JavaScript is disabled in your browser. Please enable JavaScript to view this website.
AB315344

Anti-CRBN antibody [EPR28739-64]

Be the first to review this product! Submit a review

|

(1 Publication)

Anti-CRBN antibody [EPR28739-64] is a Rabbit Monoclonal antibody that is used in CRBN Flow Cytometry (Intra), IP, Western Blot. Suitable for Human, Mouse samples.

Cereblon (CRBN) is a multifunctional protein located in the cytoplasm, nucleus, and peripheral membranes of the human tissues. CRBN is closely related to the proliferation and metabolism of normal cells as well as tumor cells.It is part of the CRL4 CRBN ubiquitin E3 ligase complex, which is crucial for the action of immunomodulatory drugs (IMiDs) like lenalidomide and pomalidomide. These drugs bind to CRBN, leading to the degradation of transcription factors Ikaros and Aiolos, which are essential for myeloma cell survival. Additionally, novel cereblon E3 ligase modulators (CELMoDs) are being developed to overcome resistance to IMiDs, offering new therapeutic options for patients with CRBN mutation.

View Alternative Names

AD-006, CRBN, Protein cereblon

5 Images
Flow Cytometry (Intracellular) - Anti-CRBN antibody [EPR28739-64] (AB315344)
  • Flow Cyt (Intra)

Supplier Data

Flow Cytometry (Intracellular) - Anti-CRBN antibody [EPR28739-64] (AB315344)

Flow cytometric analysis of 4% paraformaldehyde fixed 90% methanol permeabilized HeLa (human cervical adenocarcinoma epithelial cell) cells labelling CRBN with ab315344 at 1/500 dilution (0.1 ug)/Red compared with a Rabbit monoclonal IgG (ab172730) (Black) isotype control and an unlabelled control (cells without incubation with primary antibody and secondary antibody) (Blue).

Goat Anti-Rabbit IgG (Alexa Fluor® 488, ab150081) at 1/5000 dilution was used as the secondary antibody.

Immunoprecipitation - Anti-CRBN antibody [EPR28739-64] (AB315344)
  • IP

Supplier Data

Immunoprecipitation - Anti-CRBN antibody [EPR28739-64] (AB315344)

CRBN was immunoprecipitated from 0.35 mg HeLa (human cervical adenocarcinoma epithelial cell) whole cell lysate with ab315344 at 1/30 dilution (2ug in 0.35mg lysates). Western blot was performed on the immunoprecipitate using ab315344 at 1/1000 dilution. VeriBlot for IP secondary antibody(HRP)(ab131366) was used at 1/5000 dilution.

Blocking and diluting buffer and concentration : 5% NFDM/TBST.

All lanes:

Immunoprecipitation - Anti-CRBN antibody [EPR28739-64] (ab315344) at 1/1000 dilution

Lane 1:

HeLa (human cervical adenocarcinoma epithelial cell) whole cell lysate

Lane 2:

ab315344 at 1/30 IP in HeLa (human cervical adenocarcinoma epithelial cell) whole cell lysate

Lane 3:

Rabbit monoclonal IgG (<a href='/en-us/products/primary-antibodies/rabbit-igg-monoclonal-epr25a-isotype-control-ab172730'>ab172730</a>) instead of ab315344 in HeLa whole cell lysate

Secondary

All lanes:

Immunoprecipitation - VeriBlot for IP Detection Reagent (HRP) (<a href='/en-us/products/reagents/veriblot-for-ip-detection-reagent-hrp-ab131366'>ab131366</a>) at 1/5000 dilution

false

Exposure time: 180s

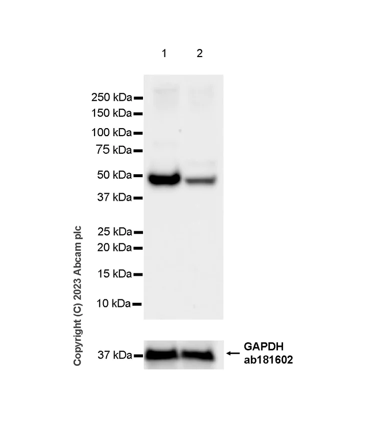
Western blot - Anti-CRBN antibody [EPR28739-64] (AB315344)
  • WB

Supplier Data

Western blot - Anti-CRBN antibody [EPR28739-64] (AB315344)

In Western blot, Anti-GAPDH antibody [EPR16891] - Loading Control (ab181602) staining at 1/200000 dilution.

Blocking and diluting buffer and concentration : 5% NFDM/TBST.

All lanes:

Western blot - Anti-CRBN antibody [EPR28739-64] (ab315344) at 1/1000 dilution

Lane 1:

HeLa (human cervix adenocarcinoma epithelial cell) whole cell lysate at 20 µg

Lane 2:

HeLa transfected with siRNA specifically targeting CRBN whole cell lysate at 20 µg

Secondary

All lanes:

Western blot - Goat Anti-Rabbit IgG H&L (HRP) (<a href='/en-us/products/secondary-antibodies/goat-rabbit-igg-h-l-hrp-ab97051'>ab97051</a>) at 1/100000 dilution

Observed band size: 50 kDa,36 kDa

false

Exposure time: 26s

Western blot - Anti-CRBN antibody [EPR28739-64] (AB315344)
  • WB

Supplier Data

Western blot - Anti-CRBN antibody [EPR28739-64] (AB315344)

Blocking and diluting buffer and concentration : 5% NFDM/TBST.

The molecular weight observed around 100 kDa is autoubiquitination of CRBN, which is consistent with what has been described in the literature (PMID : 25043012).

Lanes 1-3 are applied with Goat Anti-Rabbit IgG (HRP) with minimal cross-reactivity with human IgG at 1/2000 and lanes 4-9 are applied with Goat Anti-Rabbit IgG, (H+L), Peroxidase conjugated (ab97051) at 1/100000.

In Western blot, Anti-GAPDH antibody [EPR16891] - Loading Control (ab181602) staining at 1/200000 dilution.

All lanes:

Western blot - Anti-CRBN antibody [EPR28739-64] (ab315344) at 1/1000 dilution

Lane 1:

Human hippocampus tissue lysate at 20 µg

Lane 2:

Human testis tissue lysate at 20 µg

Lane 3:

Human skeletal muscle tissue lysate at 20 µg

Lane 4:

Mouse brain tissue lysate at 20 µg

Lane 5:

Mouse testis tissue lysate at 20 µg

Lane 6:

Mouse skeletal muscle tissue lysate at 20 µg

Lane 7:

Rat brain tissue lysate at 20 µg

Lane 8:

Rat testis tissue lysate at 20 µg

Lane 9:

Rat skeletal muscle tissue lysate at 20 µg

Secondary

Lanes 1 - 3:

Goat Anti-Rabbit IgG (HRP) with minimal cross-reactivity with human IgG (Merck DC03L) at 1/100000 dilution

Lanes 4 - 9:

Western blot - Goat Anti-Rabbit IgG H&L (HRP) (<a href='/en-us/products/secondary-antibodies/goat-rabbit-igg-h-l-hrp-ab97051'>ab97051</a>) at 1/2000 dilution

Observed band size: 50 kDa,36 kDa

false

Exposure time: 3s

Western blot - Anti-CRBN antibody [EPR28739-64] (AB315344)
  • WB

Supplier Data

Western blot - Anti-CRBN antibody [EPR28739-64] (AB315344)

The molecular weight observed around 100 kDa is autoubiquitination of CRBN, which is consistent with what has been described in the literature (PMID : 25043012).

Blocking and diluting buffer and concentration : 5% NFDM/TBST.

In Western blot, Anti-GAPDH antibody [EPR16891] - Loading Control (ab181602) staining at 1/200000 dilution.

All lanes:

Western blot - Anti-CRBN antibody [EPR28739-64] (ab315344) at 1/1000 dilution

Lane 1:

MOLT-4 (human lymphoblastic leukemia T lymphoblast) whole cell lysate at 40 µg

Lane 2:

HeLa (human cervix adenocarcinoma epithelial cell) whole cell lysate at 40 µg

Lane 3:

U266B1 (human mtiple myeloma B lymphocyte) whole cell lysate at 40 µg

Lane 4:

PC-3 (human prostate adenocarcinoma epithelial cell) whole cell lysate at 40 µg

Lane 5:

HEK-293 (human embryonic kidney epithelial cell) transfected with scrambled siRNA control whole cell lysate at 40 µg

Lane 6:

NIH/3T3 (mouse embryonic fibroblast) whole cell lysate at 40 µg

Lane 7:

RAW 264.7 (mouse Abelson murine leukemia virus-induced tumor macrophage) whole cell lysate at 40 µg

Lane 8:

C6 (rat glial tumor glial cell) whole cell lysate at 40 µg

Lane 9:

PC-12 (rat adrenal gland pheochromocytoma cell) whole cell lysate at 40 µg

Secondary

All lanes:

Western blot - Goat Anti-Rabbit IgG H&L (HRP) (<a href='/en-us/products/secondary-antibodies/goat-rabbit-igg-h-l-hrp-ab97051'>ab97051</a>) at 1/100000 dilution

Observed band size: 50 kDa,36 kDa

false

Exposure time: 5.5s

Key facts

Host species

Rabbit

Clonality

Monoclonal

Clone number

EPR28739-64

Isotype

IgG

Carrier free

No

Reacts with

Human, Mouse

Applications

IP, WB, Flow Cyt (Intra)

applications

Immunogen

The exact immunogen used to generate this antibody is proprietary information.

Specificity

WB-rat is labelled with inconclusive, since the autoubiquitination of CRBN (around 100 kDa; PMID: 25043012) are found in both cell & tissue WB. There is slightly different from WB-human & mouse.

Reactivity data

{ "title": "Reactivity Data", "filters": { "stats": ["", "Species", "Dilution Info", "Notes"], "tabs": { "all-applications": {"fullname" : "All Applications", "shortname": "All Applications"}, "ICCIF" : {"fullname" : "Immunocytochemistry/ Immunofluorescence", "shortname":"ICC/IF"}, "WB" : {"fullname" : "Western blot", "shortname":"WB"}, "IP" : {"fullname" : "Immunoprecipitation", "shortname":"IP"}, "FlowCytIntra" : {"fullname" : "Flow Cytometry (Intracellular)", "shortname":"Flow Cyt (Intra)"} }, "product-promise": { "all": "all", "testedAndGuaranteed": "tested", "guaranteed": "expected", "predicted": "predicted", "notRecommended": "not-recommended" } }, "values": { "Human": { "ICCIF-species-checked": "notRecommended", "ICCIF-species-dilution-info": "", "ICCIF-species-notes": "<p></p>", "WB-species-checked": "testedAndGuaranteed", "WB-species-dilution-info": "1/1000", "WB-species-notes": "<p></p>", "IP-species-checked": "testedAndGuaranteed", "IP-species-dilution-info": "1/30", "IP-species-notes": "<p></p>", "FlowCytIntra-species-checked": "testedAndGuaranteed", "FlowCytIntra-species-dilution-info": "1/500", "FlowCytIntra-species-notes": "<p></p>" }, "Mouse": { "ICCIF-species-checked": "notRecommended", "ICCIF-species-dilution-info": "", "ICCIF-species-notes": "", "WB-species-checked": "testedAndGuaranteed", "WB-species-dilution-info": "1/1000", "WB-species-notes": "<p></p>", "IP-species-checked": "guaranteed", "IP-species-dilution-info": "", "IP-species-notes": "", "FlowCytIntra-species-checked": "guaranteed", "FlowCytIntra-species-dilution-info": "", "FlowCytIntra-species-notes": "" } } }

Product details

Patented technology
Our RabMAb® technology is a patented hybridoma-based technology for making rabbit monoclonal antibodies. For details on our patents, please refer to RabMAb® patents.

What are the advantages of a recombinant monoclonal antibody?
This product is a recombinant monoclonal antibody, which offers several advantages including:

  • - High batch-to-batch consistency and reproducibility
  • - Improved sensitivity and specificity
  • - Long-term security of supply
  • - Animal-free batch production

For more information, read more on recombinant antibodies.

Properties and storage information

Form
Liquid
Purification technique
Affinity purification Protein A
Storage buffer
pH: 7.2 - 7.4 Preservative: 0.01% Sodium azide Constituents: PBS, 40% Glycerol (glycerin, glycerine), 0.05% BSA
Shipped at conditions
Blue Ice
Appropriate short-term storage duration
1-2 weeks
Appropriate short-term storage conditions
+4°C
Appropriate long-term storage conditions
-20°C
Aliquoting information
Upon delivery aliquot
Storage information
Avoid freeze / thaw cycle

Supplementary information

This supplementary information is collated from multiple sources and compiled automatically.

CRBN also known as cereblon is a protein involved in the regulation of protein homeostasis. It has a molecular weight of approximately 51 kDa. CRBN is expressed in various tissues including the brain kidney and muscle. It functions as a substrate receptor for the CRL4-CRBN E3 ubiquitin ligase complex recognizing proteins for ubiquitination and degradation. The chemical structure of thalidomide shows binding affinity to CRBN influencing its function.
Biological function summary

Cereblon plays a role in the regulation of protein stability and degradation. It forms part of the CRL4-CRBN complex which tags specific proteins for ubiquitination and subsequent proteasomal degradation. This function is critical for maintaining cellular protein balance. Additionally CRBN modulates immune response and has immunomodulator properties influencing cell-mediated responses.

Pathways

CRBN participates in the ubiquitin-proteasome pathway which regulates protein turnover and quality control within cells. Moreover CRBN is involved in immune signaling pathways partly by modulating the expression of various cytokines and immune-related proteins. It interacts with proteins such as DDB1 and CUL4 within these pathways impacting cellular responses to stress and immune challenges.

CRBN is associated with multiple myeloma and intellectual disability. Cereblon acts as a target for drugs like thalidomide and lenalidomide which are used in the treatment of multiple myeloma by altering ubiquitination processes. In intellectual disability alterations in CRBN function or expression can disrupt neuronal development and signaling. CRBN interacts with proteins like IKZF1 and IKZF3 within these contexts affecting their roles in disease progression and treatment responses.

Product protocols

For this product, it's our understanding that no specific protocols are required. You can visit:

Target data

Substrate recognition component of a DCX (DDB1-CUL4-X-box) E3 protein ligase complex that mediates the ubiquitination and subsequent proteasomal degradation of target proteins, such as MEIS2, ILF2 or GLUL (PubMed : 26990986, PubMed : 33009960). Normal degradation of key regulatory proteins is required for normal limb outgrowth and expression of the fibroblast growth factor FGF8 (PubMed : 20223979, PubMed : 24328678, PubMed : 25043012, PubMed : 25108355). Maintains presynaptic glutamate release and consequently cognitive functions, such as memory and learning, by negatively regulating large-conductance calcium-activated potassium (BK) channels in excitatory neurons (PubMed : 18414909, PubMed : 29530986). Likely to function by regulating the assembly and neuronal surface expression of BK channels via its interaction with KCNT1 (PubMed : 18414909). May also be involved in regulating anxiety-like behaviors via a BK channel-independent mechanism (By similarity). Plays a negative role in TLR4 signaling by interacting with TRAF6 and ECSIT, leading to inhibition of ECSIT ubiquitination, an important step of the signaling (PubMed : 31620128).
See full target information CRBN

Publications (1)

Recent publications for all applications. Explore the full list and refine your search

Science advances 10:eadp0334 PubMed39292784

2024

Development of miRNA-based PROTACs targeting Lin28 for breast cancer therapy.

Applications

Unspecified application

Species

Unspecified reactive species

Jianfei Xu,Xiaoran Zhao,Xingxing Liang,Dongyang Guo,Jing Wang,Qian Wang,Xinjing Tang
View all publications

Product promise

We are committed to supporting your work with high-quality reagents, and we're here for you every step of the way. In the unlikely event that one of our products does not perform as expected, you're protected by our Product Promise.
For full details, please see our Terms & Conditions

Please note: All products are 'FOR RESEARCH USE ONLY. NOT FOR USE IN DIAGNOSTIC OR THERAPEUTIC PROCEDURES'.

For licensing inquiries, please contact partnerships@abcam.com