JavaScript is disabled in your browser. Please enable JavaScript to view this website.
AB32515

Anti-CREB antibody [E306]

  • 20ul selling size
  • RabMAb
  • Recombinant
  • KO Validated
  • What is this?

5

(4 Reviews)

|

(198 Publications)

Anti-CREB antibody [E306] (ab32515) is a rabbit monoclonal antibody detecting CREB in Western Blot, IHC-P. Suitable for Human, Mouse, Rat.

- KO validated for confirmed specificity
- Biophysical QC for unrivalled batch-batch consistency
- Over 150 publications
- Trusted since 2006

View Alternative Names

Cyclic AMP-responsive element-binding protein 1, CREB-1, cAMP-responsive element-binding protein 1, CREB1

3 Images
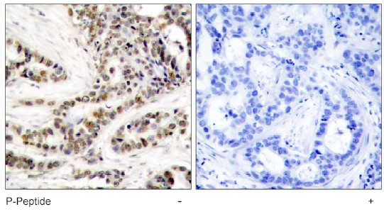
Immunohistochemistry (Formalin/PFA-fixed paraffin-embedded sections) - Anti-CREB antibody [E306] (AB32515)
  • IHC-P

Unknown

Immunohistochemistry (Formalin/PFA-fixed paraffin-embedded sections) - Anti-CREB antibody [E306] (AB32515)

ab32515, at a 1/500 dilution, staining CREB in paraffin embedded prostatic carcinoma tissue sections by Immunohistochemistry.

Perform heat mediated antigen retrieval with citrate buffer pH 6 before commencing with IHC staining protocol.

Western blot - Anti-CREB antibody [E306] (AB32515)
  • WB

Lab

Western blot - Anti-CREB antibody [E306] (AB32515)

Lane 1 : Wild-type HAP1 cell lysate (20 μg)
Lane 2 : CREB knockout HAP1 cell lysate (20 μg)
Lane 3 : HeLa cell lysate (20 μg)
Lane 4 : A431 cell lysate(20 μg)

Lanes 1 - 4 : Merged signal (red and green). Green - ab32515 observed at 44 kDa. Red - loading control, ab18058, observed at 214 kDa.

ab32515 was shown to recognize CREB in wild-type HAP1 cells along with additional cross-reactive bands. No band was observed when CREB knockout samples examined. Wild-type and knockout samples were subjected to SDS-PAGE. ab32515 and ab18058 (loading control to Vinculin) diluted to 1/500 and 1/10000 respectively and incubated overnight at 4°C. Blots were developed with Goat anti-Rabbit IgG H&L (IRDye® 800CW) preadsorbed (ab216773) and Goat anti-Mouse IgG H&L (IRDye® 680RD) preadsorbed (ab216776) secondary antibodies at 1/10000 dilution for 1 hour at room temperature before imaging.

All lanes:

Western blot - Anti-CREB antibody [E306] (ab32515)

Predicted band size: 36 kDa

false

Western blot - Anti-CREB antibody [E306] (AB32515)
  • WB

Lab

Western blot - Anti-CREB antibody [E306] (AB32515)

Blocking and diluting buffer : 5% NFDM/TBST.

All lanes:

Western blot - Anti-CREB antibody [E306] (ab32515) at 0.03 µg/mL

Lane 1:

HeLa (Human cervix adenocarcinoma epithelial cell) whole cell lysate at 20 µg

Lane 2:

A431 (Human epidermoid carcinoma epithelial cell) whole cell lysate at 20 µg

Lane 3:

PC-12 (Rat adrenal gland pheochromocytoma) whole cell lysate at 20 µg

Lane 4:

NIH/3T3 (Mouse embryonic fibroblast) whole cell lysate

Secondary

All lanes:

Western blot - Goat Anti-Rabbit IgG H&L (HRP) (<a href='/en-us/products/secondary-antibodies/goat-rabbit-igg-h-l-hrp-ab97051'>ab97051</a>) at 1/20000 dilution

Predicted band size: 36 kDa

Observed band size: 40 kDa

false

Exposure time: 15s

  • HRP

    HRP Anti-CREB antibody [E306]

  • Carrier free

    Anti-CREB antibody [E306] - BSA and Azide free

Key facts

Host species

Rabbit

Clonality

Monoclonal

Clone number

E306

Isotype

IgG

Carrier free

No

Reacts with

Mouse, Rat, Human

Applications

IHC-P, WB

applications

Immunogen

The exact immunogen used to generate this antibody is proprietary information.

Specificity

This antibody recognizes CREB, and can also recognize the splice isoform of CREB.

Reactivity data

{ "title": "Reactivity Data", "filters": { "stats": ["", "Species", "Dilution Info", "Notes"], "tabs": { "all-applications": {"fullname" : "All Applications", "shortname": "All Applications"}, "FlowCyt" : {"fullname" : "Flow Cytometry", "shortname":"Flow Cyt"}, "WB" : {"fullname" : "Western blot", "shortname":"WB"}, "IHCP" : {"fullname" : "Immunohistochemistry (Formalin/PFA-fixed paraffin-embedded sections)", "shortname":"IHC-P"} }, "product-promise": { "all": "all", "testedAndGuaranteed": "tested", "guaranteed": "expected", "predicted": "predicted", "notRecommended": "not-recommended" } }, "values": { "Human": { "FlowCyt-species-checked": "notRecommended", "FlowCyt-species-dilution-info": "1/40", "FlowCyt-species-notes": "<p><a href='/en-us/products/primary-antibodies/rabbit-igg-monoclonal-epr25a-isotype-control-ab172730'>ab172730</a> - Rabbit monoclonal IgG, is suitable for use as an isotype control with this antibody.</p>", "WB-species-checked": "testedAndGuaranteed", "WB-species-dilution-info": "1/500 - 1/1000", "WB-species-notes": "<p></p>", "IHCP-species-checked": "testedAndGuaranteed", "IHCP-species-dilution-info": "1/500", "IHCP-species-notes": "<p></p>" }, "Mouse": { "FlowCyt-species-checked": "notRecommended", "FlowCyt-species-dilution-info": "1/40", "FlowCyt-species-notes": "<p><a href='/en-us/products/primary-antibodies/rabbit-igg-monoclonal-epr25a-isotype-control-ab172730'>ab172730</a> - Rabbit monoclonal IgG, is suitable for use as an isotype control with this antibody.</p>", "WB-species-checked": "testedAndGuaranteed", "WB-species-dilution-info": "1/500 - 1/1000", "WB-species-notes": "<p></p>", "IHCP-species-checked": "guaranteed", "IHCP-species-dilution-info": "", "IHCP-species-notes": "" }, "Rat": { "FlowCyt-species-checked": "notRecommended", "FlowCyt-species-dilution-info": "1/40", "FlowCyt-species-notes": "<p><a href='/en-us/products/primary-antibodies/rabbit-igg-monoclonal-epr25a-isotype-control-ab172730'>ab172730</a> - Rabbit monoclonal IgG, is suitable for use as an isotype control with this antibody.</p>", "WB-species-checked": "testedAndGuaranteed", "WB-species-dilution-info": "1/500 - 1/1000", "WB-species-notes": "<p></p>", "IHCP-species-checked": "guaranteed", "IHCP-species-dilution-info": "", "IHCP-species-notes": "" }, "Cow": { "FlowCyt-species-checked": "notRecommended", "FlowCyt-species-dilution-info": "", "FlowCyt-species-notes": "", "WB-species-checked": "predicted", "WB-species-dilution-info": "", "WB-species-notes": "", "IHCP-species-checked": "predicted", "IHCP-species-dilution-info": "", "IHCP-species-notes": "" } } }

Product details

What is this antibody validated in?
Anti-CREB antibody [E306] (ab32515) is a rabbit recombinant monoclonal antibody and is validated for use in Western Blot (WB), Immunohistochemistry (IHC-P) in Human, Mouse, Rat samples.

What is the molecular weight of CREB?
Anti-CREB [E306] (ab32515) specifically detects a band for CREB (UniProt: P16220) at a molecular weight of 37kDa.

Trusted by the scientific community
Anti-CREB [E306] (ab32515) was first used in a scientific publication in 2006 and has been cited over 150 times in peer-reviewed journals.

Trial sizes available!
Test your antibody or perform pre-screening before committing to a larger quantity. Sold in 10µl. Discover our selection of trial-size antibodies.

Specificity confirmed
The specificity of Anti-CREB antibody [E306] (ab32515) has been confirmed by Western blot testing in CREB1 Knockout HAP1 cells.

Other related products
We have a range of other formats of antibody clone [E306] also available for your convenience: ab32515, Alexa Fluor® 647 - ab194312, HRP - ab194313, Carrier free - ab221216

Patented technology
Our RabMAb® technology is a patented hybridoma-based technology for making rabbit monoclonal antibodies. For details on our patents, please refer to RabMAb® patents.

What are the advantages of a recombinant monoclonal antibody?
This product is a recombinant monoclonal antibody, which offers several advantages including:

  • - High batch-to-batch consistency and reproducibility
  • - Improved sensitivity and specificity
  • - Long-term security of supply
  • - Animal-free batch production

For more information, read more on recombinant antibodies.

Properties and storage information

Form
Liquid
Purification technique
Affinity purification Protein A
Storage buffer
pH: 7.2 - 7.4 Preservative: 0.01% Sodium azide Constituents: PBS, 50% Glycerol (glycerin, glycerine), 0.05% BSA
Shipped at conditions
Blue Ice
Appropriate short-term storage duration
1-2 weeks
Appropriate short-term storage conditions
+4°C
Appropriate long-term storage conditions
-20°C
Aliquoting information
Upon delivery aliquot
Storage information
Avoid freeze / thaw cycle

Supplementary information

This supplementary information is collated from multiple sources and compiled automatically.

CAMP response element-binding protein better known as CREB functions as a transcription factor that regulates gene expression. CREB protein operates by binding to specific DNA sequences called cAMP response elements in the promoters of target genes leading to increased or altered transcription. The protein has a molecular weight around 43 kDa. Expressed broadly in many tissues CREB's activity is particularly high in the brain where it plays key roles in neuronal functions. Researchers also refer to phospho-CREB when discussing the activated form of this protein often analyzed through methods like CREB Western blot.
Biological function summary

CREB contributes significantly to cellular processes such as proliferation differentiation and survival through transcriptional regulation. CREB does not function alone; it frequently associates with other proteins forming complexes to exert its regulatory roles. Additionally CREB influences the development of memory and learning in neurons highlighting its extensive involvement in neurophysiological processes.

Pathways

CREB plays a substantial role in the cAMP signaling pathway as well as the mitogen-activated protein kinase (MAPK) pathway. Through its interaction with kinases and other signaling proteins CREB influences numerous downstream targets affecting cellular responses to external stimuli. Notably protein kinase A (PKA) activates CREB by phosphorylation facilitating its role in various signal transduction pathways and linking it to downstream transcriptional events.

Research links CREB to neurological disorders and some forms of cancer. Aberrant CREB activity associates with neurodegenerative diseases like Alzheimer's where dysregulated gene expression impacts neuronal viability and function. Furthermore in cancer CREB's role in cell proliferation and survival ties it to oncogenes such as BCL2 where abnormal CREB function can promote tumorigenesis. Understanding these connections provides valuable insights for therapeutic strategies against such diseases.

Product protocols

For this product, it's our understanding that no specific protocols are required. You can visit:

Target data

Phosphorylation-dependent transcription factor that stimulates transcription upon binding to the DNA cAMP response element (CRE), a sequence present in many viral and cellular promoters (By similarity). Transcription activation is enhanced by the TORC coactivators which act independently of Ser-119 phosphorylation (PubMed : 14536081). Involved in different cellular processes including the synchronization of circadian rhythmicity and the differentiation of adipose cells (By similarity). Regulates the expression of apoptotic and inflammatory response factors in cardiomyocytes in response to ERFE-mediated activation of AKT signaling (By similarity).
See full target information CREB1

Publications (198)

Recent publications for all applications. Explore the full list and refine your search

The Tohoku journal of experimental medicine : PubMed41034038

2025

Acupuncture Ameliorates Cognitive Dysfunction by Modulating the Apoptosis of Hippocampal Neuron in Severe Hand Foot and Mouth Disease Infant Rats Through the p38 MAPK/CREB Pathway.

Applications

Unspecified application

Species

Unspecified reactive species

Zongtao Wu,Hongjiao Jin,Biqin Shuai,Xiang Zhang,San Wang,Lan Chen,Bo Huang

Frontiers in psychiatry 16:1586613 PubMed40534913

2025

Correlation study of BDNF/TrkB/CREB, violence, and cognitive function in first-episode drug-naive schizophrenia patients.

Applications

Unspecified application

Species

Unspecified reactive species

Tiankai Jiang,Zhipeng Li,Tao Yu,Xudong Zhou,Tiantian Jiang,Yuhang Liang,Chen Yu,Min Zhu,Wenyu Wu

Food science & nutrition 13:e70408 PubMed40491976

2025

Molecular Mechanisms Underlying Apple Extract Ameliorates Depression-Incident Cognitive Dysfunction Based on Network Pharmacology.

Applications

Unspecified application

Species

Unspecified reactive species

Yue Chen,Shunqiang Yang,Huihuang Shi,Jizhe Cui,Zhu Li

Frontiers in pharmacology 16:1592187 PubMed40453656

2025

The regulation and mechanism of the cAMP-PKA pathway on PTSD-like behaviors exacerbated by alcohol exposure.

Applications

Unspecified application

Species

Unspecified reactive species

Shuang Zhao,Wei Zhao,Ziqi Wang,Xiaofei Chen,Fangjiao Zong,Hanting Zhang

Psychopharmacology 242:1797-1809 PubMed40237808

2025

MiR-223-3p inhibits hippocampal neurons injury and exerts anti- anxiety/depression-like behaviors by directly targeting NLRP3.

Applications

Unspecified application

Species

Unspecified reactive species

Wenyuan Wang,Tingting Yang,Na Liu,Lin Yang,Cong Liu,Xiaoxiao Qi,Ning Wang,Mingwei Wang,Yanyong Wang

Brain sciences 15: PubMed40149758

2025

The pCREB/BDNF Pathway in the Hippocampus Is Involved in the Therapeutic Effect of Selective 5-HT Reuptake Inhibitors in Adult Male Rats Exposed to Blast Traumatic Brain Injury.

Applications

Unspecified application

Species

Unspecified reactive species

Xiaolin Fan,Hong Wang,Xiaoqiang Lv,Qi Wang,Boya Yu,Xiao Li,Liang Li,Yuhao Zhang,Ning Ma,Qing Lu,Airong Qian,Junhong Gao

Drug design, development and therapy 19:911-929 PubMed39959122

2025

Danggui-Shaoyao-San Can Ameliorate Alzheimer's Disease by Inhibiting Hippocampal Neuron Apoptosis: Findings from Serum Pharmacology.

Applications

Unspecified application

Species

Unspecified reactive species

Kai-Xin Zhang,Ji-Wei Zhang,Yan-Hong Jiang,Yi-Ran Wang,Zhen-Ling Liu,Peng-Li Ding,Xiang-Ying Wang,Wen-Qiang Cui,Xiang-Qing Xu,Ya-Han Wang

International journal of molecular sciences 25: PubMed39684198

2024

The Activation of p300 Enhances the Sensitivity of Pituitary Adenomas to Dopamine Agonist Treatment by Regulating the Transcription of DRD2.

Applications

Unspecified application

Species

Unspecified reactive species

Sihan Li,Xingbo Li,Quanji Wang,Qian Jiang,Zihan Wang,Linpeng Xu,Yimin Huang,Ting Lei

Molecular medicine reports 30: PubMed39422033

2024

RON receptor tyrosine kinase regulates glycolysis through MAPK/CREB signaling to affect ferroptosis and chemotherapy sensitivity of thyroid cancer cells.

Applications

Unspecified application

Species

Unspecified reactive species

Xin Jin,Haonan Zhu,Xingyu Chen,Yining Yang,Dongliang Song

Thyroid : official journal of the American Thyroid Association 34:1401-1413 PubMed39397581

2024

Mitophagy Defects Exacerbate Inflammation and Aberrant Proliferation in Lymphocytic Thyroiditis.

Applications

Unspecified application

Species

Unspecified reactive species

Han Sai Lee,Jinju Lee,Hyun-Ju An,Min-Ji Sung,Jin-Hyung Heo,So-Young Lee,Young Shin Song
View all publications

Product promise

We are committed to supporting your work with high-quality reagents, and we're here for you every step of the way. In the unlikely event that one of our products does not perform as expected, you're protected by our Product Promise.
For full details, please see our Terms & Conditions

Please note: All products are 'FOR RESEARCH USE ONLY. NOT FOR USE IN DIAGNOSTIC OR THERAPEUTIC PROCEDURES'.

For licensing inquiries, please contact partnerships@abcam.com