JavaScript is disabled in your browser. Please enable JavaScript to view this website.
AB47373

Anti-CREB (phospho S129) antibody

Be the first to review this product! Submit a review

|

(2 Publications)

Rabbit Polyclonal CREB phospho S129 antibody. Suitable for IHC-P and reacts with Human samples. Cited in 2 publications. Immunogen corresponding to Synthetic Peptide within Human CREB1 phospho S129 aa 50-150.

View Alternative Names

Cyclic AMP-responsive element-binding protein 1, CREB-1, cAMP-responsive element-binding protein 1, CREB1

1 Images
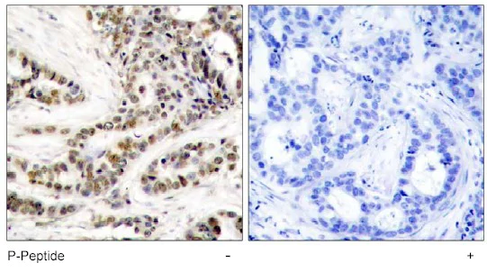
Immunohistochemistry (Formalin/PFA-fixed paraffin-embedded sections) - Anti-CREB (phospho S129) antibody (AB47373)
  • IHC-P

Unknown

Immunohistochemistry (Formalin/PFA-fixed paraffin-embedded sections) - Anti-CREB (phospho S129) antibody (AB47373)

Immunohistochemistry (Paraffin-embedded sections) using human breast carcinoma tissue and ab47373 at a dilution of 1/50.

Key facts

Host species

Rabbit

Clonality

Polyclonal

Isotype

IgG

Carrier free

No

Reacts with

Human

Applications

IHC-P

applications

Immunogen

Synthetic Peptide within Human CREB1 phospho S129 aa 50-150. The exact immunogen used to generate this antibody is proprietary information.

P16220

Reactivity data

{ "title": "Reactivity Data", "filters": { "stats": ["", "Species", "Dilution Info", "Notes"], "tabs": { "all-applications": {"fullname" : "All Applications", "shortname": "All Applications"}, "IHCP" : {"fullname" : "Immunohistochemistry (Formalin/PFA-fixed paraffin-embedded sections)", "shortname":"IHC-P"} }, "product-promise": { "all": "all", "testedAndGuaranteed": "tested", "guaranteed": "expected", "predicted": "predicted", "notRecommended": "not-recommended" } }, "values": { "Human": { "IHCP-species-checked": "testedAndGuaranteed", "IHCP-species-dilution-info": "", "IHCP-species-notes": "<p></p>" } } }

Properties and storage information

Form
Liquid
Purification technique
Affinity purification Immunogen
Purification notes
The antibody was affinity-purified from rabbit antiserum by affinity-chromatography using epitope-specific phosphopeptide. The antibody against non-phosphopeptide was removed by chromatography using non-phosphopeptide corresponding to the phosphorylation site.
Storage buffer
pH: 7.4 Preservative: 0.02% Sodium azide Constituents: PBS, 50% Glycerol (glycerin, glycerine), 0.87% Sodium chloride
Shipped at conditions
Blue Ice
Appropriate short-term storage conditions
+4°C
Appropriate long-term storage conditions
-20°C
Aliquoting information
Upon delivery aliquot
Storage information
Avoid freeze / thaw cycle

Supplementary information

This supplementary information is collated from multiple sources and compiled automatically.

CAMP response element-binding protein better known as CREB functions as a transcription factor that regulates gene expression. CREB protein operates by binding to specific DNA sequences called cAMP response elements in the promoters of target genes leading to increased or altered transcription. The protein has a molecular weight around 43 kDa. Expressed broadly in many tissues CREB's activity is particularly high in the brain where it plays key roles in neuronal functions. Researchers also refer to phospho-CREB when discussing the activated form of this protein often analyzed through methods like CREB Western blot.
Biological function summary

CREB contributes significantly to cellular processes such as proliferation differentiation and survival through transcriptional regulation. CREB does not function alone; it frequently associates with other proteins forming complexes to exert its regulatory roles. Additionally CREB influences the development of memory and learning in neurons highlighting its extensive involvement in neurophysiological processes.

Pathways

CREB plays a substantial role in the cAMP signaling pathway as well as the mitogen-activated protein kinase (MAPK) pathway. Through its interaction with kinases and other signaling proteins CREB influences numerous downstream targets affecting cellular responses to external stimuli. Notably protein kinase A (PKA) activates CREB by phosphorylation facilitating its role in various signal transduction pathways and linking it to downstream transcriptional events.

Research links CREB to neurological disorders and some forms of cancer. Aberrant CREB activity associates with neurodegenerative diseases like Alzheimer’s where dysregulated gene expression impacts neuronal viability and function. Furthermore in cancer CREB's role in cell proliferation and survival ties it to oncogenes such as BCL2 where abnormal CREB function can promote tumorigenesis. Understanding these connections provides valuable insights for therapeutic strategies against such diseases.

Product protocols

For this product, it's our understanding that no specific protocols are required. You can visit:

Target data

Phosphorylation-dependent transcription factor that stimulates transcription upon binding to the DNA cAMP response element (CRE), a sequence present in many viral and cellular promoters (By similarity). Transcription activation is enhanced by the TORC coactivators which act independently of Ser-119 phosphorylation (PubMed : 14536081). Involved in different cellular processes including the synchronization of circadian rhythmicity and the differentiation of adipose cells (By similarity). Regulates the expression of apoptotic and inflammatory response factors in cardiomyocytes in response to ERFE-mediated activation of AKT signaling (By similarity).
See full target information CREB1 phospho S129

Publications (2)

Recent publications for all applications. Explore the full list and refine your search

Progress in neuro-psychopharmacology & biological 95:109682 PubMed31265863

2019

Increased Homer1-mGluR5 mediates chronic stress-induced depressive-like behaviors and glutamatergic dysregulation via activation of PERK-eIF2α.

Applications

Unspecified application

Species

Unspecified reactive species

Ming-Xing Li,Qian Li,Xue-Jiao Sun,Can Luo,Yong Li,Ya-Nan Wang,Jing Chen,Chen-Zi Gong,Ya-Jie Li,Li-Ping Shi,Yi-Feng Zheng,Rong-Chun Li,Xiao-Lin Huang,Qiu-Ju Xiong,Hong Chen

Brain and behavior 5:e00359 PubMed26664784

2015

Neuritic complexity of hippocampal neurons depends on WIP-mediated mTORC1 and Abl family kinases activities.

Applications

Unspecified application

Species

Unspecified reactive species

Ana Franco-Villanueva,Francisco Wandosell,Inés M Antón
View all publications

Product promise

We are committed to supporting your work with high-quality reagents, and we're here for you every step of the way. In the unlikely event that one of our products does not perform as expected, you're protected by our Product Promise.
For full details, please see our Terms & Conditions

Please note: All products are 'FOR RESEARCH USE ONLY. NOT FOR USE IN DIAGNOSTIC OR THERAPEUTIC PROCEDURES'.

For licensing inquiries, please contact partnerships@abcam.com