JavaScript is disabled in your browser. Please enable JavaScript to view this website.
AB180147

Anti-CPVL antibody [EPR13153]

Be the first to review this product! Submit a review

|

(4 Publications)

Rabbit Recombinant Monoclonal CPVL antibody. Suitable for WB, IHC-P and reacts with Human samples. Cited in 4 publications.

View Alternative Names

VLP, PSEC0124, UNQ197/PRO223, CPVL, Probable serine carboxypeptidase CPVL, Vitellogenic carboxypeptidase-like protein, VCP-like protein, hVLP

2 Images
Immunohistochemistry (Formalin/PFA-fixed paraffin-embedded sections) - Anti-CPVL antibody [EPR13153] (AB180147)
  • IHC-P

Supplier Data

Immunohistochemistry (Formalin/PFA-fixed paraffin-embedded sections) - Anti-CPVL antibody [EPR13153] (AB180147)

Immunohistochemical analysis of Paraffin-embedded Human spleen tissue labeling CPVL with ab180147 at 1/250 dilution followed by prediluted Goat anti rabbit IgG (HRP). Counter stained with Hematoxylin.

Perform heat mediated antigen retrieval with EDTA buffer pH 9 before commencing with IHC staining protocol.

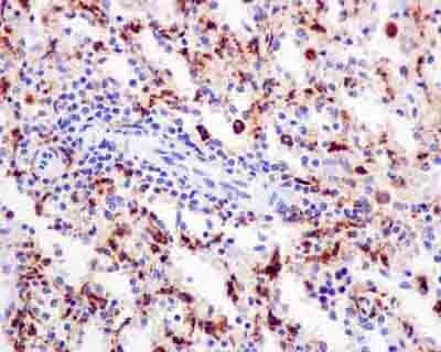
Western blot - Anti-CPVL antibody [EPR13153] (AB180147)
  • WB

Supplier Data

Western blot - Anti-CPVL antibody [EPR13153] (AB180147)

All lanes:

Western blot - Anti-CPVL antibody [EPR13153] (ab180147) at 1/1000 dilution

Lane 1:

HepG2 cell lysate at 20 µg

Lane 2:

293 cell lysate at 20 µg

Secondary

All lanes:

Goat Anti-Rabbit IgG, (H+L), Peroxidase conjugated at 1/1000 dilution

Predicted band size: 54 kDa

false

  • Carrier free

    Anti-CPVL antibody [EPR13153] - BSA and Azide free

Key facts

Host species

Rabbit

Clonality

Monoclonal

Clone number

EPR13153

Isotype

IgG

Carrier free

No

Reacts with

Human

Applications

WB, IHC-P

applications

Immunogen

The exact immunogen used to generate this antibody is proprietary information.

Reactivity data

{ "title": "Reactivity Data", "filters": { "stats": ["", "Species", "Dilution Info", "Notes"], "tabs": { "all-applications": {"fullname" : "All Applications", "shortname": "All Applications"}, "WB" : {"fullname" : "Western blot", "shortname":"WB"}, "IHCP" : {"fullname" : "Immunohistochemistry (Formalin/PFA-fixed paraffin-embedded sections)", "shortname":"IHC-P"} }, "product-promise": { "all": "all", "testedAndGuaranteed": "tested", "guaranteed": "expected", "predicted": "predicted", "notRecommended": "not-recommended" } }, "values": { "Human": { "WB-species-checked": "testedAndGuaranteed", "WB-species-dilution-info": "1/1000", "WB-species-notes": "<p></p>", "IHCP-species-checked": "testedAndGuaranteed", "IHCP-species-dilution-info": "1/250", "IHCP-species-notes": "<p></p>" } } }

Product details

Patented technology
Our RabMAb® technology is a patented hybridoma-based technology for making rabbit monoclonal antibodies. For details on our patents, please refer to RabMAb® patents.

What are the advantages of a recombinant monoclonal antibody?
This product is a recombinant monoclonal antibody, which offers several advantages including:

  • - High batch-to-batch consistency and reproducibility
  • - Improved sensitivity and specificity
  • - Long-term security of supply
  • - Animal-free batch production

For more information, read more on recombinant antibodies.

Properties and storage information

Form
Liquid
Purification technique
Affinity purification Protein A
Storage buffer
Preservative: 0.01% Sodium azide Constituents: PBS, 40% Glycerol (glycerin, glycerine), 0.05% BSA
Shipped at conditions
Blue Ice
Appropriate short-term storage duration
1-2 weeks
Appropriate short-term storage conditions
+4°C
Appropriate long-term storage conditions
-20°C
Aliquoting information
Upon delivery aliquot
Storage information
Avoid freeze / thaw cycle

Supplementary information

This supplementary information is collated from multiple sources and compiled automatically.

CPVL stands for Carboxypeptidase Vitellogenic-Like and it functions as a serine carboxypeptidase involved in protein degradation processes. Also known by the name serine carboxypeptidase vitellogenic-like CPVL has a molecular mass of approximately 54 kDa. It is expressed mainly in macrophages and monocytes which are important components in the body's immune system. The enzyme plays a role in breaking down cellular proteins as part of normal cellular maintenance and defense mechanisms.
Biological function summary

CPVL contributes to the catabolism of proteins within immune cells aiding in the removal of peptides generated from cellular turnover and antigen processing. As part of the larger molecular complex of proteasomes and other proteolytic systems it participates in maintaining intracellular protein homeostasis. CPVL's activity supports the immune response by processing phosphoproteins and contributing to antigen presentation therefore influencing immune surveillance and response to pathogens.

Pathways

CPVL functions in key biological routes such as protein degradation and immune system regulation processes. Within these pathways CPVL interacts with other peptidases and proteolytic enzymes including the ubiquitin-proteasome system. This interaction highlights its role in managing protein quality control and influencing processes related to inflammation pathways. CPVL might work alongside other proteases like cathepsin L in these pathways emphasizing their coordinated roles in protein catabolism.

CPVL has connections to inflammatory diseases such as atherosclerosis and certain autoimmune conditions. Abnormal expression or mutation of CPVL could lead to altered macrophage function contributing to these conditions' pathogenesis. The protein also interacts in disease contexts with factors like interleukin-6 a cytokine implicated in inflammatory responses. These links suggest CPVL's importance in understanding inflammatory disease mechanisms and potential therapeutic strategies.

Product protocols

For this product, it's our understanding that no specific protocols are required. You can visit:

Target data

May be involved in the digestion of phagocytosed particles in the lysosome, participation in an inflammatory protease cascade, and trimming of peptides for antigen presentation.
See full target information CPVL

Publications (4)

Recent publications for all applications. Explore the full list and refine your search

Thoracic cancer 14:983-991 PubMed36825764

2023

Carboxypeptidase vitellogenic like facilitates resistance to CDK4/6 inhibitors in breast cancer.

Applications

Unspecified application

Species

Unspecified reactive species

Xiang Zhu,Xiaojie Xu,Lin Zhang,Xuhui Yang

The Journal of biological chemistry 298:102681 PubMed36356899

2022

MITF is a novel transcriptional regulator of the calcium sensor STIM1: Significance in physiological melanogenesis.

Applications

Unspecified application

Species

Unspecified reactive species

Jyoti Tanwar,Akshay Sharma,Suman Saurav, Shyamveer,Nidhi Jatana,Rajender K Motiani

Frontiers in genetics 13:882519 PubMed35719369

2022

Integrative Analysis Identifies a TNFα-Derived Gene Signature for Predicting Prognosis, Tumor Immunity, and Treatment Sensitivity in Gastric Cancer.

Applications

Unspecified application

Species

Unspecified reactive species

Ke Wang,Lina Qi,Hua Sun,Min Diao,Lin Yang

JCI insight 6: PubMed34784299

2021

CPVL promotes glioma progression via STAT1 pathway inhibition through interactions with the BTK/p300 axis.

Applications

Unspecified application

Species

Unspecified reactive species

Hui Yang,Xiaocen Liu,Xiaolong Zhu,Xueqin Li,Lan Jiang,Min Zhong,Mengying Zhang,Tianbing Chen,Mingzhe Ma,Xiuming Liang,Kun Lv
View all publications

Product promise

We are committed to supporting your work with high-quality reagents, and we're here for you every step of the way. In the unlikely event that one of our products does not perform as expected, you're protected by our Product Promise.
For full details, please see our Terms & Conditions

Please note: All products are 'FOR RESEARCH USE ONLY. NOT FOR USE IN DIAGNOSTIC OR THERAPEUTIC PROCEDURES'.

For licensing inquiries, please contact partnerships@abcam.com