JavaScript is disabled in your browser. Please enable JavaScript to view this website.
AB220798

Anti-CREB (phospho S133) antibody [E113] - BSA and Azide free

Be the first to review this product! Submit a review

|

(17 Publications)

Rabbit Recombinant Monoclonal CREB phospho S133 antibody. Carrier free. Suitable for IP, WB, ICC/IF, Flow Cyt (Intra), IHC-P, Dot and reacts with Human, Mouse, Rat, Synthetic peptide samples. Cited in 17 publications.

View Alternative Names

Cyclic AMP-responsive element-binding protein 1, CREB-1, cAMP-responsive element-binding protein 1, CREB1

13 Images
Immunohistochemistry (Formalin/PFA-fixed paraffin-embedded sections) - Anti-CREB (phospho S133) antibody [E113] - BSA and Azide free (AB220798)
  • IHC-P

Lab

Immunohistochemistry (Formalin/PFA-fixed paraffin-embedded sections) - Anti-CREB (phospho S133) antibody [E113] - BSA and Azide free (AB220798)

This data was developed using ab32096, the same antibody clone in a different buffer formulation. Immunohistochemical analysis of paraffin-embedded Human astrocytoma tissue labeling CREB with ab32096 at 1/2000 followed by a ready to use ab209101. Nuclear staining on human astrocytoma without alkaline phosphatase treatment (image A). No signal was detected when tissues were treated with alkaline phosphatase (image B). The section was incubated with ab32096 for 30 mins at room temperature. The immunostaining was performed on a Leica Biosystems BOND®RX instrument. Counterstained with Hematoxylin. Secondary antibody only control : Secondary antibody is a ready to use ab209101. Heat mediated antigen retrieval was performed with Tris-EDTA buffer (pH 9.0, Epitope Retrieval Solution2) for 20 mins.

Flow Cytometry (Intracellular) - Anti-CREB (phospho S133) antibody [E113] - BSA and Azide free (AB220798)
  • Flow Cyt (Intra)

Unknown

Flow Cytometry (Intracellular) - Anti-CREB (phospho S133) antibody [E113] - BSA and Azide free (AB220798)

Intracellular Flow Cytometry analysis of A431 (human epidermoid carcinoma) cells labeling CREB with purified ab32096 at 1/70 dilution (10μg/ml) (red). Cells were fixed with 4% paraformaldehyde and permeabilised with 90% methanol. A Goat anti rabbit IgG (Alexa Fluor® 488) (1/2000 dilution) was used as the secondary antibody. Rabbit monoclonal IgG (Black) was used as the isotype control, cells without incubation with primary antibody and secondary antibody (Blue) were used as the unlabeled control.

This data was developed using the same antibody clone in a different buffer formulation containing PBS, BSA, glycerol, and sodium azide (ab32096).

Immunohistochemistry (Formalin/PFA-fixed paraffin-embedded sections) - Anti-CREB (phospho S133) antibody [E113] - BSA and Azide free (AB220798)
  • IHC-P

Unknown

Immunohistochemistry (Formalin/PFA-fixed paraffin-embedded sections) - Anti-CREB (phospho S133) antibody [E113] - BSA and Azide free (AB220798)

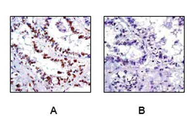
Immunohistochemistry (Formalin/PFA-fixed paraffin-embedded sections) analysis of human thyroid carcinoma tissue labelling CREB with purified ab32096 at 1/100. Heat mediated antigen retrieval was performed using Tris/EDTA buffer pH 9. ab97051, a goat anti-rabbit IgG H&L (HRP) was used as the secondary antibody (1/500). Negative control using PBS instead of primary antibody. Counterstained with hematoxylin.This data was developed using the same antibody clone in a different buffer formulation containing PBS, BSA, glycerol, and sodium azide (ab32096).

Immunohistochemistry (Formalin/PFA-fixed paraffin-embedded sections) - Anti-CREB (phospho S133) antibody [E113] - BSA and Azide free (AB220798)
  • IHC-P

Unknown

Immunohistochemistry (Formalin/PFA-fixed paraffin-embedded sections) - Anti-CREB (phospho S133) antibody [E113] - BSA and Azide free (AB220798)

Immunohistochemistry (Formalin/PFA-fixed paraffin-embedded sections) analysis of human thyroid gland adenocarcinoma tissue labelling CREB with unpurified ab32096 at 1/250 dilution.

Panel A : Cells are untreated.
Panel B : Cells are treated with Phosphatase.

This data was developed using the same antibody clone in a different buffer formulation containing PBS, BSA, glycerol, and sodium azide (ab32096).

Immunocytochemistry/ Immunofluorescence - Anti-CREB (phospho S133) antibody [E113] - BSA and Azide free (AB220798)
  • ICC/IF

Unknown

Immunocytochemistry/ Immunofluorescence - Anti-CREB (phospho S133) antibody [E113] - BSA and Azide free (AB220798)

Immunocytochemistry/Immunofluorescence analysis of LP treated and untreated HeLa (Human epithelial cell line from cervix adenocarcinoma) labelling CREB with purified ab32096 at 1/200. Cells were fixed with 4% paraformaldehyde and permeabilized with 0.1% Triton X-100. ab150077, an Alexa Fluor® 488-conjugated goat anti-rabbit IgG (1/1000) was used as the secondary antibody. DAPI (blue) was used as the nuclear counterstain at a dilution of 1/200.

Confocal image showing nuclear staining on HeLa cells .The signal decreased after Lambda Protein Phosphatase treatment ( 31?,2h).

This data was developed using the same antibody clone in a different buffer formulation containing PBS, BSA, glycerol, and sodium azide (ab32096).

Immunocytochemistry/ Immunofluorescence - Anti-CREB (phospho S133) antibody [E113] - BSA and Azide free (AB220798)
  • ICC/IF

Unknown

Immunocytochemistry/ Immunofluorescence - Anti-CREB (phospho S133) antibody [E113] - BSA and Azide free (AB220798)

Immunocytochemistry/Immunofluorescence analysis of A431 cells labelling CREB with unpurified ab32096 at 1/250.

Panel A : Cells are untreated.

Panel B : Cells are treated with Phosphatase.

This data was developed using the same antibody clone in a different buffer formulation containing PBS, BSA, glycerol, and sodium azide (ab32096).

Immunocytochemistry/ Immunofluorescence - Anti-CREB (phospho S133) antibody [E113] - BSA and Azide free (AB220798)
  • ICC/IF

Unknown

Immunocytochemistry/ Immunofluorescence - Anti-CREB (phospho S133) antibody [E113] - BSA and Azide free (AB220798)

Immunocytochemistry/Immunofluorescence analysis of A431(human epidermoid carcinoma) cells +/- AP 37? 1h labelling CREB with purified ab32096 at 1/100. Cells were fixed with 4% paraformaldehyde and permeabilized with 0.1% Triton X-100. ab150077, an Alexa Fluor® 488-conjugated goat anti-rabbit IgG (1/500) was used as the secondary antibody. DAPI (blue) was used as the nuclear counterstain. ab7291, a mouse anti-tubulin (1/1000) and ab150120, an Alexa Fluor® 594-conjugated goat anti-mouse IgG (1/1000) were also used.

Control 1 : primary antibody (1/100) and secondary antibody, ab150120, an Alexa Fluor® 594-conjugated goat anti-mouse IgG (1/500).

Control 2 : ab7291 (1/1000) and secondary antibody, ab150077, an Alexa Fluor® 488-conjugated goat anti-rabbit IgG (1/500).

This data was developed using the same antibody clone in a different buffer formulation containing PBS, BSA, glycerol, and sodium azide (ab32096).

Immunoprecipitation - Anti-CREB (phospho S133) antibody [E113] - BSA and Azide free (AB220798)
  • IP

Unknown

Immunoprecipitation - Anti-CREB (phospho S133) antibody [E113] - BSA and Azide free (AB220798)

ab32096 (purified) at 1/50 immunoprecipitating CREB (phospho S133) in HeLa whole cell lysate. 10 ug of cell lysate was present in the input. For western blotting, a HRP-conjugated Veriblot for IP Detection Reagent (ab131366) was used for detection at 1/1,500 dilution. A rabbit monoclonal IgG (ab172730) was used intead of ab128913 as a negative control (Lane 3).

Blocking buffer and concentration : 5% NFDM/TBST.

Diluting buffer and concentration : 5% NFDM /TBST.

This data was developed using the same antibody clone in a different buffer formulation containing PBS, BSA, glycerol, and sodium azide (ab32096).

All lanes:

Immunoprecipitation - Anti-CREB (phospho S133) antibody [E113] (<a href='/en-us/products/primary-antibodies/creb-phospho-s133-antibody-e113-ab32096'>ab32096</a>)

Predicted band size: 36 kDa

false

Immunoprecipitation - Anti-CREB (phospho S133) antibody [E113] - BSA and Azide free (AB220798)
  • IP

Unknown

Immunoprecipitation - Anti-CREB (phospho S133) antibody [E113] - BSA and Azide free (AB220798)

ab32096 at 1/100 dilution immunoprecipitating CREB (phospho S133) in HeLa (human cervix adenocarcinoma) treated with 25ug/mL anisomycin for 30 minutes, whole cell lysate, observed at 40 kDa (lanes 1 and 2).

Lane 1 (input) : HeLa treated with 25ug/mL anisomycin for 30 minutes. Whole cell lysate, 10μg.

Lane 2 (+) : ab32096 + HeLa treated with 25ug/mL anisomycin for 30 minutes. Whole cell lysate.

Lane 3 (-) : Rabbit monoclonal IgG (ab172730) instead of ab32096 in treated with 25ug/mL anisomycin for 30 minutes. Whole cell lysate

For western blotting, ab32096 at 1/200 dilution followed by ab131366 VeriBlot for IP (HRP) at 1/1000 as the secondary antibody.

Blocking/Diluting buffer and concentration : 5% NFDM/TBST.

This data was developed using the same antibody clone in a different buffer formulation containing PBS, BSA, glycerol, and sodium azide (ab32096).

All lanes:

Immunoprecipitation - Anti-CREB (phospho S133) antibody [E113] (<a href='/en-us/products/primary-antibodies/creb-phospho-s133-antibody-e113-ab32096'>ab32096</a>)

Predicted band size: 36 kDa

false

Exposure time: 5s

Immunohistochemistry (Formalin/PFA-fixed paraffin-embedded sections) - Anti-CREB (phospho S133) antibody [E113] - BSA and Azide free (AB220798)
  • IHC-P

Lab

Immunohistochemistry (Formalin/PFA-fixed paraffin-embedded sections) - Anti-CREB (phospho S133) antibody [E113] - BSA and Azide free (AB220798)

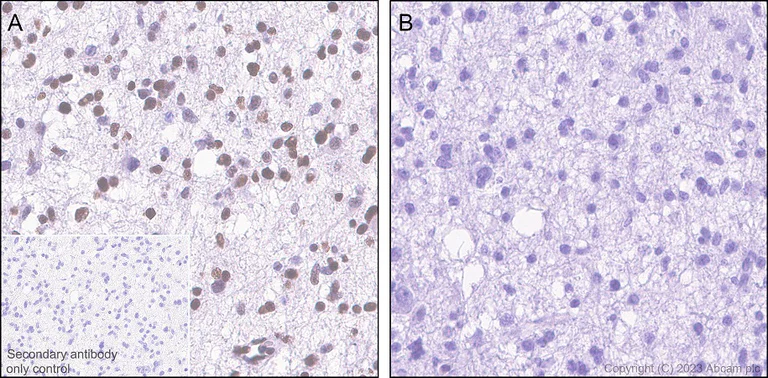
This data was developed using ab32096, the same antibody clone in a different buffer formulation. Immunohistochemical analysis of paraffin-embedded Mouse cerebrum tissue labeling CREB with ab32096 at 1/2000 followed by a ready to use ab209101. Nuclear staining on mouse cerebrum without alkaline phosphatase treatment (image A). No signal was detected when tissues were treated with alkaline phosphatase (image B). The section was incubated with ab32096 for 30 mins at room temperature. The immunostaining was performed on a Leica Biosystems BOND®RX instrument. Counterstained with Hematoxylin. Secondary antibody only control : Secondary antibody is a ready to use ab209101. Heat mediated antigen retrieval was performed with Tris-EDTA buffer (pH 9.0, Epitope Retrieval Solution2) for 20 mins.

Immunohistochemistry (Formalin/PFA-fixed paraffin-embedded sections) - Anti-CREB (phospho S133) antibody [E113] - BSA and Azide free (AB220798)
  • IHC-P

Lab

Immunohistochemistry (Formalin/PFA-fixed paraffin-embedded sections) - Anti-CREB (phospho S133) antibody [E113] - BSA and Azide free (AB220798)

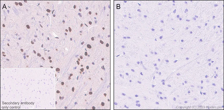
This data was developed using ab32096, the same antibody clone in a different buffer formulation. Immunohistochemical analysis of paraffin-embedded Rat cerebrum tissue labeling CREB with ab32096 at 1/2000 followed by a ready to use ab209101. Nuclear staining on rat cerebrum without alkaline phosphatase treatment (image A). No signal was detected when tissues were treated with alkaline phosphatase (image B). The section was incubated with ab32096 for 30 mins at room temperature. The immunostaining was performed on a Leica Biosystems BOND®RX instrument. Counterstained with Hematoxylin. Secondary antibody only control : Secondary antibody is a ready to use ab209101. Heat mediated antigen retrieval was performed with Tris-EDTA buffer (pH 9.0, Epitope Retrieval Solution2) for 20 mins.

Immunohistochemistry (Formalin/PFA-fixed paraffin-embedded sections) - Anti-CREB (phospho S133) antibody [E113] - BSA and Azide free (AB220798)
  • IHC-P

AbReview21176****

Immunohistochemistry (Formalin/PFA-fixed paraffin-embedded sections) - Anti-CREB (phospho S133) antibody [E113] - BSA and Azide free (AB220798)

Immunohistochemistry (Formalin/PFA-fixed paraffin-embedded sections) analysis of rat hippocampus tissue labelling CREB with unpurified ab32096 at 1/100 dilution. Sections were subjected to antigen retrieval by autoclave prior to blocking with 8% milk for 30 minutes at 37°C. The primary antibody was diluted 1/100 with DAKO antibody diluent and incubated with the sample for 18 hours at 4°C. An LSAB-labeled Streptavidin-Biotin conjugated Goat polyclonal antibody was used undiluted as the secondary antibody.

This data was developed using the same antibody clone in a different buffer formulation containing PBS, BSA, glycerol, and sodium azide (ab32096).

This image is courtesy of an Abreview submitted by Akiko Shingo.

Dot Blot - Anti-CREB (phospho S133) antibody [E113] - BSA and Azide free (AB220798)
  • Dot

Supplier Data

Dot Blot - Anti-CREB (phospho S133) antibody [E113] - BSA and Azide free (AB220798)

Dot blot analysis of CREB (pS133) phospho peptide (Lane 1) and CREB non-phospho peptide (Lane 2) using ab32096 at 1/1000 dilution followed by Goat Anti-Rabbit IgG, (H+L), Peroxidase conjugated (ab97051) at 1/100000 dilution.

Blocking and Diluting buffer and concentration : 5% NFDM /TBST.

Exposure time : 3 minutes.

This data was developed using the same antibody clone in a different buffer formulation containing PBS, BSA, glycerol, and sodium azide (ab32096).

  • Unconjugated

    Anti-CREB (phospho S133) antibody [E113]

  • HRP

    HRP Anti-CREB (phospho S133) antibody [E113]

Key facts

Host species

Rabbit

Clonality

Monoclonal

Clone number

E113

Isotype

IgG

Carrier free

Yes

Reacts with

Mouse, Rat, Human

Applications

ICC/IF, IHC-P, Flow Cyt (Intra), Dot, IP, WB

applications

Immunogen

The exact immunogen used to generate this antibody is proprietary information.

Specificity

This antibody is specific for CREB phosphorylated on Serine 133. The immunogen of the antibody shares 94% homology with CREB (S136) and 86% homology with ATF1 (pS63). No experiment has been performed to verify the possible cross-reactivity.

This antibody can't detect signal in mouse and rat brain related tissues in western blot.

Reactivity data

{ "title": "Reactivity Data", "filters": { "stats": ["", "Species", "Dilution Info", "Notes"], "tabs": { "all-applications": {"fullname" : "All Applications", "shortname": "All Applications"}, "IP" : {"fullname" : "Immunoprecipitation", "shortname":"IP"}, "WB" : {"fullname" : "Western blot", "shortname":"WB"}, "ICCIF" : {"fullname" : "Immunocytochemistry/ Immunofluorescence", "shortname":"ICC/IF"}, "FlowCytIntra" : {"fullname" : "Flow Cytometry (Intracellular)", "shortname":"Flow Cyt (Intra)"}, "IHCP" : {"fullname" : "Immunohistochemistry (Formalin/PFA-fixed paraffin-embedded sections)", "shortname":"IHC-P"}, "Dot" : {"fullname" : "Dot Blot", "shortname":"Dot"} }, "product-promise": { "all": "all", "testedAndGuaranteed": "tested", "guaranteed": "expected", "predicted": "predicted", "notRecommended": "not-recommended" } }, "values": { "Human": { "IP-species-checked": "testedAndGuaranteed", "IP-species-dilution-info": "", "IP-species-notes": "<p></p>", "WB-species-checked": "testedAndGuaranteed", "WB-species-dilution-info": "", "WB-species-notes": "<p>This antibody can't detect signal in mouse and rat brain related tissues in western blot.</p>", "ICCIF-species-checked": "testedAndGuaranteed", "ICCIF-species-dilution-info": "", "ICCIF-species-notes": "<p></p>", "FlowCytIntra-species-checked": "testedAndGuaranteed", "FlowCytIntra-species-dilution-info": "", "FlowCytIntra-species-notes": "<p></p>", "IHCP-species-checked": "testedAndGuaranteed", "IHCP-species-dilution-info": "", "IHCP-species-notes": "<p></p> Perform heat-mediated antigen retrieval with Tris/EDTA buffer pH 9.0 before commencing with IHC staining protocol.", "Dot-species-checked": "guaranteed", "Dot-species-dilution-info": "", "Dot-species-notes": "" }, "Mouse": { "IP-species-checked": "guaranteed", "IP-species-dilution-info": "", "IP-species-notes": "", "WB-species-checked": "testedAndGuaranteed", "WB-species-dilution-info": "", "WB-species-notes": "<p>This antibody can't detect signal in mouse and rat brain related tissues in western blot.</p>", "ICCIF-species-checked": "guaranteed", "ICCIF-species-dilution-info": "", "ICCIF-species-notes": "", "FlowCytIntra-species-checked": "guaranteed", "FlowCytIntra-species-dilution-info": "", "FlowCytIntra-species-notes": "", "IHCP-species-checked": "testedAndGuaranteed", "IHCP-species-dilution-info": "", "IHCP-species-notes": "<p></p> Perform heat-mediated antigen retrieval with Tris/EDTA buffer pH 9.0 before commencing with IHC staining protocol.", "Dot-species-checked": "guaranteed", "Dot-species-dilution-info": "", "Dot-species-notes": "" }, "Rat": { "IP-species-checked": "guaranteed", "IP-species-dilution-info": "", "IP-species-notes": "", "WB-species-checked": "testedAndGuaranteed", "WB-species-dilution-info": "", "WB-species-notes": "<p>This antibody can't detect signal in mouse and rat brain related tissues in western blot.</p>", "ICCIF-species-checked": "guaranteed", "ICCIF-species-dilution-info": "", "ICCIF-species-notes": "", "FlowCytIntra-species-checked": "guaranteed", "FlowCytIntra-species-dilution-info": "", "FlowCytIntra-species-notes": "", "IHCP-species-checked": "testedAndGuaranteed", "IHCP-species-dilution-info": "", "IHCP-species-notes": "<p></p> Perform heat-mediated antigen retrieval with Tris/EDTA buffer pH 9.0 before commencing with IHC staining protocol.", "Dot-species-checked": "guaranteed", "Dot-species-dilution-info": "", "Dot-species-notes": "" }, "Chicken": { "IP-species-checked": "predicted", "IP-species-dilution-info": "", "IP-species-notes": "", "WB-species-checked": "predicted", "WB-species-dilution-info": "", "WB-species-notes": "", "ICCIF-species-checked": "predicted", "ICCIF-species-dilution-info": "", "ICCIF-species-notes": "", "FlowCytIntra-species-checked": "predicted", "FlowCytIntra-species-dilution-info": "", "FlowCytIntra-species-notes": "", "IHCP-species-checked": "predicted", "IHCP-species-dilution-info": "", "IHCP-species-notes": "", "Dot-species-checked": "predicted", "Dot-species-dilution-info": "", "Dot-species-notes": "" }, "Cow": { "IP-species-checked": "predicted", "IP-species-dilution-info": "", "IP-species-notes": "", "WB-species-checked": "predicted", "WB-species-dilution-info": "", "WB-species-notes": "", "ICCIF-species-checked": "predicted", "ICCIF-species-dilution-info": "", "ICCIF-species-notes": "", "FlowCytIntra-species-checked": "predicted", "FlowCytIntra-species-dilution-info": "", "FlowCytIntra-species-notes": "", "IHCP-species-checked": "predicted", "IHCP-species-dilution-info": "", "IHCP-species-notes": "", "Dot-species-checked": "predicted", "Dot-species-dilution-info": "", "Dot-species-notes": "" }, "Synthetic peptide": { "IP-species-checked": "notRecommended", "IP-species-dilution-info": "", "IP-species-notes": "", "WB-species-checked": "notRecommended", "WB-species-dilution-info": "", "WB-species-notes": "", "ICCIF-species-checked": "notRecommended", "ICCIF-species-dilution-info": "", "ICCIF-species-notes": "", "FlowCytIntra-species-checked": "notRecommended", "FlowCytIntra-species-dilution-info": "", "FlowCytIntra-species-notes": "", "IHCP-species-checked": "notRecommended", "IHCP-species-dilution-info": "", "IHCP-species-notes": "", "Dot-species-checked": "testedAndGuaranteed", "Dot-species-dilution-info": "", "Dot-species-notes": "<p></p>" }, "Zebrafish": { "IP-species-checked": "predicted", "IP-species-dilution-info": "", "IP-species-notes": "", "WB-species-checked": "predicted", "WB-species-dilution-info": "", "WB-species-notes": "", "ICCIF-species-checked": "predicted", "ICCIF-species-dilution-info": "", "ICCIF-species-notes": "", "FlowCytIntra-species-checked": "predicted", "FlowCytIntra-species-dilution-info": "", "FlowCytIntra-species-notes": "", "IHCP-species-checked": "predicted", "IHCP-species-dilution-info": "", "IHCP-species-notes": "", "Dot-species-checked": "predicted", "Dot-species-dilution-info": "", "Dot-species-notes": "" } } }

Product details

ab220798 is the carrier-free version of ab32096.

Patented technology
Our RabMAb® technology is a patented hybridoma-based technology for making rabbit monoclonal antibodies. For details on our patents, please refer to RabMAb® patents.

What are the advantages of a recombinant monoclonal antibody?
This product is a recombinant monoclonal antibody, which offers several advantages including:

  • - High batch-to-batch consistency and reproducibility
  • - Improved sensitivity and specificity
  • - Long-term security of supply
  • - Animal-free batch production

For more information, read more on recombinant antibodies.

Conjugation ready
Our carrier-free antibodies are typically supplied in a PBS-only formulation, purified and free of BSA, sodium azide and glycerol. This conjugation-ready format is designed for use with fluorochromes, metal isotopes, oligonucleotides, and enzymes, which makes them ideal for antibody labelling, functional and cell-based assays, flow-based assays (e.g. mass cytometry) and Multiplex Imaging applications.

Use our conjugation kits for antibody conjugates that are ready-to-use in as little as 20 minutes with 1 minute hands-on-time and 100% antibody recovery: available for fluorescent dyes, HRP, biotin and gold.

Compatibility
This product is compatible with the Maxpar® Antibody Labeling Kit from Fluidigm, without the need for antibody preparation. Maxpar® is a trademark of Fluidigm Canada Inc.

Properties and storage information

Form
Liquid
Purification technique
Affinity purification Protein A
Storage buffer
pH: 7.2 - 7.4 Constituents: PBS
Shipped at conditions
Blue Ice
Appropriate short-term storage conditions
+4°C
Appropriate long-term storage conditions
+4°C
Storage information
Do Not Freeze

Supplementary information

This supplementary information is collated from multiple sources and compiled automatically.

CAMP response element-binding protein better known as CREB functions as a transcription factor that regulates gene expression. CREB protein operates by binding to specific DNA sequences called cAMP response elements in the promoters of target genes leading to increased or altered transcription. The protein has a molecular weight around 43 kDa. Expressed broadly in many tissues CREB's activity is particularly high in the brain where it plays key roles in neuronal functions. Researchers also refer to phospho-CREB when discussing the activated form of this protein often analyzed through methods like CREB Western blot.
Biological function summary

CREB contributes significantly to cellular processes such as proliferation differentiation and survival through transcriptional regulation. CREB does not function alone; it frequently associates with other proteins forming complexes to exert its regulatory roles. Additionally CREB influences the development of memory and learning in neurons highlighting its extensive involvement in neurophysiological processes.

Pathways

CREB plays a substantial role in the cAMP signaling pathway as well as the mitogen-activated protein kinase (MAPK) pathway. Through its interaction with kinases and other signaling proteins CREB influences numerous downstream targets affecting cellular responses to external stimuli. Notably protein kinase A (PKA) activates CREB by phosphorylation facilitating its role in various signal transduction pathways and linking it to downstream transcriptional events.

Research links CREB to neurological disorders and some forms of cancer. Aberrant CREB activity associates with neurodegenerative diseases like Alzheimer’s where dysregulated gene expression impacts neuronal viability and function. Furthermore in cancer CREB's role in cell proliferation and survival ties it to oncogenes such as BCL2 where abnormal CREB function can promote tumorigenesis. Understanding these connections provides valuable insights for therapeutic strategies against such diseases.

Product protocols

For this product, it's our understanding that no specific protocols are required. You can visit:

Target data

Phosphorylation-dependent transcription factor that stimulates transcription upon binding to the DNA cAMP response element (CRE), a sequence present in many viral and cellular promoters (By similarity). Transcription activation is enhanced by the TORC coactivators which act independently of Ser-119 phosphorylation (PubMed : 14536081). Involved in different cellular processes including the synchronization of circadian rhythmicity and the differentiation of adipose cells (By similarity). Regulates the expression of apoptotic and inflammatory response factors in cardiomyocytes in response to ERFE-mediated activation of AKT signaling (By similarity).
See full target information CREB1 phospho S133

Publications (17)

Recent publications for all applications. Explore the full list and refine your search

Cancer communications (London, England) 44:1287-1310 PubMed39285586

2024

Local TSH/TSHR signaling promotes CD8 T cell exhaustion and immune evasion in colorectal carcinoma.

Applications

Unspecified application

Species

Unspecified reactive species

Sisi Zeng,Huiling Hu,Zhiyang Li,Qi Hu,Rong Shen,Mingzhou Li,Yunshi Liang,Zuokang Mao,Yandong Zhang,Wanqi Zhan,Qin Zhu,Feifei Wang,Jianbiao Xiao,Bohan Xu,Guanglong Liu,Yanan Wang,Bingsong Li,Shaowan Xu,Zhaowen Zhang,Ceng Zhang,Zhizhang Wang,Li Liang

Communications biology 6:238 PubMed36869204

2023

Opsin 3 mediates UVA-induced keratinocyte supranuclear melanin cap formation.

Applications

Unspecified application

Species

Unspecified reactive species

Yinghua Lan,Wen Zeng,Yu Wang,Xian Dong,Xiaoping Shen,Yangguang Gu,Wei Zhang,Hongguang Lu

Frontiers in neuroscience 16:814430 PubMed35368248

2022

Neuroprotective Effects of a Cholecystokinin Analogue in the 1-Methyl-4-Phenyl-1,2,3,6-Tetrahydropyridine Parkinson's Disease Mouse Model.

Applications

Unspecified application

Species

Unspecified reactive species

Zijuan Zhang,Hai Li,Yunfang Su,Jinlian Ma,Ye Yuan,Ziyang Yu,Ming Shi,Simai Shao,Zhenqiang Zhang,Christian Hölscher

Acta pharmacologica Sinica 37:1401-1412 PubMed27498773

2016

DL0410, a novel dual cholinesterase inhibitor, protects mouse brains against Aβ-induced neuronal damage via the Akt/JNK signaling pathway.

Applications

Unspecified application

Species

Unspecified reactive species

Dan Zhou,Wei Zhou,Jun-Ke Song,Zhang-Ying Feng,Ran-Yao Yang,Song Wu,Lin Wang,Ai-Lin Liu,Guan-Hua Du

Frontiers in molecular neuroscience 8:70 PubMed26635523

2015

Morris Water Maze Training in Mice Elevates Hippocampal Levels of Transcription Factors Nuclear Factor (Erythroid-derived 2)-like 2 and Nuclear Factor Kappa B p65.

Applications

WB

Species

Mouse

Wanda M Snow,Payam S Pahlavan,Jelena Djordjevic,Danielle McAllister,Eric E Platt,Shoug Alashmali,Michael J Bernstein,Miyoung Suh,Benedict C Albensi

BMC neuroscience 15:118 PubMed25331941

2014

Genetic deletion of calcium/calmodulin-dependent protein kinase kinase β (CaMKK β) or CaMK IV exacerbates stroke outcomes in ovariectomized (OVXed) female mice.

Applications

WB

Species

Mouse

Lin Liu,Louise McCullough,Jun Li

Carcinogenesis 35:1144-53 PubMed24464787

2014

The oncoprotein HBXIP enhances angiogenesis and growth of breast cancer through modulating FGF8 and VEGF.

Applications

Unspecified application

Species

Unspecified reactive species

Fabao Liu,Xiaona You,Yue Wang,Qian Liu,Yunxia Liu,Shuqin Zhang,Lingyi Chen,Xiaodong Zhang,Lihong Ye

Brain & development 36:653-60 PubMed24075507

2013

Dibutyl phthalate-induced neurotoxicity in the brain of immature and mature rat offspring.

Applications

Unspecified application

Species

Unspecified reactive species

Xiujuan Li,Li Jiang,Li Cheng,Hengsheng Chen

Neurochemistry international 63:283-90 PubMed23831214

2013

Protective effects of EphB2 on Aβ1-42 oligomer-induced neurotoxicity and synaptic NMDA receptor signaling in hippocampal neurons.

Applications

Unspecified application

Species

Unspecified reactive species

Dandan Geng,Lin Kang,Yuhong Su,Jianxin Jia,Jun Ma,Sha Li,Juan Du,Huixian Cui

PloS one 8:e61758 PubMed23626723

2013

An alkylphenol mix promotes seminoma derived cell proliferation through an ERalpha36-mediated mechanism.

Applications

WB

Species

Mouse

Hussein Ajj,Amand Chesnel,Sophie Pinel,François Plenat,Stephane Flament,Helene Dumond
View all publications

Product promise

We are committed to supporting your work with high-quality reagents, and we're here for you every step of the way. In the unlikely event that one of our products does not perform as expected, you're protected by our Product Promise.
For full details, please see our Terms & Conditions

Please note: All products are 'FOR RESEARCH USE ONLY. NOT FOR USE IN DIAGNOSTIC OR THERAPEUTIC PROCEDURES'.

For licensing inquiries, please contact partnerships@abcam.com