JavaScript is disabled in your browser. Please enable JavaScript to view this website.
AB231162

Anti-CPT2 antibody [EPR13626] - BSA and Azide free

Be the first to review this product! Submit a review

|

(2 Publications)

Rabbit Recombinant Monoclonal CPT2 antibody. Carrier free. Suitable for WB, ICC/IF, IHC-P and reacts with Human, Mouse, Rat samples. Cited in 2 publications.

View Alternative Names

CPT1, CPT2, Carnitine palmitoyltransferase II, CPT II

9 Images
Immunohistochemistry (Formalin/PFA-fixed paraffin-embedded sections) - Anti-CPT2 antibody [EPR13626] - BSA and Azide free (AB231162)
  • IHC-P

Supplier Data

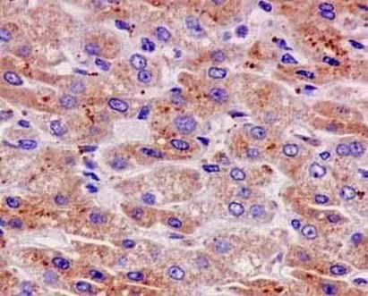
Immunohistochemistry (Formalin/PFA-fixed paraffin-embedded sections) - Anti-CPT2 antibody [EPR13626] - BSA and Azide free (AB231162)

Immunohistochemical analysis of paraffin-embedded Human liver tissue labeling CPT2 with unpurified ab181114 at 1/100 dilution, followed by prediluted HRP Polymer for Rabbit IgG. Counter stained with Hematoxylin.

This data was developed using the same antibody clone in a different buffer formulation containing PBS, BSA, glycerol, and sodium azide (ab181114).

Immunohistochemistry (Formalin/PFA-fixed paraffin-embedded sections) - Anti-CPT2 antibody [EPR13626] - BSA and Azide free (AB231162)
  • IHC-P

Unknown

Immunohistochemistry (Formalin/PFA-fixed paraffin-embedded sections) - Anti-CPT2 antibody [EPR13626] - BSA and Azide free (AB231162)

This IHC data was generated using the same anti-CPT2 antibody clone, EPR13626, in a different buffer formulation (cat# ab181114).

Immunohistochemical analysis of paraffin embedded human liver carcinoma tissue section labelling CPT2/CPT1 with purified ab181114 at dilution of 1/50. The secondary antibody used was Goat Anti-Rabbit IgG H&L (HRP) (ab97051), at a dilution of 1/500. The sample was counter-stained with hematoxylin. Antigen retrieval was perfomed using Tris-EDTA buffer, pH 9.0. PBS was used instead of the primary antibody as the negative control and is shown in the inset.

Immunohistochemistry (Formalin/PFA-fixed paraffin-embedded sections) - Anti-CPT2 antibody [EPR13626] - BSA and Azide free (AB231162)
  • IHC-P

Supplier Data

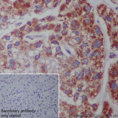
Immunohistochemistry (Formalin/PFA-fixed paraffin-embedded sections) - Anti-CPT2 antibody [EPR13626] - BSA and Azide free (AB231162)

Immunohistochemical analysis of paraffin-embedded Human skeletal muscle tissue labeling CPT2 with unpurified ab181114 at 1/100 dilution, followed by prediluted HRP Polymer for Rabbit IgG. Counter stained with Hematoxylin.

This data was developed using the same antibody clone in a different buffer formulation containing PBS, BSA, glycerol, and sodium azide (ab181114).

Immunocytochemistry/ Immunofluorescence - Anti-CPT2 antibody [EPR13626] - BSA and Azide free (AB231162)
  • ICC/IF

Unknown

Immunocytochemistry/ Immunofluorescence - Anti-CPT2 antibody [EPR13626] - BSA and Azide free (AB231162)

Immunocytochemistry/Immunofluorescence analysis of MCF-7 (human breast carcinoma) cells labelling CPT2 with purified ab181114 at 1/100. Cells were fixed with 100% methanol and permeabilized with 0.1% Triton X-100. ab150077, Alexa Fluor® 488-conjugated goat anti-rabbit IgG (1/1000) was used as the secondary antibody. The cells were co-stained with ab7291, a mouse anti-tubulin antibody (1/1000) using ab150120, an Alexa Fluor® 594-conjugated goat anti-mouse IgG (1/1000) as the secondary. Nuclei couterstained with DAPI (blue).

For negative control 1, rabbit primary antibody was used, followed by anti-mouse secondary antibody (ab150120). For negative control 2, mouse primary antibody (ab7291) was used followed by anti-rabbit secondary antibody (ab150077).

This data was developed using the same antibody clone in a different buffer formulation containing PBS, BSA, glycerol, and sodium azide (ab181114).

Immunocytochemistry/ Immunofluorescence - Anti-CPT2 antibody [EPR13626] - BSA and Azide free (AB231162)
  • ICC/IF

Unknown

Immunocytochemistry/ Immunofluorescence - Anti-CPT2 antibody [EPR13626] - BSA and Azide free (AB231162)

Immunofluorescent analysis of 4% paraformaldehyde-fixed MCF7 cells labeling CPT2 with unpurified ab181114 at 1/100 dilution, followed by Goat anti rabbit IgG (Alexa Fluor® 488) secondary antibody at 1/200 dilution. Counter stained with Dapi.

This data was developed using the same antibody clone in a different buffer formulation containing PBS, BSA, glycerol, and sodium azide (ab181114).

Immunohistochemistry (Formalin/PFA-fixed paraffin-embedded sections) - Anti-CPT2 antibody [EPR13626] - BSA and Azide free (AB231162)
  • IHC-P

Unknown

Immunohistochemistry (Formalin/PFA-fixed paraffin-embedded sections) - Anti-CPT2 antibody [EPR13626] - BSA and Azide free (AB231162)

Immunohistochemical analysis of paraffin embedded rat colon tissue section labelling CPT2 with purified ab181114 at dilution of 1/50. The secondary antibody used was HRP-conjugated Goat Anti-Rabbit IgG H&L (ab97051) at dilution of 1/500. The sample was counter-stained with hematoxylin. Antigen retrieval was perfomed using Tris-EDTA buffer, pH 9.0. PBS was used instead of the primary antibody as the negative control and is shown in the inset.

This data was developed using the same antibody clone in a different buffer formulation containing PBS, BSA, glycerol, and sodium azide (ab181114).

Immunohistochemistry (Formalin/PFA-fixed paraffin-embedded sections) - Anti-CPT2 antibody [EPR13626] - BSA and Azide free (AB231162)
  • IHC-P

Unknown

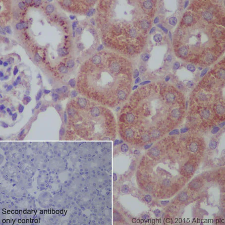
Immunohistochemistry (Formalin/PFA-fixed paraffin-embedded sections) - Anti-CPT2 antibody [EPR13626] - BSA and Azide free (AB231162)

Immunohistochemical analysis of paraffin embedded mouse kidney tissue section labelling CPT2 with purified ab181114 at dilution of 1/50. The secondary antibody used was HRP-conjugated Goat Anti-Rabbit IgG H&L (ab97051) at dilution of 1/500. The sample was counter-stained with hematoxylin. Antigen retrieval was perfomed using Tris-EDTA buffer, pH 9.0. PBS was used instead of the primary antibody as the negative control and is shown in the inset.

This data was developed using the same antibody clone in a different buffer formulation containing PBS, BSA, glycerol, and sodium azide (ab181114).

Western blot - Anti-CPT2 antibody [EPR13626] - BSA and Azide free (AB231162)
  • WB

Lab

Western blot - Anti-CPT2 antibody [EPR13626] - BSA and Azide free (AB231162)

This WB data was generated using the same anti-CPT2 antibody clone, EPR13626, in a different buffer formulation (cat# ab181114).

Lanes 1 - 4 : Merged signal (red and green). Green - ab181114 observed at 70 kDa. Red - loading control, ab8245, observed at 37 kDa.

ab181114 was shown to specifically react with CPT2 in wild-type HAP1 cells. No band was observed when CPT2 knockout samples were examined. Wild-type and CPT2/CPT1 knockout samples were subjected to SDS-PAGE. ab181114 and ab8245 (Mouse anti GAPDH loading control) were incubated overnight at 4°C at 1/1000 dilution and 1/10,000 dilution respectively. Blots were developed with Goat anti-Rabbit IgG H&L (IRDye® 800CW) preabsorbed ab216773 and Goat anti-Mouse IgG H&L (IRDye® 680RD) preabsorbed ab216776 secondary antibodies at 1/10,000 dilution for 1 hour at room temperature before imaging.

All lanes:

Western blot - Anti-CPT2 antibody [EPR13626] - C-terminal (<a href='/en-us/products/primary-antibodies/cpt2-antibody-epr13626-c-terminal-ab181114'>ab181114</a>) at 1/1000 dilution

Lane 1:

Wild-type HAP1 whole cell lysate at 20 µg

Lane 2:

CPT2 knockout HAP1 whole cell lysate at 20 µg

Lane 3:

HeLa whole cell lysate at 20 µg

Lane 4:

MCF7 whole cell lysate at 20 µg

Predicted band size: 74 kDa

false

Western blot - Anti-CPT2 antibody [EPR13626] - BSA and Azide free (AB231162)
  • WB

Lab

Western blot - Anti-CPT2 antibody [EPR13626] - BSA and Azide free (AB231162)

This data was developed using the same antibody clone in a different buffer formulation (ab181114).

Lanes 1- 2 : Merged signal (red and green). Green - ab181114 observed at 74 kDa. Red - Anti-GAPDH antibody [6C5] - Loading Control (ab8245) observed at 37 kDa.

ab181114 was shown to react with CPT2/CPT1 in wild-type HeLa cells in western blot. Loss of signal was observed when knockout cell line ab265931 (knockout cell lysate ab257180) was used. Wild-type HeLa and CPT2 knockout HeLa cell lysates were subjected to SDS-PAGE. Membrane was blocked for 1 hour at room temperature in 0.1% TBST with 3% non-fat dried milk. ab181114 and Anti-GAPDH antibody [6C5] - Loading Control (ab8245) overnight at 4°C at a 1 in 1000 dilution and a 1 in 20000 dilution respectively. Blots were developed with Goat anti-Rabbit IgG H&L (IRDye®800CW) preadsorbed (ab216773) and Goat anti-Mouse IgG H&L (IRDye®680RD) preadsorbed (ab216776) secondary antibodies at 1 in 20000 dilution for 1 hour at room temperature before imaging.

All lanes:

Western blot - Anti-CPT2 antibody [EPR13626] - C-terminal (<a href='/en-us/products/primary-antibodies/cpt2-antibody-epr13626-c-terminal-ab181114'>ab181114</a>) at 1/1000 dilution

Lane 1:

Wild-type HeLa cell lysate at 20 µg

Lane 2:

CPT2 knockout HeLa cell lysate at 20 µg

Lane 2:

Western blot - Human CPT2 knockout HeLa cell line (<a href='/en-us/products/cell-lines/human-cpt2-knockout-hela-cell-line-ab265931'>ab265931</a>)

Predicted band size: 74 kDa

Observed band size: 74 kDa

false

Key facts

Host species

Rabbit

Clonality

Monoclonal

Clone number

EPR13626

Isotype

IgG

Carrier free

Yes

Reacts with

Mouse, Rat, Human

Applications

IHC-P, ICC/IF, WB

applications

Immunogen

The exact immunogen used to generate this antibody is proprietary information.

Reactivity data

{ "title": "Reactivity Data", "filters": { "stats": ["", "Species", "Dilution Info", "Notes"], "tabs": { "all-applications": {"fullname" : "All Applications", "shortname": "All Applications"}, "WB" : {"fullname" : "Western blot", "shortname":"WB"}, "ICCIF" : {"fullname" : "Immunocytochemistry/ Immunofluorescence", "shortname":"ICC/IF"}, "IHCP" : {"fullname" : "Immunohistochemistry (Formalin/PFA-fixed paraffin-embedded sections)", "shortname":"IHC-P"} }, "product-promise": { "all": "all", "testedAndGuaranteed": "tested", "guaranteed": "expected", "predicted": "predicted", "notRecommended": "not-recommended" } }, "values": { "Human": { "WB-species-checked": "testedAndGuaranteed", "WB-species-dilution-info": "", "WB-species-notes": "<p></p>", "ICCIF-species-checked": "testedAndGuaranteed", "ICCIF-species-dilution-info": "", "ICCIF-species-notes": "<p></p>", "IHCP-species-checked": "testedAndGuaranteed", "IHCP-species-dilution-info": "", "IHCP-species-notes": "<p></p>" }, "Mouse": { "WB-species-checked": "testedAndGuaranteed", "WB-species-dilution-info": "", "WB-species-notes": "<p></p>", "ICCIF-species-checked": "guaranteed", "ICCIF-species-dilution-info": "", "ICCIF-species-notes": "", "IHCP-species-checked": "testedAndGuaranteed", "IHCP-species-dilution-info": "", "IHCP-species-notes": "<p></p>" }, "Rat": { "WB-species-checked": "testedAndGuaranteed", "WB-species-dilution-info": "", "WB-species-notes": "<p></p>", "ICCIF-species-checked": "guaranteed", "ICCIF-species-dilution-info": "", "ICCIF-species-notes": "", "IHCP-species-checked": "testedAndGuaranteed", "IHCP-species-dilution-info": "", "IHCP-species-notes": "<p></p>" } } }

Product details

ab231162 is the carrier-free version of ab181114.

Conjugation ready
Our carrier-free antibodies are typically supplied in a PBS-only formulation, purified and free of BSA, sodium azide and glycerol. This conjugation-ready format is designed for use with fluorochromes, metal isotopes, oligonucleotides, and enzymes, which makes them ideal for antibody labelling, functional and cell-based assays, flow-based assays (e.g. mass cytometry) and Multiplex Imaging applications.

Use our conjugation kits for antibody conjugates that are ready-to-use in as little as 20 minutes with 1 minute hands-on-time and 100% antibody recovery: available for fluorescent dyes, HRP, biotin and gold.

Compatibility
This product is compatible with the Maxpar® Antibody Labeling Kit from Fluidigm, without the need for antibody preparation. Maxpar® is a trademark of Fluidigm Canada Inc.

Properties and storage information

Form
Liquid
Purification technique
Affinity purification Protein A
Storage buffer
pH: 7.2 - 7.4 Constituents: PBS
Shipped at conditions
Blue Ice
Appropriate short-term storage conditions
+4°C
Appropriate long-term storage conditions
+4°C
Storage information
Do Not Freeze

Supplementary information

This supplementary information is collated from multiple sources and compiled automatically.

Carnitine palmitoyltransferase 2 (CPT2) also known as CPT-2 is an enzyme located mainly in the mitochondria of liver muscle and heart tissues. This enzyme has a molecular mass of approximately 68 kDa. CPT2 plays a mechanical role in the transfer of long-chain fatty acids from the cytosol into the mitochondrial matrix completing the process initiated by CPT1 on the outer mitochondrial membrane. CPT2 acts on the inner mitochondrial membrane converting acylcarnitine back into acyl-CoA which is an essential step in beta-oxidation. Expression of CPT2 is higher in tissues with elevated fatty acid oxidation rates.
Biological function summary

CPT2 is integral to the mitochondrial pathway of fatty acid metabolism. It functions as part of the carnitine shuttle system a complex important for the conversion of acylcarnitine to acyl-CoA inside the mitochondria. This role is vital for the full oxidation of long-chain fatty acids. Through its action CPT2 aids in maintaining energy homeostasis and producing ketone bodies especially during periods of fasting or strenuous exercise.

Pathways

CPT2 is involved in both the beta-oxidation and the carnitine shuttle pathways. These pathways facilitate the energy production from fatty acids particularly during states of low carbohydrate availability. CPT2 works closely with CPT1 as both enzymes form the gateway for the entry of long-chain fatty acids into mitochondria. Together with enzymes from the tricarboxylic acid cycle CPT2 helps sustain ATP production under such metabolic conditions.

Defects in CPT2 can lead to disorders like CPT2 deficiency which present with symptoms of muscle weakness and recurrent rhabdomyolysis especially during prolonged fasting or significant exercise. This deficiency can also result in hypoketotic hypoglycemia and liver dysfunction. CPT2-related disorders often involve altered interactions with proteins such as the acyl-CoA dehydrogenases impacting the normal fatty acid oxidation process and causing metabolic disturbances.

Product protocols

For this product, it's our understanding that no specific protocols are required. You can visit:

Target data

Involved in the intramitochondrial synthesis of acylcarnitines from accumulated acyl-CoA metabolites (PubMed : 20538056, PubMed : 24780397). Reconverts acylcarnitines back into the respective acyl-CoA esters that can then undergo beta-oxidation, an essential step for the mitochondrial uptake of long-chain fatty acids and their subsequent beta-oxidation in the mitochondrion. Active with medium (C8-C12) and long-chain (C14-C18) acyl-CoA esters (PubMed : 20538056).
See full target information CPT2

Publications (2)

Recent publications for all applications. Explore the full list and refine your search

Cardiovascular research 119:1825-1841 PubMed37225143

2023

Macrophage angiotensin-converting enzyme reduces atherosclerosis by increasing peroxisome proliferator-activated receptor α and fundamentally changing lipid metabolism.

Applications

Unspecified application

Species

Unspecified reactive species

DuoYao Cao,Zakir Khan,Xiaomo Li,Suguru Saito,Ellen A Bernstein,Aaron R Victor,Faizan Ahmed,Aoi O Hoshi,Luciana C Veiras,Tomohiro Shibata,Mingtian Che,Lei Cai,Ryan E Temel,Jorge F Giani,Daniel J Luthringer,Ajit S Divakaruni,Derick Okwan-Duodu,Kenneth E Bernstein

iScience 25:105521 PubMed36425760

2022

Single-cell transcriptomic mapping of intestinal epithelium that undergoes 3D morphogenesis and mechanodynamic stimulation in a gut-on-a-chip.

Applications

Unspecified application

Species

Unspecified reactive species

Woojung Shin,Zhe Su,S Stephen Yi,Hyun Jung Kim
View all publications

Product promise

We are committed to supporting your work with high-quality reagents, and we're here for you every step of the way. In the unlikely event that one of our products does not perform as expected, you're protected by our Product Promise.
For full details, please see our Terms & Conditions

Please note: All products are 'FOR RESEARCH USE ONLY. NOT FOR USE IN DIAGNOSTIC OR THERAPEUTIC PROCEDURES'.

For licensing inquiries, please contact partnerships@abcam.com