JavaScript is disabled in your browser. Please enable JavaScript to view this website.
AB243664

Anti-CRALBP antibody [EPR23448-119]

  • BOND RX™ Validated
  • RabMAb
  • Recombinant
  • 20ul selling size
  • What is this?

Be the first to review this product! Submit a review

|

(4 Publications)

Rabbit Recombinant Monoclonal CRALBP antibody. Suitable for IP, WB, IHC-Fr, Flow Cyt (Intra), IHC-P and reacts with Human, Mouse, Rat samples. Cited in 4 publications.

View Alternative Names

CRALBP, RLBP1, Retinaldehyde-binding protein 1, Cellular retinaldehyde-binding protein

11 Images
Immunohistochemistry (Formalin/PFA-fixed paraffin-embedded sections) - Anti-CRALBP antibody [EPR23448-119] (AB243664)
  • IHC-P

Unknown

Immunohistochemistry (Formalin/PFA-fixed paraffin-embedded sections) - Anti-CRALBP antibody [EPR23448-119] (AB243664)

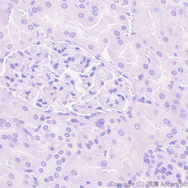
Immunohistochemical analysis of paraffin-embedded Human kidney tissue labeling CRALBP with ab243664 at 1/2000 dilution followed by a ready to use Rabbit specific IHC polymer detection kit HRP/DAB (ab209101). Negative control : No staining on human kidney. The section was incubated with ab243664 for 30 mins at room temperature.The immunostaining was performed on a Leica Biosystems BOND® RX instrument Counterstained with Hematoxylin.

Secondary antibody only control : Secondary antibody is a ready to use Rabbit specific IHC polymer detection kit HRP/DAB (ab209101).

Heat mediated antigen retrieval with Tris-EDTA buffer (pH 9.0, epitope retrieval solution2) for 20 mins

Flow Cytometry (Intracellular) - Anti-CRALBP antibody [EPR23448-119] (AB243664)
  • Flow Cyt (Intra)

Unknown

Flow Cytometry (Intracellular) - Anti-CRALBP antibody [EPR23448-119] (AB243664)

Intracellular flow cytometric analysis of 4% paraformaldehyde fixed 90% methanol permeabilized SK-MEL-28 (Human malignant melanoma) cells labelling CRALBP with ab243664 at 1/700 dilution (0.1ug) (Red) compared with a Rabbit monoclonal IgG (ab172730) (Black) isotype control and an unlabelled control (cells without incubation with primary antibody and secondary antibody) (Blue). A Goat anti rabbit IgG (Alexa Fluor® 488, ab150077) at 1/2000 dilution was used as the secondary antibody.

Immunohistochemistry (Formalin/PFA-fixed paraffin-embedded sections) - Anti-CRALBP antibody [EPR23448-119] (AB243664)
  • IHC-P

Unknown

Immunohistochemistry (Formalin/PFA-fixed paraffin-embedded sections) - Anti-CRALBP antibody [EPR23448-119] (AB243664)

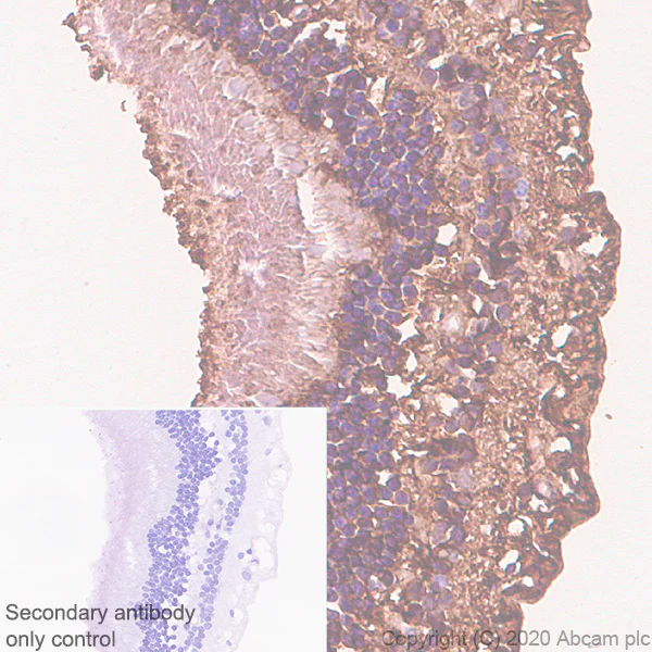
Immunohistochemical analysis of paraffin-embedded Human retina tissue labeling CRALBP with ab243664 at 1/2000 dilution followed by a ready to use Rabbit specific IHC polymer detection kit HRP/DAB (ab209101). Positive staining on human retina. The section was incubated with ab243664 for 10 mins at room temperature.The immunostaining was performed on a Leica Biosystems BOND® RX instrument Counterstained with Hematoxylin.

Secondary antibody only control : Secondary antibody is a ready to use Rabbit specific IHC polymer detection kit HRP/DAB (ab209101).

Heat mediated antigen retrieval with Tris-EDTA buffer (pH 9.0, epitope retrieval solution2) for 20 mins

Immunoprecipitation - Anti-CRALBP antibody [EPR23448-119] (AB243664)
  • IP

Unknown

Immunoprecipitation - Anti-CRALBP antibody [EPR23448-119] (AB243664)

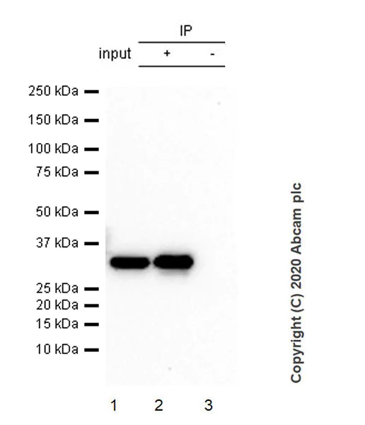
CRALBP was immunoprecipitated from 0.35 mg SK-MEL-28 (human malignant melanoma), whole cell lysate with ab243664 at 1/30 dilution (2ug in 0.35mg lysates). Western blot was performed on the immunoprecipitate using ab243664 at 1/1000 dilution. VeriBlot for IP Detection Reagent (HRP)(ab131366) was used at 1/5000 dilution.

Lane 1 : SK-MEL-28 (human malignant melanoma), whole cell lysate 10 ug

Lane 2 : ab243664 IP in SK-MEL-28 whole cell lysate

Lane 3 : Rabbit monoclonal IgG (ab172730) instead of ab243664 in SK-MEL-28 whole cell lysate

Blocking and dilution buffer and concentration : 5% NFDM/TBST.

Exposure time : 100 seconds

All lanes:

Immunoprecipitation - Anti-CRALBP antibody [EPR23448-119] (ab243664)

Predicted band size: 36 kDa

Observed band size: 36 kDa

false

Immunohistochemistry (Frozen sections) - Anti-CRALBP antibody [EPR23448-119] (AB243664)
  • IHC-Fr

Unknown

Immunohistochemistry (Frozen sections) - Anti-CRALBP antibody [EPR23448-119] (AB243664)

Immunohistochemical analysis of frozen section of 4% PFA-fixed, 0.2% Triton X-100 peremeabilised rat retina tissue labeling CRALBP with ab243664 at 1/250 dilution followed by ab150077 AlexaFluor®488 Goat anti-Rabbit secondary at 1/1000 dilution (Green). Positive staining on rat retina especially on retinal pigment epithelial cell (RPE) and Müller cells. The nuclear counter stain is DAPI (Blue).

Secondary antibody control : Secondary antibody is ab150077 AlexaFluor®488 Goat anti-Rabbit secondary at 1/000 dilution.

Heat mediated antigen retrieval using sodium citrate buffer (10mM citrate pH 6.0 + 0.05% Tween-20).

Immunohistochemistry (Frozen sections) - Anti-CRALBP antibody [EPR23448-119] (AB243664)
  • IHC-Fr

Unknown

Immunohistochemistry (Frozen sections) - Anti-CRALBP antibody [EPR23448-119] (AB243664)

Immunohistochemical analysis of frozen section of 4% PFA-fixed, 0.2% Triton X-100 peremeabilised mouse retina tissue labeling CRALBP with ab243664 at 1/250 dilution followed by ab150077 AlexaFluor®488 Goat anti-Rabbit secondary at 1/1000 dilution (Green). Positive staining on mouse retina especially on retinal pigment epithelial cell (RPE) and Müller cells. The nuclear counter stain is DAPI (Blue).

Secondary antibody control : Secondary antibody is ab150077 AlexaFluor®488 Goat anti-Rabbit secondary at 1/000 dilution.

Heat mediated antigen retrieval using sodium citrate buffer (10mM citrate pH 6.0 + 0.05% Tween-20).

Immunohistochemistry (Formalin/PFA-fixed paraffin-embedded sections) - Anti-CRALBP antibody [EPR23448-119] (AB243664)
  • IHC-P

Unknown

Immunohistochemistry (Formalin/PFA-fixed paraffin-embedded sections) - Anti-CRALBP antibody [EPR23448-119] (AB243664)

Immunohistochemical analysis of paraffin-embedded Mouse retina tissue labeling CRALBP with ab243664 at 1/2000 dilution followed by a ready to use Rabbit specific IHC polymer detection kit HRP/DAB (ab209101). Positive staining on mouse retina. The section was incubated with ab243664 for 30 mins at room temperature.The immunostaining was performed on a Leica Biosystems BOND® RX instrument Counterstained with Hematoxylin.

Secondary antibody only control : Secondary antibody is a ready to use Rabbit specific IHC polymer detection kit HRP/DAB (ab209101).

Heat mediated antigen retrieval with Tris-EDTA buffer (pH 9.0, epitope retrieval solution2) for 20 mins

Immunohistochemistry (Formalin/PFA-fixed paraffin-embedded sections) - Anti-CRALBP antibody [EPR23448-119] (AB243664)
  • IHC-P

Unknown

Immunohistochemistry (Formalin/PFA-fixed paraffin-embedded sections) - Anti-CRALBP antibody [EPR23448-119] (AB243664)

Immunohistochemical analysis of paraffin-embedded Rat retina tissue labeling CRALBP with ab243664 at 1/2000 dilution followed by a ready to use Rabbit specific IHC polymer detection kit HRP/DAB (ab209101). Positive staining on rat retina. The section was incubated with ab243664 for 30 mins at room temperature.The immunostaining was performed on a Leica Biosystems BOND® RX instrument Counterstained with Hematoxylin.

Secondary antibody only control : Secondary antibody is a ready to use Rabbit specific IHC polymer detection kit HRP/DAB (ab209101).

Heat mediated antigen retrieval with Tris-EDTA buffer (pH 9.0, epitope retrieval solution2) for 20 mins.

Western blot - Anti-CRALBP antibody [EPR23448-119] (AB243664)
  • WB

Lab

Western blot - Anti-CRALBP antibody [EPR23448-119] (AB243664)

Blocking and diluting buffer and concentration : 5% NFDM/TBST.

The molecular weight observed is consistent with what has been described in the literature (PMID : 29063836).

Exposure time : 15 seconds.

All lanes:

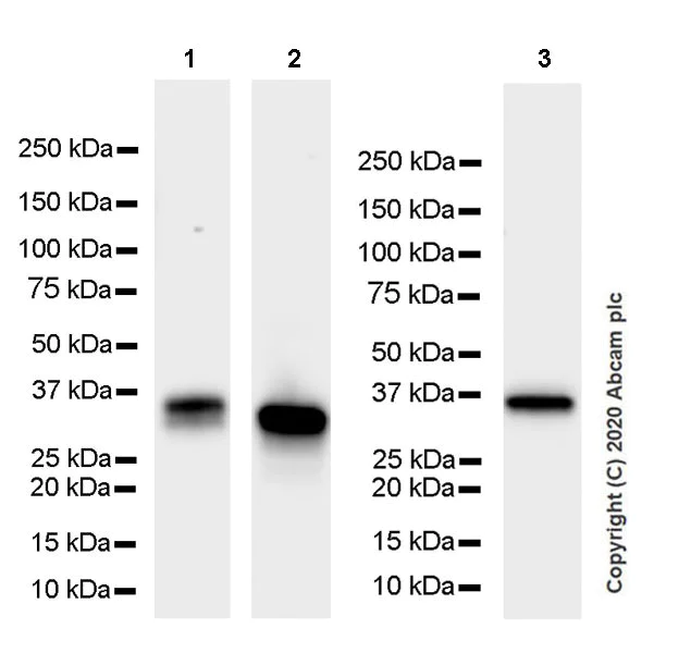
Western blot - Anti-CRALBP antibody [EPR23448-119] (ab243664) at 1/1000 dilution

Lane 1:

SK-MEL-2 (human skin malignant melanoma), whole cell lysate at 20 µg

Lane 2:

SK-MEL-28 (human malignant melanoma), whole cell lysate at 20 µg

Secondary

All lanes:

Goat Anti-Rabbit IgG, (H+L), Peroxidase conjugated (<a href='/en-us/products/secondary-antibodies/goat-rabbit-igg-h-l-hrp-ab97051'>ab97051</a>) at 1/100000 dilution

Predicted band size: 36 kDa

Observed band size: 36 kDa

false

Western blot - Anti-CRALBP antibody [EPR23448-119] (AB243664)
  • WB

Lab

Western blot - Anti-CRALBP antibody [EPR23448-119] (AB243664)

Blocking and diluting buffer and concentration : 5% NFDM/TBST.

The molecular weight observed is consistent with what has been described in the literature (PMID : 29063836).

Exposure time : 3.25 seconds.

All lanes:

Western blot - Anti-CRALBP antibody [EPR23448-119] (ab243664) at 1/1000 dilution

All lanes:

Human eyeball tissue lysate at 20 µg

Secondary

All lanes:

VeriBlot for IP secondary antibody(HRP)(<a href='/en-us/products/reagents/veriblot-for-ip-detection-reagent-hrp-ab131366'>ab131366</a>) at 1/1000 dilution

Predicted band size: 36 kDa

Observed band size: 36 kDa

false

Western blot - Anti-CRALBP antibody [EPR23448-119] (AB243664)
  • WB

Lab

Western blot - Anti-CRALBP antibody [EPR23448-119] (AB243664)

Blocking and diluting buffer and concentration : 5% NFDM/TBST.

The molecular weight observed is consistent with what has been described in the literature (PMID : 26199951)

Exposure time : 15 seconds.

All lanes:

Western blot - Anti-CRALBP antibody [EPR23448-119] (ab243664) at 1/1000 dilution

Lane 1:

Mouse eyeball tissue lysate at 20 µg

Lane 2:

Rat eyeball tissue lysate at 20 µg

Lane 3:

Mouse P20 retina tissue lysate at 20 µg

Secondary

All lanes:

Goat Anti-Rabbit IgG, (H+L), Peroxidase conjugated (<a href='/en-us/products/secondary-antibodies/goat-rabbit-igg-h-l-hrp-ab97051'>ab97051</a>) at 1/100000 dilution

Predicted band size: 36 kDa

Observed band size: 36 kDa

false

  • Carrier free

    Anti-CRALBP antibody [EPR23448-119] - BSA and Azide free

Key facts

Host species

Rabbit

Clonality

Monoclonal

Clone number

EPR23448-119

Isotype

IgG

Carrier free

No

Reacts with

Mouse, Rat, Human

Applications

IHC-Fr, WB, Flow Cyt (Intra), IHC-P, IP

applications

Immunogen

The exact immunogen used to generate this antibody is proprietary information.

Reactivity data

{ "title": "Reactivity Data", "filters": { "stats": ["", "Species", "Dilution Info", "Notes"], "tabs": { "all-applications": {"fullname" : "All Applications", "shortname": "All Applications"}, "IP" : {"fullname" : "Immunoprecipitation", "shortname":"IP"}, "WB" : {"fullname" : "Western blot", "shortname":"WB"}, "ICCIF" : {"fullname" : "Immunocytochemistry/ Immunofluorescence", "shortname":"ICC/IF"}, "IHCFr" : {"fullname" : "Immunohistochemistry (Frozen sections)", "shortname":"IHC-Fr"}, "FlowCytIntra" : {"fullname" : "Flow Cytometry (Intracellular)", "shortname":"Flow Cyt (Intra)"}, "IHCP" : {"fullname" : "Immunohistochemistry (Formalin/PFA-fixed paraffin-embedded sections)", "shortname":"IHC-P"} }, "product-promise": { "all": "all", "testedAndGuaranteed": "tested", "guaranteed": "expected", "predicted": "predicted", "notRecommended": "not-recommended" } }, "values": { "Human": { "IP-species-checked": "testedAndGuaranteed", "IP-species-dilution-info": "1/30", "IP-species-notes": "<p></p>", "WB-species-checked": "testedAndGuaranteed", "WB-species-dilution-info": "1/1000", "WB-species-notes": "<p></p>", "ICCIF-species-checked": "notRecommended", "ICCIF-species-dilution-info": "", "ICCIF-species-notes": "<p></p>", "IHCFr-species-checked": "guaranteed", "IHCFr-species-dilution-info": "", "IHCFr-species-notes": "", "FlowCytIntra-species-checked": "testedAndGuaranteed", "FlowCytIntra-species-dilution-info": "1/700", "FlowCytIntra-species-notes": "<p></p>", "IHCP-species-checked": "testedAndGuaranteed", "IHCP-species-dilution-info": "1/2000", "IHCP-species-notes": "<p></p> Perform heat-mediated antigen retrieval with Tris/EDTA buffer pH 9.0 before commencing with IHC staining protocol." }, "Mouse": { "IP-species-checked": "guaranteed", "IP-species-dilution-info": "", "IP-species-notes": "", "WB-species-checked": "testedAndGuaranteed", "WB-species-dilution-info": "1/1000", "WB-species-notes": "<p></p>", "ICCIF-species-checked": "notRecommended", "ICCIF-species-dilution-info": "", "ICCIF-species-notes": "", "IHCFr-species-checked": "testedAndGuaranteed", "IHCFr-species-dilution-info": "1/250", "IHCFr-species-notes": "<p>Heat mediated antigen retrieval using sodium citrate buffer (10mM citrate pH 6.0 + 0.05% Tween-20).</p>", "FlowCytIntra-species-checked": "guaranteed", "FlowCytIntra-species-dilution-info": "", "FlowCytIntra-species-notes": "", "IHCP-species-checked": "testedAndGuaranteed", "IHCP-species-dilution-info": "1/2000", "IHCP-species-notes": "<p></p> Perform heat-mediated antigen retrieval with Tris/EDTA buffer pH 9.0 before commencing with IHC staining protocol." }, "Rat": { "IP-species-checked": "guaranteed", "IP-species-dilution-info": "", "IP-species-notes": "", "WB-species-checked": "testedAndGuaranteed", "WB-species-dilution-info": "1/1000", "WB-species-notes": "<p></p>", "ICCIF-species-checked": "notRecommended", "ICCIF-species-dilution-info": "", "ICCIF-species-notes": "", "IHCFr-species-checked": "testedAndGuaranteed", "IHCFr-species-dilution-info": "1/250", "IHCFr-species-notes": "<p>Heat mediated antigen retrieval using sodium citrate buffer (10mM citrate pH 6.0 + 0.05% Tween-20).</p>", "FlowCytIntra-species-checked": "guaranteed", "FlowCytIntra-species-dilution-info": "", "FlowCytIntra-species-notes": "", "IHCP-species-checked": "testedAndGuaranteed", "IHCP-species-dilution-info": "1/2000", "IHCP-species-notes": "<p></p> Perform heat-mediated antigen retrieval with Tris/EDTA buffer pH 9.0 before commencing with IHC staining protocol." } } }

Product details

Patented technology
Our RabMAb® technology is a patented hybridoma-based technology for making rabbit monoclonal antibodies. For details on our patents, please refer to RabMAb® patents.

What are the advantages of a recombinant monoclonal antibody?
This product is a recombinant monoclonal antibody, which offers several advantages including:

  • - High batch-to-batch consistency and reproducibility
  • - Improved sensitivity and specificity
  • - Long-term security of supply
  • - Animal-free batch production

For more information, read more on recombinant antibodies.

Properties and storage information

Form
Liquid
Purification technique
Affinity purification Protein A
Storage buffer
pH: 7.2 - 7.4 Preservative: 0.01% Sodium azide Constituents: PBS, 40% Glycerol (glycerin, glycerine), 0.05% BSA
Shipped at conditions
Blue Ice
Appropriate short-term storage duration
1-2 weeks
Appropriate short-term storage conditions
+4°C
Appropriate long-term storage conditions
-20°C
Aliquoting information
Upon delivery aliquot
Storage information
Avoid freeze / thaw cycle

Supplementary information

This supplementary information is collated from multiple sources and compiled automatically.

'CRALBP' also known as cellular retinaldehyde-binding protein is a protein involved in the visual cycle. It weighs approximately 36 kDa. Expressed mainly in the retina CRALBP is found in retinal pigment epithelial (RPE) cells and Muller glial cells. It binds to retinoids which are critical for proper vision functioning. CRALBP also goes by the synonyms such as 'BSA b 2' which is used in specific contexts related to its role in retinal metabolism.
Biological function summary

The protein aids in the effective conversion of all-trans-retinal to 11-cis-retinal an important step in the visual cycle. It acts as a chaperone that stabilizes retinoid intermediates facilitating their transport between various retinal cell types. CRALBP forms part of a complex with retinoid isomerohydrolase and 11-cis-retinol dehydrogenase enhancing its binding and transport function. This ensures smooth retinoid flux necessary for regenerating the visual pigment rhodopsin.

Pathways

CRALBP is integral to two main pathways; the retinoid cycle in cones and the rhodopsin regeneration pathway in rods. In these pathways it interacts with proteins such as RPE65 and 11-cis-retinol dehydrogenase ensuring efficient retinoid transfer and isomerization. This important involvement supports the regeneration of visual pigments necessary for photoreceptor cell function under various lighting conditions.

CRALBP associates with retina-related conditions notably congenital stationary night blindness (CSNB) and retinitis pigmentosa (RP). Mutations affecting CRALBP can alter retinoid transport and contribute to these disorders. Additionally CRALBP dysfunction links to other proteins like RPE65 and RDH5 which can also play roles in the pathogenesis of these visual impairments. Understanding these relationships helps in developing targeted treatments for retinoid-related visual disorders.

Product protocols

For this product, it's our understanding that no specific protocols are required. You can visit:

Target data

Soluble retinoid carrier essential the proper function of both rod and cone photoreceptors. Participates in the regeneration of active 11-cis-retinol and 11-cis-retinaldehyde, from the inactive 11-trans products of the rhodopsin photocycle and in the de novo synthesis of these retinoids from 11-trans metabolic precursors. The cycling of retinoids between photoreceptor and adjacent pigment epithelium cells is known as the 'visual cycle'.
See full target information RLBP1

Publications (4)

Recent publications for all applications. Explore the full list and refine your search

Proceedings of the National Academy of Sciences of the United States of America 121:e2315348121 PubMed38701117

2024

OTUB2 silencing promotes ovarian cancer via mitochondrial metabolic reprogramming and can be synthetically targeted by CA9 inhibition.

Applications

Unspecified application

Species

Unspecified reactive species

Yabing Nan,Xiaowei Wu,Qingyu Luo,Wan Chang,Pengfei Zhao,Lingqiang Zhang,Zhihua Liu

Acta neuropathologica communications 11:154 PubMed37749651

2023

Rapid isolation of intact retinal astrocytes: a novel approach.

Applications

Unspecified application

Species

Unspecified reactive species

Paul F Cullen,Arpan G Mazumder,Daniel Sun,John G Flanagan

Frontiers in neuroscience 16:840443 PubMed35185463

2022

SIRT4 Is Highly Expressed in Retinal Müller Glial Cells.

Applications

Unspecified application

Species

Unspecified reactive species

Wei Wei,Piaopiao Hu,Mengqi Qin,Guiping Chen,Feifei Wang,Shengrui Yao,Ming Jin,Zhi Xie,Xu Zhang

International journal of molecular medicine 47: PubMed33907825

2021

L‑carnitine attenuates TGF‑β1‑induced EMT in retinal pigment epithelial cells via a PPARγ‑dependent mechanism.

Applications

Unspecified application

Species

Unspecified reactive species

Min Li,Hui Li,Shuai Yang,Xin Liao,Chun Zhao,Fang Wang
View all publications

Product promise

We are committed to supporting your work with high-quality reagents, and we're here for you every step of the way. In the unlikely event that one of our products does not perform as expected, you're protected by our Product Promise.
For full details, please see our Terms & Conditions

Please note: All products are 'FOR RESEARCH USE ONLY. NOT FOR USE IN DIAGNOSTIC OR THERAPEUTIC PROCEDURES'.

For licensing inquiries, please contact partnerships@abcam.com