JavaScript is disabled in your browser. Please enable JavaScript to view this website.
AB139264

Anti-CRCP antibody [EPR9670(B)]

Be the first to review this product! Submit a review

|

(13 Publications)

Rabbit Recombinant Monoclonal CRCP antibody. Suitable for IP, WB, ICC/IF, IHC-P and reacts with Human, Mouse, Rat samples. Cited in 13 publications.

View Alternative Names

DNA-directed RNA polymerase III subunit RPC9, RNA polymerase III subunit C9, Calcitonin gene-related peptide-receptor component protein, CGRP-RCP, CGRP-receptor component protein, CGRPRCP, HsC17, CRCP

12 Images
Immunohistochemistry (Formalin/PFA-fixed paraffin-embedded sections) - Anti-CRCP antibody [EPR9670(B)] (AB139264)
  • IHC-P

Unknown

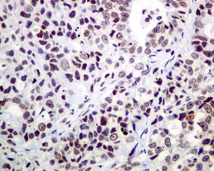
Immunohistochemistry (Formalin/PFA-fixed paraffin-embedded sections) - Anti-CRCP antibody [EPR9670(B)] (AB139264)

Immunohistochemistry (Formalin/PFA-fixed paraffin-embedded sections) analysis of human ovarian carcinoma tissue labelling CRCP with unpurified ab139264 at 1/50.

Perform heat mediated antigen retrieval with Tris/EDTA buffer pH 9.0 before commencing with IHC staining protocol.

Immunohistochemistry (Formalin/PFA-fixed paraffin-embedded sections) - Anti-CRCP antibody [EPR9670(B)] (AB139264)
  • IHC-P

Lab

Immunohistochemistry (Formalin/PFA-fixed paraffin-embedded sections) - Anti-CRCP antibody [EPR9670(B)] (AB139264)

Immunohistochemistry (Formalin/PFA-fixed paraffin-embedded sections) analysis of human breast tissue labelling CRCP with unpurified ab139264 at 1/100. Heat mediated antigen retrieval was performed using Tris/EDTA buffer pH 9. A prediluted HRP-polymer conjugated anti-rabbit IgG was used as the secondary antibody. Counterstained with Hematoxylin.

Immunocytochemistry/ Immunofluorescence - Anti-CRCP antibody [EPR9670(B)] (AB139264)
  • ICC/IF

Lab

Immunocytochemistry/ Immunofluorescence - Anti-CRCP antibody [EPR9670(B)] (AB139264)

Immunocytochemsitry/Immunofluorescence analysis of LnCap cells labelling CRCP (red) with purified ab139264 at 1/250. Cells were fixed with 4% paraformaldehyde. An Alexa Fluor® 555-conjugated goat anti-rabbit IgG (1/200) was used as the secondary antibody. Counterstained with DAPI (blue).

Immunohistochemistry (Formalin/PFA-fixed paraffin-embedded sections) - Anti-CRCP antibody [EPR9670(B)] (AB139264)
  • IHC-P

Unknown

Immunohistochemistry (Formalin/PFA-fixed paraffin-embedded sections) - Anti-CRCP antibody [EPR9670(B)] (AB139264)

Immunohistochemistry (Formalin/PFA-fixed paraffin-embedded sections) analysis of human breast tissue labelling CRCP with unpurified ab139264 at 1/50.

Perform heat mediated antigen retrieval with Tris/EDTA buffer pH 9.0 before commencing with IHC staining protocol.

Immunocytochemistry/ Immunofluorescence - Anti-CRCP antibody [EPR9670(B)] (AB139264)
  • ICC/IF

Unknown

Immunocytochemistry/ Immunofluorescence - Anti-CRCP antibody [EPR9670(B)] (AB139264)

Immunocytochemistry/Immunofluorescence analysis of HeLa cells labelling CRCP with unpurified ab139264 at 1/100.

Immunocytochemistry/ Immunofluorescence - Anti-CRCP antibody [EPR9670(B)] (AB139264)
  • ICC/IF

Lab

Immunocytochemistry/ Immunofluorescence - Anti-CRCP antibody [EPR9670(B)] (AB139264)

Immunocytochemsitry/Immunofluorescence analysis of LnCap cells labelling CRCP (red) with unpurified ab139264 at 1/100. Cells were fixed with 4% paraformaldehyde. An Alexa Fluor® 555-conjugated goat anti-rabbit IgG (1/200) was used as the secondary antibody. Counterstained with DAPI (blue).

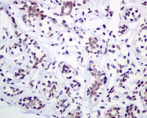
Immunohistochemistry (Formalin/PFA-fixed paraffin-embedded sections) - Anti-CRCP antibody [EPR9670(B)] (AB139264)
  • IHC-P

Lab

Immunohistochemistry (Formalin/PFA-fixed paraffin-embedded sections) - Anti-CRCP antibody [EPR9670(B)] (AB139264)

Immunohistochemistry (Formalin/PFA-fixed paraffin-embedded sections) analysis of human breast tissue labelling CRCP with purified ab139264 at 1/200. Heat mediated antigen retrieval was performed using Tris/EDTA buffer pH 9. A prediluted HRP-polymer conjugated anti-rabbit IgG was used as the secondary antibody. Counterstained with Hematoxylin.

Immunoprecipitation - Anti-CRCP antibody [EPR9670(B)] (AB139264)
  • IP

Lab

Immunoprecipitation - Anti-CRCP antibody [EPR9670(B)] (AB139264)

ab139264 (unpurified) at 1/50 immunoprecipitating CRCP in human prostate cancer tissue lysate (Lane 1). Lane 2 - PBS. For western blotting, a HRP-conjugated anti-rabbit IgG, specific to the non-reduced form of IgG was used as the secondary antibody (1/1500).

Blocking buffer and concentration : 5% NFDM/TBST.

Diluting buffer and concentration : 5% NFDM /TBST.

All lanes:

Immunoprecipitation - Anti-CRCP antibody [EPR9670(B)] (ab139264)

Predicted band size: 17 kDa

false

Immunoprecipitation - Anti-CRCP antibody [EPR9670(B)] (AB139264)
  • IP

Lab

Immunoprecipitation - Anti-CRCP antibody [EPR9670(B)] (AB139264)

ab139264 (purified) at 1/100 immunoprecipitating CRCP in human prostate cancer tissue lysate (Lane 1). Lane 2 - PBS. For western blotting, a HRP-conjugated anti-rabbit IgG, specific to the non-reduced form of IgG was used as the secondary antibody (1/1500).

Blocking buffer and concentration : 5% NFDM/TBST.

Diluting buffer and concentration : 5% NFDM /TBST.

All lanes:

Immunoprecipitation - Anti-CRCP antibody [EPR9670(B)] (ab139264)

Predicted band size: 17 kDa

false

Western blot - Anti-CRCP antibody [EPR9670(B)] (AB139264)
  • WB

Unknown

Western blot - Anti-CRCP antibody [EPR9670(B)] (AB139264)

All lanes:

Western blot - Anti-CRCP antibody [EPR9670(B)] (ab139264) at 1/1000 dilution

Lane 1:

Human ovary cancer lysate at 10 µg

Lane 2:

HeLa lysate at 10 µg

Lane 3:

Jurkat lysate at 10 µg

Lane 4:

Human prostate cancer lysate at 10 µg

Secondary

All lanes:

HRP labelled goat anti-rabbit at 1/2000 dilution

Predicted band size: 17 kDa

false

Western blot - Anti-CRCP antibody [EPR9670(B)] (AB139264)
  • WB

Lab

Western blot - Anti-CRCP antibody [EPR9670(B)] (AB139264)

Blocking buffer and concentration : 5% NFDM/TBST.

Diluting buffer and concentration : 5% NFDM/TBST.

All lanes:

Western blot - Anti-CRCP antibody [EPR9670(B)] (ab139264) at 1/5000 dilution

Lane 1:

Jurkat cell lysate at 20 µg

Lane 2:

Mouse kidney tissue lysate at 20 µg

Lane 3:

Rat brain tissue lysate at 20 µg

Secondary

All lanes:

Peroxidase-conjugated goat anti-rabbit IgG (H+L) at 1/1000 dilution

Predicted band size: 17 kDa

Observed band size: 20 kDa

false

Western blot - Anti-CRCP antibody [EPR9670(B)] (AB139264)
  • WB

Lab

Western blot - Anti-CRCP antibody [EPR9670(B)] (AB139264)

Blocking buffer and concentration : 5% NFDM/TBST.

Diluting buffer and concentration : 5% NFDM/TBST.

All lanes:

Western blot - Anti-CRCP antibody [EPR9670(B)] (ab139264) at 1/10000 dilution

Lane 1:

Jurkat cell lysate at 20 µg

Lane 2:

Mouse kidney tissue lysate at 20 µg

Lane 3:

Rat brain tissue lysate at 20 µg

Secondary

All lanes:

Peroxidase-conjugated goat anti-rabbit IgG (H+L) at 1/1000 dilution

Predicted band size: 17 kDa

Observed band size: 20 kDa

false

  • Carrier free

    Anti-CRCP antibody [EPR9670(B)] - BSA and Azide free

Key facts

Host species

Rabbit

Clonality

Monoclonal

Clone number

EPR9670(B)

Isotype

IgG

Carrier free

No

Reacts with

Mouse, Rat, Human

Applications

WB, IHC-P, ICC/IF, IP

applications

Immunogen

The exact immunogen used to generate this antibody is proprietary information.

Reactivity data

{ "title": "Reactivity Data", "filters": { "stats": ["", "Species", "Dilution Info", "Notes"], "tabs": { "all-applications": {"fullname" : "All Applications", "shortname": "All Applications"}, "IP" : {"fullname" : "Immunoprecipitation", "shortname":"IP"}, "WB" : {"fullname" : "Western blot", "shortname":"WB"}, "ICCIF" : {"fullname" : "Immunocytochemistry/ Immunofluorescence", "shortname":"ICC/IF"}, "IHCP" : {"fullname" : "Immunohistochemistry (Formalin/PFA-fixed paraffin-embedded sections)", "shortname":"IHC-P"} }, "product-promise": { "all": "all", "testedAndGuaranteed": "tested", "guaranteed": "expected", "predicted": "predicted", "notRecommended": "not-recommended" } }, "values": { "Human": { "IP-species-checked": "testedAndGuaranteed", "IP-species-dilution-info": "1/50 - 1/100", "IP-species-notes": "<p></p>", "WB-species-checked": "testedAndGuaranteed", "WB-species-dilution-info": "1/1000 - 1/10000", "WB-species-notes": "<p></p>", "ICCIF-species-checked": "testedAndGuaranteed", "ICCIF-species-dilution-info": "1/250", "ICCIF-species-notes": "<p><strong>For unpurified use at 1/100.</strong></p>", "IHCP-species-checked": "testedAndGuaranteed", "IHCP-species-dilution-info": "1/200", "IHCP-species-notes": "<p><strong>For unpurified use at 1/100.</strong></p>" }, "Mouse": { "IP-species-checked": "guaranteed", "IP-species-dilution-info": "", "IP-species-notes": "", "WB-species-checked": "testedAndGuaranteed", "WB-species-dilution-info": "1/1000 - 1/10000", "WB-species-notes": "<p></p>", "ICCIF-species-checked": "guaranteed", "ICCIF-species-dilution-info": "", "ICCIF-species-notes": "", "IHCP-species-checked": "guaranteed", "IHCP-species-dilution-info": "", "IHCP-species-notes": "" }, "Rat": { "IP-species-checked": "guaranteed", "IP-species-dilution-info": "", "IP-species-notes": "", "WB-species-checked": "testedAndGuaranteed", "WB-species-dilution-info": "1/1000 - 1/10000", "WB-species-notes": "<p></p>", "ICCIF-species-checked": "guaranteed", "ICCIF-species-dilution-info": "", "ICCIF-species-notes": "", "IHCP-species-checked": "guaranteed", "IHCP-species-dilution-info": "", "IHCP-species-notes": "" } } }

Product details

Patented technology
Our RabMAb® technology is a patented hybridoma-based technology for making rabbit monoclonal antibodies. For details on our patents, please refer to RabMAb® patents.

What are the advantages of a recombinant monoclonal antibody?
This product is a recombinant monoclonal antibody, which offers several advantages including:

  • - High batch-to-batch consistency and reproducibility
  • - Improved sensitivity and specificity
  • - Long-term security of supply
  • - Animal-free batch production

For more information, read more on recombinant antibodies.

Properties and storage information

Form
Liquid
Purification technique
Affinity purification Protein A
Storage buffer
Preservative: 0.01% Sodium azide Constituents: PBS, 40% Glycerol (glycerin, glycerine), 0.05% BSA
Shipped at conditions
Blue Ice
Appropriate short-term storage duration
1-2 weeks
Appropriate short-term storage conditions
+4°C
Appropriate long-term storage conditions
-20°C
Aliquoting information
Upon delivery aliquot
Storage information
Avoid freeze / thaw cycle

Supplementary information

This supplementary information is collated from multiple sources and compiled automatically.

The target CRCP also known as CGRP receptor component protein is a protein with a mass of approximately 148 kDa. It has a mechanical role in assisting the function of calcitonin gene-related peptide (CGRP) receptors. CRCP localizes in various tissues including the central nervous system and peripheral tissues like the heart and kidneys. Its expression is important for the proper signaling of peptide hormones in these areas.
Biological function summary

The CRCP influences the efficacy of CGRP receptor signaling. It functions as a part of the receptor complex aiding in the transmission of signals that control vasodilation and neuronal communication. CRCP does not act alone often associating with other components such as receptor activity-modifying proteins (RAMPs) and calcitonin receptor-like receptors (CLR) forming a fully functional CGRP receptor complex. This complex regulates important processes like blood flow and neurotransmitter release.

Pathways

CRCP participates in pathways related to neurovascular and endocrine signaling. It plays a role in the CGRP signaling pathway which involves significant proteins such as RAMP1 and CLR. These pathways contribute to the regulation of blood vessel tone and neuropeptide release impacting various physiological responses. CRCP's role in these pathways highlights its importance in maintaining proper cardiovascular and nervous system functioning.

CRCP is involved with migraine and cardiovascular diseases. Aberrations in CRCP or its associated signaling pathways may lead to dysregulation contributing to migraine pathophysiology. The protein's interaction with CGRP is well-documented in these conditions where the overactivation of the CGRP pathway can exacerbate symptoms. Moreover since CRCP is part of the vascular regulation mechanism any disruption in its function might contribute to cardiovascular disorders indicating a significant therapeutic target in these diseases.

Product protocols

For this product, it's our understanding that no specific protocols are required. You can visit:

Target data

DNA-dependent RNA polymerase catalyzes the transcription of DNA into RNA using the four ribonucleoside triphosphates as substrates (PubMed : 20413673, PubMed : 33558764, PubMed : 34675218). Specific peripheric component of RNA polymerase III (Pol III) which synthesizes small non-coding RNAs including 5S rRNA, snRNAs, tRNAs and miRNAs from at least 500 distinct genomic loci. With POLR3H/RPC8 forms a mobile stalk that protrudes from Pol III core and functions primarily in transcription initiation (By similarity) (PubMed : 20413673, PubMed : 33558764, PubMed : 33558766, PubMed : 34675218). Pol III plays a key role in sensing and limiting infection by intracellular bacteria and DNA viruses. Acts as nuclear and cytosolic DNA sensor involved in innate immune response. Can sense non-self dsDNA that serves as template for transcription into dsRNA. The non-self RNA polymerase III transcripts, such as Epstein-Barr virus-encoded RNAs (EBERs) induce type I interferon and NF-kappa-B through the RIG-I pathway (PubMed : 19609254, PubMed : 19631370).. Accessory protein for the calcitonin gene-related peptide (CGRP) receptor. It modulates CGRP responsiveness in a variety of tissues.
See full target information CRCP

Publications (13)

Recent publications for all applications. Explore the full list and refine your search

Pharmaceuticals (Basel, Switzerland) 18: PubMed40143202

2025

Wuzhuyu Decoction Relieves Chronic Migraine by Regulating 5-HT1A and 3A Receptors-Mediated CREB Signaling Pathway in Brain and Intestine.

Applications

Unspecified application

Species

Unspecified reactive species

Zhimin Song,Meijing Li,Ziwei Zhou,Xiaomeng Guo,Qi Wang,Zekuan Zhang,Keshu Wang,Qixiang Zheng,Wenjing Gou,Sha Wu,Hui Zhao,Muxin Gong

Journal of neuroinflammation 21:318 PubMed39627853

2024

Metformin attenuates central sensitization by regulating neuroinflammation through the TREM2-SYK signaling pathway in a mouse model of chronic migraine.

Applications

Unspecified application

Species

Unspecified reactive species

Zhenzhen Fan,Dandan Su,Zi Chao Li,Songtang Sun,Zhaoming Ge

Journal of inflammation research 17:9795-9804 PubMed39618924

2024

The Temporal Changes in Ankle Joint Pathology, Pain and Secondary Osteoporosis in Collagen-Induced Arthritis Rats.

Applications

Unspecified application

Species

Unspecified reactive species

Qi Liu,Nan Nan,Wenfang Li,Mengwei Dong,Wei Pu,Yang Liu,Jie Zhao,Huiqin Hao

European spine journal : official publication of the European Spine Society, the European Spinal Deformity Society, and the European Section of the Cervical Spine Research Society 33:2116-2128 PubMed38436876

2024

Development of a novel animal model of lumbar vertebral endplate lesion by intervertebral disk injection of monosodium iodoacetate in rats.

Applications

Unspecified application

Species

Unspecified reactive species

Toshiaki Maruyama,Toshio Nakamae,Naosuke Kamei,Taiki Morisako,Kazuto Nakao,Fadlyansyah Farid,Hiroki Fukui,Nobuo Adachi

The journal of headache and pain 25:3 PubMed38177990

2024

Microglia TREM1-mediated neuroinflammation contributes to central sensitization via the NF-κB pathway in a chronic migraine model.

Applications

Unspecified application

Species

Unspecified reactive species

Songtang Sun,Zhenzhen Fan,Xuejiao Liu,Longde Wang,Zhaoming Ge

Scientific reports 13:15354 PubMed37717108

2023

Feasibility of administration of calcitonin gene-related peptide receptor antagonist on attenuation of pain and progression in osteoarthritis.

Applications

Unspecified application

Species

Unspecified reactive species

Akinori Nekomoto,Tomoyuki Nakasa,Yasunari Ikuta,Chenyang Ding,Shigeru Miyaki,Nobuo Adachi

Journal of neuroinflammation 18:5 PubMed33402188

2021

P2X7R-mediated autophagic impairment contributes to central sensitization in a chronic migraine model with recurrent nitroglycerin stimulation in mice.

Applications

Unspecified application

Species

Unspecified reactive species

Li Jiang,Yixin Zhang,Feng Jing,Ting Long,Guangcheng Qin,Dunke Zhang,Lixue Chen,Jiying Zhou

Pain 161:532-544 PubMed31738230

2019

Wnt signaling contributes to withdrawal symptoms from opioid receptor activation induced by morphine exposure or chronic inflammation.

Applications

Unspecified application

Species

Unspecified reactive species

Mingzheng Wu,Zehua Li,Lei Liang,Pingchuan Ma,Dong Cui,Peng Chen,Genhao Wu,Xue-Jun Song

International journal of stem cells 12:410-418 PubMed31658509

2019

Regeneration of Neural Networks in Immature Teeth with Non-Vital Pulp Following a Novel Regenerative Procedure.

Applications

Unspecified application

Species

Unspecified reactive species

Maha M F Mounir,Fatma M Rashed,Sahar M Bukhary

Neural regeneration research 12:804-811 PubMed28616038

2017

Electroacupuncture at (GB20) inhibits calcitonin gene-related peptide expression in the trigeminovascular system of a rat model of migraine.

Applications

Unspecified application

Species

Unspecified reactive species

Luo-Peng Zhao,Lu Liu,Pei Pei,Zheng-Yang Qu,Yu-Pu Zhu,Lin-Peng Wang
View all publications

Product promise

We are committed to supporting your work with high-quality reagents, and we're here for you every step of the way. In the unlikely event that one of our products does not perform as expected, you're protected by our Product Promise.
For full details, please see our Terms & Conditions

Please note: All products are 'FOR RESEARCH USE ONLY. NOT FOR USE IN DIAGNOSTIC OR THERAPEUTIC PROCEDURES'.

For licensing inquiries, please contact partnerships@abcam.com