JavaScript is disabled in your browser. Please enable JavaScript to view this website.
AB272397

Anti-CRF antibody [EPR23255-162] - BSA and Azide free

Be the first to review this product! Submit a review

|

(0 Publication)

Rabbit Recombinant Monoclonal CRF antibody. Carrier free. Suitable for IHC-Fr, IHC-P and reacts with Rat, Mouse samples.

View Alternative Names

Corticoliberin, Corticotropin-releasing factor, Corticotropin-releasing hormone, CRF, CRH

4 Images
Immunohistochemistry (Frozen sections) - Anti-CRF antibody [EPR23255-162] - BSA and Azide free (AB272397)
  • IHC-Fr

Unknown

Immunohistochemistry (Frozen sections) - Anti-CRF antibody [EPR23255-162] - BSA and Azide free (AB272397)

Immunohistochemical analysis of 4% PFA-fixed, 0.2% Triton X-100 permeabilized frozen rat hypothalamus tissue labeling CRF with ab272391 at /100 dilution followed by ab150077 AlexaFluor®488 Goat anti-Rabbit secondary at 1000 (2 μg/ml) dilution (Green). Positive staining on median eminence of rat hypothalamus is observed. The nuclear counterstain was DAPI (Blue).

Secondary antibody control : Secondary antibody is ab150077 AlexaFluor®488 Goat anti-Rabbit secondaryat 1000 (2 μg/ml) dilution.

Heat mediated antigen retrieval using sodium citrate buffer (10mM citrate pH 6.0 + 0.05% Tween-20).

This data was developed using the same antibody clone in a different buffer formulation containing PBS, BSA, glycerol, and sodium azide (ab272391).

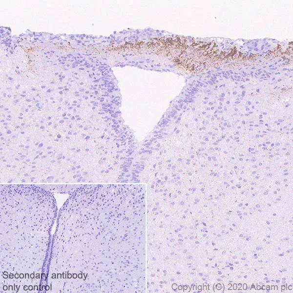
Immunohistochemistry (Formalin/PFA-fixed paraffin-embedded sections) - Anti-CRF antibody [EPR23255-162] - BSA and Azide free (AB272397)
  • IHC-P

Unknown

Immunohistochemistry (Formalin/PFA-fixed paraffin-embedded sections) - Anti-CRF antibody [EPR23255-162] - BSA and Azide free (AB272397)

Immunohistochemical analysis of paraffin-embedded rat hypothalamus tissue labeling CRF with ab272391 at 1/1000 dilution followed by a ready to use Rabbit specific IHC polymer detection kit HRP/DAB (ab209101). Positive staining on rat hypothalamus is observed (PMID : 28883467). The section was incubated with ab272391 for 30 mins at room temperature. The immunostaining was performed on a Leica Biosystems BOND® RX instrument. Counterstained with hematoxylin.

Secondary antibody only control : Secondary antibody is a ready to use Rabbit specific IHC polymer detection kit HRP/DAB (ab209101).

Heat mediated antigen retrieval with Tris-EDTA buffer (pH 9.0, epitope retrieval solution2) for 20 mins.

This data was developed using the same antibody clone in a different buffer formulation containing PBS, BSA, glycerol, and sodium azide (ab272391).

Immunohistochemistry (Frozen sections) - Anti-CRF antibody [EPR23255-162] - BSA and Azide free (AB272397)
  • IHC-Fr

Unknown

Immunohistochemistry (Frozen sections) - Anti-CRF antibody [EPR23255-162] - BSA and Azide free (AB272397)

Immunohistochemical analysis of 4% PFA-fixed, 0.2% Triton X-100 permeabilized frozen mouse hypothalamus tissue labeling CRF with ab272391 at /100 dilution followed by ab150077 AlexaFluor®488 Goat anti-Rabbit secondary at 1000 (2 μg/ml) dilution (Green). Positive staining on median eminence of mouse hypothalamus is observed. The nuclear counterstain was DAPI (Blue).

Secondary antibody control : Secondary antibody is ab150077 AlexaFluor®488 Goat anti-Rabbit secondaryat 1000 (2 μg/ml) dilution.

Heat mediated antigen retrieval using sodium citrate buffer (10mM citrate pH 6.0 + 0.05% Tween-20).

This data was developed using the same antibody clone in a different buffer formulation containing PBS, BSA, glycerol, and sodium azide (ab272391).

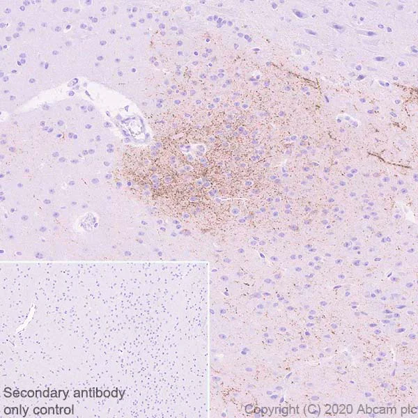
Immunohistochemistry (Formalin/PFA-fixed paraffin-embedded sections) - Anti-CRF antibody [EPR23255-162] - BSA and Azide free (AB272397)
  • IHC-P

Unknown

Immunohistochemistry (Formalin/PFA-fixed paraffin-embedded sections) - Anti-CRF antibody [EPR23255-162] - BSA and Azide free (AB272397)

Immunohistochemical analysis of paraffin-embedded mouse hypothalamus tissue labeling CRF with ab272391 at 1/1000 dilution followed by a ready to use Rabbit specific IHC polymer detection kit HRP/DAB (ab209101). Positive staining on mouse hypothalamus is observed (PMID : 23724107). The section was incubated with ab272391 for 30 mins at room temperature. The immunostaining was performed on a Leica Biosystems BOND® RX instrument. Counterstained with hematoxylin.

Secondary antibody only control : Secondary antibody is a ready to use Rabbit specific IHC polymer detection kit HRP/DAB (ab209101).

Heat mediated antigen retrieval with Tris-EDTA buffer (pH 9.0, epitope retrieval solution2) for 20 mins.

This data was developed using the same antibody clone in a different buffer formulation containing PBS, BSA, glycerol, and sodium azide (ab272391).

Key facts

Host species

Rabbit

Clonality

Monoclonal

Clone number

EPR23255-162

Isotype

IgG

Carrier free

Yes

Reacts with

Mouse, Rat

Applications

IHC-P, IHC-Fr

applications

Immunogen

The exact immunogen used to generate this antibody is proprietary information.

Reactivity data

{ "title": "Reactivity Data", "filters": { "stats": ["", "Species", "Dilution Info", "Notes"], "tabs": { "all-applications": {"fullname" : "All Applications", "shortname": "All Applications"}, "IHCFr" : {"fullname" : "Immunohistochemistry (Frozen sections)", "shortname":"IHC-Fr"}, "IHCP" : {"fullname" : "Immunohistochemistry (Formalin/PFA-fixed paraffin-embedded sections)", "shortname":"IHC-P"}, "WB" : {"fullname" : "Western blot", "shortname":"WB"}, "IP" : {"fullname" : "Immunoprecipitation", "shortname":"IP"} }, "product-promise": { "all": "all", "testedAndGuaranteed": "tested", "guaranteed": "expected", "predicted": "predicted", "notRecommended": "not-recommended" } }, "values": { "Human": { "IHCFr-species-checked": "notRecommended", "IHCFr-species-dilution-info": "", "IHCFr-species-notes": "", "IHCP-species-checked": "notRecommended", "IHCP-species-dilution-info": "", "IHCP-species-notes": "", "WB-species-checked": "notRecommended", "WB-species-dilution-info": "", "WB-species-notes": "<p></p>", "IP-species-checked": "notRecommended", "IP-species-dilution-info": "", "IP-species-notes": "" }, "Mouse": { "IHCFr-species-checked": "testedAndGuaranteed", "IHCFr-species-dilution-info": "", "IHCFr-species-notes": "<p></p>", "IHCP-species-checked": "testedAndGuaranteed", "IHCP-species-dilution-info": "", "IHCP-species-notes": "<p></p>", "WB-species-checked": "notRecommended", "WB-species-dilution-info": "", "WB-species-notes": "<p></p>", "IP-species-checked": "notRecommended", "IP-species-dilution-info": "", "IP-species-notes": "<p></p>" }, "Rat": { "IHCFr-species-checked": "testedAndGuaranteed", "IHCFr-species-dilution-info": "", "IHCFr-species-notes": "<p></p>", "IHCP-species-checked": "testedAndGuaranteed", "IHCP-species-dilution-info": "", "IHCP-species-notes": "<p></p>", "WB-species-checked": "notRecommended", "WB-species-dilution-info": "", "WB-species-notes": "<p></p>", "IP-species-checked": "notRecommended", "IP-species-dilution-info": "", "IP-species-notes": "<p></p>" } } }

Product details

ab272397 is the carrier-free version of ab272391.

Patented technology
Our RabMAb® technology is a patented hybridoma-based technology for making rabbit monoclonal antibodies. For details on our patents, please refer to RabMAb® patents.

What are the advantages of a recombinant monoclonal antibody?
This product is a recombinant monoclonal antibody, which offers several advantages including:

  • - High batch-to-batch consistency and reproducibility
  • - Improved sensitivity and specificity
  • - Long-term security of supply
  • - Animal-free batch production

For more information, read more on recombinant antibodies.

Conjugation ready
Our carrier-free antibodies are typically supplied in a PBS-only formulation, purified and free of BSA, sodium azide and glycerol. This conjugation-ready format is designed for use with fluorochromes, metal isotopes, oligonucleotides, and enzymes, which makes them ideal for antibody labelling, functional and cell-based assays, flow-based assays (e.g. mass cytometry) and Multiplex Imaging applications.

Use our conjugation kits for antibody conjugates that are ready-to-use in as little as 20 minutes with 1 minute hands-on-time and 100% antibody recovery: available for fluorescent dyes, HRP, biotin and gold.

Compatibility
This product is compatible with the Maxpar® Antibody Labeling Kit from Fluidigm, without the need for antibody preparation. Maxpar® is a trademark of Fluidigm Canada Inc.

Properties and storage information

Form
Liquid
Purification technique
Affinity purification Protein A
Storage buffer
pH: 7.2 - 7.4 Constituents: PBS
Shipped at conditions
Blue Ice
Appropriate short-term storage conditions
+4°C
Appropriate long-term storage conditions
+4°C
Storage information
Do Not Freeze

Supplementary information

This supplementary information is collated from multiple sources and compiled automatically.

Corticotropin-releasing factor (CRF) also known as corticotropin-releasing hormone (CRH) is a peptide hormone involved in the stress response. This protein with a mass of approximately 41 kDa is predominantly produced in the hypothalamus and later secreted into the bloodstream. CRF plays an important role in activating the hypothalamic-pituitary-adrenal (HPA) axis stimulating the secretion of adrenocorticotropic hormone (ACTH) from the anterior pituitary gland. Its expression extends beyond the hypothalamus being present in peripheral tissues such as the adrenal glands and gastrointestinal tract.
Biological function summary

Corticotropin-releasing factor functions as a central coordinator of the body's response to stress. CRF engages several receptors including CRF receptors type 1 and 2 which mediate its actions. It forms part of a larger complex involving several other binding proteins that regulate its availability and receptor affinity. By interacting with these receptors CRF modulates diverse physiological processes such as immune responses and energy balance ensuring the maintenance of homeostasis under stress conditions.

Pathways

Corticotropin-releasing factor orchestrates important signaling within the hypothalamic-pituitary-adrenal (HPA) axis and the stress response pathways. CRF is pivotal in the activation of various signaling cascades that influence the production of glucocorticoids like cortisol. Within these pathways CRF interacts closely with proteins such as ACTH which acts downstream of CRF to potentiate adrenal corticosteroid synthesis. Another related cascade involves CRF in neuroendocrine signaling affecting neurotransmitter release and influencing behaviors related to stress and anxiety.

Corticotropin-releasing factor is heavily implicated in depression and anxiety disorders. Alterations in CRF expression and receptor sensitivity have been associated with the pathophysiology of these conditions. For instance abnormal CRF signaling can lead to elevated stress hormone levels contributing to mood disorders. CRF also connects to proteins like the glucocorticoid receptor influencing how the body processes stress-related hormones and impacting the development and progression of stress-related psychiatric disorders.

Product protocols

For this product, it's our understanding that no specific protocols are required. You can visit:

Target data

Hormone regulating the release of corticotropin from pituitary gland (By similarity). Induces NLRP6 in intestinal epithelial cells, hence may influence gut microbiota profile (By similarity).
See full target information Corticoliberin

Product promise

We are committed to supporting your work with high-quality reagents, and we're here for you every step of the way. In the unlikely event that one of our products does not perform as expected, you're protected by our Product Promise.
For full details, please see our Terms & Conditions

Please note: All products are 'FOR RESEARCH USE ONLY. NOT FOR USE IN DIAGNOSTIC OR THERAPEUTIC PROCEDURES'.

For licensing inquiries, please contact partnerships@abcam.com