JavaScript is disabled in your browser. Please enable JavaScript to view this website.
AB252776

Anti-CRBN antibody [4D6] - BSA and Azide free

Be the first to review this product! Submit a review

|

(1 Publication)

Knockout Tested Mouse Monoclonal CRBN antibody. Carrier free. Suitable for IHC-P, WB and reacts with Human, Mouse samples. Cited in 1 publication.

View Alternative Names

AD-006, CRBN, Protein cereblon

4 Images
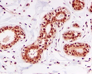
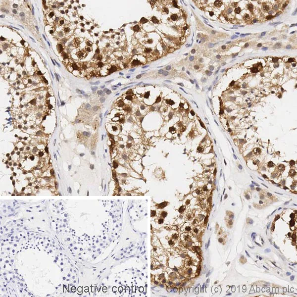
Immunohistochemistry (Formalin/PFA-fixed paraffin-embedded sections) - Anti-CRBN antibody [4D6] - BSA and Azide free (AB252776)
  • IHC-P

Lab

Immunohistochemistry (Formalin/PFA-fixed paraffin-embedded sections) - Anti-CRBN antibody [4D6] - BSA and Azide free (AB252776)

This image was developed using the same antibody clone but in a different formulation, PBS and sodium azide, ab244223.

IHC image of CRBN staining in a section of formalin-fixed paraffin-embedded normal human testis* performed on a Leica BOND™ system using the standard Protocol F. The section was pre-treated using heat mediated antigen retrieval with sodium citrate buffer (pH6, epitope retrieval solution 1) for 20mins. The section was then incubated with ab244223, 1μg/ml, for 15 mins at room temperature and detected using an HRP conjugated compact polymer system. DAB was used as the chromogen. The section was then counterstained with hematoxylin and mounted with DPX.

The inset secondary-only control image is taken from an identical assay without primary antibody.

For other IHC staining systems (automated and non-automated) customers should optimize variable parameters such as antigen retrieval conditions, primary antibody concentration and antibody incubation times.

*Tissue obtained from the Human Research Tissue Bank, supported by the NIHR Cambridge Biomedical Research Centre.

Western blot - Anti-CRBN antibody [4D6] - BSA and Azide free (AB252776)
  • WB

Lab

Western blot - Anti-CRBN antibody [4D6] - BSA and Azide free (AB252776)

This data was developed using the same antibody clone in a different buffer formulation (ab244223).

Western blot : Anti-CRBN antibody [4D6] (ab244223) staining at 0.2 ug/ml, shown in green; Rabbit Anti-GAPDH antibody [EPR16891] (ab181602) loading control staining at 1/20000 dilution, shown in magenta. In Western blot, ab244223 was shown to bind specifically to CRBN. A band was observed at 51 kDa in wild-type MCF7 cell lysates with no signal observed at this size in CRBN knockout cell line. To generate this image, wild-type and CRBN knockout MCF7 cell lysates were analysed. First, samples were run on an SDS-PAGE gel then transferred onto a nitrocellulose membrane. Membranes were blocked in 3 % milk in TBS-0.1 % Tween® 20 (TBS-T) before incubation with primary antibodies overnight at 4 °C. Blots were washed four times in TBS-T, incubated with secondary antibodies for 1 h at room temperature, washed again four times then imaged. Secondary antibodies used were Goat anti-Mouse IgG H&L 800CW and Goat anti-Rabbit IgG H&L 680RD at 1/20000 dilution.

All lanes:

Western blot - Anti-CRBN antibody [4D6] (<a href='/en-us/products/primary-antibodies/crbn-antibody-4d6-ab244223'>ab244223</a>) at 0.2 µg/mL

Lane 1:

Wild-type MCF7 cell lysate at 20 µg

Lane 2:

CRBN knockout MCF7 cell lysate at 20 µg

Lane 3:

Wild-type A549 ab288558 cell lysate at 20 µg

Lane 4:

CRBN knockout A549 ab288959 cell lysate at 20 µg

Secondary

All lanes:

Goat anti-Mouse IgG H&L 800CW and Goat anti-Rabbit IgG H&L 680RD at 1/20000 dilution

Observed band size: 51 kDa

false

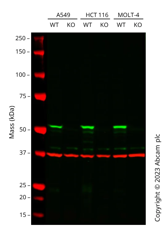
Western blot - Anti-CRBN antibody [4D6] - BSA and Azide free (AB252776)
  • WB

Lab

Western blot - Anti-CRBN antibody [4D6] - BSA and Azide free (AB252776)

This data was developed using the same antibody clone in a different buffer formulation (ab244223).

Lanes 1 - 4 : Merged signal (red and green). Green - ab244223 observed at 55 kDa. Red - loading control, ab181602 (Rabbit Anti-GAPDH antibody [EPR16891]) observed at 37kDa.

ab244223 was shown to react with CRBN in MOLT4 (Licensor sample) wild-type cells in Western blot. Loss of signal was observed when CRBN knockout sample was used. MOLT4 (Licensor sample) wild-type and CRBN knockout cell lysates were subjected to SDS-PAGE. Membranes were blocked in 3% Milk in TBS-T (0.1% Tween®) before incubation with ab244223 and ab181602 (Rabbit Anti-GAPDH antibody [EPR16891]) overnight at 4°C at 2 μg/ml and a 1 in 20000 dilution respectively. Blots were developed with Goat anti-Mouse IgG H&L (IRDye® 800CW) preabsorbed (ab216772) and Goat anti-Rabbit IgG H&L (IRDye® 680RD) preabsorbed (ab216777) secondary antibodies at 1 in 20000 dilution for 1 hour at room temperature before imaging.

All lanes:

Western blot - Anti-CRBN antibody [4D6] (<a href='/en-us/products/primary-antibodies/crbn-antibody-4d6-ab244223'>ab244223</a>) at 2 µg/mL

Lane 1:

wild-type MOLT4 (Licensor sample) cell lysate at 20 µg

Lane 2:

CRBN knockout MOLT4 cell lysate at 20 µg

Lane 3:

NIH/3T3 cell lysate at 20 µg

Lane 4:

MEF-1 cell lysate at 20 µg

Predicted band size: 51 kDa

Observed band size: 55 kDa

false

Western blot - Anti-CRBN antibody [4D6] - BSA and Azide free (AB252776)
  • WB

Lab

Western blot - Anti-CRBN antibody [4D6] - BSA and Azide free (AB252776)

This data was developed using the same antibody clone in a different buffer formulation (ab244223).

Anti-CRBN antibody [4D6] (ab244223) staining at 2 ug/ml, shown in green; Rabbit Anti-GAPDH antibody [EPR16891] (ab181602) loading control staining at 1/20000 dilution, shown in red. In Western blot, ab244223 was shown to bind specifically to CRBN. A band was observed at 51 kDa in wild-type cell lysates with no signal observed at this size in CRBN knockout cell lines. To generate this image, wild-type and CRBN knockout cell lysates were analysed : CRBN knockout A549 cell line (ab288959), CRBN knockout HCT 116 cell line (ab288959) and CRBN knockout MOLT-4. First, samples were run on an SDS-PAGE gel then transferred onto a nitrocellulose membrane. Membranes were blocked in 3 % milk in TBS-0.1 % Tween® 20 (TBS-T) before incubation with primary antibodies overnight at 4 °C. Blots were washed four times in TBS-T, incubated with secondary antibodies for 1 h at room temperature, washed again four times then imaged. Secondary antibodies used were Goat anti-Mouse IgG H&L 800CW and Goat anti-Rabbit IgG H&L 680RD at 1/20000 dilution.

All lanes:

Western blot - Anti-CRBN antibody [4D6] (<a href='/en-us/products/primary-antibodies/crbn-antibody-4d6-ab244223'>ab244223</a>) at 2 µg/mL

Lane 1:

Wild-type A549 cell lysate at 20 µg

Lane 2:

Western blot - Human CRBN knockout A549 cell line (ab288959)

Lane 2:

CRBN knockout A549 cell lysate at 20 µg

Lane 3:

Wild-type HCT 116 cell lysate at 20 µg

Lane 4:

Western blot - Human CRBN knockout HCT116 cell line (<a href='/en-us/products/cell-lines/human-crbn-knockout-hct116-cell-line-ab289186'>ab289186</a>)

Lane 4:

CRBN knockout HCT 116 cell lysate at 20 µg

Lane 5:

Wild-type MOLT-4 cell lysate at 20 µg

Lane 6:

CRBN knockout MOLT-4 cell lysate at 20 µg

Secondary

All lanes:

Goat anti-Mouse IgG H&L 800CW and Goat anti-Rabbit IgG H&L 680RD at 1/20000 dilution

Predicted band size: 51 kDa

Observed band size: 51 kDa

false

Key facts

Host species

Mouse

Clonality

Monoclonal

Clone number

4D6

Isotype

IgG1

Light chain type

kappa

Carrier free

Yes

Reacts with

Mouse, Human

Applications

WB, IHC-P

applications

Immunogen

The exact immunogen used to generate this antibody is proprietary information.

Reactivity data

{ "title": "Reactivity Data", "filters": { "stats": ["", "Species", "Dilution Info", "Notes"], "tabs": { "all-applications": {"fullname" : "All Applications", "shortname": "All Applications"}, "IHCP" : {"fullname" : "Immunohistochemistry (Formalin/PFA-fixed paraffin-embedded sections)", "shortname":"IHC-P"}, "WB" : {"fullname" : "Western blot", "shortname":"WB"} }, "product-promise": { "all": "all", "testedAndGuaranteed": "tested", "guaranteed": "expected", "predicted": "predicted", "notRecommended": "not-recommended" } }, "values": { "Human": { "IHCP-species-checked": "testedAndGuaranteed", "IHCP-species-dilution-info": "1 µg/mL", "IHCP-species-notes": "<p></p>", "WB-species-checked": "testedAndGuaranteed", "WB-species-dilution-info": "", "WB-species-notes": "<p></p>" }, "Mouse": { "IHCP-species-checked": "guaranteed", "IHCP-species-dilution-info": "", "IHCP-species-notes": "", "WB-species-checked": "testedAndGuaranteed", "WB-species-dilution-info": "2 µg/mL", "WB-species-notes": "<p></p>" } } }

Product details

Want a custom formulation?
This antibody clone is manufactured by Abcam. If you require a custom buffer formulation or conjugation for your experiments, please contact orders@abcam.com

Properties and storage information

Form
Liquid
Purification technique
Affinity purification
Storage buffer
Constituents: PBS
Shipped at conditions
Blue Ice
Appropriate short-term storage duration
1-2 weeks
Appropriate short-term storage conditions
+4°C
Appropriate long-term storage conditions
+4°C
Aliquoting information
Upon delivery aliquot
Storage information
Do Not Freeze

Supplementary information

This supplementary information is collated from multiple sources and compiled automatically.

CRBN also known as cereblon is a protein involved in the regulation of protein homeostasis. It has a molecular weight of approximately 51 kDa. CRBN is expressed in various tissues including the brain kidney and muscle. It functions as a substrate receptor for the CRL4-CRBN E3 ubiquitin ligase complex recognizing proteins for ubiquitination and degradation. The chemical structure of thalidomide shows binding affinity to CRBN influencing its function.
Biological function summary

Cereblon plays a role in the regulation of protein stability and degradation. It forms part of the CRL4-CRBN complex which tags specific proteins for ubiquitination and subsequent proteasomal degradation. This function is critical for maintaining cellular protein balance. Additionally CRBN modulates immune response and has immunomodulator properties influencing cell-mediated responses.

Pathways

CRBN participates in the ubiquitin-proteasome pathway which regulates protein turnover and quality control within cells. Moreover CRBN is involved in immune signaling pathways partly by modulating the expression of various cytokines and immune-related proteins. It interacts with proteins such as DDB1 and CUL4 within these pathways impacting cellular responses to stress and immune challenges.

CRBN is associated with multiple myeloma and intellectual disability. Cereblon acts as a target for drugs like thalidomide and lenalidomide which are used in the treatment of multiple myeloma by altering ubiquitination processes. In intellectual disability alterations in CRBN function or expression can disrupt neuronal development and signaling. CRBN interacts with proteins like IKZF1 and IKZF3 within these contexts affecting their roles in disease progression and treatment responses.

Product protocols

For this product, it's our understanding that no specific protocols are required. You can visit:

Target data

Substrate recognition component of a DCX (DDB1-CUL4-X-box) E3 protein ligase complex that mediates the ubiquitination and subsequent proteasomal degradation of target proteins, such as MEIS2, ILF2 or GLUL (PubMed : 26990986, PubMed : 33009960). Normal degradation of key regulatory proteins is required for normal limb outgrowth and expression of the fibroblast growth factor FGF8 (PubMed : 20223979, PubMed : 24328678, PubMed : 25043012, PubMed : 25108355). Maintains presynaptic glutamate release and consequently cognitive functions, such as memory and learning, by negatively regulating large-conductance calcium-activated potassium (BK) channels in excitatory neurons (PubMed : 18414909, PubMed : 29530986). Likely to function by regulating the assembly and neuronal surface expression of BK channels via its interaction with KCNT1 (PubMed : 18414909). May also be involved in regulating anxiety-like behaviors via a BK channel-independent mechanism (By similarity). Plays a negative role in TLR4 signaling by interacting with TRAF6 and ECSIT, leading to inhibition of ECSIT ubiquitination, an important step of the signaling (PubMed : 31620128).
See full target information CRBN

Publications (1)

Recent publications for all applications. Explore the full list and refine your search

Current protocols 4:e1030 PubMed38923763

2024

Applications of Surface Plasmon Resonance (SPR) to the Study of Diverse Protein-Ligand Interactions.

Applications

Unspecified application

Species

Unspecified reactive species

Dana M Burris,Samuel W Gillespie,Emma Joy Campbell,S Nick Ice,Vikas Yadav,William D Picking,Christian L Lorson,Kamal Singh
View all publications

Product promise

We are committed to supporting your work with high-quality reagents, and we're here for you every step of the way. In the unlikely event that one of our products does not perform as expected, you're protected by our Product Promise.
For full details, please see our Terms & Conditions

Please note: All products are 'FOR RESEARCH USE ONLY. NOT FOR USE IN DIAGNOSTIC OR THERAPEUTIC PROCEDURES'.

For licensing inquiries, please contact partnerships@abcam.com