JavaScript is disabled in your browser. Please enable JavaScript to view this website.
AB2832

Anti-CREBBP antibody

4

(5 Reviews)

|

(65 Publications)

Rabbit Polyclonal CREBBP antibody. Suitable for WB, IHC-P, ICC/IF and reacts with Human, Mouse samples. Cited in 65 publications. Immunogen corresponding to Synthetic Peptide within Human CREBBP aa 150-200.

View Alternative Names

CBP, CREBBP, CREB-binding protein, Histone lysine acetyltransferase CREBBP, Protein lactyltransferas CREBBP, Protein-lysine acetyltransferase CREBBP

6 Images
Immunocytochemistry/ Immunofluorescence - Anti-CREBBP antibody (AB2832)
  • ICC/IF

Supplier Data

Immunocytochemistry/ Immunofluorescence - Anti-CREBBP antibody (AB2832)

Immunofluorescent analysis of HeLa cells, labeling CREBBP with ab2832 (right) compared with a negative control without ab2832 (left). Cells were formalin fixed, permeabilized with 0.1% Triton X-100 for 5-10 minutes, and blocked with 3% BSA-PBS for 30 minutes at room temperature. Cells were incubated with anti-KAT3A/CBP diluted 1/100 in 3% BSA/PBS overnight at 4°C. Actin was stained using Alexa Fluor 554 (red) and nuclei were stained with DAPI (blue). The nuclear localization of KAT3A/CBP can be observed (green).

Immunohistochemistry (Formalin/PFA-fixed paraffin-embedded sections) - Anti-CREBBP antibody (AB2832)
  • IHC-P

Lab

Immunohistochemistry (Formalin/PFA-fixed paraffin-embedded sections) - Anti-CREBBP antibody (AB2832)

IHC image of CREBBP staining in human pancreas formalin fixed paraffin embedded tissue section, performed on a Leica BondTM system using the standard protocol F. The section was pre-treated using heat mediated antigen retrieval with sodium citrate buffer (pH6, epitope retrieval solution 1) for 20 mins. The section was then incubated with ab2832, 5μg/ml, for 15 mins at room temperature and detected using an HRP conjugated compact polymer system. DAB was used as the chromogen. The section was then counterstained with haematoxylin and mounted with DPX.

For other IHC staining systems (automated and non-automated) customers should optimize variable parameters such as antigen retrieval conditions, primary antibody concentration and antibody incubation times.

Immunocytochemistry/ Immunofluorescence - Anti-CREBBP antibody (AB2832)
  • ICC/IF

Supplier Data

Immunocytochemistry/ Immunofluorescence - Anti-CREBBP antibody (AB2832)

Immunofluorescent analysis of MCF-7 cells, labeling CREBBP with ab2832 (right) compared with a negative control without ab2832 (left). Cells were formalin fixed, permeabilized with 0.1% Triton X-100 for 5-10 minutes, and blocked with 3% BSA-PBS for 30 minutes at room temperature. Cells were incubated with anti-KAT3A/CBP diluted 1/100 in 3% BSA/PBS overnight at 4°C. Actin was stained using Alexa Fluor 554 (red) and nuclei were stained with DAPI (blue). The nuclear localization of KAT3A/CBP can be observed (green).

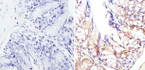
Immunohistochemistry (Formalin/PFA-fixed paraffin-embedded sections) - Anti-CREBBP antibody (AB2832)
  • IHC-P

Supplier Data

Immunohistochemistry (Formalin/PFA-fixed paraffin-embedded sections) - Anti-CREBBP antibody (AB2832)

Immunohistochemical analysis of FFPE mouse colon tissue, labeling CREBBP with ab2832 (right) compared with a negative control without ab2832 (left). Heat antigen retrieval performed with 10mM Sodium Citrate (pH 6) for 8-15 minutes. Tissue blocked with 3% H2O2-methanol for 15 minutes at room temperature. Incubation with ab2832 diluted 1/2000 in 3% BSA-PBS overnight at 4°C. Counterstaining with hematoxylin.

Immunocytochemistry/ Immunofluorescence - Anti-CREBBP antibody (AB2832)
  • ICC/IF

Supplier Data

Immunocytochemistry/ Immunofluorescence - Anti-CREBBP antibody (AB2832)

Immunofluorescent analysis of NIH-3T3 cells, labeling CREBBP with ab2832 (right) compared with a negative control without ab2832 (left). Cells were formalin fixed, permeabilized with 0.1% Triton X-100 for 5-10 minutes, and blocked with 3% BSA-PBS for 30 minutes at room temperature. Cells were incubated with anti-KAT3A/CBP diluted 1/100 in 3% BSA/PBS overnight at 4°C. Nuclei were stained with DAPI (blue).

Western blot - Anti-CREBBP antibody (AB2832)
  • WB

Unknown

Western blot - Anti-CREBBP antibody (AB2832)

ab2832 using HeLa cell lysate. ab2832 using HeLa cell lysate.

All lanes:

Western blot - Anti-CREBBP antibody (ab2832)

Predicted band size: 265 kDa

false

Key facts

Host species

Rabbit

Clonality

Polyclonal

Isotype

IgG

Carrier free

No

Reacts with

Mouse, Human

Applications

WB, IHC-P, ICC/IF

applications

Immunogen

Synthetic Peptide within Human CREBBP aa 150-200. The exact immunogen used to generate this antibody is proprietary information.

Q92793

Reactivity data

{ "title": "Reactivity Data", "filters": { "stats": ["", "Species", "Dilution Info", "Notes"], "tabs": { "all-applications": {"fullname" : "All Applications", "shortname": "All Applications"}, "WB" : {"fullname" : "Western blot", "shortname":"WB"}, "IHCP" : {"fullname" : "Immunohistochemistry (Formalin/PFA-fixed paraffin-embedded sections)", "shortname":"IHC-P"}, "ICCIF" : {"fullname" : "Immunocytochemistry/ Immunofluorescence", "shortname":"ICC/IF"} }, "product-promise": { "all": "all", "testedAndGuaranteed": "tested", "guaranteed": "expected", "predicted": "predicted", "notRecommended": "not-recommended" } }, "values": { "Human": { "WB-species-checked": "testedAndGuaranteed", "WB-species-dilution-info": "1-2 µg/mL", "WB-species-notes": "<p></p>", "IHCP-species-checked": "testedAndGuaranteed", "IHCP-species-dilution-info": "1/1000 - 1/5000", "IHCP-species-notes": "<p></p>", "ICCIF-species-checked": "testedAndGuaranteed", "ICCIF-species-dilution-info": "1/100", "ICCIF-species-notes": "<p></p>" }, "Mouse": { "WB-species-checked": "guaranteed", "WB-species-dilution-info": "", "WB-species-notes": "", "IHCP-species-checked": "testedAndGuaranteed", "IHCP-species-dilution-info": "1/1000 - 1/5000", "IHCP-species-notes": "<p></p>", "ICCIF-species-checked": "testedAndGuaranteed", "ICCIF-species-dilution-info": "1/100", "ICCIF-species-notes": "<p></p>" }, "Primates": { "WB-species-checked": "predicted", "WB-species-dilution-info": "", "WB-species-notes": "", "IHCP-species-checked": "predicted", "IHCP-species-dilution-info": "", "IHCP-species-notes": "", "ICCIF-species-checked": "predicted", "ICCIF-species-dilution-info": "", "ICCIF-species-notes": "" } } }

Properties and storage information

Form
Liquid
Purification technique
Affinity purification Immunogen
Storage buffer
Preservative: 0.05% Sodium azide Constituents: PBS, 0.1% BSA
Shipped at conditions
Blue Ice
Appropriate short-term storage duration
1-2 weeks
Appropriate short-term storage conditions
+4°C
Appropriate long-term storage conditions
-20°C
Aliquoting information
Upon delivery aliquot
Storage information
Avoid freeze / thaw cycle

Supplementary information

This supplementary information is collated from multiple sources and compiled automatically.

CREBBP also known as CREB Binding Protein or CBP is a multifunctional protein with a molecular weight of approximately 265 kDa. This protein serves as a transcriptional coactivator and possesses intrinsic histone acetyltransferase (HAT) activity. CREBBP is ubiquitously expressed making it present in various tissues throughout the body. Its interaction with different transcription factors facilitates transcriptional activation by remodeling chromatin structure.
Biological function summary

CREBBP plays a pivotal role in regulating gene expression by serving as a coactivator that bridges transcription factors with the basal transcription machinery. CREBBP as part of large multiprotein complexes acetylates histones as well as non-histone proteins influencing chromatin accessibility and transcriptional efficiency. Its HAT activity contributes to the regulation of cell cycle differentiation and DNA repair.

Pathways

CREBBP integrates into both the p53 and Hedgehog signaling pathways modulating various cellular responses. In the p53 pathway CREBBP interacts with the tumor suppressor protein p53 enhancing p53’s ability to initiate expression of genes involved in cell cycle arrest and apoptosis. In the Hedgehog pathway CREBBP regulates transcription factors such as Gli proteins. The interplay between CREBBP and these pathways underlines its importance in maintaining cellular homeostasis and preventing oncogenesis.

Mutations or dysregulation of CREBBP are associated with Rubinstein-Taybi syndrome and various cancers including acute myeloid leukemia. In Rubinstein-Taybi syndrome CREBBP mutations impair cognitive development and skeletal malformations. In cancer particularly acute myeloid leukemia alterations in CREBBP disrupt normal cell growth regulation and lead to tumorigenesis. The protein's interaction with factors like p300 another histone acetyltransferase further emphasizes its critical involvement in these pathological conditions.

Product protocols

For this product, it's our understanding that no specific protocols are required. You can visit:

Target data

Acetylates histones, giving a specific tag for transcriptional activation (PubMed : 21131905, PubMed : 24616510). Mediates acetylation of histone H3 at 'Lys-18' and 'Lys-27' (H3K18ac and H3K27ac, respectively) (PubMed : 21131905). Also acetylates non-histone proteins, like DDX21, FBL, IRF2, MAFG, NCOA3, POLR1E/PAF53 and FOXO1 (PubMed : 10490106, PubMed : 11154691, PubMed : 12738767, PubMed : 12929931, PubMed : 24207024, PubMed : 28790157, PubMed : 30540930, PubMed : 35675826, PubMed : 9707565). Binds specifically to phosphorylated CREB and enhances its transcriptional activity toward cAMP-responsive genes. Acts as a coactivator of ALX1. Acts as a circadian transcriptional coactivator which enhances the activity of the circadian transcriptional activators : NPAS2-BMAL1 and CLOCK-BMAL1 heterodimers (PubMed : 14645221). Acetylates PCNA; acetylation promotes removal of chromatin-bound PCNA and its degradation during nucleotide excision repair (NER) (PubMed : 24939902). Acetylates POLR1E/PAF53, leading to decreased association of RNA polymerase I with the rDNA promoter region and coding region (PubMed : 24207024). Acetylates DDX21, thereby inhibiting DDX21 helicase activity (PubMed : 28790157). Acetylates FBL, preventing methylation of 'Gln-105' of histone H2A (H2AQ104me) (PubMed : 30540930). In addition to protein acetyltransferase, can use different acyl-CoA substrates, such as lactoyl-CoA, and is able to mediate protein lactylation (PubMed : 38128537). Catalyzes lactylation of MRE11 in response to DNA damage, thereby promoting DNA double-strand breaks (DSBs) via homologous recombination (HR) (PubMed : 38128537). Functions as a transcriptional coactivator for SMAD4 in the TGF-beta signaling pathway (PubMed : 25514493).
See full target information CREBBP

Publications (65)

Recent publications for all applications. Explore the full list and refine your search

Molecular & cellular proteomics : MCP 23:100741 PubMed38387774

2024

Selective Modulation of the Human Glucocorticoid Receptor Compromises GR Chromatin Occupancy and Recruitment of p300/CBP and the Mediator Complex.

Applications

Unspecified application

Species

Unspecified reactive species

Laura Van Moortel,Annick Verhee,Jonathan Thommis,René Houtman,Diana Melchers,Louis Delhaye,Chloé Van Leene,Madeleine Hellemans,Kris Gevaert,Sven Eyckerman,Karolien De Bosscher

Nature 617:386-394 PubMed37100912

2023

A druggable copper-signalling pathway that drives inflammation.

Applications

Unspecified application

Species

Unspecified reactive species

Stéphanie Solier,Sebastian Müller,Tatiana Cañeque,Antoine Versini,Arnaud Mansart,Fabien Sindikubwabo,Leeroy Baron,Laila Emam,Pierre Gestraud,G Dan Pantoș,Vincent Gandon,Christine Gaillet,Ting-Di Wu,Florent Dingli,Damarys Loew,Sylvain Baulande,Sylvère Durand,Valentin Sencio,Cyril Robil,François Trottein,David Péricat,Emmanuelle Näser,Céline Cougoule,Etienne Meunier,Anne-Laure Bègue,Hélène Salmon,Nicolas Manel,Alain Puisieux,Sarah Watson,Mark A Dawson,Nicolas Servant,Guido Kroemer,Djillali Annane,Raphaël Rodriguez

Pharmaceuticals (Basel, Switzerland) 16: PubMed36678613

2023

Metformin Induces Apoptosis in Human Pancreatic Cancer (PC) Cells Accompanied by Changes in the Levels of Histone Acetyltransferases (Particularly, p300/CBP-Associated Factor (PCAF) Protein Levels).

Applications

Unspecified application

Species

Unspecified reactive species

Izabela Szymczak-Pajor,Józef Drzewoski,Ewa Świderska,Justyna Strycharz,Anna Gabryanczyk,Jacek Kasznicki,Marta Bogdańska,Agnieszka Śliwińska

Bioengineering & translational medicine 7:e10394 PubMed36176599

2022

Extracellular matrix stiffness controls cardiac valve myofibroblast activation through epigenetic remodeling.

Applications

Unspecified application

Species

Unspecified reactive species

Cierra J Walker,Dilara Batan,Carrie T Bishop,Daniel Ramirez,Brian A Aguado,Megan E Schroeder,Claudia Crocini,Jessica Schwisow,Karen Moulton,Laura Macdougall,Robert M Weiss,Mary A Allen,Robin Dowell,Leslie A Leinwand,Kristi S Anseth

Cellular and molecular gastroenterology and hepatology 14:1177-1198 PubMed35987451

2022

cccDNA Surrogate MC-HBV-Based Screen Identifies Cohesin Complex as a Novel HBV Restriction Factor.

Applications

Unspecified application

Species

Unspecified reactive species

Zhuanchang Wu,Liyuan Wang,Xin Wang,Yang Sun,Haoran Li,Zhaoying Zhang,Caiyue Ren,Xiaohui Zhang,Shuangjie Li,Jinghui Lu,Leiqi Xu,Xuetian Yue,Yue Hong,Qiang Li,Haizhen Zhu,Yaoqin Gong,Chengjiang Gao,Huili Hu,Lifen Gao,Xiaohong Liang,Chunhong Ma

Cellular and molecular life sciences : CMLS 79:405 PubMed35802196

2022

LncRNA CRNDE hinders the progression of osteoarthritis by epigenetic regulation of DACT1.

Applications

Unspecified application

Species

Unspecified reactive species

Ziqi Zhang,Pei Yang,Chunsheng Wang,Run Tian

Oxidative medicine and cellular longevity 2022:8825784 PubMed35281474

2022

BMSC-EV-derived lncRNA NORAD Facilitates Migration, Invasion, and Angiogenesis in Osteosarcoma Cells by Regulating CREBBP Delivery of miR-877-3p.

Applications

Unspecified application

Species

Unspecified reactive species

Dapeng Feng,Zhengwei Li,Liang Yang,Haidong Liang,Hongtao He,Lin Liu,Wei Zhang

Heliyon 8:e08890 PubMed35198763

2022

Involvement of activator protein-1 family members in β-catenin and p300 association on the genome of PANC-1 cells.

Applications

Unspecified application

Species

Unspecified reactive species

Tomomitsu Doi,Hironori Hojo,Shinsuke Ohba,Kunie Obayashi,Motoyoshi Endo,Toshimasa Ishizaki,Akira Katoh,Hiroyuki Kouji

Nature communications 12:6060 PubMed34663789

2021

Inhibition of CBP synergizes with the RNA-dependent mechanisms of Azacitidine by limiting protein synthesis.

Applications

Unspecified application

Species

Unspecified reactive species

Jeannine Diesch,Marguerite-Marie Le Pannérer,René Winkler,Raquel Casquero,Matthias Muhar,Mark van der Garde,Michael Maher,Carolina Martínez Herráez,Joan J Bech-Serra,Michaela Fellner,Philipp Rathert,Nigel Brooks,Lurdes Zamora,Antonio Gentilella,Carolina de la Torre,Johannes Zuber,Katharina S Götze,Marcus Buschbeck

Cell death & disease 12:685 PubMed34238924

2021

ZFP36 protects lungs from intestinal I/R-induced injury and fibrosis through the CREBBP/p53/p21/Bax pathway.

Applications

Unspecified application

Species

Unspecified reactive species

Yongmei Cao,Weifeng Huang,Fang Wu,Jiawei Shang,Feng Ping,Wei Wang,Yingchuan Li,Xuan Zhao,Xiaoping Zhang
View all publications

Product promise

We are committed to supporting your work with high-quality reagents, and we're here for you every step of the way. In the unlikely event that one of our products does not perform as expected, you're protected by our Product Promise.
For full details, please see our Terms & Conditions

Please note: All products are 'FOR RESEARCH USE ONLY. NOT FOR USE IN DIAGNOSTIC OR THERAPEUTIC PROCEDURES'.

For licensing inquiries, please contact partnerships@abcam.com