JavaScript is disabled in your browser. Please enable JavaScript to view this website.
AB61242

Anti-CREBBP (acetyl K1535) antibody

Be the first to review this product! Submit a review

|

(2 Publications)

Rabbit Polyclonal CREBBP acetyl K1535 antibody. Suitable for IHC-P, ICC/IF and reacts with Human samples. Cited in 2 publications. Immunogen corresponding to Synthetic Peptide within Human CREBBP acetyl K1535.

View Alternative Names

CBP, CREBBP, CREB-binding protein, Histone lysine acetyltransferase CREBBP, Protein lactyltransferas CREBBP, Protein-lysine acetyltransferase CREBBP

2 Images
Immunocytochemistry/ Immunofluorescence - Anti-CREBBP (acetyl K1535) antibody (AB61242)
  • ICC/IF

Unknown

Immunocytochemistry/ Immunofluorescence - Anti-CREBBP (acetyl K1535) antibody (AB61242)

ICC/IF image of ab61242 stained HeLa cells. The cells were 100% methanol fixed (5 min) and then incubated in 1%BSA / 10% normal goat serum / 0.3M glycine in 0.1% PBS-Tween for 1h to permeabilise the cells and block non-specific protein-protein interactions. The cells were then incubated with the antibody (ab61242, 1µg/ml) overnight at +4°C. The secondary antibody (green) was Alexa Fluor® 488 goat anti-rabbit IgG (H+L) used at a 1/1000 dilution for 1h. Alexa Fluor® 594 WGA was used to label plasma membranes (red) at a 1/200 dilution for 1h. DAPI was used to stain the cell nuclei (blue) at a concentration of 1.43µM.

Immunohistochemistry (Formalin/PFA-fixed paraffin-embedded sections) - Anti-CREBBP (acetyl K1535) antibody (AB61242)
  • IHC-P

Unknown

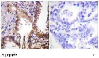
Immunohistochemistry (Formalin/PFA-fixed paraffin-embedded sections) - Anti-CREBBP (acetyl K1535) antibody (AB61242)

Immunohistochemistry analysis of paraffin-embedded human lung carcinoma tissue using CREBBP (acetyl K1535) antibody (ab61242) at 1/50 dilution, in the presence (right panel) or absence (left panel) of acetylated peptide.

Key facts

Host species

Rabbit

Clonality

Polyclonal

Isotype

IgG

Carrier free

No

Reacts with

Human

Applications

ICC/IF, IHC-P

applications

Immunogen

Synthetic Peptide within Human CREBBP acetyl K1535. The exact immunogen used to generate this antibody is proprietary information.

Q92793

Specificity

Detects endogenous levels of CBP only when acetylated at lysine 1535.

Reactivity data

{ "title": "Reactivity Data", "filters": { "stats": ["", "Species", "Dilution Info", "Notes"], "tabs": { "all-applications": {"fullname" : "All Applications", "shortname": "All Applications"}, "IHCP" : {"fullname" : "Immunohistochemistry (Formalin/PFA-fixed paraffin-embedded sections)", "shortname":"IHC-P"}, "ICCIF" : {"fullname" : "Immunocytochemistry/ Immunofluorescence", "shortname":"ICC/IF"} }, "product-promise": { "all": "all", "testedAndGuaranteed": "tested", "guaranteed": "expected", "predicted": "predicted", "notRecommended": "not-recommended" } }, "values": { "Human": { "IHCP-species-checked": "testedAndGuaranteed", "IHCP-species-dilution-info": "1/50 - 1/100", "IHCP-species-notes": "<p></p>", "ICCIF-species-checked": "testedAndGuaranteed", "ICCIF-species-dilution-info": "1-5 µg/mL", "ICCIF-species-notes": "<p></p>" } } }

Properties and storage information

Form
Liquid
Purification technique
Affinity purification Immunogen
Purification notes
Purified from rabbit antiserum by affinity chromatography using epitope specific acetylated peptide. The antibody against non acetylated peptide was removed by chromatography using non acetylated peptide corresponding to the acetylation site.
Storage buffer
pH: 7.4 Preservative: 0.02% Sodium azide Constituents: PBS, 50% Glycerol (glycerin, glycerine), 0.87% Sodium chloride
Shipped at conditions
Blue Ice
Appropriate short-term storage conditions
+4°C
Appropriate long-term storage conditions
-20°C
Storage information
Stable for 12 months at -20°C

Supplementary information

This supplementary information is collated from multiple sources and compiled automatically.

CREBBP also known as CREB Binding Protein or CBP is a multifunctional protein with a molecular weight of approximately 265 kDa. This protein serves as a transcriptional coactivator and possesses intrinsic histone acetyltransferase (HAT) activity. CREBBP is ubiquitously expressed making it present in various tissues throughout the body. Its interaction with different transcription factors facilitates transcriptional activation by remodeling chromatin structure.
Biological function summary

CREBBP plays a pivotal role in regulating gene expression by serving as a coactivator that bridges transcription factors with the basal transcription machinery. CREBBP as part of large multiprotein complexes acetylates histones as well as non-histone proteins influencing chromatin accessibility and transcriptional efficiency. Its HAT activity contributes to the regulation of cell cycle differentiation and DNA repair.

Pathways

CREBBP integrates into both the p53 and Hedgehog signaling pathways modulating various cellular responses. In the p53 pathway CREBBP interacts with the tumor suppressor protein p53 enhancing p53’s ability to initiate expression of genes involved in cell cycle arrest and apoptosis. In the Hedgehog pathway CREBBP regulates transcription factors such as Gli proteins. The interplay between CREBBP and these pathways underlines its importance in maintaining cellular homeostasis and preventing oncogenesis.

Mutations or dysregulation of CREBBP are associated with Rubinstein-Taybi syndrome and various cancers including acute myeloid leukemia. In Rubinstein-Taybi syndrome CREBBP mutations impair cognitive development and skeletal malformations. In cancer particularly acute myeloid leukemia alterations in CREBBP disrupt normal cell growth regulation and lead to tumorigenesis. The protein's interaction with factors like p300 another histone acetyltransferase further emphasizes its critical involvement in these pathological conditions.

Product protocols

For this product, it's our understanding that no specific protocols are required. You can visit:

Target data

Acetylates histones, giving a specific tag for transcriptional activation (PubMed : 21131905, PubMed : 24616510). Mediates acetylation of histone H3 at 'Lys-18' and 'Lys-27' (H3K18ac and H3K27ac, respectively) (PubMed : 21131905). Also acetylates non-histone proteins, like DDX21, FBL, IRF2, MAFG, NCOA3, POLR1E/PAF53 and FOXO1 (PubMed : 10490106, PubMed : 11154691, PubMed : 12738767, PubMed : 12929931, PubMed : 24207024, PubMed : 28790157, PubMed : 30540930, PubMed : 35675826, PubMed : 9707565). Binds specifically to phosphorylated CREB and enhances its transcriptional activity toward cAMP-responsive genes. Acts as a coactivator of ALX1. Acts as a circadian transcriptional coactivator which enhances the activity of the circadian transcriptional activators : NPAS2-BMAL1 and CLOCK-BMAL1 heterodimers (PubMed : 14645221). Acetylates PCNA; acetylation promotes removal of chromatin-bound PCNA and its degradation during nucleotide excision repair (NER) (PubMed : 24939902). Acetylates POLR1E/PAF53, leading to decreased association of RNA polymerase I with the rDNA promoter region and coding region (PubMed : 24207024). Acetylates DDX21, thereby inhibiting DDX21 helicase activity (PubMed : 28790157). Acetylates FBL, preventing methylation of 'Gln-105' of histone H2A (H2AQ104me) (PubMed : 30540930). In addition to protein acetyltransferase, can use different acyl-CoA substrates, such as lactoyl-CoA, and is able to mediate protein lactylation (PubMed : 38128537). Catalyzes lactylation of MRE11 in response to DNA damage, thereby promoting DNA double-strand breaks (DSBs) via homologous recombination (HR) (PubMed : 38128537). Functions as a transcriptional coactivator for SMAD4 in the TGF-beta signaling pathway (PubMed : 25514493).
See full target information CREBBP acetyl K1535

Publications (2)

Recent publications for all applications. Explore the full list and refine your search

Journal of orthopaedic surgery and research 20:781 PubMed40835957

2025

Expression characteristics of miR-502-5p/p53/NF-κB signaling pathway in patients with different degrees of knee osteoarthritis: a cross-sectional observational study with methodological limitations.

Applications

Unspecified application

Species

Unspecified reactive species

Xiaozhe Zhang,Kesong Shi,Anmin Ruan,Pu Chen,Tao Zhang,Qingpu Wang

Evidence-based complementary and alternative medic 2020:7202519 PubMed32419819

2020

Prevents Renal Tubular Epithelial Cell Apoptosis by Regulating the SIRT1/p53 Pathway in Hypertensive Renal Injury.

Applications

Unspecified application

Species

Unspecified reactive species

Yi Shan Huang,Xu Wang,Zhendong Feng,Hailan Cui,Zebing Zhu,Chenhui Xia,Xueting Han,Wei Jing Liu,Yu Ning Liu
View all publications

Product promise

We are committed to supporting your work with high-quality reagents, and we're here for you every step of the way. In the unlikely event that one of our products does not perform as expected, you're protected by our Product Promise.
For full details, please see our Terms & Conditions

Please note: All products are 'FOR RESEARCH USE ONLY. NOT FOR USE IN DIAGNOSTIC OR THERAPEUTIC PROCEDURES'.

For licensing inquiries, please contact partnerships@abcam.com