JavaScript is disabled in your browser. Please enable JavaScript to view this website.
AB232379

Anti-CRISPR-Cas9 antibody [EPR18991] - BSA and Azide free

Be the first to review this product! Submit a review

|

(1 Publication)

Rabbit Recombinant Monoclonal CRISPR-Cas9 antibody. Carrier free. Suitable for ICC/IF, ICC, WB, IHC-P, Flow Cyt (Intra) and reacts with Transfected cell line - Streptococcus pyogenes, Transfected cell lysate - Streptococcus pyogenes samples. Cited in 1 publication.

View Alternative Names

csn1, SPy_1046, cas9, CRISPR-associated endonuclease Cas9/Csn1, SpCas9, SpyCas9

9 Images
Immunocytochemistry - Anti-CRISPR-Cas9 antibody [EPR18991] - BSA and Azide free (AB232379)
  • ICC

Supplier Data

Immunocytochemistry - Anti-CRISPR-Cas9 antibody [EPR18991] - BSA and Azide free (AB232379)

Immunocytochemical analysis of agarose-embedded sections of 293T (Human epithelial cell line from embryonic kidney) cells transfected with blank pcDNA3.1(+)-GFP-Myc vector labeling CRISPR-Cas9 with ab189380 at 1/100 dilution, followed by Goat Anti-Rabbit IgG H&L (HRP) (ab97051) at 1/500 dilution.

Negative on 293T cells transfected with blank pcDNA3.1(+)-GFP-Myc vector.

Counter stained with Hematoxylin.

This data was developed using the same antibody clone in a different buffer formulation containing PBS, BSA, glycerol, and sodium azide (ab189380).

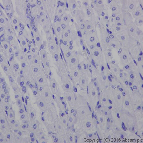
Immunohistochemistry (Formalin/PFA-fixed paraffin-embedded sections) - Anti-CRISPR-Cas9 antibody [EPR18991] - BSA and Azide free (AB232379)
  • IHC-P

Supplier Data

Immunohistochemistry (Formalin/PFA-fixed paraffin-embedded sections) - Anti-CRISPR-Cas9 antibody [EPR18991] - BSA and Azide free (AB232379)

Immunohistochemical analysis of paraffin-embedded Mouse stomach tissue labeling CRISPR-Cas9 with ab189380 at 1/100 dilution, followed by Goat Anti-Rabbit IgG H&L (HRP) (ab97051) at 1/500 dilution.

No staining on mouse stomach is observed.

Counter stained with Hematoxylin.

This data was developed using the same antibody clone in a different buffer formulation containing PBS, BSA, glycerol, and sodium azide (ab189380).

Perform heat mediated antigen retrieval with Tris/EDTA buffer pH 9.0 before commencing with IHC staining protocol.

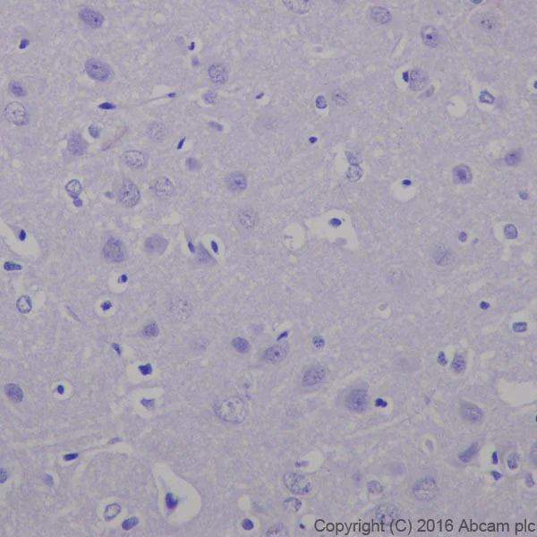
Immunohistochemistry (Formalin/PFA-fixed paraffin-embedded sections) - Anti-CRISPR-Cas9 antibody [EPR18991] - BSA and Azide free (AB232379)
  • IHC-P

Supplier Data

Immunohistochemistry (Formalin/PFA-fixed paraffin-embedded sections) - Anti-CRISPR-Cas9 antibody [EPR18991] - BSA and Azide free (AB232379)

Immunohistochemical analysis of paraffin-embedded Rat cerebrum tissue labeling CRISPR-Cas9 with ab189380 at 1/100 dilution, followed by Goat Anti-Rabbit IgG H&L (HRP) (ab97051) at 1/500 dilution.

No staining on rat cerebrum is observed.

Counter stained with Hematoxylin.

This data was developed using the same antibody clone in a different buffer formulation containing PBS, BSA, glycerol, and sodium azide (ab189380).

Perform heat mediated antigen retrieval with Tris/EDTA buffer pH 9.0 before commencing with IHC staining protocol.

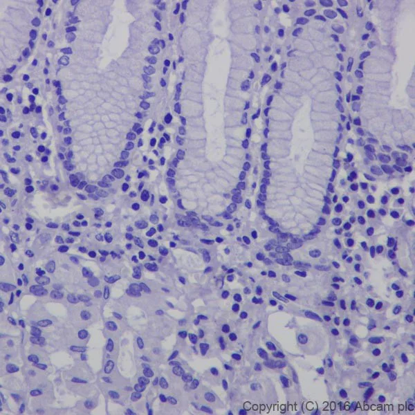
Immunohistochemistry (Formalin/PFA-fixed paraffin-embedded sections) - Anti-CRISPR-Cas9 antibody [EPR18991] - BSA and Azide free (AB232379)
  • IHC-P

Supplier Data

Immunohistochemistry (Formalin/PFA-fixed paraffin-embedded sections) - Anti-CRISPR-Cas9 antibody [EPR18991] - BSA and Azide free (AB232379)

Immunohistochemical analysis of paraffin-embedded Human stomach tissue labeling CRISPR-Cas9 with ab189380 at 1/100 dilution, followed by Goat Anti-Rabbit IgG H&L (HRP) (ab97051) at 1/500 dilution.

No staining on Human stomach is observed.

Counter stained with Hematoxylin.

This data was developed using the same antibody clone in a different buffer formulation containing PBS, BSA, glycerol, and sodium azide (ab189380).

Perform heat mediated antigen retrieval with Tris/EDTA buffer pH 9.0 before commencing with IHC staining protocol.

Immunocytochemistry/ Immunofluorescence - Anti-CRISPR-Cas9 antibody [EPR18991] - BSA and Azide free (AB232379)
  • ICC/IF

Supplier Data

Immunocytochemistry/ Immunofluorescence - Anti-CRISPR-Cas9 antibody [EPR18991] - BSA and Azide free (AB232379)

Immunofluorescent analysis of 4% paraformaldehyde-fixed, 0.1% Triton X-100 permeabilized 293T (Human epithelial cell line from embryonic kidney) cells transfected with CRISPR-Cas9-GFP or GFP only, labeling CRISPR-Cas9 with ab189380 at 1/500 dilution, followed by Goat anti-rabbit IgG (Alexa Fluor® 647) (ab150079) secondary antibody at 1/1000 dilution.

Confocal image showing positive staining on 293T cells transfected with CRISPR-Cas9 with GFP-tag.

The nuclear counterstain is DAPI (blue).

Tubulin is detected with ab7291 (anti-Tubulin mouse mAb) at 1/1000 dilution and ab150120 (Alexa Fluor® 594 Goat anti-Mouse secondary) at 1/1000 dilution (red).

The negative controls are as follows : -

-ve control 1 : ab189380 at 1/500 dilution followed by ab150120 (Alexa Fluor® 594 Goat anti-Mouse secondary) at 1/1000 dilution.

-ve control 2 : ab7291 (anti-Tubulin mouse mAb) at 1/1000 dilution followed by ab150079 (Alexa Fluor® 647 Goat Anti-Rabbit IgG H&L) at 1/1000 dilution.

This data was developed using the same antibody clone in a different buffer formulation containing PBS, BSA, glycerol, and sodium azide (ab189380).

Flow Cytometry (Intracellular) - Anti-CRISPR-Cas9 antibody [EPR18991] - BSA and Azide free (AB232379)
  • Flow Cyt (Intra)

Lab

Flow Cytometry (Intracellular) - Anti-CRISPR-Cas9 antibody [EPR18991] - BSA and Azide free (AB232379)

Intracellular Flow Cytometry analysis of HEK-293 (Human epithelial cell line from embryonic kidney) whole cell lysate (transfected with CRISPR-Cas9 (Q99ZW2, Streptococcus pyogenes serotype M1) with GFP-Myc tag) labelling CRISPR-Cas9 (red) with ab189380 at dilution of 1/70. The secondary antibody used was Alexa Fluor® 488 goat-anti-rabbit IgG (1/2000). Cells were fixed with 4% paraformaldehyde. Isotype control antibody was (ab172730) Rabbit monoclonal IgG (black).

This data was developed using the same antibody clone in a different buffer formulation containing PBS, BSA, glycerol, and sodium azide (ab189380).

Immunocytochemistry - Anti-CRISPR-Cas9 antibody [EPR18991] - BSA and Azide free (AB232379)
  • ICC

Supplier Data

Immunocytochemistry - Anti-CRISPR-Cas9 antibody [EPR18991] - BSA and Azide free (AB232379)

Immunocytochemical analysis of agarose-embedded sections of 293T (Human epithelial cell line from embryonic kidney) cells transfected with Streptococcus pyogenes serotype M1 Cas9 (pcDNA3.1(+)-GFP-Myc) labeling CRISPR-Cas9 with ab189380 at 1/100 dilution, followed by Goat Anti-Rabbit IgG H&L (HRP) (ab97051) at 1/500 dilution.

Positive staining on 293T cells transfected with Streptococcus pyogenes serotype M1 Cas9 (pcDNA3.1(+)-GFP-Myc) is observed.

Counter stained with Hematoxylin.

Secondary antibody only control : Used PBS instead of primary antibody, secondary antibody is Goat Anti-Rabbit IgG H&L (HRP) (ab97051) at 1/500 dilution.

This data was developed using the same antibody clone in a different buffer formulation containing PBS, BSA, glycerol, and sodium azide (ab189380).

Western blot - Anti-CRISPR-Cas9 antibody [EPR18991] - BSA and Azide free (AB232379)
  • WB

Supplier Data

Western blot - Anti-CRISPR-Cas9 antibody [EPR18991] - BSA and Azide free (AB232379)

This data was developed using ab189380, the same clone in a different buffer formulation.

Blocking/Dilution buffer : 5% NFDM/TBST.

All lanes:

Western blot - Anti-CRISPR-Cas9 antibody [EPR18991] (<a href='/en-us/products/primary-antibodies/crispr-cas9-antibody-epr18991-ab189380'>ab189380</a>) at 1/20000 dilution

Lane 1:

HEK-293 (Human epithelial cell line from embryonic kidney) whole cell lysate transfected with CRISPR-Cas9 (Q99ZW2, Streptococcus pyogenes serotype M1) with GFP-Myc tag at 20 µg

Lane 2:

HeLa (Human epithelial cell line from cervix adenocarcinoma) whole cell lysate at 20 µg

Lane 3:

NIH/3T3 (Mouse embryonic fibroblast cell line) whole cell lysate at 20 µg

Lane 4:

Rat embryo lysate at 20 µg

Secondary

All lanes:

Western blot - Goat Anti-Rabbit IgG H&L (HRP) (<a href='/en-us/products/secondary-antibodies/goat-rabbit-igg-h-l-hrp-ab97051'>ab97051</a>) at 1/100000 dilution

Predicted band size: 158 kDa

Observed band size: 184 kDa

false

Exposure time: 10s

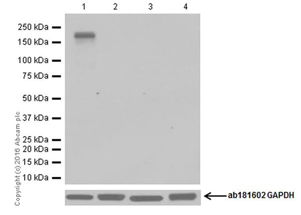
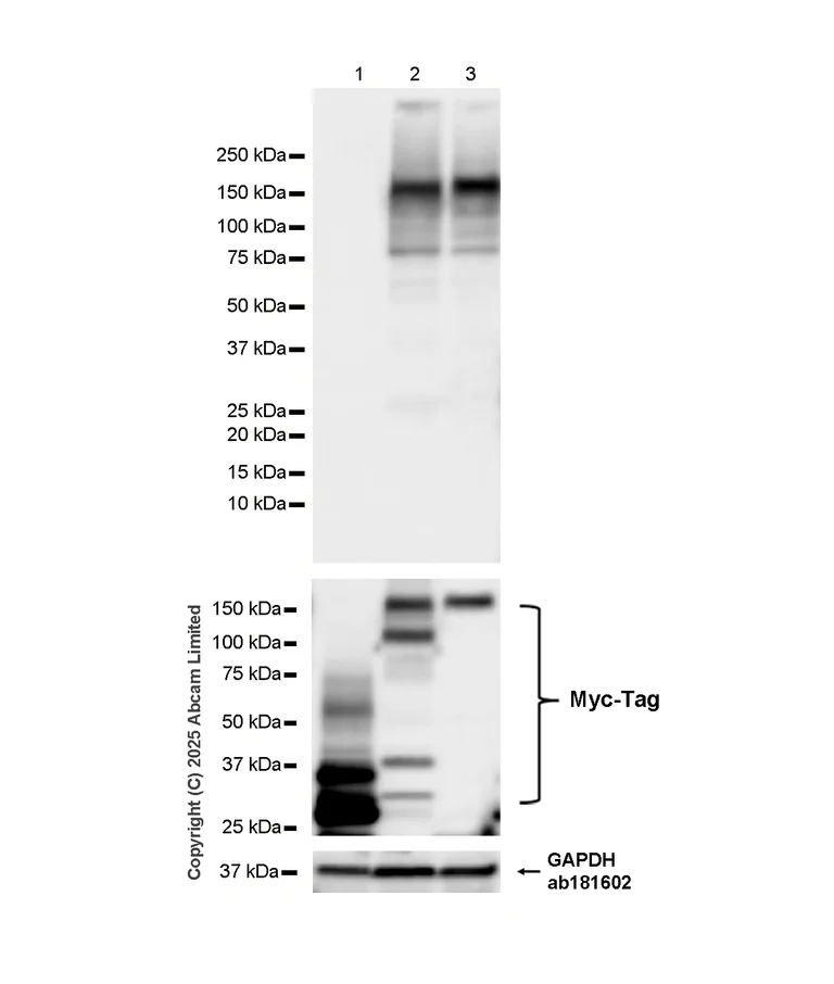
Western blot - Anti-CRISPR-Cas9 antibody [EPR18991] - BSA and Azide free (AB232379)
  • WB

Lab

Western blot - Anti-CRISPR-Cas9 antibody [EPR18991] - BSA and Azide free (AB232379)

This data was developed using ab189380, the same antibody clone in a different buffer formulation.

Blocking and diluting buffer and concentration : 5% NFDM/TBST.

All lanes:

Western blot - Anti-CRISPR-Cas9 antibody [EPR18991] (<a href='/en-us/products/primary-antibodies/crispr-cas9-antibody-epr18991-ab189380'>ab189380</a>) at 1/1000 dilution

Lane 1:

HEK-293 (Human epithelial cell line from embryonic kidney) cells transfected with an empty vector containing a Myc-Tag, whole cell lysate at 20 µg

Lane 2:

HEK-293 cells transfected with CRISPR-Cas9 (Q99ZW2, Streptococcus pyogenes serotype M1) containing a Myc-Tag, whole cell lysate at 20 µg

Lane 3:

HEK-293 cells transfected with Cas9/Csn1 point mutation (D10A and H840A) [dCas9] containing a Myc-Tag, whole cell lysate at 20 µg

Secondary

All lanes:

Western blot - Goat Anti-Rabbit IgG H&L (HRP) (<a href='/en-us/products/secondary-antibodies/goat-rabbit-igg-h-l-hrp-ab97051'>ab97051</a>) at 1/100000 dilution

Observed band size: 158 kDa

false

Exposure time: 4s

  • Unconjugated

    Anti-CRISPR-Cas9 antibody [EPR18991]

  • 519 Alexa Fluor® 488

    Alexa Fluor® 488 Anti-CRISPR-Cas9 antibody [EPR18991]

  • 665 Alexa Fluor® 647

    Alexa Fluor® 647 Anti-CRISPR-Cas9 antibody [EPR18991]

  • HRP

    HRP Anti-CRISPR-Cas9 antibody [EPR18991]

Key facts

Host species

Rabbit

Clonality

Monoclonal

Clone number

EPR18991

Isotype

IgG

Carrier free

Yes

Applications

WB, Flow Cyt (Intra), ICC/IF, IHC-P, ICC

applications

Immunogen

The exact immunogen used to generate this antibody is proprietary information.

Reactivity data

{ "title": "Reactivity Data", "filters": { "stats": ["", "Species", "Dilution Info", "Notes"], "tabs": { "all-applications": {"fullname" : "All Applications", "shortname": "All Applications"}, "ICCIF" : {"fullname" : "Immunocytochemistry/ Immunofluorescence", "shortname":"ICC/IF"}, "ICC" : {"fullname" : "Immunocytochemistry", "shortname":"ICC"}, "WB" : {"fullname" : "Western blot", "shortname":"WB"}, "IHCP" : {"fullname" : "Immunohistochemistry (Formalin/PFA-fixed paraffin-embedded sections)", "shortname":"IHC-P"}, "FlowCytIntra" : {"fullname" : "Flow Cytometry (Intracellular)", "shortname":"Flow Cyt (Intra)"} }, "product-promise": { "all": "all", "testedAndGuaranteed": "tested", "guaranteed": "expected", "predicted": "predicted", "notRecommended": "not-recommended" } }, "values": { "Streptococcus pyogenes": { "ICCIF-species-checked": "predicted", "ICCIF-species-dilution-info": "", "ICCIF-species-notes": "", "ICC-species-checked": "predicted", "ICC-species-dilution-info": "", "ICC-species-notes": "", "WB-species-checked": "predicted", "WB-species-dilution-info": "", "WB-species-notes": "", "IHCP-species-checked": "predicted", "IHCP-species-dilution-info": "", "IHCP-species-notes": "", "FlowCytIntra-species-checked": "predicted", "FlowCytIntra-species-dilution-info": "", "FlowCytIntra-species-notes": "" }, "Transfected cell line - Streptococcus pyogenes": { "ICCIF-species-checked": "testedAndGuaranteed", "ICCIF-species-dilution-info": "1/500", "ICCIF-species-notes": "<p></p>", "ICC-species-checked": "testedAndGuaranteed", "ICC-species-dilution-info": "", "ICC-species-notes": "<p></p>", "WB-species-checked": "notRecommended", "WB-species-dilution-info": "", "WB-species-notes": "", "IHCP-species-checked": "guaranteed", "IHCP-species-dilution-info": "", "IHCP-species-notes": "<p></p> Perform heat-mediated antigen retrieval with Tris/EDTA buffer pH 9.0 before commencing with IHC staining protocol.", "FlowCytIntra-species-checked": "testedAndGuaranteed", "FlowCytIntra-species-dilution-info": "", "FlowCytIntra-species-notes": "<p></p>" }, "Transfected cell lysate - Streptococcus pyogenes": { "ICCIF-species-checked": "notRecommended", "ICCIF-species-dilution-info": "", "ICCIF-species-notes": "", "ICC-species-checked": "notRecommended", "ICC-species-dilution-info": "", "ICC-species-notes": "", "WB-species-checked": "testedAndGuaranteed", "WB-species-dilution-info": "", "WB-species-notes": "<p></p>", "IHCP-species-checked": "notRecommended", "IHCP-species-dilution-info": "", "IHCP-species-notes": "", "FlowCytIntra-species-checked": "notRecommended", "FlowCytIntra-species-dilution-info": "", "FlowCytIntra-species-notes": "" } } }

Product details

ab232379 is the carrier-free version of ab189380.

Our RabMAb® technology is a patented hybridoma-based technology for making rabbit monoclonal antibodies. For details on our patents, please refer to RabMAb® patents.

This product is a recombinant monoclonal antibody, which offers several advantages including:

  • - High batch-to-batch consistency and reproducibility
  • - Improved sensitivity and specificity
  • - Long-term security of supply
  • - Animal-free batch production

For more information, read more on recombinant antibodies.

Our carrier-free antibodies are typically supplied in a PBS-only formulation, purified and free of BSA, sodium azide and glycerol. The carrier-free buffer and high concentration allow for increased conjugation efficiency.

This conjugation-ready format is designed for use with fluorochromes, metal isotopes, oligonucleotides, and enzymes, which makes them ideal for antibody labelling, functional and cell-based assays, flow-based assays (e.g. mass cytometry) and Multiplex Imaging applications.

Use our conjugation kits for antibody conjugates that are ready-to-use in as little as 20 minutes with 1 minute hands-on-time and 100% antibody recovery: available for fluorescent dyes, HRP, biotin and gold.

This product is compatible with the Maxpar® Antibody Labeling Kit from Fluidigm, without the need for antibody preparation. Maxpar® is a trademark of Fluidigm Canada Inc.

Properties and storage information

Form
Liquid
Purification technique
Affinity purification Protein A
Storage buffer
pH: 7.2 - 7.4 Constituents: PBS
Shipped at conditions
Blue Ice
Appropriate short-term storage conditions
+4°C
Appropriate long-term storage conditions
+4°C
Storage information
Do Not Freeze

Supplementary information

This supplementary information is collated from multiple sources and compiled automatically.

CRISPR-Cas9 also known simply as Cas9 is a protein that acts as a molecular scissor in gene editing. It has a molecular weight of approximately 160 kDa. Cas9 is a part of the CRISPR-Cas system originally discovered in bacteria where it serves as an adaptive immune system. In bacterial cells Cas9 targets and cleaves specific DNA sequences allowing for targeted gene modifications. While the expression of the CRISPR-Cas system occurs naturally in prokaryotes scientists now harness it in various organisms for genetic manipulation.
Biological function summary

The Cas9 protein functions as an integral part of the CRISPR-Cas9 complex which includes a guide RNA to direct the protein to specific DNA sequences. This complex enables precise cuts at targeted locations within the genome. The Cas9 protein size allows it to fit effectively within cells facilitating genome editing in areas such as research agriculture and therapeutics. The complexity of CRISPR-Cas9 also includes the interaction with other cellular components that assist in DNA repair post-cleavage.

Pathways

CRISPR-Cas9 plays a role in DNA repair pathways particularly non-homologous end joining and homologous recombination. After Cas9-induced DNA breaks these pathways become active to repair the cleaved DNA. The gene editing process facilitated by CRISPR-Cas9 often involves interaction with DNA repair proteins like ku70/80 and Rad51 in response to induced breaks. This allows for either the incorporation of new genetic material or the modification of existing genes.

CRISPR-Cas9 has potential in treating genetic disorders such as cystic fibrosis and Duchenne muscular dystrophy. By correcting mutated genes scientists aim to restore normal gene function offering potential therapeutic benefits. Additionally CRISPR-Cas9 relates indirectly to p53 a protein known for its tumor suppressor functions because gene-editing processes can sometimes activate p53-dependent pathways leading to cell cycle arrest or apoptosis. This highlights the importance of understanding the broader implications of CRISPR-Cas9 in therapeutic applications.

Product protocols

For this product, it's our understanding that no specific protocols are required. You can visit:

Target data

CRISPR (clustered regularly interspaced short palindromic repeat) is an adaptive immune system that provides protection against mobile genetic elements (viruses, transposable elements and conjugative plasmids) (PubMed : 21455174). CRISPR clusters contain spacers, sequences complementary to antecedent mobile elements, and target invading nucleic acids. CRISPR clusters are transcribed and processed into CRISPR RNA (crRNA). In type II CRISPR systems correct processing of pre-crRNA requires a trans-encoded small RNA (tracrRNA), endogenous ribonuclease 3 (rnc) and this protein. The tracrRNA serves as a guide for ribonuclease 3-aided processing of pre-crRNA; Cas9 only stabilizes the pre-crRNA : tracrRNA interaction and has no catalytic function in RNA processing (PubMed : 24270795). Subsequently Cas9/crRNA/tracrRNA endonucleolytically cleaves linear or circular dsDNA target complementary to the spacer; Cas9 is inactive in the absence of the 2 guide RNAs (gRNA). The target strand not complementary to crRNA is first cut endonucleolytically, then trimmed 3'-5' exonucleolytically. DNA-binding requires protein and both gRNAs, as does nuclease activity. Cas9 recognizes the protospacer adjacent motif (PAM) in the CRISPR repeat sequences to help distinguish self versus nonself, as targets within the bacterial CRISPR locus do not have PAMs. DNA strand separation and heteroduplex formation starts at PAM sites; PAM recognition is required for catalytic activity (PubMed : 24476820). Confers immunity against a plasmid with homology to the appropriate CRISPR spacer sequences (CRISPR interference) (PubMed : 21455174).
See full target information cas9

Additional targets

CRISPR-Cas9

Publications (1)

Recent publications for all applications. Explore the full list and refine your search

Journal of cellular and molecular medicine 25:5099-5112 PubMed33942481

2021

NR4A1 knockdown confers hepatoprotection against ischaemia-reperfusion injury by suppressing TGFβ1 via inhibition of CYR61/NF-κB in mouse hepatocytes.

Applications

Unspecified application

Species

Unspecified reactive species

Jun Cao,Ting Xu,Chengming Zhou,Shaochuang Wang,Baofei Jiang,Kun Wu,Long Ma
View all publications

Product promise

We are committed to supporting your work with high-quality reagents, and we're here for you every step of the way. In the unlikely event that one of our products does not perform as expected, you're protected by our Product Promise.
For full details, please see our Terms & Conditions

Please note: All products are 'FOR RESEARCH USE ONLY. NOT FOR USE IN DIAGNOSTIC OR THERAPEUTIC PROCEDURES'.

For licensing inquiries, please contact partnerships@abcam.com