JavaScript is disabled in your browser. Please enable JavaScript to view this website.
AB108388

Anti-Creatine kinase B type antibody [EPR3926]

Be the first to review this product! Submit a review

|

(11 Publications)

Rabbit Recombinant Monoclonal Creatine kinase B type antibody. Suitable for IHC-P, WB and reacts with Human, Mouse, Rat samples. Cited in 11 publications.

View Alternative Names

CKBB, CKB, Creatine kinase B-type, Brain creatine kinase, Creatine kinase B chain, Creatine phosphokinase B-type, B-CK, CPK-B

5 Images
Immunohistochemistry (Formalin/PFA-fixed paraffin-embedded sections) - Anti-Creatine kinase B type antibody [EPR3926] (AB108388)
  • IHC-P

Unknown

Immunohistochemistry (Formalin/PFA-fixed paraffin-embedded sections) - Anti-Creatine kinase B type antibody [EPR3926] (AB108388)

ab108388, at 1/100 dilution, staining Creatine Kinase BB in Human heart by Immunohistochemistry, Paraffin-embedded tissue.

Immunohistochemistry (Formalin/PFA-fixed paraffin-embedded sections) - Anti-Creatine kinase B type antibody [EPR3926] (AB108388)
  • IHC-P

Unknown

Immunohistochemistry (Formalin/PFA-fixed paraffin-embedded sections) - Anti-Creatine kinase B type antibody [EPR3926] (AB108388)

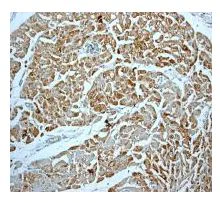
Immunohistochemistry (Formalin/PFA-fixed paraffin-embedded sections) analysis of Human cerebrum tissue sections labeling Creatine kinase B type with purified ab108388 at 1/500 dilution (1.14 µg/ml). Perform heat mediated antigen retrieval using Citrate buffer, pH 6.0. ImmunoHistoProbe one step HRP Polymer (ready to use) was used as the secondary antibody. Negative control : PBS instead of the primary antibody. Hematoxylin was used as a counterstain.

Western blot - Anti-Creatine kinase B type antibody [EPR3926] (AB108388)
  • WB

Lab

Western blot - Anti-Creatine kinase B type antibody [EPR3926] (AB108388)

Lane 1 : Wild-type HAP1 cell lysate (20 μg)
Lane 2 : Creatine kinase B knockout HAP1 cell lysate (20 μg)
Lane 3 : HeLa cell lysate (20 μg)
Lane 4 : SH-SY5Y cell lysate (20 μg)
Lanes 1 - 4 : Merged signal (red and green). Green - ab108388 observed at 45 kDa. Red - loading control, ab18058, observed at 124 kDa.
ab108388 was shown to specifically react with Creatine kinase B when Creatine kinase B knockout samples were used. Wild-type and Creatine kinase B knockout samples were subjected to SDS-PAGE. ab108388 and ab18058 (loading control to vinculin) were diluted 1/50000 and 1/10000 respectively and incubated overnight at 4°C. Blots were developed with Goat anti-Rabbit IgG H&L (IRDye® 800CW) preadsorbed (ab216773) and Goat anti-Mouse IgG H&L (IRDye® 680RD) preadsorbed (ab216776) secondary antibodies at 1/10000 dilution for 1 hour at room temperature before imaging.

All lanes:

Western blot - Anti-Creatine kinase B type antibody [EPR3926] (ab108388)

Predicted band size: 43 kDa

false

Western blot - Anti-Creatine kinase B type antibody [EPR3926] (AB108388)
  • WB

Unknown

Western blot - Anti-Creatine kinase B type antibody [EPR3926] (AB108388)

All lanes:

Western blot - Anti-Creatine kinase B type antibody [EPR3926] (ab108388) at 1/50000 dilution

Lane 1:

293T cell lysate at 10 µg

Lane 2:

SH SY5Y cell lysate at 10 µg

Lane 3:

Y79 cell lysate at 10 µg

Lane 4:

HeLa cell lysate at 10 µg

Predicted band size: 43 kDa

false

Western blot - Anti-Creatine kinase B type antibody [EPR3926] (AB108388)
  • WB

Lab

Western blot - Anti-Creatine kinase B type antibody [EPR3926] (AB108388)

All lanes:

Western blot - Anti-Creatine kinase B type antibody [EPR3926] (ab108388) at 1/50000 dilution

Lane 1:

HeLa (Human cervix adenocarcinoma epithelial cell) whole cell lysates at 20 µg

Lane 2:

Mouse brain lysates at 20 µg

Lane 3:

Rat brain lysates at 20 µg

Secondary

All lanes:

Western blot - Goat Anti-Rabbit IgG H&L (HRP) (<a href='/en-us/products/secondary-antibodies/goat-rabbit-igg-h-l-hrp-ab97051'>ab97051</a>) at 1/20000 dilution

Predicted band size: 43 kDa

Observed band size: 43 kDa

false

  • Carrier free

    Anti-Creatine kinase B type antibody [EPR3926] - BSA and Azide free

Key facts

Host species

Rabbit

Clonality

Monoclonal

Clone number

EPR3926

Isotype

IgG

Carrier free

No

Reacts with

Mouse, Rat, Human

Applications

IHC-P, WB

applications

Immunogen

The exact immunogen used to generate this antibody is proprietary information.

Specificity

The mouse and rat recommendation is based on the WB results. We do not guarantee IHC-P for mouse and rat.

Reactivity data

{ "title": "Reactivity Data", "filters": { "stats": ["", "Species", "Dilution Info", "Notes"], "tabs": { "all-applications": {"fullname" : "All Applications", "shortname": "All Applications"}, "IHCP" : {"fullname" : "Immunohistochemistry (Formalin/PFA-fixed paraffin-embedded sections)", "shortname":"IHC-P"}, "WB" : {"fullname" : "Western blot", "shortname":"WB"} }, "product-promise": { "all": "all", "testedAndGuaranteed": "tested", "guaranteed": "expected", "predicted": "predicted", "notRecommended": "not-recommended" } }, "values": { "Human": { "IHCP-species-checked": "testedAndGuaranteed", "IHCP-species-dilution-info": "1/500", "IHCP-species-notes": "<p><strong>For unpurified use at 1/100 - 1/250.</strong></p><p>The mouse and rat recommendation is based on the WB results. We do not guarantee IHC-P for mouse and rat.</p>", "WB-species-checked": "testedAndGuaranteed", "WB-species-dilution-info": "1/50000 - 1/200000", "WB-species-notes": "<p></p>" }, "Mouse": { "IHCP-species-checked": "guaranteed", "IHCP-species-dilution-info": "", "IHCP-species-notes": "", "WB-species-checked": "testedAndGuaranteed", "WB-species-dilution-info": "1/50000 - 1/200000", "WB-species-notes": "<p></p>" }, "Rat": { "IHCP-species-checked": "guaranteed", "IHCP-species-dilution-info": "", "IHCP-species-notes": "", "WB-species-checked": "testedAndGuaranteed", "WB-species-dilution-info": "1/50000 - 1/200000", "WB-species-notes": "<p></p>" } } }

Product details

Patented technology
Our RabMAb® technology is a patented hybridoma-based technology for making rabbit monoclonal antibodies. For details on our patents, please refer to RabMAb® patents.

What are the advantages of a recombinant monoclonal antibody?
This product is a recombinant monoclonal antibody, which offers several advantages including:

  • - High batch-to-batch consistency and reproducibility
  • - Improved sensitivity and specificity
  • - Long-term security of supply
  • - Animal-free batch production

For more information, read more on recombinant antibodies.

Properties and storage information

Form
Liquid
Purification technique
Affinity purification Protein A
Storage buffer
pH: 7.2 - 7.4 Preservative: 0.01% Sodium azide Constituents: PBS, 40% Glycerol (glycerin, glycerine), 0.05% BSA
Shipped at conditions
Blue Ice
Appropriate short-term storage duration
1-2 weeks
Appropriate short-term storage conditions
+4°C
Appropriate long-term storage conditions
-20°C
Aliquoting information
Upon delivery aliquot
Storage information
Stable for 12 months at -20°C

Product protocols

For this product, it's our understanding that no specific protocols are required. You can visit:

Target data

Reversibly catalyzes the transfer of phosphate between ATP and various phosphogens (e.g. creatine phosphate) (PubMed : 8186255). Creatine kinase isoenzymes play a central role in energy transduction in tissues with large, fluctuating energy demands, such as skeletal muscle, heart, brain and spermatozoa (Probable). Acts as a key regulator of adaptive thermogenesis as part of the futile creatine cycle : localizes to the mitochondria of thermogenic fat cells and acts by mediating phosphorylation of creatine to initiate a futile cycle of creatine phosphorylation and dephosphorylation (By similarity). During the futile creatine cycle, creatine and N-phosphocreatine are in a futile cycle, which dissipates the high energy charge of N-phosphocreatine as heat without performing any mechanical or chemical work (By similarity).
See full target information CKB

Publications (11)

Recent publications for all applications. Explore the full list and refine your search

Mucosal immunology 16:817-825 PubMed37716510

2023

Fundamental role for the creatine kinase pathway in protection from murine colitis.

Applications

Unspecified application

Species

Unspecified reactive species

Caroline H T Hall,Jordi M Lanis,Alexander S Dowdell,Emily M Murphy,Geetha Bhagavatula,Rane M Neuhart,Kiranmayee Yenugudhati Vijaya Sai,Sean P Colgan

The EMBO journal 42:e111148 PubMed36843552

2023

A Zeb1/MtCK1 metabolic axis controls osteoclast activation and skeletal remodeling.

Applications

Unspecified application

Species

Unspecified reactive species

Lingxin Zhu,Yi Tang,Xiao-Yan Li,Samuel A Kerk,Costas A Lyssiotis,Wenqing Feng,Xiaoyue Sun,Geoffrey E Hespe,Zijun Wang,Marc P Stemmler,Simone Brabletz,Thomas Brabletz,Evan T Keller,Jun Ma,Jung-Sun Cho,Jingwen Yang,Stephen J Weiss

American journal of cancer research 12:4652-4665 PubMed36381321

2022

CKB affects human osteosarcoma progression by regulating the p53 pathway.

Applications

Unspecified application

Species

Unspecified reactive species

Fengxin Zhou,Xinli Dou,Chenguang Li

Cell death & disease 12:1050 PubMed34741026

2021

Mitochondrial Drp1 recognizes and induces excessive mPTP opening after hypoxia through BAX-PiC and LRRK2-HK2.

Applications

Unspecified application

Species

Unspecified reactive species

Chenyang Duan,Lei Kuang,Chen Hong,Xinming Xiang,Jiancang Liu,Qinghui Li,Xiaoyong Peng,Yuanqun Zhou,Hongchen Wang,Liangming Liu,Tao Li

Neoplasia (New York, N.Y.) 23:1147-1165 PubMed34706306

2021

CKB inhibits epithelial-mesenchymal transition and prostate cancer progression by sequestering and inhibiting AKT activation.

Applications

Unspecified application

Species

Unspecified reactive species

Zheng Wang,Mohit Hulsurkar,Lijuan Zhuo,Jinbang Xu,Han Yang,Samira Naderinezhad,Lin Wang,Guoliang Zhang,Nanping Ai,Linna Li,Jeffrey T Chang,Songlin Zhang,Ladan Fazli,Chad J Creighton,Fang Bai,Michael M Ittmann,Martin E Gleave,Wenliang Li

Cells 10: PubMed34065411

2021

Establishing a 3D In Vitro Hepatic Model Mimicking Physiologically Relevant to In Vivo State.

Applications

Unspecified application

Species

Unspecified reactive species

Hyun Kyoung Kang,Madina Sarsenova,Da-Hyun Kim,Min Soo Kim,Jin Young Lee,Eun-Ah Sung,Myung Geun Kook,Nam Gyo Kim,Soon Won Choi,Vyacheslav Ogay,Kyung-Sun Kang

Nature metabolism 2:62-80 PubMed32694686

2020

The creatine-phosphagen system is mechanoresponsive in pancreatic adenocarcinoma and fuels invasion and metastasis.

Applications

Unspecified application

Species

Unspecified reactive species

Vassilis Papalazarou,Tong Zhang,Nikki R Paul,Amelie Juin,Marco Cantini,Oliver D K Maddocks,Manuel Salmeron-Sanchez,Laura M Machesky

Andrology 8:407-420 PubMed31364287

2019

Characterization of seminal plasma proteomic alterations associated with the IVF and rescue-ICSI pregnancy in assisted reproduction.

Applications

Unspecified application

Species

Unspecified reactive species

X Liu,G Liu,P Zhu,Y Wang,J Wang,W Zhang,W Wang,N Li,X Wang,C Zhang,J Liu,X Shen,F Liu

Oncology letters 18:1133-1144 PubMed31423173

2019

Cystic and solitary nodular pulmonary metastases in a patient with low-grade endometrial stromal sarcoma: A case report and literature review.

Applications

Unspecified application

Species

Unspecified reactive species

Yang Xu,Zhi-Xin Liang,Jun-Tang Guo,Xin Su,Yun-Long Lu,Xi-Zhou Guan

Molecular reproduction and development 83:526-40 PubMed27088550

2016

Implications of caveolae in testicular and epididymal myoid cells to sperm motility.

Applications

Unspecified application

Species

Unspecified reactive species

Regiana L Oliveira,Adam Parent,Daniel G Cyr,Mary Gregory,Craig A Mandato,Charles E Smith,Louis Hermo
View all publications

Product promise

We are committed to supporting your work with high-quality reagents, and we're here for you every step of the way. In the unlikely event that one of our products does not perform as expected, you're protected by our Product Promise.
For full details, please see our Terms & Conditions

Please note: All products are 'FOR RESEARCH USE ONLY. NOT FOR USE IN DIAGNOSTIC OR THERAPEUTIC PROCEDURES'.

For licensing inquiries, please contact partnerships@abcam.com