JavaScript is disabled in your browser. Please enable JavaScript to view this website.
AB137334

Anti-CREBBP antibody

Be the first to review this product! Submit a review

|

(1 Publication)

Rabbit Polyclonal CREBBP antibody. Suitable for ChIP, IP, WB, IHC-P, ICC/IF and reacts with Human, Mouse samples. Cited in 1 publication. Immunogen corresponding to Recombinant Fragment Protein within Human CREBBP aa 2100 to C-terminus.

View Alternative Names

CBP, CREBBP, CREB-binding protein, Histone lysine acetyltransferase CREBBP, Protein lactyltransferas CREBBP, Protein-lysine acetyltransferase CREBBP

11 Images
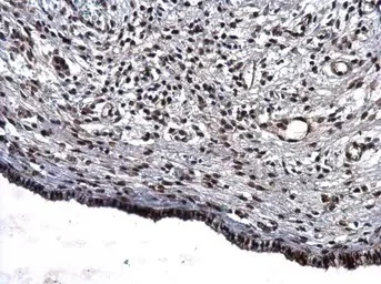
Immunohistochemistry (Formalin/PFA-fixed paraffin-embedded sections) - Anti-CREBBP antibody (AB137334)
  • IHC-P

Supplier Data

Immunohistochemistry (Formalin/PFA-fixed paraffin-embedded sections) - Anti-CREBBP antibody (AB137334)

Immunohistochemical analysis of paraffin-embedded human cervical carcinoma tissue stained for CBP protein at nucleus on human cervical carcinoma with ab137334 at a 1/750 dilution.

Antigen retrieval : EDTA based, pH 8.0 buffer, 15min

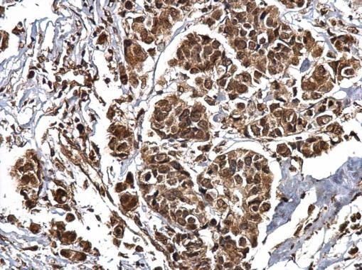
Immunohistochemistry (Formalin/PFA-fixed paraffin-embedded sections) - Anti-CREBBP antibody (AB137334)
  • IHC-P

Supplier Data

Immunohistochemistry (Formalin/PFA-fixed paraffin-embedded sections) - Anti-CREBBP antibody (AB137334)

Immunohistochemical analysis of paraffin embedded human breast carcinoma tissue labelling CREBBP with ab137334 antibody at 1/750 dilution.

Immunocytochemistry/ Immunofluorescence - Anti-CREBBP antibody (AB137334)
  • ICC/IF

Supplier Data

Immunocytochemistry/ Immunofluorescence - Anti-CREBBP antibody (AB137334)

Immunofluorescence staining of paraformaldehyde-fixed (4% paraformaldehyde, 15 minutes at RT) HeLa cells stained for CREBBP with ab137334 at 1 : 1000 dilution. Red : phalloidin, a cytoskeleton marker, diluted at 1 : 100.

Immunoprecipitation - Anti-CREBBP antibody (AB137334)
  • IP

Supplier Data

Immunoprecipitation - Anti-CREBBP antibody (AB137334)

Samples were separated by 12% SDS-PAGE. The immunoprecipitated CBP protein was detected by CBP antibody diluted at 1/1000 dilution.

All lanes:

Immunoprecipitation - Anti-CREBBP antibody (ab137334) at 1/1000 dilution

Lane 1:

HeLa whole cell lysate/extract at 40 µg

Lane 2:

Control with 2.5 µg of preimmune rabbit IgG

Lane 3:

HeLa whole cell lysate (+)

Secondary

All lanes:

Anti rabbit IgG antibody

Predicted band size: 265 kDa

false

ChIP - Anti-CREBBP antibody (AB137334)
  • ChIP

Supplier Data

ChIP - Anti-CREBBP antibody (AB137334)

CREBBP antibody immunoprecipitates CREBBP protein-DNA complex in ChIP experiments. ChIP Sample : HeLa whole cell lysate/extract
A. 5 µg preimmune rabbit IgG
B. 5 µg of CREBBP antibody.
The precipitated DNA was detected by PCR with primer set targeting to snail promoter.

Immunohistochemistry (Formalin/PFA-fixed paraffin-embedded sections) - Anti-CREBBP antibody (AB137334)
  • IHC-P

Supplier Data

Immunohistochemistry (Formalin/PFA-fixed paraffin-embedded sections) - Anti-CREBBP antibody (AB137334)

Immunohistochemical analysis of paraffin-embedded mouse intestine tissue stained for CBP protein at nucleus with ab137334 at a 1/500 dilution.

Antigen retrieval : Citrate buffer, pH 6

Immunohistochemistry (Formalin/PFA-fixed paraffin-embedded sections) - Anti-CREBBP antibody (AB137334)
  • IHC-P

Supplier Data

Immunohistochemistry (Formalin/PFA-fixed paraffin-embedded sections) - Anti-CREBBP antibody (AB137334)

Immunohistochemical analysis of paraffin embedded mouse muscle tissue labelling CREBBP with ab137334 antibody at 1/750 dilution.

Immunohistochemistry (Formalin/PFA-fixed paraffin-embedded sections) - Anti-CREBBP antibody (AB137334)
  • IHC-P

Supplier Data

Immunohistochemistry (Formalin/PFA-fixed paraffin-embedded sections) - Anti-CREBBP antibody (AB137334)

Immunohistochemical analysis of paraffin embedded mouse fore brain tissue labelling CREBBP with ab137334 antibody at 1/750 dilution.

Immunohistochemistry (Formalin/PFA-fixed paraffin-embedded sections) - Anti-CREBBP antibody (AB137334)
  • IHC-P

Supplier Data

Immunohistochemistry (Formalin/PFA-fixed paraffin-embedded sections) - Anti-CREBBP antibody (AB137334)

Immunohistochemical analysis of paraffin-embedded mouse skin tissue stained for CBP protein at nucleus on mouse skin with ab137334 at a 1/750 dilution.

Antigen retrieval : EDTA based, pH 8.0 buffer, 15min

Western blot - Anti-CREBBP antibody (AB137334)
  • WB

Supplier Data

Western blot - Anti-CREBBP antibody (AB137334)

5% SDS-PAGE

All lanes:

Western blot - Anti-CREBBP antibody (ab137334) at 1/500 dilution

Lane 1:

Wild-type HeLa whole cell lysate at 30 µg

Lane 2:

CREBBP knockout whole cell lysate at 30 µg

Secondary

All lanes:

HRP-conjugated anti-rabbit IgG

Predicted band size: 265 kDa

false

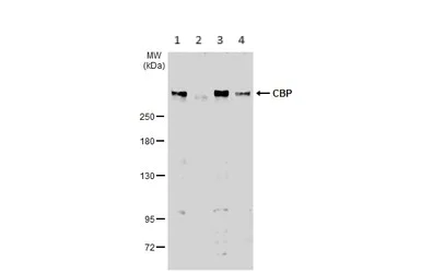
Western blot - Anti-CREBBP antibody (AB137334)
  • WB

Supplier Data

Western blot - Anti-CREBBP antibody (AB137334)

Samples were separated by 5% SDS-PAGE.

All lanes:

Western blot - Anti-CREBBP antibody (ab137334) at 1/1000 dilution

Lane 1:

293T whole cell extracts at 30 µg

Lane 2:

A431 whole cell extracts at 30 µg

Lane 3:

HeLa whole cell extracts at 30 µg

Lane 4:

HepG2 whole cell extracts at 30 µg

Secondary

All lanes:

HRP-conjugated anti-rabbit IgG

Predicted band size: 265 kDa

false

Key facts

Host species

Rabbit

Clonality

Polyclonal

Isotype

IgG

Carrier free

No

Reacts with

Mouse, Human

Applications

IP, ChIP, IHC-P, ICC/IF, WB

applications

Immunogen

Recombinant Fragment Protein within Human CREBBP aa 2100 to C-terminus. The exact immunogen used to generate this antibody is proprietary information.

Q92793

Reactivity data

{ "title": "Reactivity Data", "filters": { "stats": ["", "Species", "Dilution Info", "Notes"], "tabs": { "all-applications": {"fullname" : "All Applications", "shortname": "All Applications"}, "ChIP" : {"fullname" : "ChIP", "shortname":"ChIP"}, "IP" : {"fullname" : "Immunoprecipitation", "shortname":"IP"}, "WB" : {"fullname" : "Western blot", "shortname":"WB"}, "IHCP" : {"fullname" : "Immunohistochemistry (Formalin/PFA-fixed paraffin-embedded sections)", "shortname":"IHC-P"}, "ICCIF" : {"fullname" : "Immunocytochemistry/ Immunofluorescence", "shortname":"ICC/IF"} }, "product-promise": { "all": "all", "testedAndGuaranteed": "tested", "guaranteed": "expected", "predicted": "predicted", "notRecommended": "not-recommended" } }, "values": { "Human": { "ChIP-species-checked": "testedAndGuaranteed", "ChIP-species-dilution-info": "", "ChIP-species-notes": "<p></p>", "IP-species-checked": "testedAndGuaranteed", "IP-species-dilution-info": "1/100 - 1/500", "IP-species-notes": "<p></p>", "WB-species-checked": "testedAndGuaranteed", "WB-species-dilution-info": "1/500 - 1/3000", "WB-species-notes": "<p></p>", "IHCP-species-checked": "testedAndGuaranteed", "IHCP-species-dilution-info": "1/100 - 1/1000", "IHCP-species-notes": "<p>Antigen Retrieval: EDTA based, pH 8.0 buffer, 15min</p>", "ICCIF-species-checked": "testedAndGuaranteed", "ICCIF-species-dilution-info": "1/100 - 1/1000", "ICCIF-species-notes": "<p></p>" }, "Mouse": { "ChIP-species-checked": "guaranteed", "ChIP-species-dilution-info": "", "ChIP-species-notes": "", "IP-species-checked": "guaranteed", "IP-species-dilution-info": "", "IP-species-notes": "", "WB-species-checked": "guaranteed", "WB-species-dilution-info": "", "WB-species-notes": "", "IHCP-species-checked": "testedAndGuaranteed", "IHCP-species-dilution-info": "1/100 - 1/1000", "IHCP-species-notes": "<p>Antigen Retrieval: EDTA based, pH 8.0 buffer, 15min</p>", "ICCIF-species-checked": "guaranteed", "ICCIF-species-dilution-info": "", "ICCIF-species-notes": "" }, "Cow": { "ChIP-species-checked": "predicted", "ChIP-species-dilution-info": "", "ChIP-species-notes": "", "IP-species-checked": "predicted", "IP-species-dilution-info": "", "IP-species-notes": "", "WB-species-checked": "predicted", "WB-species-dilution-info": "", "WB-species-notes": "", "IHCP-species-checked": "predicted", "IHCP-species-dilution-info": "", "IHCP-species-notes": "", "ICCIF-species-checked": "predicted", "ICCIF-species-dilution-info": "", "ICCIF-species-notes": "" } } }

Properties and storage information

Form
Liquid
Purification technique
Affinity purification Immunogen
Storage buffer
pH: 7 Preservative: 0.025% Proclin 300 Constituents: PBS, 20% Glycerol (glycerin, glycerine), 1% BSA
Shipped at conditions
Blue Ice
Appropriate short-term storage conditions
+4°C
Appropriate long-term storage conditions
-20°C
Aliquoting information
Upon delivery aliquot
Storage information
Avoid freeze / thaw cycle

Supplementary information

This supplementary information is collated from multiple sources and compiled automatically.

CREBBP also known as CREB Binding Protein or CBP is a multifunctional protein with a molecular weight of approximately 265 kDa. This protein serves as a transcriptional coactivator and possesses intrinsic histone acetyltransferase (HAT) activity. CREBBP is ubiquitously expressed making it present in various tissues throughout the body. Its interaction with different transcription factors facilitates transcriptional activation by remodeling chromatin structure.
Biological function summary

CREBBP plays a pivotal role in regulating gene expression by serving as a coactivator that bridges transcription factors with the basal transcription machinery. CREBBP as part of large multiprotein complexes acetylates histones as well as non-histone proteins influencing chromatin accessibility and transcriptional efficiency. Its HAT activity contributes to the regulation of cell cycle differentiation and DNA repair.

Pathways

CREBBP integrates into both the p53 and Hedgehog signaling pathways modulating various cellular responses. In the p53 pathway CREBBP interacts with the tumor suppressor protein p53 enhancing p53’s ability to initiate expression of genes involved in cell cycle arrest and apoptosis. In the Hedgehog pathway CREBBP regulates transcription factors such as Gli proteins. The interplay between CREBBP and these pathways underlines its importance in maintaining cellular homeostasis and preventing oncogenesis.

Mutations or dysregulation of CREBBP are associated with Rubinstein-Taybi syndrome and various cancers including acute myeloid leukemia. In Rubinstein-Taybi syndrome CREBBP mutations impair cognitive development and skeletal malformations. In cancer particularly acute myeloid leukemia alterations in CREBBP disrupt normal cell growth regulation and lead to tumorigenesis. The protein's interaction with factors like p300 another histone acetyltransferase further emphasizes its critical involvement in these pathological conditions.

Product protocols

For this product, it's our understanding that no specific protocols are required. You can visit:

Target data

Acetylates histones, giving a specific tag for transcriptional activation (PubMed : 21131905, PubMed : 24616510). Mediates acetylation of histone H3 at 'Lys-18' and 'Lys-27' (H3K18ac and H3K27ac, respectively) (PubMed : 21131905). Also acetylates non-histone proteins, like DDX21, FBL, IRF2, MAFG, NCOA3, POLR1E/PAF53 and FOXO1 (PubMed : 10490106, PubMed : 11154691, PubMed : 12738767, PubMed : 12929931, PubMed : 24207024, PubMed : 28790157, PubMed : 30540930, PubMed : 35675826, PubMed : 9707565). Binds specifically to phosphorylated CREB and enhances its transcriptional activity toward cAMP-responsive genes. Acts as a coactivator of ALX1. Acts as a circadian transcriptional coactivator which enhances the activity of the circadian transcriptional activators : NPAS2-BMAL1 and CLOCK-BMAL1 heterodimers (PubMed : 14645221). Acetylates PCNA; acetylation promotes removal of chromatin-bound PCNA and its degradation during nucleotide excision repair (NER) (PubMed : 24939902). Acetylates POLR1E/PAF53, leading to decreased association of RNA polymerase I with the rDNA promoter region and coding region (PubMed : 24207024). Acetylates DDX21, thereby inhibiting DDX21 helicase activity (PubMed : 28790157). Acetylates FBL, preventing methylation of 'Gln-105' of histone H2A (H2AQ104me) (PubMed : 30540930). In addition to protein acetyltransferase, can use different acyl-CoA substrates, such as lactoyl-CoA, and is able to mediate protein lactylation (PubMed : 38128537). Catalyzes lactylation of MRE11 in response to DNA damage, thereby promoting DNA double-strand breaks (DSBs) via homologous recombination (HR) (PubMed : 38128537). Functions as a transcriptional coactivator for SMAD4 in the TGF-beta signaling pathway (PubMed : 25514493).
See full target information CREBBP

Publications (1)

Recent publications for all applications. Explore the full list and refine your search

Life sciences 213:149-157 PubMed30352240

2018

Sulforaphane induces autophagy by inhibition of HDAC6-mediated PTEN activation in triple negative breast cancer cells.

Applications

Unspecified application

Species

Unspecified reactive species

Fan Yang,Faling Wang,Yuni Liu,Shien Wang,Xin Li,Yi Huang,Yan Xia,Chunyu Cao
View all publications

Product promise

We are committed to supporting your work with high-quality reagents, and we're here for you every step of the way. In the unlikely event that one of our products does not perform as expected, you're protected by our Product Promise.
For full details, please see our Terms & Conditions

Please note: All products are 'FOR RESEARCH USE ONLY. NOT FOR USE IN DIAGNOSTIC OR THERAPEUTIC PROCEDURES'.

For licensing inquiries, please contact partnerships@abcam.com