JavaScript is disabled in your browser. Please enable JavaScript to view this website.
AB181255

Anti-CRABP2 antibody [EPR14256(B)]

Be the first to review this product! Submit a review

|

(6 Publications)

Rabbit Recombinant Monoclonal CRABP2 antibody. Suitable for IHC-P, WB, ICC/IF, Flow Cyt (Intra) and reacts with Human samples. Cited in 6 publications.

View Alternative Names

Cellular retinoic acid-binding protein 2, Cellular retinoic acid-binding protein II, CRABP-II, CRABP2

6 Images
Immunohistochemistry (Formalin/PFA-fixed paraffin-embedded sections) - Anti-CRABP2 antibody [EPR14256(B)] (AB181255)
  • IHC-P

Supplier Data

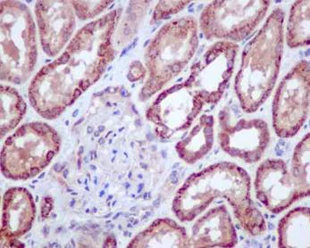
Immunohistochemistry (Formalin/PFA-fixed paraffin-embedded sections) - Anti-CRABP2 antibody [EPR14256(B)] (AB181255)

Immunohistochemical analysis of paraffin-embedded Human kidney tissue labeling CRABP2 with ab181255 at a 1/100 dilution. Counter stained with hematoxylin.

Perform heat mediated antigen retrieval with citrate buffer pH 6 before commencing with IHC staining protocol.

Immunocytochemistry/ Immunofluorescence - Anti-CRABP2 antibody [EPR14256(B)] (AB181255)
  • ICC/IF

Supplier Data

Immunocytochemistry/ Immunofluorescence - Anti-CRABP2 antibody [EPR14256(B)] (AB181255)

Immunofluorescence analysis of paraformaldehyde-fixed MCF7 cells labeling CRABP2 with ab181255 at a 1/250 dilution. As secondary antibody Goat anti rabbit IgG (Alexa Fluor®488) (green) was used at a 1/200 dilution. DAPI staining in blue.

Flow Cytometry (Intracellular) - Anti-CRABP2 antibody [EPR14256(B)] (AB181255)
  • Flow Cyt (Intra)

Supplier Data

Flow Cytometry (Intracellular) - Anti-CRABP2 antibody [EPR14256(B)] (AB181255)

Intracellular Flow Cytometry analysis of, paraformaldehyde-fixed, MCF7 cells labeling CRABP2 (red) with ab181255 at a 1/80 dilution, or negative control rabbit monoclonal IgG (green). As secondary antibody goat anti rabbit IgG (FITC) was used at a 1/150 dilution.

Immunohistochemistry (Formalin/PFA-fixed paraffin-embedded sections) - Anti-CRABP2 antibody [EPR14256(B)] (AB181255)
  • IHC-P

Supplier Data

Immunohistochemistry (Formalin/PFA-fixed paraffin-embedded sections) - Anti-CRABP2 antibody [EPR14256(B)] (AB181255)

Immunohistochemical analysis of paraffin-embedded Human liver tissue labeling CRABP2 with ab181255 at a 1/100 dilution. Counter stained with hematoxylin.

Perform heat mediated antigen retrieval with citrate buffer pH 6 before commencing with IHC staining protocol.

Western blot - Anti-CRABP2 antibody [EPR14256(B)] (AB181255)
  • WB

Supplier Data

Western blot - Anti-CRABP2 antibody [EPR14256(B)] (AB181255)

All lanes:

Western blot - Anti-CRABP2 antibody [EPR14256(B)] (ab181255) at 1/50000 dilution

All lanes:

MCF7 cell lysate at 20 µg

Secondary

All lanes:

Goat Anti-Rabbit IgG, (H+L), Peroxidase conjugated at 1/1000 dilution

Predicted band size: 16 kDa

Observed band size: 16 kDa

true

Western blot - Anti-CRABP2 antibody [EPR14256(B)] (AB181255)
  • WB

Supplier Data

Western blot - Anti-CRABP2 antibody [EPR14256(B)] (AB181255)

All lanes:

Western blot - Anti-CRABP2 antibody [EPR14256(B)] (ab181255) at 1/10000 dilution

All lanes:

Human skin cell lysate at 10 µg

Secondary

All lanes:

Western blot - Goat Anti-Rabbit IgG H&L (HRP) (<a href='/en-us/products/secondary-antibodies/goat-rabbit-igg-h-l-hrp-ab136636'>ab136636</a>) at 1/500 dilution

Predicted band size: 16 kDa

Observed band size: 16 kDa

true

  • Carrier free

    Anti-CRABP2 antibody [EPR14256(B)] - BSA and Azide free

Key facts

Host species

Rabbit

Clonality

Monoclonal

Clone number

EPR14256(B)

Isotype

IgG

Carrier free

No

Reacts with

Human

Applications

WB, Flow Cyt (Intra), IHC-P, ICC/IF

applications

Immunogen

The exact immunogen used to generate this antibody is proprietary information.

Reactivity data

{ "title": "Reactivity Data", "filters": { "stats": ["", "Species", "Dilution Info", "Notes"], "tabs": { "all-applications": {"fullname" : "All Applications", "shortname": "All Applications"}, "IHCP" : {"fullname" : "Immunohistochemistry (Formalin/PFA-fixed paraffin-embedded sections)", "shortname":"IHC-P"}, "WB" : {"fullname" : "Western blot", "shortname":"WB"}, "ICCIF" : {"fullname" : "Immunocytochemistry/ Immunofluorescence", "shortname":"ICC/IF"}, "FlowCytIntra" : {"fullname" : "Flow Cytometry (Intracellular)", "shortname":"Flow Cyt (Intra)"} }, "product-promise": { "all": "all", "testedAndGuaranteed": "tested", "guaranteed": "expected", "predicted": "predicted", "notRecommended": "not-recommended" } }, "values": { "Human": { "IHCP-species-checked": "testedAndGuaranteed", "IHCP-species-dilution-info": "1/50 - 1/100", "IHCP-species-notes": "<p></p> Perform heat-mediated antigen retrieval with citrate buffer pH 6 before commencing with IHC staining protocol.", "WB-species-checked": "testedAndGuaranteed", "WB-species-dilution-info": "1/10000 - 1/50000", "WB-species-notes": "<p></p>", "ICCIF-species-checked": "testedAndGuaranteed", "ICCIF-species-dilution-info": "1/100 - 1/250", "ICCIF-species-notes": "<p></p>", "FlowCytIntra-species-checked": "testedAndGuaranteed", "FlowCytIntra-species-dilution-info": "1/80", "FlowCytIntra-species-notes": "<p><a href='/en-us/products/primary-antibodies/rabbit-igg-monoclonal-epr25a-isotype-control-ab172730'>ab172730</a> - Rabbit monoclonal IgG, is suitable for use as an isotype control with this antibody.</p>" } } }

Product details

Patented technology
Our RabMAb® technology is a patented hybridoma-based technology for making rabbit monoclonal antibodies. For details on our patents, please refer to RabMAb® patents.

What are the advantages of a recombinant monoclonal antibody?
This product is a recombinant monoclonal antibody, which offers several advantages including:

  • - High batch-to-batch consistency and reproducibility
  • - Improved sensitivity and specificity
  • - Long-term security of supply
  • - Animal-free batch production

For more information, read more on recombinant antibodies.

Properties and storage information

Form
Liquid
Purification technique
Affinity purification Protein A
Storage buffer
Preservative: 0.01% Sodium azide Constituents: PBS, 40% Glycerol (glycerin, glycerine), 0.05% BSA
Shipped at conditions
Blue Ice
Appropriate short-term storage duration
1-2 weeks
Appropriate short-term storage conditions
+4°C
Appropriate long-term storage conditions
-20°C
Aliquoting information
Upon delivery aliquot
Storage information
Avoid freeze / thaw cycle

Supplementary information

This supplementary information is collated from multiple sources and compiled automatically.

Cellular Retinoic Acid-Binding Protein 2 (CRABP2) mechanically facilitates cellular retinoic acid (RA) signaling by transporting RA to the nucleus. The protein is also known as CRABP II and is approximately 15 kDa in mass. You can find its expression in various tissues including skin adipose tissue and brain where it exhibits specific roles in RA signaling and cellular differentiation processes.
Biological function summary

CRABP2 participates in modulating the availability of RA which influences gene expression by binding to nuclear receptors. Although CRABP2 functions independently rather than as part of a larger protein complex it holds a significant role in gene transcription regulation. This active role in regulating RA levels impacts cellular differentiation and proliferation processes essential for tissue development and homeostasis.

Pathways

CRABP2 is an important participant in the retinoic acid signaling pathway. This pathway impacts important biological processes such as embryonic development and cell growth. CRABP2 closely interacts with the retinoic acid receptor (RAR) guiding RA to RARs and contributing to the regulation of gene expression. Moreover it is linked to the transforming growth factor-beta (TGF-beta) pathway playing a role in managing cellular apoptosis and differentiation.

Researchers associate CRABP2 with several cancers notably skin cancer due to its influence on cell proliferation. Altered expression or function of CRABP2 can also affect neurodegenerative diseases impacting pathways involving neuronal survival. CRABP2's interactions with proteins like RAR and in cancer contexts with overexpressed RA receptors highlight its relevance in modulating RA-dependent processes that can lead to pathological states.

Product protocols

For this product, it's our understanding that no specific protocols are required. You can visit:

Target data

Transports retinoic acid to the nucleus. Regulates the access of retinoic acid to the nuclear retinoic acid receptors.
See full target information CRABP2

Publications (6)

Recent publications for all applications. Explore the full list and refine your search

British journal of cancer 128:2116-2125 PubMed37016102

2023

Development of the semi-dry dot-blot method for intraoperative detecting micropapillary component in lung adenocarcinoma based on proteomics analysis.

Applications

Unspecified application

Species

Unspecified reactive species

Long Xu,Hang Su,Shengnan Zhao,Haojie Si,Huikang Xie,Yijiu Ren,Jiani Gao,Fang Wang,Xiaofeng Xie,Chenyang Dai,Chunyan Wu,Deping Zhao,Chang Chen

Bioengineered 13:3694-3706 PubMed35671035

2022

Krüppel-like transcription factor 16 transcriptional up-regulation of cellular retinoic acid-binding proteins-2 promotes the invasion and migration and inhibits apoptosis of retinoblastoma cells by regulating integrin-β1/focal adhesion kinase /extracellular signal-regulated kinase pathway.

Applications

Unspecified application

Species

Unspecified reactive species

Lu Ye,Ru Liu,Ping Lin,Wenjun Wang

Journal of clinical laboratory analysis 36:e24408 PubMed35396749

2022

Circular RNA hsa_circ_0011298 enhances Taxol resistance of non-small cell lung cancer by regulating miR-486-3p/CRABP2 axis.

Applications

Unspecified application

Species

Unspecified reactive species

Yihong Wu,Jieyun Xie,Han Wang,Shufang Hou,Jiuhuan Feng

Cell discovery 7:36 PubMed34035226

2021

Single-cell analysis of pancreatic ductal adenocarcinoma identifies a novel fibroblast subtype associated with poor prognosis but better immunotherapy response.

Applications

Unspecified application

Species

Unspecified reactive species

Yu Wang,Yiyi Liang,Haiyan Xu,Xiao Zhang,Tiebo Mao,Jiujie Cui,Jiayu Yao,Yongchao Wang,Feng Jiao,Xiuying Xiao,Jiong Hu,Qing Xia,Xiaofei Zhang,Xujun Wang,Yongwei Sun,Deliang Fu,Lei Shen,Xiaojiang Xu,Jing Xue,Liwei Wang

PloS one 12:e0187700 PubMed29131833

2017

MEK inhibitors enhance therapeutic response towards ATRA in NF1 associated malignant peripheral nerve sheath tumors (MPNST) in-vitro.

Applications

Unspecified application

Species

Unspecified reactive species

Susan Fischer-Huchzermeyer,Anna Dombrowski,Gordon Wilke,Verena Stahn,Anna Streubel,Victor Felix Mautner,Anja Harder

Proceedings of the National Academy of Sciences of 113:E6382-E6390 PubMed27698112

2016

Wnt/β-catenin signaling promotes self-renewal and inhibits the primed state transition in naïve human embryonic stem cells.

Applications

Unspecified application

Species

Unspecified reactive species

Zhuojin Xu,Aaron M Robitaille,Jason D Berndt,Kathryn C Davidson,Karin A Fischer,Julie Mathieu,Jennifer C Potter,Hannele Ruohola-Baker,Randall T Moon
View all publications

Product promise

We are committed to supporting your work with high-quality reagents, and we're here for you every step of the way. In the unlikely event that one of our products does not perform as expected, you're protected by our Product Promise.
For full details, please see our Terms & Conditions

Please note: All products are 'FOR RESEARCH USE ONLY. NOT FOR USE IN DIAGNOSTIC OR THERAPEUTIC PROCEDURES'.

For licensing inquiries, please contact partnerships@abcam.com