JavaScript is disabled in your browser. Please enable JavaScript to view this website.
AB150510

Anti-CRHR2 antibody

5

(1 Review)

|

(2 Publications)

Rabbit Polyclonal CRHR2 antibody. Suitable for IHC-P and reacts with Human samples. Cited in 2 publications. Immunogen corresponding to Synthetic Peptide within Human CRHR2.

View Alternative Names

CRF2R, CRH2R, CRHR2, Corticotropin-releasing factor receptor 2, CRF-R-2, CRF-R2, CRFR-2, Corticotropin-releasing hormone receptor 2, CRH-R-2, CRH-R2

1 Images
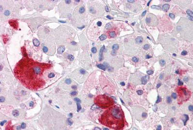
Immunohistochemistry (Formalin/PFA-fixed paraffin-embedded sections) - Anti-CRHR2 antibody (AB150510)
  • IHC-P

Unknown

Immunohistochemistry (Formalin/PFA-fixed paraffin-embedded sections) - Anti-CRHR2 antibody (AB150510)

Immunohistochemistry of formalin-fixed, paraffin-embedded Human brain, pituitary labelling CRHR2 with ab150510 at 8 μg/ml.

Key facts

Host species

Rabbit

Clonality

Polyclonal

Isotype

IgG

Carrier free

No

Reacts with

Human

Applications

IHC-P

applications

Immunogen

Synthetic Peptide within Human CRHR2. The exact immunogen used to generate this antibody is proprietary information.

Q13324

Specificity

BLAST analysis of the peptide immunogen showed no homology with other Human proteins.

Reactivity data

{ "title": "Reactivity Data", "filters": { "stats": ["", "Species", "Dilution Info", "Notes"], "tabs": { "all-applications": {"fullname" : "All Applications", "shortname": "All Applications"}, "IHCP" : {"fullname" : "Immunohistochemistry (Formalin/PFA-fixed paraffin-embedded sections)", "shortname":"IHC-P"} }, "product-promise": { "all": "all", "testedAndGuaranteed": "tested", "guaranteed": "expected", "predicted": "predicted", "notRecommended": "not-recommended" } }, "values": { "Human": { "IHCP-species-checked": "testedAndGuaranteed", "IHCP-species-dilution-info": "8 µg/mL", "IHCP-species-notes": "<p></p> Perform heat-mediated antigen retrieval before commencing with IHC staining protocol." }, "Mouse": { "IHCP-species-checked": "predicted", "IHCP-species-dilution-info": "", "IHCP-species-notes": "" }, "Common marmoset": { "IHCP-species-checked": "predicted", "IHCP-species-dilution-info": "", "IHCP-species-notes": "" }, "Cow": { "IHCP-species-checked": "predicted", "IHCP-species-dilution-info": "", "IHCP-species-notes": "" }, "Dog": { "IHCP-species-checked": "predicted", "IHCP-species-dilution-info": "", "IHCP-species-notes": "" }, "Elephant": { "IHCP-species-checked": "predicted", "IHCP-species-dilution-info": "", "IHCP-species-notes": "" }, "Gorilla": { "IHCP-species-checked": "predicted", "IHCP-species-dilution-info": "", "IHCP-species-notes": "" }, "Horse": { "IHCP-species-checked": "predicted", "IHCP-species-dilution-info": "", "IHCP-species-notes": "" }, "Monkey": { "IHCP-species-checked": "predicted", "IHCP-species-dilution-info": "", "IHCP-species-notes": "" }, "Pig": { "IHCP-species-checked": "predicted", "IHCP-species-dilution-info": "", "IHCP-species-notes": "" }, "Rabbit": { "IHCP-species-checked": "predicted", "IHCP-species-dilution-info": "", "IHCP-species-notes": "" } } }

Properties and storage information

Form
Liquid
Purification technique
Affinity purification Immunogen
Storage buffer
pH: 7.4 Preservative: 0.1% Sodium azide Constituents: 99% PBS
Shipped at conditions
Blue Ice
Appropriate short-term storage conditions
+4°C
Appropriate long-term storage conditions
-20°C
Storage information
Avoid freeze / thaw cycle

Supplementary information

This supplementary information is collated from multiple sources and compiled automatically.

Corticotropin-releasing hormone receptor 2 (CRHR2) also known as CRF2 receptor is a protein encoded by the CRHR2 gene. Mechanically CRHR2 functions by binding to corticotropin-releasing hormone (CRH) and related peptides leading to activation of intracellular signaling pathways. This receptor is a member of the G protein-coupled receptor family and is approximately 47 kDa in mass. CRHR2 is expressed in diverse tissues prominently in the brain heart gastrointestinal tract and skeletal muscle.
Biological function summary

The receptor regulates stress-related and homeostatic functions. It plays a significant role in mediating the effects of CRH and urocortins on the central nervous system and peripheral tissues. The receptor contributes to managing anxiety cardiovascular function gastric motility and energy homeostasis. Although CRHR2 does not form a part of a larger complex it closely interacts with other neuropeptides and their receptors to maintain physiological balance.

Pathways

CRHR2 is integrated into important signaling networks like the hypothalamic-pituitary-adrenal (HPA) axis and the stress response pathway. In these pathways CRHR2 influences cortisol release and modulates stress responses. Related proteins include CRHR1 which also binds CRH facilitating modulation of adaptive responses to stress. Additionally CRHR2 interacts with intracellular proteins that regulate signal transduction cascades linked to mood regulation and anxiety management.

CRHR2 has associations with conditions like depression and cardiovascular diseases. Elevated or altered activity of CRHR2 can affect mood regulation pathways leading to an increased risk of depression. The receptor's role in cardiovascular regulation links it to heart diseases where altered signaling can impact heart rate and blood pressure. CRHR2 is associated with proteins such as CRH which can jointly influence the susceptibility to these disorders by modulating stress and cardiovascular responses.

Product protocols

For this product, it's our understanding that no specific protocols are required. You can visit:

Target data

G-protein coupled receptor for CRH (corticotropin-releasing factor), UCN (urocortin), UCN2 and UCN3. Has high affinity for UCN. Ligand binding causes a conformation change that triggers signaling via guanine nucleotide-binding proteins (G proteins) and down-stream effectors, such as adenylate cyclase. Promotes the activation of adenylate cyclase, leading to increased intracellular cAMP levels.
See full target information CRHR2

Publications (2)

Recent publications for all applications. Explore the full list and refine your search

Scientific reports 9:19169 PubMed31844086

2019

Dysregulation of bladder corticotropin-releasing hormone receptor in the pathogenesis of human interstitial cystitis/bladder pain syndrome.

Applications

Unspecified application

Species

Unspecified reactive species

Jia-Fong Jhang,Lori A Birder,Yuan-Hong Jiang,Yung-Hsiang Hsu,Han-Chen Ho,Hann-Chorng Kuo

American journal of physiology. Regulatory, integr 315:R1167-R1182 PubMed30230933

2018

Hypoxia activates a neuropeptidergic pathway from the paraventricular nucleus of the hypothalamus to the nucleus tractus solitarii.

Applications

Unspecified application

Species

Unspecified reactive species

Brian C Ruyle,Paula J Klutho,Christopher P Baines,Cheryl M Heesch,Eileen M Hasser
View all publications

Product promise

We are committed to supporting your work with high-quality reagents, and we're here for you every step of the way. In the unlikely event that one of our products does not perform as expected, you're protected by our Product Promise.
For full details, please see our Terms & Conditions

Associated Products

Select an associated product type
Alternative Product
Primary Antibodies

AB236982

Anti-CRHR2 antibody

primary-antibodies

crhr2-antibody-ab236982

0

(1 reviews)

Please note: All products are 'FOR RESEARCH USE ONLY. NOT FOR USE IN DIAGNOSTIC OR THERAPEUTIC PROCEDURES'.

For licensing inquiries, please contact partnerships@abcam.com