JavaScript is disabled in your browser. Please enable JavaScript to view this website.
AB189380

Anti-CRISPR-Cas9 antibody [EPR18991]

4

(1 Review)

|

(14 Publications)

Anti-CRISPR-Cas9 antibody [EPR18991] (ab189380) is a rabbit monoclonal antibody detecting CRISPR-Cas9 in Western Blot, Flow Cytometry (Intra), IHC-P, ICC/IF.

- Biophysical QC for unrivalled batch-batch consistency

View Alternative Names

csn1, SPy_1046, cas9, CRISPR-associated endonuclease Cas9/Csn1, SpCas9, SpyCas9, CRISPR-Cas9/Csn1, CRISPR-associated endonuclease Cas9/Csn1, SpyCas9

10 Images
Immunocytochemistry/ Immunofluorescence - Anti-CRISPR-Cas9 antibody [EPR18991] (AB189380)
  • ICC/IF

Supplier Data

Immunocytochemistry/ Immunofluorescence - Anti-CRISPR-Cas9 antibody [EPR18991] (AB189380)

Immunofluorescent analysis of 4% paraformaldehyde-fixed, 0.1% Triton X-100 permeabilized 293T (Human epithelial cell line from embryonic kidney) cells transfected with CRISPR-Cas9-GFP or GFP only, labeling CRISPR-Cas9 with ab189380 at 1/500 dilution, followed by Goat anti-rabbit IgG (Alexa Fluor® 647) (ab150079) secondary antibody at 1/1000 dilution.

Confocal image showing positive staining on 293T cells transfected with CRISPR-Cas9 with GFP-tag.

The nuclear counterstain is DAPI (blue).

Tubulin is detected with ab7291 (anti-Tubulin mouse mAb) at 1/1000 dilution and ab150120 (Alexa Fluor® 594 Goat anti-Mouse secondary) at 1/1000 dilution (red).

The negative controls are as follows : -

-ve control 1 : ab189380 at 1/500 dilution followed by ab150120 (Alexa Fluor® 594 Goat anti-Mouse secondary) at 1/1000 dilution.

-ve control 2 : ab7291 (anti-Tubulin mouse mAb) at 1/1000 dilution followed by ab150079 (Alexa Fluor® 647 Goat Anti-Rabbit IgG H&L) at 1/1000 dilution.

Flow Cytometry (Intracellular) - Anti-CRISPR-Cas9 antibody [EPR18991] (AB189380)
  • Flow Cyt (Intra)

Lab

Flow Cytometry (Intracellular) - Anti-CRISPR-Cas9 antibody [EPR18991] (AB189380)

Intracellular Flow Cytometry analysis of HEK-293 (Human epithelial cell line from embryonic kidney) whole cell lysate (transfected with CRISPR-Cas9 (Q99ZW2, Streptococcus pyogenes serotype M1) with GFP-Myc tag) labelling CRISPR-Cas9 (red) with ab189380 at dilution of 1/70. The secondary antibody used was Alexa Fluorr® 488 goat-anti-rabbit IgG (1/2000). Cells were fixed with 4% paraformaldehyde. Isotype control antibody was (ab172730) Rabbit monoclonal IgG (black).

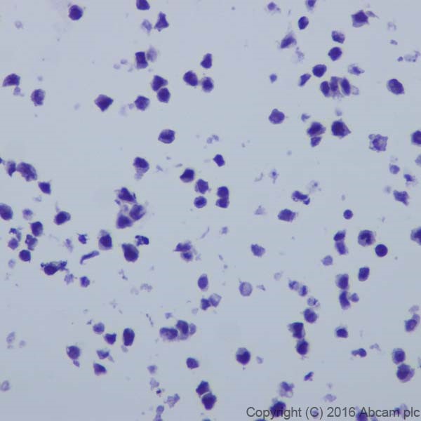
Immunocytochemistry - Anti-CRISPR-Cas9 antibody [EPR18991] (AB189380)
  • ICC

Supplier Data

Immunocytochemistry - Anti-CRISPR-Cas9 antibody [EPR18991] (AB189380)

Immunocytochemical analysis of agarose-embedded sections of 293T (Human epithelial cell line from embryonic kidney) cells transfected with Streptococcus pyogenes serotype M1 Cas9 (pcDNA3.1(+)-GFP-Myc) labeling CRISPR-Cas9 with ab189380 at 1/100 dilution, followed by Goat Anti-Rabbit IgG H&L (HRP) (ab97051) at 1/500 dilution.

Positive staining on 293T cells transfected with Streptococcus pyogenes serotype M1 Cas9 (pcDNA3.1(+)-GFP-Myc) is observed.

Counter stained with Hematoxylin.

Secondary antibody only control : Used PBS instead of primary antibody, secondary antibody is Goat Anti-Rabbit IgG H&L (HRP) (ab97051) at 1/500 dilution.

Immunohistochemistry (Formalin/PFA-fixed paraffin-embedded sections) - Anti-CRISPR-Cas9 antibody [EPR18991] (AB189380)
  • IHC-P

Supplier Data

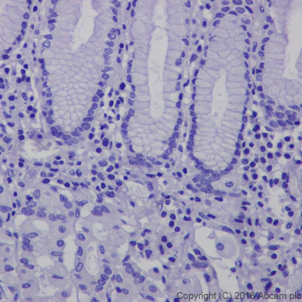
Immunohistochemistry (Formalin/PFA-fixed paraffin-embedded sections) - Anti-CRISPR-Cas9 antibody [EPR18991] (AB189380)

Immunohistochemical analysis of paraffin-embedded Human stomach tissue labeling CRISPR-Cas9 with ab189380 at 1/100 dilution, followed by Goat Anti-Rabbit IgG H&L (HRP) (ab97051) at 1/500 dilution.

No staining on Human stomach is observed.

Counter stained with Hematoxylin.

Perform heat mediated antigen retrieval with Tris/EDTA buffer pH 9.0 before commencing with IHC staining protocol.

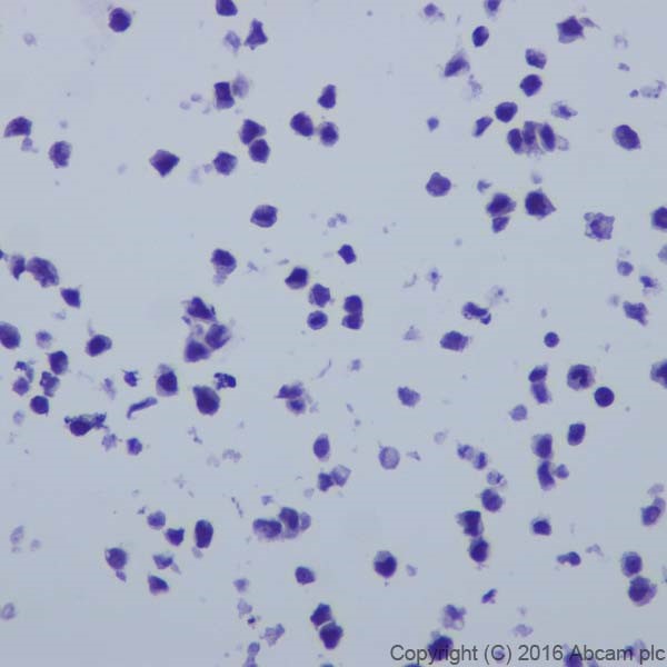
Immunocytochemistry - Anti-CRISPR-Cas9 antibody [EPR18991] (AB189380)
  • ICC

Supplier Data

Immunocytochemistry - Anti-CRISPR-Cas9 antibody [EPR18991] (AB189380)

Immunocytochemical analysis of agarose-embedded sections of 293T (Human epithelial cell line from embryonic kidney) cells transfected with blank pcDNA3.1(+)-GFP-Myc vector labeling CRISPR-Cas9 with ab189380 at 1/100 dilution, followed by Goat Anti-Rabbit IgG H&L (HRP) (ab97051) at 1/500 dilution.

Negative on 293T cells transfected with blank pcDNA3.1(+)-GFP-Myc vector.

Counter stained with Hematoxylin.

Immunohistochemistry (Formalin/PFA-fixed paraffin-embedded sections) - Anti-CRISPR-Cas9 antibody [EPR18991] (AB189380)
  • IHC-P

Supplier Data

Immunohistochemistry (Formalin/PFA-fixed paraffin-embedded sections) - Anti-CRISPR-Cas9 antibody [EPR18991] (AB189380)

Immunohistochemical analysis of paraffin-embedded Mouse stomach tissue labeling CRISPR-Cas9 with ab189380 at 1/100 dilution, followed by Goat Anti-Rabbit IgG H&L (HRP) (ab97051) at 1/500 dilution.

No staining on mouse stomach is observed.

Counter stained with Hematoxylin.

Perform heat mediated antigen retrieval with Tris/EDTA buffer pH 9.0 before commencing with IHC staining protocol.

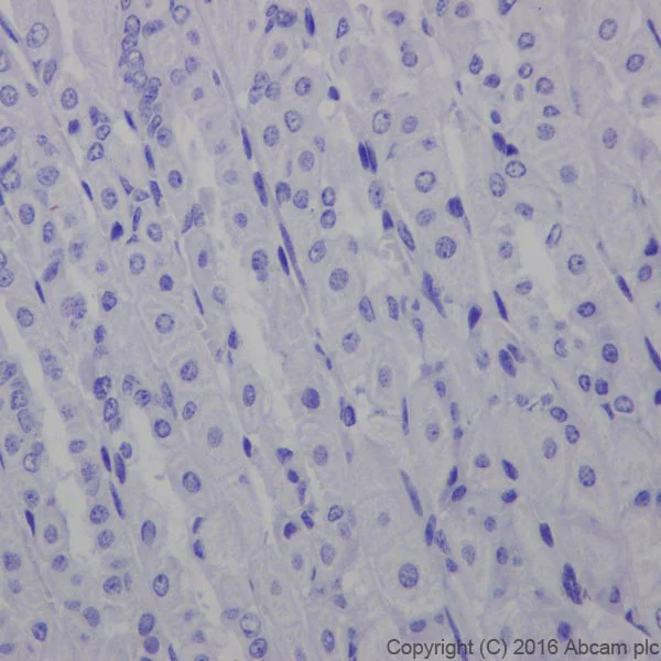
Immunohistochemistry (Formalin/PFA-fixed paraffin-embedded sections) - Anti-CRISPR-Cas9 antibody [EPR18991] (AB189380)
  • IHC-P

Supplier Data

Immunohistochemistry (Formalin/PFA-fixed paraffin-embedded sections) - Anti-CRISPR-Cas9 antibody [EPR18991] (AB189380)

Immunohistochemical analysis of paraffin-embedded Rat cerebrum tissue labeling CRISPR-Cas9 with ab189380 at 1/100 dilution, followed by Goat Anti-Rabbit IgG H&L (HRP) (ab97051) at 1/500 dilution.

No staining on rat cerebrum is observed.

Counter stained with Hematoxylin.

Perform heat mediated antigen retrieval with Tris/EDTA buffer pH 9.0 before commencing with IHC staining protocol.

Western blot - Anti-CRISPR-Cas9 antibody [EPR18991] (AB189380)
  • WB

Supplier Data

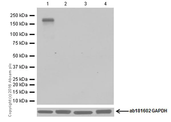
Western blot - Anti-CRISPR-Cas9 antibody [EPR18991] (AB189380)

Blocking/Dilution buffer : 5% NFDM/TBST.

All lanes:

Western blot - Anti-CRISPR-Cas9 antibody [EPR18991] (ab189380) at 1/20000 dilution

Lane 1:

HEK-293 (Human epithelial cell line from embryonic kidney) whole cell lysate transfected with CRISPR-Cas9 (Q99ZW2, Streptococcus pyogenes serotype M1) with GFP-Myc tag at 20 µg

Lane 2:

HeLa (Human epithelial cell line from cervix adenocarcinoma) whole cell lysate at 20 µg

Lane 3:

NIH/3T3 (Mouse embryonic fibroblast cell line) whole cell lysate at 20 µg

Lane 4:

Rat embryo lysate at 20 µg

Secondary

All lanes:

Western blot - Goat Anti-Rabbit IgG H&L (HRP) (<a href='/en-us/products/secondary-antibodies/goat-rabbit-igg-h-l-hrp-ab97051'>ab97051</a>) at 1/100000 dilution

Predicted band size: 158 kDa

Observed band size: 184 kDa

false

Exposure time: 10s

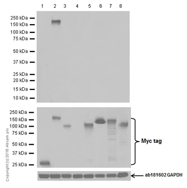
Western blot - Anti-CRISPR-Cas9 antibody [EPR18991] (AB189380)
  • WB

Unknown

Western blot - Anti-CRISPR-Cas9 antibody [EPR18991] (AB189380)

Blocking/Dilution buffer : 5% NFDM/TBST.

All lanes:

Western blot - Anti-CRISPR-Cas9 antibody [EPR18991] (ab189380) at 1/20000 dilution

Lane 1:

Empty vector with GFP-Myc tag (vector control) transfected HEK-293 (Human epithelial cell line from embryonic kidney) whole cell lysate at 20 µg

Lane 2:

HEK-293 (Human epithelial cell line from embryonic kidney) whole cell lysate transfected with CRISPR-Cas9 (Q99ZW2, Streptococcus pyogenes serotype M1) with GFP-Myc tag at 20 µg

Lane 3:

HEK-293 (Human epithelial cell line from embryonic kidney) whole cell lysate transfected with CRISPR-Cas9 (G3ECR1, Streptococcus thermophilus, N–terminal aa1-800) with GFP-Myc tag at 20 µg

Lane 4:

Empty vector with Myc-His tag (vector control) transfected HEK-293 (Human epithelial cell line from embryonic kidney) whole cell lysate at 20 µg

Lane 5:

HEK-293 (Human epithelial cell line from embryonic kidney) whole cell lysate transfected with CRISPR-Cas9 (A1IQ68, Neisseria meningitidis serogroup A / serotype 4A (strain Z2491)) with Myc-His tag at 20 µg

Lane 6:

HEK-293 (Human epithelial cell line from embryonic kidney) whole cell lysate transfected with CRISPR-Cas9 (G3ECR1, Streptococcus thermophilus) with Myc-His tag at 20 µg

Lane 7:

HEK-293 (Human epithelial cell line from embryonic kidney) whole cell lysate transfected with CRISPR-Cas9 (Q03JI6, Streptococcus thermophilus (strain ATCC BAA-491 / LMD-9)) with Myc-His tag at 20 µg

Lane 8:

HEK-293 (Human epithelial cell line from embryonic kidney) whole cell lysate transfected with CRISPR-Cas9 (J7RUA5, Staphylococcus aureus subsp. aureus) with Myc-His tag at 20 µg

Secondary

All lanes:

Western blot - Goat Anti-Rabbit IgG H&L (HRP) (<a href='/en-us/products/secondary-antibodies/goat-rabbit-igg-h-l-hrp-ab97051'>ab97051</a>) at 1/100000 dilution

Predicted band size: 158 kDa

Observed band size: 184 kDa

false

Exposure time: 3s

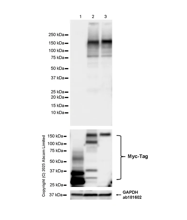
Western blot - Anti-CRISPR-Cas9 antibody [EPR18991] (AB189380)
  • WB

Lab

Western blot - Anti-CRISPR-Cas9 antibody [EPR18991] (AB189380)

Blocking and diluting buffer and concentration : 5% NFDM/TBST.

All lanes:

Western blot - Anti-CRISPR-Cas9 antibody [EPR18991] (ab189380) at 1/1000 dilution

Lane 1:

HEK-293 (Human epithelial cell line from embryonic kidney) cells transfected with an empty vector containing a Myc-Tag, whole cell lysate at 20 µg

Lane 2:

HEK-293 cells transfected with CRISPR-Cas9 (Q99ZW2, Streptococcus pyogenes serotype M1) containing a Myc-Tag, whole cell lysate at 20 µg

Lane 3:

HEK-293 cells transfected with Cas9/Csn1 point mutation (D10A and H840A) [dCas9] containing a Myc-Tag, whole cell lysate at 20 µg

Secondary

All lanes:

Western blot - Goat Anti-Rabbit IgG H&L (HRP) (<a href='/en-us/products/secondary-antibodies/goat-rabbit-igg-h-l-hrp-ab97051'>ab97051</a>) at 1/100000 dilution

Observed band size: 158 kDa

false

Exposure time: 4s

  • Carrier free

    Anti-CRISPR-Cas9 antibody [EPR18991] - BSA and Azide free

  • 519 Alexa Fluor® 488

    Alexa Fluor® 488 Anti-CRISPR-Cas9 antibody [EPR18991]

  • 665 Alexa Fluor® 647

    Alexa Fluor® 647 Anti-CRISPR-Cas9 antibody [EPR18991]

  • HRP

    HRP Anti-CRISPR-Cas9 antibody [EPR18991]

Key facts

Host species

Rabbit

Clonality

Monoclonal

Clone number

EPR18991

Isotype

IgG

Carrier free

No

Applications

ICC, ICC/IF, IHC-P, WB, Flow Cyt (Intra)

applications

Immunogen

The exact immunogen used to generate this antibody is proprietary information.

Reactivity data

{ "title": "Reactivity Data", "filters": { "stats": ["", "Species", "Dilution Info", "Notes"], "tabs": { "all-applications": {"fullname" : "All Applications", "shortname": "All Applications"}, "ICC" : {"fullname" : "Immunocytochemistry", "shortname":"ICC"}, "WB" : {"fullname" : "Western blot", "shortname":"WB"}, "ICCIF" : {"fullname" : "Immunocytochemistry/ Immunofluorescence", "shortname":"ICC/IF"}, "FlowCytIntra" : {"fullname" : "Flow Cytometry (Intracellular)", "shortname":"Flow Cyt (Intra)"}, "IHCP" : {"fullname" : "Immunohistochemistry (Formalin/PFA-fixed paraffin-embedded sections)", "shortname":"IHC-P"} }, "product-promise": { "all": "all", "testedAndGuaranteed": "tested", "guaranteed": "expected", "predicted": "predicted", "notRecommended": "not-recommended" } }, "values": { "Streptococcus pyogenes": { "ICC-species-checked": "predicted", "ICC-species-dilution-info": "", "ICC-species-notes": "", "WB-species-checked": "predicted", "WB-species-dilution-info": "", "WB-species-notes": "", "ICCIF-species-checked": "predicted", "ICCIF-species-dilution-info": "", "ICCIF-species-notes": "", "FlowCytIntra-species-checked": "predicted", "FlowCytIntra-species-dilution-info": "", "FlowCytIntra-species-notes": "", "IHCP-species-checked": "predicted", "IHCP-species-dilution-info": "", "IHCP-species-notes": "" }, "Transfected cell line - Streptococcus pyogenes": { "ICC-species-checked": "testedAndGuaranteed", "ICC-species-dilution-info": "1/100", "ICC-species-notes": "<p></p>", "WB-species-checked": "notRecommended", "WB-species-dilution-info": "", "WB-species-notes": "", "ICCIF-species-checked": "testedAndGuaranteed", "ICCIF-species-dilution-info": "1/500", "ICCIF-species-notes": "<p></p>", "FlowCytIntra-species-checked": "testedAndGuaranteed", "FlowCytIntra-species-dilution-info": "1/70", "FlowCytIntra-species-notes": "<p></p>", "IHCP-species-checked": "guaranteed", "IHCP-species-dilution-info": "1/100", "IHCP-species-notes": "<p></p> Perform heat-mediated antigen retrieval with Tris/EDTA buffer pH 9.0 before commencing with IHC staining protocol." }, "Transfected cell line - Streptococcus pyogenes serotype M1": { "ICC-species-checked": "notRecommended", "ICC-species-dilution-info": "", "ICC-species-notes": "", "WB-species-checked": "testedAndGuaranteed", "WB-species-dilution-info": "1/1000", "WB-species-notes": "<p>ab189380 detects Cas9 and dCas9. This product has not been tested against SaCas9. Please contact Abcam Scientific Support for more information.</p>", "ICCIF-species-checked": "notRecommended", "ICCIF-species-dilution-info": "", "ICCIF-species-notes": "", "FlowCytIntra-species-checked": "notRecommended", "FlowCytIntra-species-dilution-info": "", "FlowCytIntra-species-notes": "", "IHCP-species-checked": "notRecommended", "IHCP-species-dilution-info": "", "IHCP-species-notes": "" }, "Transfected cell lysate - Streptococcus pyogenes": { "ICC-species-checked": "notRecommended", "ICC-species-dilution-info": "", "ICC-species-notes": "", "WB-species-checked": "testedAndGuaranteed", "WB-species-dilution-info": "1/20000", "WB-species-notes": "<p></p>", "ICCIF-species-checked": "notRecommended", "ICCIF-species-dilution-info": "", "ICCIF-species-notes": "", "FlowCytIntra-species-checked": "notRecommended", "FlowCytIntra-species-dilution-info": "", "FlowCytIntra-species-notes": "", "IHCP-species-checked": "notRecommended", "IHCP-species-dilution-info": "", "IHCP-species-notes": "" } } }

Product details

What is this antibody validated in?
Anti-CRISPR-Cas9 antibody [EPR18991] (ab189380) is a rabbit recombinant monoclonal antibody and is validated for use in Western Blot (WB), Flow Cytometry (Intra), Flow Cytometry (Flow Cyt), Immunohistochemistry (IHC-P), Immunocytochemistry/immunofluorescence (ICC/IF). What is the molecular weight of CRISPR-Cas9?
Anti-CRISPR-Cas9 [EPR18991] (ab189380) specifically detects a band for CRISPR-Cas9 (UniProt: Q99ZW2) at a molecular weight of 158kDa.

Trusted by the scientific community
Anti-CRISPR-Cas9 [EPR18991] (ab189380) was first used in a scientific publication in 2016 and has been cited over 10 times in peer-reviewed journals.

Trial sizes available!
Test your antibody or perform pre-screening before committing to a larger quantity. Sold in 10µl. Discover our selection of trial-size antibodies.

Other related products
We have a range of other formats of antibody clone [EPR18991] also available for your convenience: ab189380, Alexa Fluor® 488 - ab215239, Alexa Fluor® 647 - ab215240, HRP - ab215345, Carrier free - ab232379

Patented technology
Our RabMAb® technology is a patented hybridoma-based technology for making rabbit monoclonal antibodies. For details on our patents, please refer to RabMAb® patents.

What are the advantages of a recombinant monoclonal antibody?
This product is a recombinant monoclonal antibody, which offers several advantages including:

  • - High batch-to-batch consistency and reproducibility
  • - Improved sensitivity and specificity
  • - Long-term security of supply
  • - Animal-free batch production

For more information, read more on recombinant antibodies.

Properties and storage information

Form
Liquid
Purification technique
Affinity purification Protein A
Storage buffer
pH: 7.2 - 7.4 Preservative: 0.01% Sodium azide Constituents: PBS, 40% Glycerol (glycerin, glycerine), 0.05% BSA
Shipped at conditions
Blue Ice
Appropriate short-term storage duration
1-2 weeks
Appropriate short-term storage conditions
+4°C
Appropriate long-term storage conditions
-20°C
Aliquoting information
Upon delivery aliquot
Storage information
Avoid freeze / thaw cycle

Supplementary information

This supplementary information is collated from multiple sources and compiled automatically.

CRISPR-Cas9 also known simply as Cas9 is a protein that acts as a molecular scissor in gene editing. It has a molecular weight of approximately 160 kDa. Cas9 is a part of the CRISPR-Cas system originally discovered in bacteria where it serves as an adaptive immune system. In bacterial cells Cas9 targets and cleaves specific DNA sequences allowing for targeted gene modifications. While the expression of the CRISPR-Cas system occurs naturally in prokaryotes scientists now harness it in various organisms for genetic manipulation.
Biological function summary

The Cas9 protein functions as an integral part of the CRISPR-Cas9 complex which includes a guide RNA to direct the protein to specific DNA sequences. This complex enables precise cuts at targeted locations within the genome. The Cas9 protein size allows it to fit effectively within cells facilitating genome editing in areas such as research agriculture and therapeutics. The complexity of CRISPR-Cas9 also includes the interaction with other cellular components that assist in DNA repair post-cleavage.

Pathways

CRISPR-Cas9 plays a role in DNA repair pathways particularly non-homologous end joining and homologous recombination. After Cas9-induced DNA breaks these pathways become active to repair the cleaved DNA. The gene editing process facilitated by CRISPR-Cas9 often involves interaction with DNA repair proteins like ku70/80 and Rad51 in response to induced breaks. This allows for either the incorporation of new genetic material or the modification of existing genes.

CRISPR-Cas9 has potential in treating genetic disorders such as cystic fibrosis and Duchenne muscular dystrophy. By correcting mutated genes scientists aim to restore normal gene function offering potential therapeutic benefits. Additionally CRISPR-Cas9 relates indirectly to p53 a protein known for its tumor suppressor functions because gene-editing processes can sometimes activate p53-dependent pathways leading to cell cycle arrest or apoptosis. This highlights the importance of understanding the broader implications of CRISPR-Cas9 in therapeutic applications.

Product protocols

For this product, it's our understanding that no specific protocols are required. You can visit:

Target data

CRISPR (clustered regularly interspaced short palindromic repeat) is an adaptive immune system that provides protection against mobile genetic elements (viruses, transposable elements and conjugative plasmids) (PubMed : 21455174). CRISPR clusters contain spacers, sequences complementary to antecedent mobile elements, and target invading nucleic acids. CRISPR clusters are transcribed and processed into CRISPR RNA (crRNA). In type II CRISPR systems correct processing of pre-crRNA requires a trans-encoded small RNA (tracrRNA), endogenous ribonuclease 3 (rnc) and this protein. The tracrRNA serves as a guide for ribonuclease 3-aided processing of pre-crRNA; Cas9 only stabilizes the pre-crRNA : tracrRNA interaction and has no catalytic function in RNA processing (PubMed : 24270795). Subsequently Cas9/crRNA/tracrRNA endonucleolytically cleaves linear or circular dsDNA target complementary to the spacer; Cas9 is inactive in the absence of the 2 guide RNAs (gRNA). The target strand not complementary to crRNA is first cut endonucleolytically, then trimmed 3'-5' exonucleolytically. DNA-binding requires protein and both gRNAs, as does nuclease activity. Cas9 recognizes the protospacer adjacent motif (PAM) in the CRISPR repeat sequences to help distinguish self versus nonself, as targets within the bacterial CRISPR locus do not have PAMs. DNA strand separation and heteroduplex formation starts at PAM sites; PAM recognition is required for catalytic activity (PubMed : 24476820). Confers immunity against a plasmid with homology to the appropriate CRISPR spacer sequences (CRISPR interference) (PubMed : 21455174).
See full target information cas9

Additional targets

CRISPR-Cas9

Publications (14)

Recent publications for all applications. Explore the full list and refine your search

Nature communications 16:8841 PubMed41044082

2025

Structural basis for sequence context-independent single-stranded DNA cytosine deamination by the bacterial toxin SsdA.

Applications

Unspecified application

Species

Unspecified reactive species

Lulu Yin,Yanjun Chen,Ke Shi,Emilia Barreto Duran,Reuben S Harris,Hideki Aihara

Veterinary sciences 12: PubMed40284798

2025

An Inducible CYP19A1 Excision Model for Sexual Differentiation in Chicken () via the CRISPR/Cas9 System.

Applications

Unspecified application

Species

Unspecified reactive species

Guangzheng Liu,Yixiu Peng,Zeyu Li,Xilin Zhu,Hongyan Sun,Guohong Chen,Qisheng Zuo,Yingjie Niu,Jiuzhou Song,Wei Han,Wanhong Wei,Bichun Li,Kai Jin

microPublication biology 2024: PubMed38287928

2024

The CRISPR/Cas9 system forms a condensate in the yeast nucleus.

Applications

Unspecified application

Species

Unspecified reactive species

Sara Medina-Suárez,Félix Machín

Nature communications 14:6382 PubMed37821454

2023

Structure-guided inhibition of the cancer DNA-mutating enzyme APOBEC3A.

Applications

Unspecified application

Species

Unspecified reactive species

Stefan Harjes,Harikrishnan M Kurup,Amanda E Rieffer,Maitsetseg Bayarjargal,Jana Filitcheva,Yongdong Su,Tracy K Hale,Vyacheslav V Filichev,Elena Harjes,Reuben S Harris,Geoffrey B Jameson

The CRISPR journal 6:430-446 PubMed37672599

2023

APOBEC Reporter Systems for Evaluating diNucleotide Editing Levels.

Applications

Unspecified application

Species

Unspecified reactive species

Amanda E Rieffer,Yanjun Chen,Daniel J Salamango,Sofia N Moraes,Reuben S Harris

Nature communications 14:4106 PubMed37433774

2023

Interventional hydrogel microsphere vaccine as an immune amplifier for activated antitumour immunity after ablation therapy.

Applications

Unspecified application

Species

Unspecified reactive species

Xiaoyu Liu,Yaping Zhuang,Wei Huang,Zhuozhuo Wu,Yingjie Chen,Qungang Shan,Yuefang Zhang,Zhiyuan Wu,Xiaoyi Ding,Zilong Qiu,Wenguo Cui,Zhongmin Wang

FEBS open bio 12:1388-1405 PubMed35478300

2022

The cytotoxic action of BCI is not dependent on its stated DUSP1 or DUSP6 targets in neuroblastoma cells.

Applications

Unspecified application

Species

Unspecified reactive species

Elliott M Thompson,Vruti Patel,Vinothini Rajeeve,Pedro R Cutillas,Andrew W Stoker

Proceedings of the National Academy of Sciences of the United States of America 119: PubMed35173043

2022

Lung-selective mRNA delivery of synthetic lipid nanoparticles for the treatment of pulmonary lymphangioleiomyomatosis.

Applications

Unspecified application

Species

Unspecified reactive species

Min Qiu,Yan Tang,Jinjin Chen,Rachel Muriph,Zhongfeng Ye,Changfeng Huang,Jason Evans,Elizabeth P Henske,Qiaobing Xu

Anticancer research 41:3731-3740 PubMed34281831

2021

Cancer Cell-specific Transfection of hCas9 Gene Using Ad5F35 Vector.

Applications

Unspecified application

Species

Unspecified reactive species

Wataru Matsunaga,Katsuyuki Hamada,Masatoshi Tagawa,Takao Morinaga,Akinobu Gotoh

Communications biology 4:568 PubMed33980985

2021

CRISPRi-mediated functional analysis of NKX2-1-binding sites in the lung.

Applications

Unspecified application

Species

Unspecified reactive species

William D Stuart,Iris M Fink-Baldauf,Koichi Tomoshige,Minzhe Guo,Yutaka Maeda
View all publications

Product promise

We are committed to supporting your work with high-quality reagents, and we're here for you every step of the way. In the unlikely event that one of our products does not perform as expected, you're protected by our Product Promise.
For full details, please see our Terms & Conditions

Please note: All products are 'FOR RESEARCH USE ONLY. NOT FOR USE IN DIAGNOSTIC OR THERAPEUTIC PROCEDURES'.

For licensing inquiries, please contact partnerships@abcam.com