JavaScript is disabled in your browser. Please enable JavaScript to view this website.
AB223551

Anti-CRABP2 antibody [EPR17376] - BSA and Azide free

Be the first to review this product! Submit a review

|

(1 Publication)

Rabbit Recombinant Monoclonal CRABP2 antibody. Carrier free. Suitable for WB, ICC/IF, Flow Cyt (Intra), IHC-P and reacts with Mouse, Rat, Human samples. Cited in 1 publication.

View Alternative Names

Cellular retinoic acid-binding protein 2, Cellular retinoic acid-binding protein II, CRABP-II, CRABP2

8 Images
Immunocytochemistry/ Immunofluorescence - Anti-CRABP2 antibody [EPR17376] - BSA and Azide free (AB223551)
  • ICC/IF

Supplier Data

Immunocytochemistry/ Immunofluorescence - Anti-CRABP2 antibody [EPR17376] - BSA and Azide free (AB223551)

Immunofluorescent analysis of 4% paraformaldehyde-fixed, 0.1% Triton X-100 permeabilized MCF7 (Human breast adenocarcinoma cell line) cells labeling CRABP2 with ab211927 at 1/250 dilution, followed by Goat Anti-Rabbit IgG (Alexa Fluor® 488) (ab150077) secondary at 1/1000 dilution (green). Confocal image showing nuclear and cytoplasmic staining on MCF7 cell line. The nuclear counter stain is DAPI (blue).

Tubulin is detected with Anti-alpha Tubulin mouse MAb (ab7291) at 1/1000 dilution followed by Goat Anti-Mouse IgG H&L (Alexa Fluor® 594) (ab150120) secondary antibody at 1/1000 dilution (red).

The negative controls are as follows :
-ve control 1 : ab211927 at 1/250 dilution, followed by Goat Anti-Mouse IgG H&L (Alexa Fluor® 594) (ab150120) secondary antibody at 1/1000 dilution.
-ve control 2 : Anti-alpha Tubulin mouse MAb (ab7291) at 1/1000 dilution followed, by followed by Goat Anti-Rabbit IgG (Alexa Fluor® 488) (ab150077) secondary at 1/1000 dilution.

This data was developed using the same antibody clone in a different buffer formulation containing PBS, BSA, glycerol, and sodium azide (ab211927).

Immunohistochemistry (Formalin/PFA-fixed paraffin-embedded sections) - Anti-CRABP2 antibody [EPR17376] - BSA and Azide free (AB223551)
  • IHC-P

Supplier Data

Immunohistochemistry (Formalin/PFA-fixed paraffin-embedded sections) - Anti-CRABP2 antibody [EPR17376] - BSA and Azide free (AB223551)

Immunohistochemical analysis of paraffin-embedded human pancreatic ductal adenocarcinoma tissue labeling CRABP2 with ab211927 at 1/1000 dilution, followed by Goat Anti-Rabbit IgG H&L (HRP) (ab97051) at 1/500 dilution. Cytoplasmic and nuclear staining on the human pancreatic ductal adenocarcinoma is observed. Counter stained with Hematoxylin.

Secondary antibody only control : Used PBS instead of primary antibody, secondary antibody is Goat Anti-Rabbit IgG H&L (HRP) (ab97051) at 1/500 dilution.

This data was developed using the same antibody clone in a different buffer formulation containing PBS, BSA, glycerol, and sodium azide (ab211927).

Perform heat mediated antigen retrieval with Tris/EDTA buffer pH 9.0 before commencing with IHC staining protocol.

Immunocytochemistry/ Immunofluorescence - Anti-CRABP2 antibody [EPR17376] - BSA and Azide free (AB223551)
  • ICC/IF

Supplier Data

Immunocytochemistry/ Immunofluorescence - Anti-CRABP2 antibody [EPR17376] - BSA and Azide free (AB223551)

Immunofluorescent analysis of 4% paraformaldehyde-fixed, 0.1% Triton X-100 permeabilized HT-29 (Human colorectal adenocarcinoma cell line) cells labeling CRABP2 with ab211927 at 1/250 dilution, followed by Goat Anti-Rabbit IgG (Alexa Fluor® 488) (ab150077) secondary antibody at 1/1000 dilution (green). Confocal image showing nuclear and cytoplasmic staining on HT-29 cell line. The nuclear counter stain is DAPI (blue).

Tubulin is detected with Anti-alpha Tubulin mouse MAb (ab7291) at 1/1000 dilution, followed by Goat Anti-Mouse IgG H&L (Alexa Fluor® 594) (ab150120) secondary antibody at 1/1000 dilution (red).

The negative controls are as follows :
-ve control 1 : ab211927 at 1/250 dilution, followed by Goat Anti-Mouse IgG H&L (Alexa Fluor® 594) (ab150120) secondary antibody at 1/1000 dilution.
-ve control 2 : Anti-alpha Tubulin mouse MAb (ab7291) at 1/1000 dilution, followed by Goat Anti-Rabbit IgG (Alexa Fluor® 488) (ab150077) secondary antibody at 1/1000 dilution.

This data was developed using the same antibody clone in a different buffer formulation containing PBS, BSA, glycerol, and sodium azide (ab211927).

Immunohistochemistry (Formalin/PFA-fixed paraffin-embedded sections) - Anti-CRABP2 antibody [EPR17376] - BSA and Azide free (AB223551)
  • IHC-P

Supplier Data

Immunohistochemistry (Formalin/PFA-fixed paraffin-embedded sections) - Anti-CRABP2 antibody [EPR17376] - BSA and Azide free (AB223551)

This IHC data was generated using the same anti-CRABP2 antibody clone [EPR17376] in a different buffer formulation (cat# ab211927).

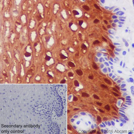
Immunohistochemical analysis of paraffin-embedded human oesophagus tissue labeling CRABP2 with ab211927 at 1/1000 dilution, followed by Goat Anti-Rabbit IgG H&L (HRP) (ab97051) at 1/500 dilution. Cytoplasmic and nuclear staining on the stratified squamous epithelium of the human oesophagus is observed. Counter stained with Hematoxylin.

Secondary antibody only control : Used PBS instead of primary antibody, secondary antibody is Goat Anti-Rabbit IgG H&L (HRP) (ab97051) at 1/500 dilution.

Perform heat mediated antigen retrieval with Tris/EDTA buffer pH 9.0 before commencing with IHC staining protocol.

Immunohistochemistry (Formalin/PFA-fixed paraffin-embedded sections) - Anti-CRABP2 antibody [EPR17376] - BSA and Azide free (AB223551)
  • IHC-P

Supplier Data

Immunohistochemistry (Formalin/PFA-fixed paraffin-embedded sections) - Anti-CRABP2 antibody [EPR17376] - BSA and Azide free (AB223551)

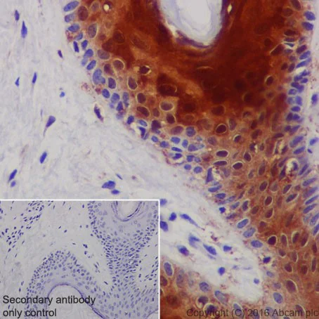
Immunohistochemical analysis of paraffin-embedded human skin tissue labeling CRABP2 with ab211927 at 1/1000 dilution, followed by Goat Anti-Rabbit IgG H&L (HRP) (ab97051) at 1/500 dilution. Cytoplasmic and nuclear staining on the stratified squamous epithelium and hair follicle cells of the human skin is observed. Counter stained with Hematoxylin.

Secondary antibody only control : Used PBS instead of primary antibody, secondary antibody is Goat Anti-Rabbit IgG H&L (HRP) (ab97051) at 1/500 dilution.

This data was developed using the same antibody clone in a different buffer formulation containing PBS, BSA, glycerol, and sodium azide (ab211927).

Perform heat mediated antigen retrieval with Tris/EDTA buffer pH 9.0 before commencing with IHC staining protocol.

Flow Cytometry (Intracellular) - Anti-CRABP2 antibody [EPR17376] - BSA and Azide free (AB223551)
  • Flow Cyt (Intra)

Supplier Data

Flow Cytometry (Intracellular) - Anti-CRABP2 antibody [EPR17376] - BSA and Azide free (AB223551)

Intracellular flow cytometric analysis of 4% paraformaldehyde-fixed MCF7 (Human breast adenocarcinoma cell line) cells labeling CRABP2 with ab211927 at 1/600 dilution (red) compared with a rabbit monoclonal IgG isotype control (ab172730; black) and an unlabeled control (cells without incubation with primary antibody and secondary antibody; blue). Goat Anti-Rabbit IgG (Alexa Fluor® 488) at 1/2000 dilution was used as the secondary antibody.

This data was developed using the same antibody clone in a different buffer formulation containing PBS, BSA, glycerol, and sodium azide (ab211927).

Immunohistochemistry (Formalin/PFA-fixed paraffin-embedded sections) - Anti-CRABP2 antibody [EPR17376] - BSA and Azide free (AB223551)
  • IHC-P

Supplier Data

Immunohistochemistry (Formalin/PFA-fixed paraffin-embedded sections) - Anti-CRABP2 antibody [EPR17376] - BSA and Azide free (AB223551)

Immunohistochemical analysis of paraffin-embedded mouse skin tissue labeling CRABP2 with ab211927 at 1/1000 dilution, followed by Goat Anti-Rabbit IgG H&L (HRP) (ab97051) at 1/500 dilution. Cytoplasmic and nuclear staining on the stratified squamous epithelium, hair follicle cells and sweat gland cells of the mouse skin is observed. Counter stained with Hematoxylin.

Secondary antibody only control : Used PBS instead of primary antibody, secondary antibody is Goat Anti-Rabbit IgG H&L (HRP) (ab97051) at 1/500 dilution.

This data was developed using the same antibody clone in a different buffer formulation containing PBS, BSA, glycerol, and sodium azide (ab211927).

Perform heat mediated antigen retrieval with Tris/EDTA buffer pH 9.0 before commencing with IHC staining protocol.

Immunohistochemistry (Formalin/PFA-fixed paraffin-embedded sections) - Anti-CRABP2 antibody [EPR17376] - BSA and Azide free (AB223551)
  • IHC-P

Supplier Data

Immunohistochemistry (Formalin/PFA-fixed paraffin-embedded sections) - Anti-CRABP2 antibody [EPR17376] - BSA and Azide free (AB223551)

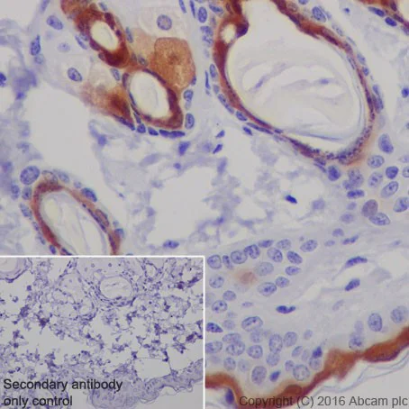
Immunohistochemical analysis of paraffin-embedded rat skin tissue labeling CRABP2 with ab211927 at 1/1000 dilution, followed by Goat Anti-Rabbit IgG H&L (HRP) (ab97051) at 1/500 dilution. Cytoplasmic and nuclear staining on the stratified squamous epithelium and sweat gland cells of the rat skin is observed. Counter stained with Hematoxylin.

Secondary antibody only control : Used PBS instead of primary antibody, secondary antibody is Goat Anti-Rabbit IgG H&L (HRP) (ab97051) at 1/500 dilution.

This data was developed using the same antibody clone in a different buffer formulation containing PBS, BSA, glycerol, and sodium azide (ab211927).

Perform heat mediated antigen retrieval with Tris/EDTA buffer pH 9.0 before commencing with IHC staining protocol.

Key facts

Host species

Rabbit

Clonality

Monoclonal

Clone number

EPR17376

Isotype

IgG

Carrier free

Yes

Reacts with

Mouse, Rat, Human

Applications

Flow Cyt (Intra), WB, ICC/IF, IHC-P

applications

Immunogen

The exact immunogen used to generate this antibody is proprietary information.

Reactivity data

{ "title": "Reactivity Data", "filters": { "stats": ["", "Species", "Dilution Info", "Notes"], "tabs": { "all-applications": {"fullname" : "All Applications", "shortname": "All Applications"}, "WB" : {"fullname" : "Western blot", "shortname":"WB"}, "ICCIF" : {"fullname" : "Immunocytochemistry/ Immunofluorescence", "shortname":"ICC/IF"}, "FlowCytIntra" : {"fullname" : "Flow Cytometry (Intracellular)", "shortname":"Flow Cyt (Intra)"}, "IHCP" : {"fullname" : "Immunohistochemistry (Formalin/PFA-fixed paraffin-embedded sections)", "shortname":"IHC-P"} }, "product-promise": { "all": "all", "testedAndGuaranteed": "tested", "guaranteed": "expected", "predicted": "predicted", "notRecommended": "not-recommended" } }, "values": { "Human": { "WB-species-checked": "guaranteed", "WB-species-dilution-info": "", "WB-species-notes": "<p></p>", "ICCIF-species-checked": "testedAndGuaranteed", "ICCIF-species-dilution-info": "", "ICCIF-species-notes": "<p></p>", "FlowCytIntra-species-checked": "testedAndGuaranteed", "FlowCytIntra-species-dilution-info": "", "FlowCytIntra-species-notes": "<p><a href='/en-us/products/primary-antibodies/rabbit-igg-monoclonal-epr25a-isotype-control-low-endotoxin-azide-free-ab199376'>ab199376</a> - Rabbit monoclonal IgG, is suitable for use as an isotype control with this antibody.</p>", "IHCP-species-checked": "testedAndGuaranteed", "IHCP-species-dilution-info": "", "IHCP-species-notes": "<p></p>" }, "Mouse": { "WB-species-checked": "guaranteed", "WB-species-dilution-info": "", "WB-species-notes": "<p></p>", "ICCIF-species-checked": "predicted", "ICCIF-species-dilution-info": "", "ICCIF-species-notes": "", "FlowCytIntra-species-checked": "predicted", "FlowCytIntra-species-dilution-info": "", "FlowCytIntra-species-notes": "", "IHCP-species-checked": "predicted", "IHCP-species-dilution-info": "", "IHCP-species-notes": "" }, "Rat": { "WB-species-checked": "guaranteed", "WB-species-dilution-info": "", "WB-species-notes": "<p></p>", "ICCIF-species-checked": "predicted", "ICCIF-species-dilution-info": "", "ICCIF-species-notes": "", "FlowCytIntra-species-checked": "predicted", "FlowCytIntra-species-dilution-info": "", "FlowCytIntra-species-notes": "", "IHCP-species-checked": "predicted", "IHCP-species-dilution-info": "", "IHCP-species-notes": "" } } }

Product details

ab223551 is the carrier-free version of ab211927.

Patented technology
Our RabMAb® technology is a patented hybridoma-based technology for making rabbit monoclonal antibodies. For details on our patents, please refer to RabMAb® patents.

What are the advantages of a recombinant monoclonal antibody?
This product is a recombinant monoclonal antibody, which offers several advantages including:

  • - High batch-to-batch consistency and reproducibility
  • - Improved sensitivity and specificity
  • - Long-term security of supply
  • - Animal-free batch production

For more information, read more on recombinant antibodies.

Conjugation ready
Our carrier-free antibodies are typically supplied in a PBS-only formulation, purified and free of BSA, sodium azide and glycerol. This conjugation-ready format is designed for use with fluorochromes, metal isotopes, oligonucleotides, and enzymes, which makes them ideal for antibody labelling, functional and cell-based assays, flow-based assays (e.g. mass cytometry) and Multiplex Imaging applications.

Use our conjugation kits for antibody conjugates that are ready-to-use in as little as 20 minutes with 1 minute hands-on-time and 100% antibody recovery: available for fluorescent dyes, HRP, biotin and gold.

Compatibility
This product is compatible with the Maxpar® Antibody Labeling Kit from Fluidigm, without the need for antibody preparation. Maxpar® is a trademark of Fluidigm Canada Inc.

Properties and storage information

Form
Liquid
Purification technique
Affinity purification Protein A
Storage buffer
pH: 7.2 - 7.4 Constituents: PBS
Shipped at conditions
Blue Ice
Appropriate short-term storage conditions
+4°C
Appropriate long-term storage conditions
+4°C
Storage information
Do Not Freeze

Supplementary information

This supplementary information is collated from multiple sources and compiled automatically.

Cellular Retinoic Acid-Binding Protein 2 (CRABP2) mechanically facilitates cellular retinoic acid (RA) signaling by transporting RA to the nucleus. The protein is also known as CRABP II and is approximately 15 kDa in mass. You can find its expression in various tissues including skin adipose tissue and brain where it exhibits specific roles in RA signaling and cellular differentiation processes.
Biological function summary

CRABP2 participates in modulating the availability of RA which influences gene expression by binding to nuclear receptors. Although CRABP2 functions independently rather than as part of a larger protein complex it holds a significant role in gene transcription regulation. This active role in regulating RA levels impacts cellular differentiation and proliferation processes essential for tissue development and homeostasis.

Pathways

CRABP2 is an important participant in the retinoic acid signaling pathway. This pathway impacts important biological processes such as embryonic development and cell growth. CRABP2 closely interacts with the retinoic acid receptor (RAR) guiding RA to RARs and contributing to the regulation of gene expression. Moreover it is linked to the transforming growth factor-beta (TGF-beta) pathway playing a role in managing cellular apoptosis and differentiation.

Researchers associate CRABP2 with several cancers notably skin cancer due to its influence on cell proliferation. Altered expression or function of CRABP2 can also affect neurodegenerative diseases impacting pathways involving neuronal survival. CRABP2's interactions with proteins like RAR and in cancer contexts with overexpressed RA receptors highlight its relevance in modulating RA-dependent processes that can lead to pathological states.

Product protocols

For this product, it's our understanding that no specific protocols are required. You can visit:

Target data

Transports retinoic acid to the nucleus. Regulates the access of retinoic acid to the nuclear retinoic acid receptors.
See full target information CRABP2

Publications (1)

Recent publications for all applications. Explore the full list and refine your search

Journal of biochemical and molecular toxicology 36:e23196 PubMed35979984

2022

PEX1 is a mediator of α1-adrenergic signaling attenuating doxorubicin-induced cardiotoxicity.

Applications

Unspecified application

Species

Unspecified reactive species

Wenjuan Li,Huilin Xie,Huang Hu,Jihong Huang,Sun Chen
View all publications

Product promise

We are committed to supporting your work with high-quality reagents, and we're here for you every step of the way. In the unlikely event that one of our products does not perform as expected, you're protected by our Product Promise.
For full details, please see our Terms & Conditions

Please note: All products are 'FOR RESEARCH USE ONLY. NOT FOR USE IN DIAGNOSTIC OR THERAPEUTIC PROCEDURES'.

For licensing inquiries, please contact partnerships@abcam.com