. We recommend loading higher amount of lysate or using lower antibody dilution to detect signal in liver lysate.

All lanes:

Western blot - Anti-CPT1A antibody [EPR21843-71-1C] (<a href='/en-us/products/primary-antibodies/cpt1a-antibody-epr21843-71-1c-ab220789'>ab220789</a>) at 1/1000 dilution

Lane 1:

Human kidney tissue lysate at 20 µg

Lane 2:

Human liver tissue lysate at 20 µg

Secondary

All lanes:

Western blot - VeriBlot for IP Detection Reagent (HRP) (<a href='/en-us/products/reagents/veriblot-for-ip-detection-reagent-hrp-ab131366'>ab131366</a>) at 1/1000 dilution

Predicted band size: 88 kDa

Observed band size: 88 kDa

false

Exposure time: 92s

Western blot - Anti-CPT1A antibody [EPR21843-71-1C] - BSA and Azide free (AB234906)
  • WB

Supplier Data

Western blot - Anti-CPT1A antibody [EPR21843-71-1C] - BSA and Azide free (AB234906)

Blocking/Dilution buffer : 5% NFDM/TBST.

ab220789 was shown to specifically react with CPT1A in wild-type HAP1 cells as signal was lost in CPT1A knockout cells. Wild-type and CPT1A knockout samples were subjected to SDS-PAGE. ab220789 and ab181602 (Rabbit anti-GAPDH loading control) were incubated 1 hour at room temperature at 1/5000 dilution and 1/200,000 dilution respectively. Blots were developed with Goat Anti-Rabbit IgG, (H+L), Peroxidase conjugated (ab97051) secondary antibody at 1/100,000 dilution for 1 hour at room temperature before imaging. The blot was developed on a BIO-RAD® ChemiDoc™ MP instrument using the ECL technique.

This data was developed using the same antibody clone in a different buffer formulation containing PBS, BSA, glycerol, and sodium azide (ab220789).

All lanes:

Western blot - Anti-CPT1A antibody [EPR21843-71-1C] (<a href='/en-us/products/primary-antibodies/cpt1a-antibody-epr21843-71-1c-ab220789'>ab220789</a>) at 1/5000 dilution

Lane 1:

Wild-type HAP1 whole cell lysate at 20 µg

Lane 2:

CPT1A knockout HAP1 whole cell lysate at 20 µg

Lane 3:

HeLa (human epithelial cell line from cervix adenocarcinoma) whole cell lysate at 20 µg

Lane 4:

SK-OV-3 (human ovarian cancer cell line) whole cell lysate at 20 µg

Secondary

All lanes:

Western blot - Goat Anti-Rabbit IgG H&L (HRP) (<a href='/en-us/products/secondary-antibodies/goat-rabbit-igg-h-l-hrp-ab97051'>ab97051</a>) at 1/100000 dilution

Predicted band size: 88 kDa

Observed band size: 88 kDa

true

Exposure time: 92s

Western blot - Anti-CPT1A antibody [EPR21843-71-1C] - BSA and Azide free (AB234906)
  • WB

Lab

Western blot - Anti-CPT1A antibody [EPR21843-71-1C] - BSA and Azide free (AB234906)

This data was developed using the same antibody clone in a different buffer formulation containing PBS, BSA, glycerol, and sodium azide (ab220789). Blocking and diluting buffer and concentration : 5% NFDM /TBST. CPT1A is strongly expressed in kidney and heart, and lower in liver and skeletal muscle. We recommend loading higher amount of lysate or using lower antibody dilution to detect signal in HepG2 lysate.

All lanes:

Western blot - Anti-CPT1A antibody [EPR21843-71-1C] (<a href='/en-us/products/primary-antibodies/cpt1a-antibody-epr21843-71-1c-ab220789'>ab220789</a>) at 1/1000 dilution

Lane 1:

MCF7 (Human breast adenocarcinoma epithelial cell) cell lysate at 20 µg

Lane 2:

HeLa (Human cervix adenocarcinoma epithelial cell) cell lysate at 20 µg

Lane 3:

HepG2 (Human hepatocellular carcinoma epithelial cell) cell lysate at 20 µg

Secondary

All lanes:

Western blot - Goat Anti-Rabbit IgG H&L (HRP) (<a href='/en-us/products/secondary-antibodies/goat-rabbit-igg-h-l-hrp-ab97051'>ab97051</a>) at 1/20000 dilution

Predicted band size: 88 kDa

Observed band size: 88 kDa

false

Exposure time: 180s

Key facts

Host species

Rabbit

Clonality

Monoclonal

Clone number

EPR21843-71-1C

Isotype

IgG

Carrier free

Yes

Reacts with

Human

Applications

ICC/IF, IP, WB, Flow Cyt (Intra), IHC-P

applications

Immunogen

The exact immunogen used to generate this antibody is proprietary information.

Specificity

Our WB images were generated by testing un-bolied samples.

Reactivity data

{ "title": "Reactivity Data", "filters": { "stats": ["", "Species", "Dilution Info", "Notes"], "tabs": { "all-applications": {"fullname" : "All Applications", "shortname": "All Applications"}, "IP" : {"fullname" : "Immunoprecipitation", "shortname":"IP"}, "WB" : {"fullname" : "Western blot", "shortname":"WB"}, "ICCIF" : {"fullname" : "Immunocytochemistry/ Immunofluorescence", "shortname":"ICC/IF"}, "FlowCytIntra" : {"fullname" : "Flow Cytometry (Intracellular)", "shortname":"Flow Cyt (Intra)"}, "IHCP" : {"fullname" : "Immunohistochemistry (Formalin/PFA-fixed paraffin-embedded sections)", "shortname":"IHC-P"} }, "product-promise": { "all": "all", "testedAndGuaranteed": "tested", "guaranteed": "expected", "predicted": "predicted", "notRecommended": "not-recommended" } }, "values": { "Human": { "IP-species-checked": "testedAndGuaranteed", "IP-species-dilution-info": "", "IP-species-notes": "<p></p>", "WB-species-checked": "testedAndGuaranteed", "WB-species-dilution-info": "", "WB-species-notes": "<p>Our WB images were generated by testing un-bolied samples.</p>", "ICCIF-species-checked": "testedAndGuaranteed", "ICCIF-species-dilution-info": "", "ICCIF-species-notes": "<p></p>", "FlowCytIntra-species-checked": "testedAndGuaranteed", "FlowCytIntra-species-dilution-info": "", "FlowCytIntra-species-notes": "<p></p>", "IHCP-species-checked": "testedAndGuaranteed", "IHCP-species-dilution-info": "", "IHCP-species-notes": "<p></p>" } } }

Product details

ab234906 is the carrier-free version of ab220789.

Patented technology
Our RabMAb® technology is a patented hybridoma-based technology for making rabbit monoclonal antibodies. For details on our patents, please refer to RabMAb® patents.

What are the advantages of a recombinant monoclonal antibody?
This product is a recombinant monoclonal antibody, which offers several advantages including:

  • - High batch-to-batch consistency and reproducibility
  • - Improved sensitivity and specificity
  • - Long-term security of supply
  • - Animal-free batch production

For more information, read more on recombinant antibodies.

Conjugation ready
Our carrier-free antibodies are typically supplied in a PBS-only formulation, purified and free of BSA, sodium azide and glycerol. This conjugation-ready format is designed for use with fluorochromes, metal isotopes, oligonucleotides, and enzymes, which makes them ideal for antibody labelling, functional and cell-based assays, flow-based assays (e.g. mass cytometry) and Multiplex Imaging applications.

Use our conjugation kits for antibody conjugates that are ready-to-use in as little as 20 minutes with 1 minute hands-on-time and 100% antibody recovery: available for fluorescent dyes, HRP, biotin and gold.

Compatibility
This product is compatible with the Maxpar® Antibody Labeling Kit from Fluidigm, without the need for antibody preparation. Maxpar® is a trademark of Fluidigm Canada Inc.

Properties and storage information

Form
Liquid
Purification technique
Affinity purification Protein A
Storage buffer
pH: 7.2 - 7.4 Constituents: PBS
Shipped at conditions
Blue Ice
Appropriate short-term storage conditions
+4°C
Appropriate long-term storage conditions
+4°C
Storage information
Do Not Freeze

Supplementary information

This supplementary information is collated from multiple sources and compiled automatically.

CPT1A also known as carnitine palmitoyltransferase 1A is a vital enzyme involved in the transport of long-chain fatty acids across the mitochondrial membrane. This protein facilitates the conversion of fatty acids into acyl-carnitine a process necessary for beta-oxidation within the mitochondria. The molecular weight of CPT1A is approximately 88 kDa. CPT1A predominantly expresses in liver cells where energy metabolism from fatty acids is important. Alternate names for this target include CPT 1 and CTP1A reflecting its central role in metabolic processes related to lipid utilization.
Biological function summary

CPT1A plays a vital role in energy production by facilitating mitochondrial fatty acid oxidation. It does not function as a solitary enzyme but often associates with other enzymes forming a multiprotein complex that includes acyl-CoA synthetase. This complex enables efficient fatty acid transport and oxidation converting stored fats into usable energy. As CPT1A primarily operates in the liver its activity significantly impacts overall lipid and energy homeostasis demonstrating its critical regulatory role.

Pathways

CPT1A is central to the fatty acid beta-oxidation pathway an important process for breaking down fatty acids to produce energy. This pathway also involves proteins such as CPT1B a related isoform present in muscle tissues. CPT1A's function is important in the liver's capacity to regulate energy balance and respond to metabolic demands. Additionally CPT1A interacts within the signaling pathway of AMPK (AMP-activated protein kinase) which further integrates it into broader metabolic regulation networks linking energy status to cellular function.

CPT1A is notably associated with metabolic syndromes and fatty liver disease. Mutations or deficiencies in CPT1A can lead to disorders like hepatic carnitine palmitoyltransferase 1A deficiency characterized by hypoketotic hypoglycemia and hepatomegaly. Furthermore its dysregulation can impact proteins such as ACC1 (acetyl-CoA carboxylase) in the context of metabolic syndrome. Research continues to explore the implications of CPT1A in non-alcoholic steatohepatitis highlighting its relevance in liver energy metabolism disorders and their pathophysiology.

Product protocols

For this product, it's our understanding that no specific protocols are required. You can visit:

Target data

Catalyzes the transfer of the acyl group of long-chain fatty acid-CoA conjugates onto carnitine, an essential step for the mitochondrial uptake of long-chain fatty acids and their subsequent beta-oxidation in the mitochondrion (PubMed : 11350182, PubMed : 14517221, PubMed : 16651524, PubMed : 9691089). Possesses also a lysine succinyltransferase activity that can regulate enzymatic activity of substrate proteins such as ENO1 and metabolism independent of its classical carnitine O-palmitoyltransferase activity (PubMed : 29425493). Plays an important role in hepatic triglyceride metabolism (By similarity). Plays also a role in inducible regulatory T-cell (iTreg) differentiation once activated by butyryl-CoA that antagonizes malonyl-CoA-mediated CPT1A repression (By similarity). Sustains the IFN-I response by recruiting ZDHCC4 to palmitoylate MAVS at the mitochondria leading to MAVS stabilization and activation (PubMed : 38016475). Promotes ROS-induced oxidative stress in liver injury via modulation of NFE2L2 and NLRP3-mediated signaling pathways (By similarity).
See full target information CPT1A

Publications (1)

Recent publications for all applications. Explore the full list and refine your search

Iranian journal of public health 51:2706-2716 PubMed36742227

2023

Peripheral Blood of Vitiligo Patients-Derived Exosomal MiR-21-5p Inhibits Melanocytes Melanogenesis via Targeting SATB1.

Applications

Unspecified application

Species

Unspecified reactive species

Change Zhang,Wu Guo,Sheng Wang,Yuzi Di,Dengting Wu
View all publications

Product promise

We are committed to supporting your work with high-quality reagents, and we're here for you every step of the way. In the unlikely event that one of our products does not perform as expected, you're protected by our Product Promise.
For full details, please see our Terms & Conditions

Please note: All products are 'FOR RESEARCH USE ONLY. NOT FOR USE IN DIAGNOSTIC OR THERAPEUTIC PROCEDURES'.

For licensing inquiries, please contact partnerships@abcam.com