JavaScript is disabled in your browser. Please enable JavaScript to view this website.
AB234111

Anti-CPT1A antibody [EPR21843-71-2F]

  • 20ul selling size
  • RabMAb
  • Recombinant
  • KO Validated
  • What is this?

5

(2 Reviews)

|

(64 Publications)

Anti-CPT1A antibody [EPR21843-71-2F] (ab234111) is a rabbit monoclonal antibody detecting CPT1A in Western Blot, Flow Cytometry (Intra), IHC-P. Suitable for Human, Mouse, Rat.

- KO validated for confirmed specificity
- Biophysical QC for unrivalled batch-batch consistency
- Over 30 publications

View Alternative Names

CPT1, CPT1A, CPT1-L, Carnitine palmitoyltransferase 1A, Succinyltransferase CPT1A, CPT I, CPTI-L

12 Images
Flow Cytometry (Intracellular) - Anti-CPT1A antibody [EPR21843-71-2F] (AB234111)
  • Flow Cyt (Intra)

Lab

Flow Cytometry (Intracellular) - Anti-CPT1A antibody [EPR21843-71-2F] (AB234111)

Flow cytometry overlay histogram showing left wild-type HAP1 positive cells and right negative CPT1A knockout HAP1 stained with ab234111 (red line). The cells were fixed with 80% methanol (5 min) and then permeabilised with 0.1% PBS-Triton X-100 for 15 min. The cells were then incubated in 1x PBS containing 10% normal goat serum to block non-specific protein-protein interaction followed by the antibody (ab234111) (1x 106 in 100μl at 1 μg/ml (1/481)) for 30min at 22°C.

The secondary antibody Goat Anti-Rabbit IgG H&L (Alexa Fluor® 488) preadsorbed was incubated at 1/4000 for 30min at 22°C.

Isotype control antibody was Recombinant Rabbit IgG, monoclonal [EPR25A] - Isotype Control (black line) used at the same concentration and conditions as the primary antibody. Unlabelled sample (blue line) was also used as a control.

Acquisition of >5000 events were collected using a 50 mW Blue laser (488nm) and 525/40 bandpass filter.

Flow Cytometry (Intracellular) - Anti-CPT1A antibody [EPR21843-71-2F] (AB234111)
  • Flow Cyt (Intra)

Unknown

Flow Cytometry (Intracellular) - Anti-CPT1A antibody [EPR21843-71-2F] (AB234111)

Intracellular flow cytometric analysis of 4% paraformaldehyde-fixed, 90% methanol-permeabilized SK-OV-3 (human ovarian cancer cell line) cell line labeling CPT1A with ab234111 at 1/50 dilution (red) compared with a Rabbit IgG, monoclonal [EPR25A] - Isotype Control (ab172730) (black) and an unlabeled control (cells without incubation with primary antibody and secondary antibody) (blue). Goat Anti-Rabbit IgG H&L (Alexa Fluor® 488) (ab150077) at 1/2000 dilution was used as the secondary antibody.

Immunohistochemistry (Formalin/PFA-fixed paraffin-embedded sections) - Anti-CPT1A antibody [EPR21843-71-2F] (AB234111)
  • IHC-P

Supplier Data

Immunohistochemistry (Formalin/PFA-fixed paraffin-embedded sections) - Anti-CPT1A antibody [EPR21843-71-2F] (AB234111)

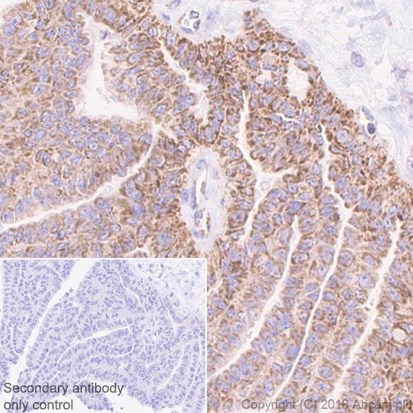
Immunohistochemical analysis of paraffin-embedded human ovarian carcinoma tissue labeling CPT1A with ab234111 at 1/1000 dilution, followed by Goat Anti-Rabbit IgG H&L (HRP) Ready to use. Granular cytoplasmic staining in human ovarian carcinoma (PMID : 26716645) is observed. Counter stained with hematoxylin.

Secondary antibody only control : Used PBS instead of primary antibody, secondary antibody is Goat Anti-Rabbit IgG H&L (HRP) Ready to use.

Perform heat mediated antigen retrieval with Tris/EDTA buffer pH 9.0 before commencing with IHC staining protocol.

Immunohistochemistry (Formalin/PFA-fixed paraffin-embedded sections) - Anti-CPT1A antibody [EPR21843-71-2F] (AB234111)
  • IHC-P

Supplier Data

Immunohistochemistry (Formalin/PFA-fixed paraffin-embedded sections) - Anti-CPT1A antibody [EPR21843-71-2F] (AB234111)

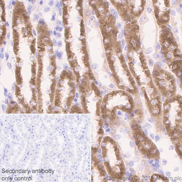
Immunohistochemical analysis of paraffin-embedded human kidney tissue labeling CPT1A with ab234111 at 1/1000 dilution, followed by Goat Anti-Rabbit IgG H&L (HRP) Ready to use. Granular cytoplasmic staining in human kidney (PMID : 18192268; PMID : 28956034; PMID : 15363638; PMID : 8679700) is observed. Counter stained with hematoxylin.

Secondary antibody only control : Used PBS instead of primary antibody, secondary antibody is Goat Anti-Rabbit IgG H&L (HRP) Ready to use.

Perform heat mediated antigen retrieval with Tris/EDTA buffer pH 9.0 before commencing with IHC staining protocol.

Immunohistochemistry (Formalin/PFA-fixed paraffin-embedded sections) - Anti-CPT1A antibody [EPR21843-71-2F] (AB234111)
  • IHC-P

Supplier Data

Immunohistochemistry (Formalin/PFA-fixed paraffin-embedded sections) - Anti-CPT1A antibody [EPR21843-71-2F] (AB234111)

Immunohistochemical analysis of paraffin-embedded human heart tissue labeling CPT1A with ab234111 at 1/1000 dilution, followed by Goat Anti-Rabbit IgG H&L (HRP) Ready to use. Cytoplasmic staining on human heart is observed. Counter stained with hematoxylin.

Secondary antibody only control : Used PBS instead of primary antibody, secondary antibody is Goat Anti-Rabbit IgG H&L (HRP) Ready to use.

Perform heat mediated antigen retrieval with Tris/EDTA buffer pH 9.0 before commencing with IHC staining protocol.

Immunohistochemistry (Formalin/PFA-fixed paraffin-embedded sections) - Anti-CPT1A antibody [EPR21843-71-2F] (AB234111)
  • IHC-P

Supplier Data

Immunohistochemistry (Formalin/PFA-fixed paraffin-embedded sections) - Anti-CPT1A antibody [EPR21843-71-2F] (AB234111)

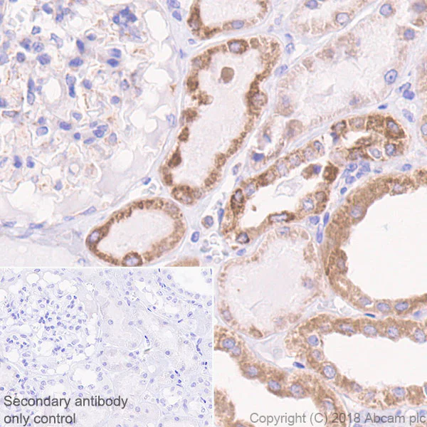
Immunohistochemical analysis of paraffin-embedded rat kidney tissue labeling CPT1A with ab234111 at 1/1000 dilution, followed by Goat Anti-Rabbit IgG H&L (HRP) Ready to use. Granular cytoplasmic staining in rat kidney (PMID : 18192268; PMID : 28956034; PMID : 15363638; PMID : 8679700) is observed. Counter stained with hematoxylin.

Secondary antibody only control : Used PBS instead of primary antibody, secondary antibody is Goat Anti-Rabbit IgG H&L (HRP) Ready to use.

Perform heat mediated antigen retrieval with Tris/EDTA buffer pH 9.0 before commencing with IHC staining protocol.

Immunohistochemistry (Formalin/PFA-fixed paraffin-embedded sections) - Anti-CPT1A antibody [EPR21843-71-2F] (AB234111)
  • IHC-P

Supplier Data

Immunohistochemistry (Formalin/PFA-fixed paraffin-embedded sections) - Anti-CPT1A antibody [EPR21843-71-2F] (AB234111)

Immunohistochemical analysis of paraffin-embedded mouse kidney tissue labeling CPT1A with ab234111 at 1/1000 dilution, followed by Goat Anti-Rabbit IgG H&L (HRP) Ready to use. Cytoplasmic staining in mouse kidney (PMID : 18192268; PMID : 28956034; PMID : 15363638; PMID : 8679700) is observed. Counter stained with hematoxylin.

Secondary antibody only control : Used PBS instead of primary antibody, secondary antibody is Goat Anti-Rabbit IgG H&L (HRP) Ready to use.

Perform heat mediated antigen retrieval with Tris/EDTA buffer pH 9.0 before commencing with IHC staining protocol.

Western blot - Anti-CPT1A antibody [EPR21843-71-2F] (AB234111)
  • WB

Lab

Western blot - Anti-CPT1A antibody [EPR21843-71-2F] (AB234111)

Lanes 1- 2 : Merged signal (red and green). Green - ab234111 observed at 88 kDa. Red - Anti-GAPDH antibody [6C5] - Loading Control (ab8245) observed at 37 kDa.

ab234111 was shown to react with CPT1A in wild-type HEK-293T cells in western blot. Loss of signal was observed when knockout cell line ab266319 (knockout cell lysate ab256880) was used. Wild-type HEK-293T and CPT1A knockout HEK-293T cell lysates were subjected to SDS-PAGE. Membrane was blocked for 1 hour at room temperature in 0.1% TBST with 3% non-fat dried milk. ab234111 and Anti-GAPDH antibody [6C5] - Loading Control (ab8245) overnight at 4°C at a 1 in 1000 dilution and a 1 in 20000 dilution respectively. Blots were developed with Goat anti-Rabbit IgG H&L (IRDye®800CW) preadsorbed (ab216773) and Goat anti-Mouse IgG H&L (IRDye®680RD) preadsorbed (ab216776) secondary antibodies at 1 in 20000 dilution for 1 hour at room temperature before imaging.

All lanes:

Western blot - Anti-CPT1A antibody [EPR21843-71-2F] (ab234111) at 1/1000 dilution

Lane 1:

Wild-type HEK-293T cell lysate at 20 µg

Lane 2:

CPT1A knockout HEK-293T cell lysate at 20 µg

Lane 2:

Western blot - Human CPT1A knockout HEK-293T cell line (<a href='/en-us/products/cell-lines/human-cpt1a-knockout-hek-293t-cell-line-ab266319'>ab266319</a>)

Predicted band size: 88 kDa

Observed band size: 88 kDa

false

Western blot - Anti-CPT1A antibody [EPR21843-71-2F] (AB234111)
  • WB

Supplier Data

Western blot - Anti-CPT1A antibody [EPR21843-71-2F] (AB234111)

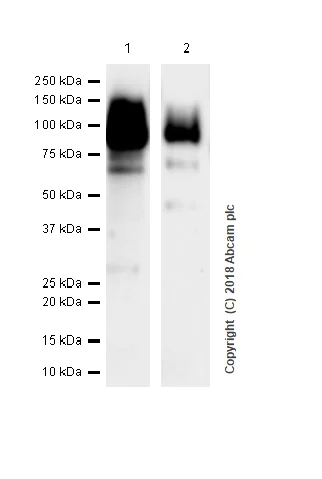
Blocking and diluting buffer : 5% NFDM /TBST

Lanes 1 - 2:

Western blot - Anti-CPT1A antibody [EPR21843-71-2F] (ab234111) at 1/1000 dilution

Lanes 1 - 2:

Western blot - Anti-CPT1A antibody [EPR21843-71-2F] - BSA and Azide free (<a href='/en-us/products/primary-antibodies/cpt1a-antibody-epr21843-71-2f-bsa-and-azide-free-ab235841'>ab235841</a>) at 1/1000 dilution

Lane 1:

Human kidney tissue lysate at 20 µg

Lane 2:

Human liver tissue lysate at 1/20 dilution

Secondary

All lanes:

Western blot - VeriBlot for IP Detection Reagent (HRP) (<a href='/en-us/products/reagents/veriblot-for-ip-detection-reagent-hrp-ab131366'>ab131366</a>) at 1/1000 dilution

Observed band size: 88 kDa

false

Exposure time: 92s

Western blot - Anti-CPT1A antibody [EPR21843-71-2F] (AB234111)
  • WB

Supplier Data

Western blot - Anti-CPT1A antibody [EPR21843-71-2F] (AB234111)

Blocking/Dilution buffer : 5% NFDM/TBST.

ab234111 was shown to specifically react with CPT1A in wild-type HAP1 cells as signal was lost in CPT1A knockout cells. Wild-type and CPT1A knockout samples were subjected to SDS-PAGE. ab234111 and ab181602 (Rabbit anti-GAPDH loading control) were incubated 1 hour at room temperature at 1/1000 dilution and 1/200,000 dilution respectively. Blots were developed with Goat Anti-Rabbit IgG, (H+L), Peroxidase conjugated (ab97051) secondary antibody at 1/100,000 dilution for 1 hour at room temperature before imaging. The blot was developed on a BIO-RAD® ChemiDoc™ MP instrument using the ECL technique.

All lanes:

Western blot - Anti-CPT1A antibody [EPR21843-71-2F] (ab234111) at 1/1000 dilution

Lane 1:

Wild-type HAP1 whole cell lysate at 20 µg

Lane 2:

CPT1A knockout HAP1 whole cell lysate at 20 µg

Lane 3:

HeLa (human epithelial cell line from cervix adenocarcinoma) whole cell lysate at 20 µg

Lane 4:

SK-OV-3 (human ovarian cancer cell line) whole cell lysate at 20 µg

Secondary

All lanes:

Western blot - Goat Anti-Rabbit IgG H&L (HRP) (<a href='/en-us/products/secondary-antibodies/goat-rabbit-igg-h-l-hrp-ab97051'>ab97051</a>) at 1/100000 dilution

Predicted band size: 88 kDa

Observed band size: 88 kDa

false

Exposure time: 92s

Western blot - Anti-CPT1A antibody [EPR21843-71-2F] (AB234111)
  • WB

Supplier Data

Western blot - Anti-CPT1A antibody [EPR21843-71-2F] (AB234111)

Blocking and diluting buffer : 5% NFDM/TBST

Lanes 1 - 3:

Western blot - Anti-CPT1A antibody [EPR21843-71-2F] - BSA and Azide free (<a href='/en-us/products/primary-antibodies/cpt1a-antibody-epr21843-71-2f-bsa-and-azide-free-ab235841'>ab235841</a>) at 1/1000 dilution

Lanes 1 - 3:

Western blot - Anti-CPT1A antibody [EPR21843-71-2F] (ab234111) at 1/1000 dilution

Lane 1:

MCF7 (Human breast adenocarcinoma epithelial cell) cell lysate at 20 µg

Lane 2:

HeLa (Human cervix adenocarcinoma epithelial cell) cell lysate at 20 µg

Lane 3:

HepG2 (Human hepatocellular carcinoma epithelial cell) cell lysate at 20 µg

Secondary

All lanes:

Western blot - Goat Anti-Rabbit IgG H&L (HRP) (<a href='/en-us/products/secondary-antibodies/goat-rabbit-igg-h-l-hrp-ab97051'>ab97051</a>) at 1/20000 dilution

Observed band size: 88 kDa

false

Exposure time: 180s

Western blot - Anti-CPT1A antibody [EPR21843-71-2F] (AB234111)
  • WB

Supplier Data

Western blot - Anti-CPT1A antibody [EPR21843-71-2F] (AB234111)

Exposure time : Lanes 1 and 2 : 3 minutes; Lane 3 : 37 seconds; Lane 4 : 114 seconds; Lane 5 : 15 seconds; Lanes 6 and 7 : 92 seconds.

Blocking/Dilution buffer : 5% NFDM/TBST.

All lanes:

Western blot - Anti-CPT1A antibody [EPR21843-71-2F] (ab234111) at 1/1000 dilution

Lane 1:

C6 (rat glial tumor cell line) whole cell lysate at 20 µg

Lane 2:

MCF7 (human breast adenocarcinoma cell line) whole cell lysate at 20 µg

Lane 3:

Mouse kidney lysate at 20 µg

Lane 4:

Rat kidney lysate at 20 µg

Lane 5:

Human kidney lysate at 20 µg

Lane 6:

HeLa (human epithelial cell line from cervix adenocarcinoma) whole cell lysate at 20 µg

Lane 7:

SK-OV-3 (human ovarian cancer cell line) whole cell lysate at 20 µg

Secondary

Lanes 1, 2, 3, 4, 6 and 7:

Western blot - Goat Anti-Rabbit IgG H&L (HRP) (<a href='/en-us/products/secondary-antibodies/goat-rabbit-igg-h-l-hrp-ab97051'>ab97051</a>) at 1/100000 dilution

Lane 5:

Western blot - VeriBlot for IP Detection Reagent (HRP) (<a href='/en-us/products/reagents/veriblot-for-ip-detection-reagent-hrp-ab131366'>ab131366</a>) at 1/1000 dilution

Predicted band size: 88 kDa

Observed band size: 88 kDa

false

  • Carrier free

    Anti-CPT1A antibody [EPR21843-71-2F] - BSA and Azide free

Key facts

Host species

Rabbit

Clonality

Monoclonal

Clone number

EPR21843-71-2F

Isotype

IgG

Carrier free

No

Reacts with

Mouse, Rat, Human

Applications

Flow Cyt (Intra), IHC-P, WB

applications

Immunogen

The exact immunogen used to generate this antibody is proprietary information.

Specificity

We detected weak cross-reactivity with CPT1B with the recombinant protein only. Our WB images were generated by testing unboiled samples only.

Reactivity data

{ "title": "Reactivity Data", "filters": { "stats": ["", "Species", "Dilution Info", "Notes"], "tabs": { "all-applications": {"fullname" : "All Applications", "shortname": "All Applications"}, "WB" : {"fullname" : "Western blot", "shortname":"WB"}, "FlowCytIntra" : {"fullname" : "Flow Cytometry (Intracellular)", "shortname":"Flow Cyt (Intra)"}, "IHCP" : {"fullname" : "Immunohistochemistry (Formalin/PFA-fixed paraffin-embedded sections)", "shortname":"IHC-P"} }, "product-promise": { "all": "all", "testedAndGuaranteed": "tested", "guaranteed": "expected", "predicted": "predicted", "notRecommended": "not-recommended" } }, "values": { "Human": { "WB-species-checked": "testedAndGuaranteed", "WB-species-dilution-info": "1/1000", "WB-species-notes": "<p></p>", "FlowCytIntra-species-checked": "testedAndGuaranteed", "FlowCytIntra-species-dilution-info": "", "FlowCytIntra-species-notes": "<p></p>", "IHCP-species-checked": "testedAndGuaranteed", "IHCP-species-dilution-info": "1/1000", "IHCP-species-notes": "<p></p>" }, "Mouse": { "WB-species-checked": "testedAndGuaranteed", "WB-species-dilution-info": "1/1000", "WB-species-notes": "<p></p>", "FlowCytIntra-species-checked": "guaranteed", "FlowCytIntra-species-dilution-info": "", "FlowCytIntra-species-notes": "", "IHCP-species-checked": "testedAndGuaranteed", "IHCP-species-dilution-info": "1/1000", "IHCP-species-notes": "<p></p>" }, "Rat": { "WB-species-checked": "testedAndGuaranteed", "WB-species-dilution-info": "1/1000", "WB-species-notes": "<p></p>", "FlowCytIntra-species-checked": "guaranteed", "FlowCytIntra-species-dilution-info": "", "FlowCytIntra-species-notes": "", "IHCP-species-checked": "testedAndGuaranteed", "IHCP-species-dilution-info": "1/1000", "IHCP-species-notes": "<p></p>" } } }

Product details

What is this antibody validated in?
Anti-CPT1A antibody [EPR21843-71-2F] (ab234111) is a rabbit recombinant monoclonal antibody and is validated for use in Western Blot (WB), Flow Cytometry (Intra), Flow Cytometry (Flow Cyt), Immunohistochemistry (IHC-P) in Human, Mouse, Rat samples.

What is the molecular weight of CPT1A?
Anti-CPT1A [EPR21843-71-2F] (ab234111) specifically detects a band for CPT1A (UniProt: P50416) at a molecular weight of 88kDa.

Trusted by the scientific community
Anti-CPT1A [EPR21843-71-2F] (ab234111) was first used in a scientific publication in 2018 and has been cited over 30 times in peer-reviewed journals.

Trial sizes available!
Test your antibody or perform pre-screening before committing to a larger quantity. Sold in 10µl. Discover our selection of trial-size antibodies.

Specificity confirmed
The specificity of Anti-CPT1A antibody [EPR21843-71-2F] (ab234111) has been confirmed by Western blot testing in CPT1A Knockout HAP1 cells.

Other related products
We have a range of other formats of antibody clone [EPR21843-71-2F] also available for your convenience: ab234111, Carrier free - ab235841

Patented technology
Our RabMAb® technology is a patented hybridoma-based technology for making rabbit monoclonal antibodies. For details on our patents, please refer to RabMAb® patents.

What are the advantages of a recombinant monoclonal antibody?
This product is a recombinant monoclonal antibody, which offers several advantages including:

  • - High batch-to-batch consistency and reproducibility
  • - Improved sensitivity and specificity
  • - Long-term security of supply
  • - Animal-free batch production

For more information, read more on recombinant antibodies.

Properties and storage information

Form
Liquid
Purification technique
Affinity purification Protein A
Storage buffer
pH: 7.2 - 7.4 Preservative: 0.01% Sodium azide Constituents: PBS, 40% Glycerol (glycerin, glycerine), 0.05% BSA
Shipped at conditions
Blue Ice
Appropriate short-term storage duration
1-2 weeks
Appropriate short-term storage conditions
+4°C
Appropriate long-term storage conditions
-20°C
Aliquoting information
Upon delivery aliquot
Storage information
Avoid freeze / thaw cycle

Supplementary information

This supplementary information is collated from multiple sources and compiled automatically.

CPT1A also known as carnitine palmitoyltransferase 1A is a vital enzyme involved in the transport of long-chain fatty acids across the mitochondrial membrane. This protein facilitates the conversion of fatty acids into acyl-carnitine a process necessary for beta-oxidation within the mitochondria. The molecular weight of CPT1A is approximately 88 kDa. CPT1A predominantly expresses in liver cells where energy metabolism from fatty acids is important. Alternate names for this target include CPT 1 and CTP1A reflecting its central role in metabolic processes related to lipid utilization.
Biological function summary

CPT1A plays a vital role in energy production by facilitating mitochondrial fatty acid oxidation. It does not function as a solitary enzyme but often associates with other enzymes forming a multiprotein complex that includes acyl-CoA synthetase. This complex enables efficient fatty acid transport and oxidation converting stored fats into usable energy. As CPT1A primarily operates in the liver its activity significantly impacts overall lipid and energy homeostasis demonstrating its critical regulatory role.

Pathways

CPT1A is central to the fatty acid beta-oxidation pathway an important process for breaking down fatty acids to produce energy. This pathway also involves proteins such as CPT1B a related isoform present in muscle tissues. CPT1A's function is important in the liver's capacity to regulate energy balance and respond to metabolic demands. Additionally CPT1A interacts within the signaling pathway of AMPK (AMP-activated protein kinase) which further integrates it into broader metabolic regulation networks linking energy status to cellular function.

CPT1A is notably associated with metabolic syndromes and fatty liver disease. Mutations or deficiencies in CPT1A can lead to disorders like hepatic carnitine palmitoyltransferase 1A deficiency characterized by hypoketotic hypoglycemia and hepatomegaly. Furthermore its dysregulation can impact proteins such as ACC1 (acetyl-CoA carboxylase) in the context of metabolic syndrome. Research continues to explore the implications of CPT1A in non-alcoholic steatohepatitis highlighting its relevance in liver energy metabolism disorders and their pathophysiology.

Product protocols

For this product, it's our understanding that no specific protocols are required. You can visit:

Target data

Catalyzes the transfer of the acyl group of long-chain fatty acid-CoA conjugates onto carnitine, an essential step for the mitochondrial uptake of long-chain fatty acids and their subsequent beta-oxidation in the mitochondrion (PubMed : 11350182, PubMed : 14517221, PubMed : 16651524, PubMed : 9691089). Also possesses a lysine succinyltransferase activity that can regulate enzymatic activity of substrate proteins such as ENO1 and metabolism independent of its classical carnitine O-palmitoyltransferase activity (PubMed : 29425493). Plays an important role in hepatic triglyceride metabolism (By similarity). Also plays a role in inducible regulatory T-cell (iTreg) differentiation once activated by butyryl-CoA that antagonizes malonyl-CoA-mediated CPT1A repression (By similarity). Sustains the IFN-I response by recruiting ZDHCC4 to palmitoylate MAVS at the mitochondria leading to MAVS stabilization and activation (PubMed : 38016475). Promotes ROS-induced oxidative stress in liver injury via modulation of NFE2L2 and NLRP3-mediated signaling pathways (By similarity).
See full target information CPT1A

Publications (64)

Recent publications for all applications. Explore the full list and refine your search

BMC complementary medicine and therapies 25:365 PubMed41068844

2025

Geniposide alleviates kidney fibrosis by targeting STAT3-HK2-mediated glycolysis.

Applications

Unspecified application

Species

Unspecified reactive species

Rui Shi,Meng-Qian Liu,Jian-Ping Xiao,Yv-Ke Zhu,Jia-Xin Zhu,Wen-Man Zhao,Zhi-Juan Wang,Yv-Yv Zhu,Xun-Liang Li,Xue-Rong Wang,Rui-Feng Wang,De-Guang Wang

PloS one 20:e0328139 PubMed40825027

2025

Curcumin inhibits ferroptosis through dessuccinylation of SIRT5-associated ACSL4 protein, and plays a chondroprotective role in osteoarthritis.

Applications

Unspecified application

Species

Unspecified reactive species

Yong Xu,Yongxia Li,Lei Liu,Qingling Jing,Xiaojian Ye

Theranostics 15:6516-6533 PubMed40521210

2025

Loss of in Pancreatic Adenocarcinoma Reversed the Tumor-Promoting Effects of a High-Fat Diet.

Applications

Unspecified application

Species

Unspecified reactive species

Sang Myung Woo,Ho Lee,Joon Hee Kang,Mingyu Kang,Wonyoung Choi,Sung Hoon Sim,Jung Won Chun,Nayoung Han,Kyung-Hee Kim,Woojin Ham,Woosol Hong,Chaeyoung Kim,Jeong Hwan Park,Dawool Han,Jong In Yook,Woo Jin Lee,Soo-Youl Kim

Cell death & disease 16:308 PubMed40240362

2025

IGF2BP3/ESM1/KLF10/BECN1 positive feedback loop: a novel therapeutic target in ovarian cancer via lipid metabolism reprogramming.

Applications

Unspecified application

Species

Unspecified reactive species

Anbo Gao,Juan Zou,Tian Zeng,Mei Qin,Xing Tang,Ting Yi,Guangming Song,Jie Zhong,Yuhuan Zeng,Wenchao Zhou,Qin Gao,Qunfeng Zhang,Juan Zhang,Yukun Li

Acta pharmaceutica Sinica. B 15:1143-1158 PubMed40177554

2025

Modulating active targeting nanoparticle design according to tumor progressions.

Applications

Unspecified application

Species

Unspecified reactive species

Huifang Nie,Rong Huang,Guangwei Jiang,Wenshuai Li,Lan Yang,Meng Zhang,Min Qian,Wei Guo,Tao Ye,Rongqin Huang

Frontiers in pharmacology 16:1542143 PubMed40144651

2025

Unraveling the molecular mechanisms of Fufangduzhong formula in alleviating high-fat diet-induced non-alcoholic fatty liver disease in mice.

Applications

Unspecified application

Species

Unspecified reactive species

Yu Mou,Yao Tang,Xiuyan Zheng,Xiang Liu,Xuemei Wu,Hongji Wang,Jie Zeng,Qing Rao,Yaacov Ben-David,Yanmei Li,Lei Huang

Acta pharmaceutica Sinica. B 15:256-277 PubMed40041918

2025

Reversing metabolic reprogramming by CPT1 inhibition with etomoxir promotes cardiomyocyte proliferation and heart regeneration DUSP1 ADP-ribosylation-mediated p38 MAPK phosphorylation.

Applications

Unspecified application

Species

Unspecified reactive species

Luxun Tang,Yu Shi,Qiao Liao,Feng Wang,Hao Wu,Hongmei Ren,Xuemei Wang,Wenbin Fu,Jialing Shou,Wei Eric Wang,Pedro A Jose,Yongjian Yang,Chunyu Zeng

Molecular cancer 24:34 PubMed39876004

2025

Sorafenib enhanced the function of myeloid-derived suppressor cells in hepatocellular carcinoma by facilitating PPARα-mediated fatty acid oxidation.

Applications

Unspecified application

Species

Unspecified reactive species

Chunxiao Li,Liting Xiong,Yuhan Yang,Ping Jiang,Junjie Wang,Mengyuan Li,Shuhua Wei,Suqing Tian,Yuexuan Wang,Mi Zhang,Jie Tang

BMC biology 22:302 PubMed39736678

2024

N6-methyladenosine regulates metabolic remodeling in kidney aging through transcriptional regulator GLIS1.

Applications

Unspecified application

Species

Unspecified reactive species

Li Xu,Shuo Chen,Qiuling Fan,Yonghong Zhu,Hang Mei,Jiao Wang,Hongyuan Yu,Ying Chen,Fan Liu

PPAR research 2024:4164906 PubMed39735727

2024

Clinical Relevance and Drug Modulation of PPAR Signaling Pathway in Triple-Negative Breast Cancer: A Comprehensive Analysis.

Applications

Unspecified application

Species

Unspecified reactive species

Yanxia Zhang,Yunduo Liu,Mei Zhang,Guanjie Li,Siling Zhu,Keping Xie,Bin Xiao,Linhai Li
View all publications

Product promise

We are committed to supporting your work with high-quality reagents, and we're here for you every step of the way. In the unlikely event that one of our products does not perform as expected, you're protected by our Product Promise.
For full details, please see our Terms & Conditions

Please note: All products are 'FOR RESEARCH USE ONLY. NOT FOR USE IN DIAGNOSTIC OR THERAPEUTIC PROCEDURES'.

For licensing inquiries, please contact partnerships@abcam.com