JavaScript is disabled in your browser. Please enable JavaScript to view this website.
AB316934

Anti-Cpt1c/CPT1-B antibody [EPR28434-111] - BSA and Azide free

Be the first to review this product! Submit a review

|

(0 Publication)

Rabbit Recombinant Monoclonal Cpt1c/CPT1-B antibody. Carrier free. Suitable for WB, IP and reacts with Human samples.

View Alternative Names

CATL1, CPT1C, Palmitoyl thioesterase CPT1C, Carnitine palmitoyltransferase 1C, Carnitine palmitoyltransferase I, CPTI-B, CPT I-C

3 Images
Immunoprecipitation - Anti-Cpt1c/CPT1-B antibody [EPR28434-111] - BSA and Azide free (AB316934)
  • IP

Supplier Data

Immunoprecipitation - Anti-Cpt1c/CPT1-B antibody [EPR28434-111] - BSA and Azide free (AB316934)

This data was developed using ab316933, the same antibody clone in a different buffer formulation.

Cpt1c/CPT1-B was immunoprecipitated from 0.35 mg SH-SY5Y (human neuroblastoma epithelial cell) whole cell lysate with ab316933 at 1/30 dilution (2ug in 0.35mg lysates). Western blot was performed on the immunoprecipitate using ab316933 at 1/1000 dilution. VeriBlot for IP secondary antibody(HRP)(ab131366) was used at 1/5000 dilution.

Lane 1 : SH-SY5Y (human neuroblastoma epithelial cell) whole cell lysate
Lane 2 : ab316933 IP in SH-SY5Y (human neuroblastoma epithelial cell) whole cell lysate
Lane 3 : Rabbit monoclonal IgG (ab172730) instead of ab316933 in SH-SY5Y whole cell lysate

All lanes:

Immunoprecipitation - Anti-Cpt1c/CPT1-B antibody [EPR28434-111] (<a href='/en-us/products/primary-antibodies/cpt1c-cpt1-b-antibody-epr28434-111-ab316933'>ab316933</a>) at 1/30 dilution

All lanes:

SH-SY5Y (human neuroblastoma epithelial cell) whole cell lysate

Secondary

All lanes:

Immunoprecipitation - VeriBlot for IP Detection Reagent (HRP) (<a href='/en-us/products/reagents/veriblot-for-ip-detection-reagent-hrp-ab131366'>ab131366</a>) at 1/5000 dilution

false

Exposure time: 180s

Western blot - Anti-Cpt1c/CPT1-B antibody [EPR28434-111] - BSA and Azide free (AB316934)
  • WB

Supplier Data

Western blot - Anti-Cpt1c/CPT1-B antibody [EPR28434-111] - BSA and Azide free (AB316934)

This data was developed using ab316933, the same antibody clone in a different buffer formulation.

Negative control : spleen (PMID : 12376098), liver (PMID : 12376098, PMID : 18192268).

Samples are non-boiled as boiling may cause protein aggregation.

The identity of the bands at approximately 150 kDa (in lanes 1-4) and 40 kDa (in lane 5) are unknown.

In Western blot, Anti-GAPDH antibody [EPR16891] - Loading Control (ab181602) staining at 1/200000 dilution.

All lanes:

Western blot - Anti-Cpt1c/CPT1-B antibody [EPR28434-111] (<a href='/en-us/products/primary-antibodies/cpt1c-cpt1-b-antibody-epr28434-111-ab316933'>ab316933</a>) at 1/1000 dilution

Lane 1:

Human brain tissue lysate at 20 µg with 5% NFDM/TBST

Lane 2:

Human hypothalamus tissue lysate at 20 µg with 5% NFDM/TBST

Lane 3:

Human cerebellum tissue lysate at 20 µg with 5% NFDM/TBST

Lane 4:

Human hippocampus tissue lysate at 20 µg with 5% NFDM/TBST

Lane 5:

Human spleen tissue lysate at 20 µg with 5% NFDM/TBST

Lane 6:

Human liver tissue lysate at 20 µg with 5% NFDM/TBST

Secondary

All lanes:

Goat Anti-Rabbit IgG (HRP) with minimal cross-reactivity with human IgG at 1/2000 dilution

Observed band size: 80 kDa,36 kDa

false

Exposure time: 103s

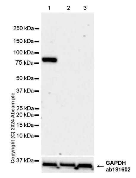
Western blot - Anti-Cpt1c/CPT1-B antibody [EPR28434-111] - BSA and Azide free (AB316934)
  • WB

Supplier Data

Western blot - Anti-Cpt1c/CPT1-B antibody [EPR28434-111] - BSA and Azide free (AB316934)

This data was developed using ab316933, the same antibody clone in a different buffer formulation.

Negative control : 293T (PMID : 18192268), HEL.

Samples are non-boiled as boiling may cause protein aggregation.

In Western blot, Anti-GAPDH antibody [EPR16891] - Loading Control (ab181602) staining at 1/200000 dilution.

All lanes:

Western blot - Anti-Cpt1c/CPT1-B antibody [EPR28434-111] (<a href='/en-us/products/primary-antibodies/cpt1c-cpt1-b-antibody-epr28434-111-ab316933'>ab316933</a>) at 1/1000 dilution

Lane 1:

SH-SY5Y (human neuroblastoma epithelial cell) whole cell lysate at 20 µg with 5% NFDM/TBST

Lane 2:

293T (human embryonic kidney epithelial cell) whole cell lysate at 20 µg with 5% NFDM/TBST

Lane 3:

HEL (erythroleukemia erythroblast) whole cell lysate at 20 µg with 5% NFDM/TBST

Secondary

All lanes:

Western blot - Goat Anti-Rabbit IgG H&L (HRP) (<a href='/en-us/products/secondary-antibodies/goat-rabbit-igg-h-l-hrp-ab97051'>ab97051</a>) at 1/100000 dilution

Observed band size: 80 kDa,36 kDa

false

Exposure time: 103s

Key facts

Host species

Rabbit

Clonality

Monoclonal

Clone number

EPR28434-111

Isotype

IgG

Carrier free

Yes

Reacts with

Human

Applications

WB, IP

applications

Immunogen

The exact immunogen used to generate this antibody is proprietary information.

Reactivity data

{ "title": "Reactivity Data", "filters": { "stats": ["", "Species", "Dilution Info", "Notes"], "tabs": { "all-applications": {"fullname" : "All Applications", "shortname": "All Applications"}, "WB" : {"fullname" : "Western blot", "shortname":"WB"}, "IP" : {"fullname" : "Immunoprecipitation", "shortname":"IP"}, "ICCIF" : {"fullname" : "Immunocytochemistry/ Immunofluorescence", "shortname":"ICC/IF"}, "FlowCytIntra" : {"fullname" : "Flow Cytometry (Intracellular)", "shortname":"Flow Cyt (Intra)"}, "IHCP" : {"fullname" : "Immunohistochemistry (Formalin/PFA-fixed paraffin-embedded sections)", "shortname":"IHC-P"}, "IHCFr" : {"fullname" : "Immunohistochemistry (Frozen sections)", "shortname":"IHC-Fr"} }, "product-promise": { "all": "all", "testedAndGuaranteed": "tested", "guaranteed": "expected", "predicted": "predicted", "notRecommended": "not-recommended" } }, "values": { "Human": { "WB-species-checked": "testedAndGuaranteed", "WB-species-dilution-info": "", "WB-species-notes": "<p></p>", "IP-species-checked": "testedAndGuaranteed", "IP-species-dilution-info": "", "IP-species-notes": "<p></p>", "ICCIF-species-checked": "notRecommended", "ICCIF-species-dilution-info": "", "ICCIF-species-notes": "<p></p>", "FlowCytIntra-species-checked": "notRecommended", "FlowCytIntra-species-dilution-info": "", "FlowCytIntra-species-notes": "<p></p>", "IHCP-species-checked": "notRecommended", "IHCP-species-dilution-info": "", "IHCP-species-notes": "<p></p>", "IHCFr-species-checked": "notRecommended", "IHCFr-species-dilution-info": "", "IHCFr-species-notes": "" }, "Mouse": { "WB-species-checked": "notRecommended", "WB-species-dilution-info": "", "WB-species-notes": "<p></p>", "IP-species-checked": "notRecommended", "IP-species-dilution-info": "", "IP-species-notes": "", "ICCIF-species-checked": "notRecommended", "ICCIF-species-dilution-info": "", "ICCIF-species-notes": "<p></p>", "FlowCytIntra-species-checked": "notRecommended", "FlowCytIntra-species-dilution-info": "", "FlowCytIntra-species-notes": "<p></p>", "IHCP-species-checked": "notRecommended", "IHCP-species-dilution-info": "", "IHCP-species-notes": "<p></p>", "IHCFr-species-checked": "notRecommended", "IHCFr-species-dilution-info": "", "IHCFr-species-notes": "<p></p>" }, "Rat": { "WB-species-checked": "notRecommended", "WB-species-dilution-info": "", "WB-species-notes": "<p></p>", "IP-species-checked": "notRecommended", "IP-species-dilution-info": "", "IP-species-notes": "", "ICCIF-species-checked": "notRecommended", "ICCIF-species-dilution-info": "", "ICCIF-species-notes": "", "FlowCytIntra-species-checked": "notRecommended", "FlowCytIntra-species-dilution-info": "", "FlowCytIntra-species-notes": "", "IHCP-species-checked": "notRecommended", "IHCP-species-dilution-info": "", "IHCP-species-notes": "<p></p>", "IHCFr-species-checked": "notRecommended", "IHCFr-species-dilution-info": "", "IHCFr-species-notes": "" } } }

Product details

ab316934 is the carrirer-free version of ab316933.

Patented technology
Our RabMAb® technology is a patented hybridoma-based technology for making rabbit monoclonal antibodies. For details on our patents, please refer to RabMAb® patents.

What are the advantages of a recombinant monoclonal antibody?
This product is a recombinant monoclonal antibody, which offers several advantages including:

  • - High batch-to-batch consistency and reproducibility
  • - Improved sensitivity and specificity
  • - Long-term security of supply
  • - Animal-free batch production

For more information, read more on recombinant antibodies.

Conjugation ready
Our carrier-free antibodies are typically supplied in a PBS-only formulation, purified and free of BSA, sodium azide and glycerol. This conjugation-ready format is designed for use with fluorochromes, metal isotopes, oligonucleotides, and enzymes, which makes them ideal for antibody labelling, functional and cell-based assays, flow-based assays (e.g. mass cytometry) and Multiplex Imaging applications.

Use our conjugation kits for antibody conjugates that are ready-to-use in as little as 20 minutes with 1 minute hands-on-time and 100% antibody recovery: available for fluorescent dyes, HRP, biotin and gold.

Compatibility
This product is compatible with the Maxpar® Antibody Labeling Kit from Fluidigm, without the need for antibody preparation. Maxpar® is a trademark of Fluidigm Canada Inc.

Properties and storage information

Form
Liquid
Purification technique
Affinity purification Protein A
Storage buffer
pH: 7.2 - 7.4 Constituents: PBS
Shipped at conditions
Blue Ice
Appropriate short-term storage conditions
+4°C
Appropriate long-term storage conditions
+4°C

Product protocols

For this product, it's our understanding that no specific protocols are required. You can visit:

Target data

Palmitoyl thioesterase specifically expressed in the endoplasmic reticulum of neurons. Modulates the trafficking of the glutamate receptor, AMPAR, to plasma membrane through depalmitoylation of GRIA1 (PubMed : 30135643). Also regulates AMPR trafficking through the regulation of SACM1L phosphatidylinositol-3-phosphatase activity by interaction in a malonyl-CoA dependent manner (By similarity). Binds malonyl-CoA and couples malonyl-CoA to ceramide levels, necessary for proper spine maturation and contributing to systemic energy homeostasis and appetite control (PubMed : 16651524). Binds to palmitoyl-CoA, but does not have carnitine palmitoyltransferase 1 catalytic activity or at very low levels (PubMed : 25751282, PubMed : 30135643).
See full target information CPT1C

Product promise

We are committed to supporting your work with high-quality reagents, and we're here for you every step of the way. In the unlikely event that one of our products does not perform as expected, you're protected by our Product Promise.
For full details, please see our Terms & Conditions

Please note: All products are 'FOR RESEARCH USE ONLY. NOT FOR USE IN DIAGNOSTIC OR THERAPEUTIC PROCEDURES'.

For licensing inquiries, please contact partnerships@abcam.com