JavaScript is disabled in your browser. Please enable JavaScript to view this website.
AB178322

Anti-CREB antibody [LB9]

4

(1 Review)

|

(32 Publications)

Knockout Tested Mouse Monoclonal CREB antibody. Suitable for IHC-P, IP, WB, ICC/IF and reacts with Human, Mouse, Rat, African green monkey samples. Cited in 32 publications. Immunogen corresponding to Recombinant Full Length Protein corresponding to Human CREB1.

View Alternative Names

Cyclic AMP-responsive element-binding protein 1, CREB-1, cAMP-responsive element-binding protein 1, CREB1

9 Images
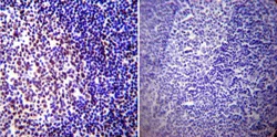
Immunohistochemistry (Formalin/PFA-fixed paraffin-embedded sections) - Anti-CREB antibody [LB9] (AB178322)
  • IHC-P

Supplier Data

Immunohistochemistry (Formalin/PFA-fixed paraffin-embedded sections) - Anti-CREB antibody [LB9] (AB178322)

Immunohistochemical analysis of deparaffinized Human tonsil tissue labeling CREB with ab178322 at 1/100 dilution followed by DAB staining.

Immunocytochemistry/ Immunofluorescence - Anti-CREB antibody [LB9] (AB178322)
  • ICC/IF

Supplier Data

Immunocytochemistry/ Immunofluorescence - Anti-CREB antibody [LB9] (AB178322)

Immunofluorescent analysis of untreated HeLa cells (formalin-fixed, 0.1% Triton X-100 permeabilized) labeling CREB with ab178322 at 1/400 dilution (green) followed with DyLight 488 goat anti-mouse IgG secondary antibody at 1/400 dilution. Nuclei (blue) were stained with Hoechst 33342 dye.

Immunocytochemistry/ Immunofluorescence - Anti-CREB antibody [LB9] (AB178322)
  • ICC/IF

Supplier Data

Immunocytochemistry/ Immunofluorescence - Anti-CREB antibody [LB9] (AB178322)

Immunofluorescent analysis of untreated HeLa cells (formalin-fixed, 0.1% Triton X-100 permeabilized) labeling CREB with ab178322 at 1/500 dilution (green) followed with DyLight 488 goat anti-mouse IgG secondary antibody at 1/400 dilution. Nuclei (blue) were stained with Hoechst 33342 dye.

Immunohistochemistry (Formalin/PFA-fixed paraffin-embedded sections) - Anti-CREB antibody [LB9] (AB178322)
  • IHC-P

Supplier Data

Immunohistochemistry (Formalin/PFA-fixed paraffin-embedded sections) - Anti-CREB antibody [LB9] (AB178322)

Immunohistochemical analysis of deparaffinized Human bladder cancer (left) and rectal cancer (right) tissues labeling CREB with ab178322 at 1/200 dilution followed by DAB staining.

Immunoprecipitation - Anti-CREB antibody [LB9] (AB178322)
  • IP

Supplier Data

Immunoprecipitation - Anti-CREB antibody [LB9] (AB178322)

Immunoprecipitation analysis of CREB was performed on untreated 293T cells. The antigen : antbody complex was formed by binding 500μg whole cell lysate with 2μg ab178322 and captured on 50μl Protein A/G Plus Agarose.

Lane 1 : 293T lysate

Lane 2 : IP of 293T lysate

WB detection used ab178322 at 1/1000 followed with a goat anti-mouse-HRP secondary antibody at 1/20,000.

All lanes:

Immunoprecipitation - Anti-CREB antibody [LB9] (ab178322)

Predicted band size: 36 kDa

true

Western blot - Anti-CREB antibody [LB9] (AB178322)
  • WB

Lab

Western blot - Anti-CREB antibody [LB9] (AB178322)

Lane 1 : Wild-type HAP1 cell lysate (20 μg)
Lane 2 : CREB knockout HAP1 cell lysate (20 μg)
Lane 3 : HeLa cell lysate (20 μg)
Lane 4 : A431 cell lysate (20 μg)
Lanes 1 - 4 : Merged signal (red and green). Green - ab178322 observed at 44 kDa. Red - loading control, ab18058, observed at 124 kDa.

ab178322 was shown to recognize CREB when CREB knockout samples were used, along with additional cross-reactive bands. Wild-type and CREB knockout samples were subjected to SDS-PAGE. ab178322 and ab18058 (loading control to Vinculin) were diluted at 1/250 and 1/10,000 dilution respectively and incubated overnight at 4C. Blots were developed with IRDye® 800CW Goat anti-Rabbit IgG (H + L) and IRDye® 680 Goat anti-Mouse IgG (H + L) secondary antibodies at 1/10,000 dilution for 1 hour at room temperature before imaging.

All lanes:

Western blot - Anti-CREB antibody [LB9] (ab178322)

Predicted band size: 36 kDa

false

Western blot - Anti-CREB antibody [LB9] (AB178322)
  • WB

Lab

Western blot - Anti-CREB antibody [LB9] (AB178322)

Western blot : Anti-CREB1 antibody [LB9] (ab178322) staining at 1/500 dilution, shown in green; Rabbit anti-ACTN4 [EPR2533(2)] (ab108198) loading control staining at 1/20000 dilution, shown in magenta. In Western blot, ab178322 was shown to bind specifically to CREB1. A band was observed at 40 kDa in wild-type A549 cell lysates with no signal observed at this size in CREB1 knockout cell line. To generate this image, wild-type and CREB1 knockout A549 cell lysates were analysed. First, samples were run on an SDS-PAGE gel then transferred onto a nitrocellulose membrane. Membranes were blocked in 3 % milk in TBS-0.1 % Tween® 20 (TBS-T) before incubation with primary antibodies overnight at 4 °C. Blots were washed four times in TBS-T, incubated with secondary antibodies for 1 h at room temperature, washed again four times then imaged. Secondary antibodies used were Goat anti-Mouse IgG H&L 800CW and Goat anti-Rabbit IgG H&L 680RD at 1/20000 dilution.

All lanes:

Western blot - Anti-CREB antibody [LB9] (ab178322) at 1/500 dilution

Lane 1:

Wild-type HCT 116 cell lysate at 20 µg

Lane 2:

CREB1 knockout HCT 116 cell lysate at 20 µg

Lane 3:

Wild-type A549 ab288558 cell lysate at 20 µg

Lane 4:

CREB1 knockout A549 <a href='/en-us/products/cell-lines/human-creb1-knockout-a549-cell-line-ab286720'>ab286720</a> cell lysate at 20 µg

Secondary

All lanes:

Goat anti-Mouse IgG H&L 800CW and Goat anti-Rabbit IgG H&L 680RD at 1/20000 dilution

Predicted band size: 36 kDa

Observed band size: 40 kDa

false

Western blot - Anti-CREB antibody [LB9] (AB178322)
  • WB

Supplier Data

Western blot - Anti-CREB antibody [LB9] (AB178322)

All lanes:

Western blot - Anti-CREB antibody [LB9] (ab178322) at 1/500 dilution

Lane 1:

Jurkat (Human T cell leukemia cell line from peripheral blood) whole cell lysate at 30 µg

Lane 2:

HeLa (Human cervix adenocarcinoma epithelial cell) whole cell lysate at 30 µg

Lane 3:

K-562 (Human chronic myelogenous leukemia lymphoblast cell line ) whole cell lysate at 30 µg

Lane 4:

Hep G2 (Human liver hepatocellular carcinoma cell line) whole cell lysate at 30 µg

Lane 5:

NIH/3T3 (Mouse embryonic fibroblast cell line) whole cell lysate at 30 µg

Lane 6:

C2C12 whole cell lysate at 30 µg

Lane 7:

U-2 OS (Human bone osteosarcoma epithelial cell line) whole cell lysate at 30 µg

Lane 8:

A549 (Human lung carcinoma cell line) whole cell lysate at 30 µg

Lane 9:

MDA-MB-231 (Human breast adenocarcinoma cell line) whole cell lysate at 30 µg

Lane 10:

T98G whole cell lysate at 30 µg

Predicted band size: 36 kDa

Observed band size: 43 kDa

false

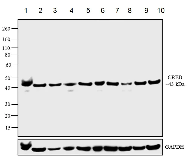
Western blot - Anti-CREB antibody [LB9] (AB178322)
  • WB

Supplier Data

Western blot - Anti-CREB antibody [LB9] (AB178322)

All lanes:

Western blot - Anti-CREB antibody [LB9] (ab178322) at 1/500 dilution

Lane 1:

HeLa whole cell lysate at 25 µg

Lane 2:

293T whole cell lysate at 25 µg

Lane 3:

A431 whole cell lysate at 25 µg

Lane 4:

A549 whole cell lysate at 25 µg

Lane 5:

MEF whole cell lysate at 25 µg

Lane 6:

MCF7 whole cell lysate at 25 µg

Lane 7:

U2OS whole cell lysate at 25 µg

Lane 8:

K562 whole cell lysate at 25 µg

Lane 9:

COS7 whole cell lysate at 25 µg

Lane 10:

3T3L1 whole cell lysate at 25 µg

Lane 11:

C2C12 whole cell lysate at 25 µg

Lane 12:

NRK whole cell lysate at 25 µg

Secondary

All lanes:

goat anti-mouse-HRP at 1/20000 dilution

Predicted band size: 36 kDa

true

Key facts

Host species

Mouse

Clonality

Monoclonal

Clone number

LB9

Isotype

IgG1

Carrier free

No

Reacts with

Mouse, African green monkey, Rat, Human

Applications

WB, ICC/IF, IP, IHC-P

applications

Immunogen

Recombinant Full Length Protein corresponding to Human CREB1.

P16220

Reactivity data

{ "title": "Reactivity Data", "filters": { "stats": ["", "Species", "Dilution Info", "Notes"], "tabs": { "all-applications": {"fullname" : "All Applications", "shortname": "All Applications"}, "IHCP" : {"fullname" : "Immunohistochemistry (Formalin/PFA-fixed paraffin-embedded sections)", "shortname":"IHC-P"}, "IP" : {"fullname" : "Immunoprecipitation", "shortname":"IP"}, "WB" : {"fullname" : "Western blot", "shortname":"WB"}, "ICCIF" : {"fullname" : "Immunocytochemistry/ Immunofluorescence", "shortname":"ICC/IF"} }, "product-promise": { "all": "all", "testedAndGuaranteed": "tested", "guaranteed": "expected", "predicted": "predicted", "notRecommended": "not-recommended" } }, "values": { "Human": { "IHCP-species-checked": "testedAndGuaranteed", "IHCP-species-dilution-info": "1/200", "IHCP-species-notes": "<p></p>", "IP-species-checked": "testedAndGuaranteed", "IP-species-dilution-info": "", "IP-species-notes": "<p>Suggested use 2 μg.</p>", "WB-species-checked": "testedAndGuaranteed", "WB-species-dilution-info": "1/500", "WB-species-notes": "<p></p>", "ICCIF-species-checked": "testedAndGuaranteed", "ICCIF-species-dilution-info": "1/500", "ICCIF-species-notes": "<p></p>" }, "Mouse": { "IHCP-species-checked": "guaranteed", "IHCP-species-dilution-info": "", "IHCP-species-notes": "", "IP-species-checked": "guaranteed", "IP-species-dilution-info": "", "IP-species-notes": "", "WB-species-checked": "testedAndGuaranteed", "WB-species-dilution-info": "1/500", "WB-species-notes": "<p></p>", "ICCIF-species-checked": "guaranteed", "ICCIF-species-dilution-info": "", "ICCIF-species-notes": "" }, "Rat": { "IHCP-species-checked": "guaranteed", "IHCP-species-dilution-info": "", "IHCP-species-notes": "", "IP-species-checked": "guaranteed", "IP-species-dilution-info": "", "IP-species-notes": "", "WB-species-checked": "testedAndGuaranteed", "WB-species-dilution-info": "1/500", "WB-species-notes": "<p></p>", "ICCIF-species-checked": "guaranteed", "ICCIF-species-dilution-info": "", "ICCIF-species-notes": "" }, "African green monkey": { "IHCP-species-checked": "guaranteed", "IHCP-species-dilution-info": "", "IHCP-species-notes": "", "IP-species-checked": "guaranteed", "IP-species-dilution-info": "", "IP-species-notes": "<p>Suggested use 2 μg.</p>", "WB-species-checked": "testedAndGuaranteed", "WB-species-dilution-info": "1/500", "WB-species-notes": "<p></p>", "ICCIF-species-checked": "guaranteed", "ICCIF-species-dilution-info": "", "ICCIF-species-notes": "<p></p>" }, "Primates": { "IHCP-species-checked": "predicted", "IHCP-species-dilution-info": "", "IHCP-species-notes": "", "IP-species-checked": "predicted", "IP-species-dilution-info": "", "IP-species-notes": "", "WB-species-checked": "predicted", "WB-species-dilution-info": "", "WB-species-notes": "", "ICCIF-species-checked": "predicted", "ICCIF-species-dilution-info": "", "ICCIF-species-notes": "" } } }

Properties and storage information

Form
Liquid
Purification technique
Affinity purification Protein A
Storage buffer
Preservative: 0.05% Sodium azide Constituents: PBS, 0.1% BSA
Shipped at conditions
Blue Ice
Appropriate short-term storage duration
1-2 weeks
Appropriate short-term storage conditions
+4°C
Appropriate long-term storage conditions
-20°C
Aliquoting information
Upon delivery aliquot
Storage information
Avoid freeze / thaw cycle

Supplementary information

This supplementary information is collated from multiple sources and compiled automatically.

CAMP response element-binding protein better known as CREB functions as a transcription factor that regulates gene expression. CREB protein operates by binding to specific DNA sequences called cAMP response elements in the promoters of target genes leading to increased or altered transcription. The protein has a molecular weight around 43 kDa. Expressed broadly in many tissues CREB's activity is particularly high in the brain where it plays key roles in neuronal functions. Researchers also refer to phospho-CREB when discussing the activated form of this protein often analyzed through methods like CREB Western blot.
Biological function summary

CREB contributes significantly to cellular processes such as proliferation differentiation and survival through transcriptional regulation. CREB does not function alone; it frequently associates with other proteins forming complexes to exert its regulatory roles. Additionally CREB influences the development of memory and learning in neurons highlighting its extensive involvement in neurophysiological processes.

Pathways

CREB plays a substantial role in the cAMP signaling pathway as well as the mitogen-activated protein kinase (MAPK) pathway. Through its interaction with kinases and other signaling proteins CREB influences numerous downstream targets affecting cellular responses to external stimuli. Notably protein kinase A (PKA) activates CREB by phosphorylation facilitating its role in various signal transduction pathways and linking it to downstream transcriptional events.

Research links CREB to neurological disorders and some forms of cancer. Aberrant CREB activity associates with neurodegenerative diseases like Alzheimer’s where dysregulated gene expression impacts neuronal viability and function. Furthermore in cancer CREB's role in cell proliferation and survival ties it to oncogenes such as BCL2 where abnormal CREB function can promote tumorigenesis. Understanding these connections provides valuable insights for therapeutic strategies against such diseases.

Product protocols

For this product, it's our understanding that no specific protocols are required. You can visit:

Target data

Phosphorylation-dependent transcription factor that stimulates transcription upon binding to the DNA cAMP response element (CRE), a sequence present in many viral and cellular promoters (By similarity). Transcription activation is enhanced by the TORC coactivators which act independently of Ser-119 phosphorylation (PubMed : 14536081). Involved in different cellular processes including the synchronization of circadian rhythmicity and the differentiation of adipose cells (By similarity). Regulates the expression of apoptotic and inflammatory response factors in cardiomyocytes in response to ERFE-mediated activation of AKT signaling (By similarity).
See full target information CREB1

Publications (32)

Recent publications for all applications. Explore the full list and refine your search

Scientific reports 15:22679 PubMed40596516

2025

DNA probe pulldown screening uncovers O-GlcNAcylation modulation of transcription factor DNA interactions.

Applications

Unspecified application

Species

Unspecified reactive species

Guofang Li,Fanxu Meng,Xiaomin Zhong,Kairan Yu,Nana Zhang,Keren Zhang,Huang Huang,Wenli Li,Jianing Zhang,Wei Wang,Yan Ren,Yubo Liu

International journal of nanomedicine 19:13525-13546 PubMed39720214

2024

Tadalafil Enhances the Therapeutic Efficacy of Mesenchymal Stem Cells-Derived Exosomes in Pulmonary Hypertension by Upregulating miR-29a-3p.

Applications

Unspecified application

Species

Unspecified reactive species

Yi Liu,Changqing He,Quanhai Zhong,Xianbao Shi,Hongyan Li,Gaoge Fu,Lixuan Guo,Churong Zhao,Lei Tian,Xin Li,Xue Jiao,Lina Shan

Oncology letters 28:358 PubMed38881713

2024

ZBTB20 suppresses tumor growth in glioblastoma through activating the TET1/FAS/caspase‑3 pathway.

Applications

Unspecified application

Species

Unspecified reactive species

Ping Duan,Bo Li,Yifan Zhou,Huanhuan Cao,Shiyue Chen,Ying Xing

iScience 27:109125 PubMed38420594

2024

YAP-mediated GPER signaling impedes proliferation and survival of prostate epithelium in benign prostatic hyperplasia.

Applications

Unspecified application

Species

Unspecified reactive species

Zhifu Liu,Senmao Li,Shengbin Chen,Jindong Sheng,Zheng Li,Tianjing Lv,Wei Yu,Yu Fan,Jinlong Wang,Wei Liu,Shuai Hu,Jie Jin

Immunity, inflammation and disease 12:e1176 PubMed38411331

2024

Dexmedetomidine activates the PKA/CREB pathway and inhibits proinflammatory factor expression through β2 adrenergic receptors.

Applications

Unspecified application

Species

Unspecified reactive species

Baocheng Zhang,Jie Shen

Nature communications 15:1030 PubMed38310104

2024

Secretin-dependent signals in the ventromedial hypothalamus regulate energy metabolism and bone homeostasis in mice.

Applications

Unspecified application

Species

Unspecified reactive species

Fengwei Zhang,Wei Qiao,Ji-An Wei,Zhengyi Tao,Congjia Chen,Yefeng Wu,Minghui Lin,Ka Man Carmen Ng,Li Zhang,Kelvin Wai-Kwok Yeung,Billy Kwok Chong Chow

FASEB journal : official publication of the Federation of American Societies for Experimental Biology 37:e23288 PubMed37997502

2023

LINC02454 promotes thyroid carcinoma progression via upregulating HMGA2 through CREB1.

Applications

Unspecified application

Species

Unspecified reactive species

Yan Cao,Jian Li,Yongliang Du,Yuxuan Sun,Le Liu,Hao Fang,Yan Liang,Shanshan Mao

iScience 26:107536 PubMed37636073

2023

Kappa opioid receptor in nucleus accumbens regulates depressive-like behaviors following prolonged morphine withdrawal in mice.

Applications

Unspecified application

Species

Unspecified reactive species

Jinyu Zhang,Ye Lu,Min Jia,Yuying Bai,Lulu Sun,Ziqing Dong,Wenrong Tian,Fangyuan Yin,Shuguang Wei,Yunpeng Wang

The Journal of biological chemistry 299:104946 PubMed37348559

2023

Transgenic mice lacking FGF15/19-SHP phosphorylation display altered bile acids and gut bacteria, promoting nonalcoholic fatty liver disease.

Applications

Unspecified application

Species

Unspecified reactive species

Young-Chae Kim,Ming Qi,Xingchen Dong,Sunmi Seok,Hao Sun,Byron Kemper,Ting Fu,Jongsook Kim Kemper

Frontiers in immunology 14:1114596 PubMed36969204

2023

Enriched environment remodels the central immune environment and improves the prognosis of acute ischemic stroke in elderly mice with chronic ischemia.

Applications

Unspecified application

Species

Unspecified reactive species

Shehong Zhang,Yonggang Zhang,He Liu,Fengfeng Wu,Zhihong Wang,Liqin Li,Huilian Huang,Sheng Qiu,Yuntao Li
View all publications

Product promise

We are committed to supporting your work with high-quality reagents, and we're here for you every step of the way. In the unlikely event that one of our products does not perform as expected, you're protected by our Product Promise.
For full details, please see our Terms & Conditions

Please note: All products are 'FOR RESEARCH USE ONLY. NOT FOR USE IN DIAGNOSTIC OR THERAPEUTIC PROCEDURES'.

For licensing inquiries, please contact partnerships@abcam.com