JavaScript is disabled in your browser. Please enable JavaScript to view this website.
AB235838

Anti-CRABP1 antibody

Be the first to review this product! Submit a review

|

(3 Publications)

Rabbit Polyclonal CRABP1 antibody. Suitable for WB, IHC-P and reacts with Mouse, Human samples. Cited in 3 publications. Immunogen corresponding to Recombinant Full Length Protein corresponding to Human CRABP1.

View Alternative Names

RBP5, CRABP1, Cellular retinoic acid-binding protein 1, Cellular retinoic acid-binding protein I, CRABP-I

3 Images
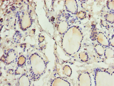
Immunohistochemistry (Formalin/PFA-fixed paraffin-embedded sections) - Anti-CRABP1 antibody (AB235838)
  • IHC-P

Supplier Data

Immunohistochemistry (Formalin/PFA-fixed paraffin-embedded sections) - Anti-CRABP1 antibody (AB235838)

Paraffin-embedded human thyroid tissue stained for CRABP1 using ab235838 at 1/100 dilution in immunohistochemical analysis.

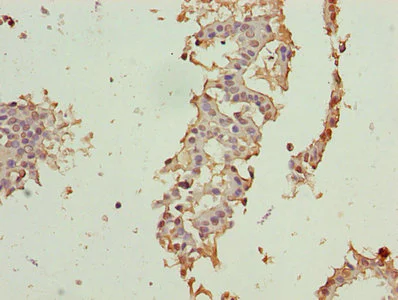
Immunohistochemistry (Formalin/PFA-fixed paraffin-embedded sections) - Anti-CRABP1 antibody (AB235838)
  • IHC-P

Supplier Data

Immunohistochemistry (Formalin/PFA-fixed paraffin-embedded sections) - Anti-CRABP1 antibody (AB235838)

Paraffin-embedded human breast cancer tissue stained for CRABP1 using ab235838 at 1/100 dilution in immunohistochemical analysis.

Western blot - Anti-CRABP1 antibody (AB235838)
  • WB

Supplier Data

Western blot - Anti-CRABP1 antibody (AB235838)

All lanes:

Western blot - Anti-CRABP1 antibody (ab235838) at 1/500 dilution

Lane 1:

NIH/3T3 (mouse embyro fibroblast cell line) whole cell lysate

Lane 2:

Mouse ocular lysate

Secondary

All lanes:

Goat polyclonal to Rabbit IgG at 1/10000 dilution

Predicted band size: 15 kDa

false

Key facts

Host species

Rabbit

Clonality

Polyclonal

Isotype

IgG

Carrier free

No

Reacts with

Mouse, Human

Applications

IHC-P, WB

applications

Immunogen

Recombinant Full Length Protein corresponding to Human CRABP1.

P29762

Reactivity data

{ "title": "Reactivity Data", "filters": { "stats": ["", "Species", "Dilution Info", "Notes"], "tabs": { "all-applications": {"fullname" : "All Applications", "shortname": "All Applications"}, "WB" : {"fullname" : "Western blot", "shortname":"WB"}, "IHCP" : {"fullname" : "Immunohistochemistry (Formalin/PFA-fixed paraffin-embedded sections)", "shortname":"IHC-P"} }, "product-promise": { "all": "all", "testedAndGuaranteed": "tested", "guaranteed": "expected", "predicted": "predicted", "notRecommended": "not-recommended" } }, "values": { "Human": { "WB-species-checked": "guaranteed", "WB-species-dilution-info": "", "WB-species-notes": "", "IHCP-species-checked": "testedAndGuaranteed", "IHCP-species-dilution-info": "1/20 - 1/200", "IHCP-species-notes": "<p></p>" }, "Mouse": { "WB-species-checked": "testedAndGuaranteed", "WB-species-dilution-info": "1/500 - 1/2000", "WB-species-notes": "<p></p>", "IHCP-species-checked": "guaranteed", "IHCP-species-dilution-info": "", "IHCP-species-notes": "" }, "Rat": { "WB-species-checked": "predicted", "WB-species-dilution-info": "", "WB-species-notes": "", "IHCP-species-checked": "predicted", "IHCP-species-dilution-info": "", "IHCP-species-notes": "" }, "Chicken": { "WB-species-checked": "predicted", "WB-species-dilution-info": "", "WB-species-notes": "", "IHCP-species-checked": "predicted", "IHCP-species-dilution-info": "", "IHCP-species-notes": "" }, "Cow": { "WB-species-checked": "predicted", "WB-species-dilution-info": "", "WB-species-notes": "", "IHCP-species-checked": "predicted", "IHCP-species-dilution-info": "", "IHCP-species-notes": "" } } }

Properties and storage information

Form
Liquid
Purification technique
Affinity purification Protein G
Purification notes
Purity >95%.
Storage buffer
pH: 7.4 Preservative: 0.03% Proclin 300 Constituents: PBS, 50% Glycerol (glycerin, glycerine)
Shipped at conditions
Blue Ice
Appropriate short-term storage duration
1-2 weeks
Appropriate short-term storage conditions
+4°C
Appropriate long-term storage conditions
-20°C
Aliquoting information
Upon delivery aliquot
Storage information
Avoid freeze / thaw cycle

Supplementary information

This supplementary information is collated from multiple sources and compiled automatically.

CRABP1 also known as Cellular Retinoic Acid Binding Protein 1 is a small protein with a molecular mass of around 15 kDa. It mainly binds and transports retinoic acid a metabolite of vitamin A that is important for cell growth and differentiation. CRABP1 is typically expressed in various tissues including the skin eyes and central nervous system. It provides cells with a way to regulate retinoic acid levels acting as a buffer and maintaining proper cellular functioning.
Biological function summary

CRABP1 plays a significant role in modulating the access of retinoic acid to nuclear receptors by controlling its availability in the cell. It is not part of a large protein complex but instead often acts independently to manage intracellular retinoic acid. The protein ensures normal development and maintenance of tissues by influencing gene transcription related to cell differentiation and proliferation. This regulation is important in processes like embryogenesis and skin regeneration.

Pathways

Several intricate signaling cascades involve CRABP1 such as the retinoic acid signaling pathway and the retinoid metabolic pathway. In these pathways CRABP1 directly interacts with proteins like Retinoic Acid Receptors (RARs) to modulate their activity. By regulating retinoic acid levels CRABP1 influences cellular response outcomes which is important for processes like morphogenesis and homeostasis.

CRABP1 has been linked to specific conditions like skin disorders and certain types of cancer. Altered levels of CRABP1 can impact the normal regulation of retinoic acid leading to dysfunctional cell proliferation and differentiation. The protein's interaction with RAR-related proteins plays a role in these diseases where disrupted signaling can result in anomalous cellular behavior contributing to pathological development.

Product protocols

For this product, it's our understanding that no specific protocols are required. You can visit:

Target data

Cytosolic CRABPs may regulate the access of retinoic acid to the nuclear retinoic acid receptors.
See full target information CRABP1

Publications (3)

Recent publications for all applications. Explore the full list and refine your search

Carcinogenesis 46: PubMed40823720

2025

Core transcriptional regulatory circuit-regulated IGF2BP3 stabilizes E2F2 mRNA via m6A modification in neuroblastoma.

Applications

Unspecified application

Species

Unspecified reactive species

Pengcheng Yang,Jianwei Wang,Ziheng Wu,Ran Zhuo,Yanling Chen,Gen Li,Yanfang Tao,Xiaolu Li,Fang Fang,Di Wu,Yang Yang,Hongli Yin,Guanghui Qian,Hairong Wang,Xin Li,Juanjuan Yu,Randong Yang,Yunyun Xu,Zhiheng Li,Lei Shi,Zimu Zhang,Jian Pan,Jian Wang

Molecular carcinogenesis 62:1935-1946 PubMed37642311

2023

Downregulation of cellular retinoic acid binding protein 1 fosters epithelial-mesenchymal transition in thyroid cancer.

Applications

Unspecified application

Species

Unspecified reactive species

Yi-Chiung Hsu,Wen-Chien Huang,Chi-Yu Kuo,Ying-Syuan Li,Shih-Ping Cheng

Frontiers in bioengineering and biotechnology 8:456 PubMed32500067

2020

Optimisation of a Novel Bio-Substrate as a Treatment for Atrophic Age-Related Macular Degeneration.

Applications

Unspecified application

Species

Unspecified reactive species

Rachel McCormick,Ian Pearce,Stephen Kaye,Atikah Haneef
View all publications

Product promise

We are committed to supporting your work with high-quality reagents, and we're here for you every step of the way. In the unlikely event that one of our products does not perform as expected, you're protected by our Product Promise.
For full details, please see our Terms & Conditions

Please note: All products are 'FOR RESEARCH USE ONLY. NOT FOR USE IN DIAGNOSTIC OR THERAPEUTIC PROCEDURES'.

For licensing inquiries, please contact partnerships@abcam.com