JavaScript is disabled in your browser. Please enable JavaScript to view this website.
AB150561

Anti-CRF1/CRHR1 antibody

5

(2 Reviews)

|

(2 Publications)

Rabbit Polyclonal CRF1/CRHR1 antibody. Suitable for IHC-P and reacts with Rat, Human samples. Cited in 2 publications. Immunogen corresponding to Synthetic Peptide within Human CRHR1.

View Alternative Names

CRFR, CRFR1, CRHR, CRHR1, Corticotropin-releasing factor receptor 1, CRF-R-1, CRF-R1, CRFR-1, Corticotropin-releasing hormone receptor 1, CRH-R-1, CRH-R1

2 Images
Immunohistochemistry (Formalin/PFA-fixed paraffin-embedded sections) - Anti-CRF1/CRHR1 antibody (AB150561)
  • IHC-P

Unknown

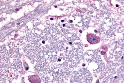
Immunohistochemistry (Formalin/PFA-fixed paraffin-embedded sections) - Anti-CRF1/CRHR1 antibody (AB150561)

Immunohistochemical analysis of formalin-fixed, paraffin-embedded rat hypothalamus tissue, labeling CRF1/CRHR1 using ab150561 at 21 μg/ml.

Immunohistochemistry (Formalin/PFA-fixed paraffin-embedded sections) - Anti-CRF1/CRHR1 antibody (AB150561)
  • IHC-P

Unknown

Immunohistochemistry (Formalin/PFA-fixed paraffin-embedded sections) - Anti-CRF1/CRHR1 antibody (AB150561)

Immunohistochemical analysis of formalin-fixed, paraffin-embedded Human brain, neurons and glia, tissue, labeling CRF1/CRHR1 using ab150561 at 21 μg/ml.

Key facts

Host species

Rabbit

Clonality

Polyclonal

Isotype

IgG

Carrier free

No

Reacts with

Rat, Human

Applications

IHC-P

applications

Immunogen

Synthetic Peptide within Human CRHR1. The exact immunogen used to generate this antibody is proprietary information.

P34998

Specificity

BLAST analysis of the peptide immunogen showed no homology with other human proteins.

Reactivity data

{ "title": "Reactivity Data", "filters": { "stats": ["", "Species", "Dilution Info", "Notes"], "tabs": { "all-applications": {"fullname" : "All Applications", "shortname": "All Applications"}, "IHCP" : {"fullname" : "Immunohistochemistry (Formalin/PFA-fixed paraffin-embedded sections)", "shortname":"IHC-P"} }, "product-promise": { "all": "all", "testedAndGuaranteed": "tested", "guaranteed": "expected", "predicted": "predicted", "notRecommended": "not-recommended" } }, "values": { "Human": { "IHCP-species-checked": "testedAndGuaranteed", "IHCP-species-dilution-info": "21 µg/mL", "IHCP-species-notes": "<p></p> Perform heat-mediated antigen retrieval with citrate buffer pH 6 before commencing with IHC staining protocol." }, "Mouse": { "IHCP-species-checked": "predicted", "IHCP-species-dilution-info": "", "IHCP-species-notes": "" }, "Rat": { "IHCP-species-checked": "testedAndGuaranteed", "IHCP-species-dilution-info": "21 µg/mL", "IHCP-species-notes": "<p></p> Perform heat-mediated antigen retrieval with citrate buffer pH 6 before commencing with IHC staining protocol." }, "Common marmoset": { "IHCP-species-checked": "predicted", "IHCP-species-dilution-info": "", "IHCP-species-notes": "" }, "Elephant": { "IHCP-species-checked": "predicted", "IHCP-species-dilution-info": "", "IHCP-species-notes": "" }, "Gorilla": { "IHCP-species-checked": "predicted", "IHCP-species-dilution-info": "", "IHCP-species-notes": "" }, "Hamster": { "IHCP-species-checked": "predicted", "IHCP-species-dilution-info": "", "IHCP-species-notes": "" }, "Horse": { "IHCP-species-checked": "predicted", "IHCP-species-dilution-info": "", "IHCP-species-notes": "" }, "Monkey": { "IHCP-species-checked": "predicted", "IHCP-species-dilution-info": "", "IHCP-species-notes": "" } } }

Properties and storage information

Form
Liquid
Purification technique
Affinity purification Immunogen
Storage buffer
pH: 7.4 Preservative: 0.1% Sodium azide Constituents: 99% PBS
Shipped at conditions
Blue Ice
Appropriate short-term storage conditions
+4°C
Appropriate long-term storage conditions
-20°C

Supplementary information

This supplementary information is collated from multiple sources and compiled automatically.

CRF1 also known as CRHR1 is a receptor for corticotropin-releasing factor (CRF) a peptide hormone involved in stress response. This receptor is a G protein-coupled receptor with a mass of approximately 50 kDa. CRHR1 is expressed in the central nervous system especially in the brain regions like the cortex and the cerebellum. It can also be found in peripheral tissues like the pituitary gland. Its localization is important because it is involved in mediating the effects of CRF across various tissues.
Biological function summary

CRHR1 plays a significant role in stress-related responses and is involved in the modulation of the hypothalamic-pituitary-adrenal (HPA) axis. When CRF binds to this receptor it triggers the release of adrenocorticotropic hormone (ACTH) from the pituitary gland. CRHR1 is also part of the CRF receptor family complex which includes CRHR2 another receptor with similar functions. The interaction with CRF can initiate various signaling pathways further affecting physiological responses to stress.

Pathways

CRHR1 integrates into the HPA axis pathway as well as the cyclic AMP (cAMP) signaling pathway. In the HPA pathway CRHR1's activation leads to the secretion of ACTH ultimately resulting in cortisol production by the adrenal glands. The cAMP-responsive element-binding protein (CREB) may become activated in response to CRHR1 modulation influencing gene expression and cellular response to stress. The CRHR1 receptor therefore plays a critical role in these pathways by linking stress signals to hormonal and behavioral changes.

CRHR1 has a strong connection to stress-related conditions such as depression and anxiety. Dysregulation in CRHR1 signaling can lead to altered HPA axis functioning which contributes to the development of these disorders. Stress-induced activation of CRHR1 is associated with increased levels of cortisol which is commonly seen in individuals with depression. Furthermore CRHR1 interacts closely with other proteins like the glucocorticoid receptor (GR) which also play a part in these psychiatric conditions indicating a complex network of interactions that govern stress responses.

Product protocols

For this product, it's our understanding that no specific protocols are required. You can visit:

Target data

G-protein coupled receptor for CRH (corticotropin-releasing factor) and UCN (urocortin). Has high affinity for CRH and UCN. Ligand binding causes a conformation change that triggers signaling via guanine nucleotide-binding proteins (G proteins) and down-stream effectors, such as adenylate cyclase. Promotes the activation of adenylate cyclase, leading to increased intracellular cAMP levels. Inhibits the activity of the calcium channel CACNA1H. Required for normal embryonic development of the adrenal gland and for normal hormonal responses to stress. Plays a role in the response to anxiogenic stimuli.
See full target information CRHR1

Publications (2)

Recent publications for all applications. Explore the full list and refine your search

International journal of molecular sciences 24: PubMed36674967

2023

Diclofenac Disrupts the Circadian Clock and through Complex Cross-Talks Aggravates Immune-Mediated Liver Injury-A Repeated Dose Study in Minipigs for 28 Days.

Applications

Unspecified application

Species

Unspecified reactive species

Saravanakumar Selvaraj,Jung-Hwa Oh,Seokjoo Yoon,Jürgen Borlak

Journal of morphology 281:710-724 PubMed32378736

2020

Early and natural embryonic death in Lagostomus maximus: Association with the uterine glands, vasculature, and musculature.

Applications

Unspecified application

Species

Unspecified reactive species

Francisco Acuña,Claudio G Barbeito,Enrique L Portiansky,Guadalupe Ranea,Fabian Nishida,María A Miglino,Mirta A Flamini
View all publications

Product promise

We are committed to supporting your work with high-quality reagents, and we're here for you every step of the way. In the unlikely event that one of our products does not perform as expected, you're protected by our Product Promise.
For full details, please see our Terms & Conditions

Please note: All products are 'FOR RESEARCH USE ONLY. NOT FOR USE IN DIAGNOSTIC OR THERAPEUTIC PROCEDURES'.

For licensing inquiries, please contact partnerships@abcam.com