JavaScript is disabled in your browser. Please enable JavaScript to view this website.
AB204553

Anti-CPVL antibody

Be the first to review this product! Submit a review

|

(1 Publication)

Rabbit Polyclonal CPVL antibody. Suitable for IHC-P, ICC/IF and reacts with Human samples. Cited in 1 publication. Immunogen corresponding to Recombinant Fragment Protein within Human CPVL aa 250-350.

View Alternative Names

VLP, PSEC0124, UNQ197/PRO223, CPVL, Probable serine carboxypeptidase CPVL, Vitellogenic carboxypeptidase-like protein, VCP-like protein, hVLP

2 Images
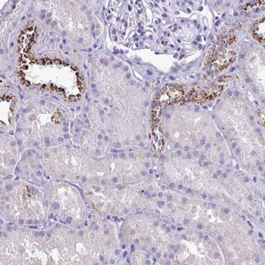
Immunohistochemistry (Formalin/PFA-fixed paraffin-embedded sections) - Anti-CPVL antibody (AB204553)
  • IHC-P

Supplier Data

Immunohistochemistry (Formalin/PFA-fixed paraffin-embedded sections) - Anti-CPVL antibody (AB204553)

Immunohistochemical analysis of paraffin-embedded human kidney tissue labeling CPVL with ab204553 at 1/1000 dilution.

Immunocytochemistry/ Immunofluorescence - Anti-CPVL antibody (AB204553)
  • ICC/IF

Supplier Data

Immunocytochemistry/ Immunofluorescence - Anti-CPVL antibody (AB204553)

Immunofluorescence analysis of CACO-2 cells labeling CPVL with ab204553 at 4 μg/mL.

Fixation/Permeabilization : PFA/Triton X-100

Key facts

Host species

Rabbit

Clonality

Polyclonal

Isotype

IgG

Carrier free

No

Reacts with

Human

Applications

IHC-P, ICC/IF

applications

Immunogen

Recombinant Fragment Protein within Human CPVL aa 250-350. The exact immunogen used to generate this antibody is proprietary information.

Q9H3G5

Reactivity data

{ "title": "Reactivity Data", "filters": { "stats": ["", "Species", "Dilution Info", "Notes"], "tabs": { "all-applications": {"fullname" : "All Applications", "shortname": "All Applications"}, "IHCP" : {"fullname" : "Immunohistochemistry (Formalin/PFA-fixed paraffin-embedded sections)", "shortname":"IHC-P"}, "ICCIF" : {"fullname" : "Immunocytochemistry/ Immunofluorescence", "shortname":"ICC/IF"} }, "product-promise": { "all": "all", "testedAndGuaranteed": "tested", "guaranteed": "expected", "predicted": "predicted", "notRecommended": "not-recommended" } }, "values": { "Human": { "IHCP-species-checked": "testedAndGuaranteed", "IHCP-species-dilution-info": "1/1000 - 1/2500", "IHCP-species-notes": "<p></p> Perform heat-mediated antigen retrieval with citrate buffer pH 6 before commencing with IHC staining protocol.", "ICCIF-species-checked": "testedAndGuaranteed", "ICCIF-species-dilution-info": "0.25-2 µg/mL", "ICCIF-species-notes": "<p></p>" } } }

Properties and storage information

Form
Liquid
Purification technique
Affinity purification Immunogen
Storage buffer
pH: 7.2 Preservative: 0.02% Sodium azide Constituents: PBS, 40% Glycerol (glycerin, glycerine)
Shipped at conditions
Blue Ice
Appropriate short-term storage duration
1-2 weeks
Appropriate short-term storage conditions
+4°C
Appropriate long-term storage conditions
-20°C
Aliquoting information
Upon delivery aliquot
Storage information
Avoid freeze / thaw cycle

Supplementary information

This supplementary information is collated from multiple sources and compiled automatically.

CPVL stands for Carboxypeptidase Vitellogenic-Like and it functions as a serine carboxypeptidase involved in protein degradation processes. Also known by the name serine carboxypeptidase vitellogenic-like CPVL has a molecular mass of approximately 54 kDa. It is expressed mainly in macrophages and monocytes which are important components in the body's immune system. The enzyme plays a role in breaking down cellular proteins as part of normal cellular maintenance and defense mechanisms.
Biological function summary

CPVL contributes to the catabolism of proteins within immune cells aiding in the removal of peptides generated from cellular turnover and antigen processing. As part of the larger molecular complex of proteasomes and other proteolytic systems it participates in maintaining intracellular protein homeostasis. CPVL's activity supports the immune response by processing phosphoproteins and contributing to antigen presentation therefore influencing immune surveillance and response to pathogens.

Pathways

CPVL functions in key biological routes such as protein degradation and immune system regulation processes. Within these pathways CPVL interacts with other peptidases and proteolytic enzymes including the ubiquitin-proteasome system. This interaction highlights its role in managing protein quality control and influencing processes related to inflammation pathways. CPVL might work alongside other proteases like cathepsin L in these pathways emphasizing their coordinated roles in protein catabolism.

CPVL has connections to inflammatory diseases such as atherosclerosis and certain autoimmune conditions. Abnormal expression or mutation of CPVL could lead to altered macrophage function contributing to these conditions' pathogenesis. The protein also interacts in disease contexts with factors like interleukin-6 a cytokine implicated in inflammatory responses. These links suggest CPVL's importance in understanding inflammatory disease mechanisms and potential therapeutic strategies.

Product protocols

For this product, it's our understanding that no specific protocols are required. You can visit:

Target data

May be involved in the digestion of phagocytosed particles in the lysosome, participation in an inflammatory protease cascade, and trimming of peptides for antigen presentation.
See full target information CPVL

Publications (1)

Recent publications for all applications. Explore the full list and refine your search

Molecular cell 84:1304-1320.e16 PubMed38382526

2024

Cullin-RING ligases employ geometrically optimized catalytic partners for substrate targeting.

Applications

Unspecified application

Species

Unspecified reactive species

Jerry Li,Nicholas Purser,Joanna Liwocha,Daniel C Scott,Holly A Byers,Barbara Steigenberger,Spencer Hill,Ishita Tripathi-Giesgen,Trent Hinkle,Fynn M Hansen,J Rajan Prabu,Senthil K Radhakrishnan,Donald S Kirkpatrick,Kurt M Reichermeier,Brenda A Schulman,Gary Kleiger
View all publications

Product promise

We are committed to supporting your work with high-quality reagents, and we're here for you every step of the way. In the unlikely event that one of our products does not perform as expected, you're protected by our Product Promise.
For full details, please see our Terms & Conditions

Please note: All products are 'FOR RESEARCH USE ONLY. NOT FOR USE IN DIAGNOSTIC OR THERAPEUTIC PROCEDURES'.

For licensing inquiries, please contact partnerships@abcam.com