JavaScript is disabled in your browser. Please enable JavaScript to view this website.
AB210752

Anti-CRISPR-Cas9 antibody [EPR19619-92]

Be the first to review this product! Submit a review

|

(2 Publications)

Anti-CRISPR-Cas9 antibody [EPR19619-92] (ab210752) is a rabbit monoclonal antibody detecting CRISPR-Cas9 in Western Blot, IHC-P.

- Biophysical QC for unrivalled batch-batch consistency

View Alternative Names

csn1, cas9, CRISPR-associated endonuclease Cas9, St-Cas9, CRISPR-Cas9/Csn1, CRISPR-associated endonuclease Cas9/Csn1, SpyCas9

5 Images
Immunohistochemistry (Formalin/PFA-fixed paraffin-embedded sections) - Anti-CRISPR-Cas9 antibody [EPR19619-92] (AB210752)
  • IHC-P

Lab

Immunohistochemistry (Formalin/PFA-fixed paraffin-embedded sections) - Anti-CRISPR-Cas9 antibody [EPR19619-92] (AB210752)

Immunohistochemical analysis of formalin-fixed, paraffin-embedded 293T cells transfected with Streptococcus Thermophilus CRISPR-Cas9 (pcDNA3.1(+)-Myc-His) with ab210752 at 1/50 dilution. Goat Anti-Rabbit IgG H&L (HRP), ab97051 at 1/500 dillution was used as the secondary antibody. Counterstained with Hematoxylin. Secondary only negative control also shown. Heat mediated antigen retrieval using Tris/EDTA Buffer, pH 9.0 was performed.

Positive staining on the 293T cells transfected with Streptococcus Thermophilus Cas9.

Immunohistochemistry (Formalin/PFA-fixed paraffin-embedded sections) - Anti-CRISPR-Cas9 antibody [EPR19619-92] (AB210752)
  • IHC-P

Lab

Immunohistochemistry (Formalin/PFA-fixed paraffin-embedded sections) - Anti-CRISPR-Cas9 antibody [EPR19619-92] (AB210752)

Immunohistochemical analysis of formalin-fixed, paraffin-embedded 293T cells transfected blank pcDNA3.1(+)-Myc-His vector with ab210752 at 1/50 dilution. Goat Anti-Rabbit IgG H&L (HRP), ab97051 at 1/500 dillution was used as the secondary antibody. Counterstained with Hematoxylin. Secondary only negative control also shown. Heat mediated antigen retrieval using Tris/EDTA Buffer, pH 9.0 was performed.

Negative on the 293T cells transfected blank pcDNA3.1(+)-Myc-His vector.

Western blot - Anti-CRISPR-Cas9 antibody [EPR19619-92] (AB210752)
  • WB

Supplier Data

Western blot - Anti-CRISPR-Cas9 antibody [EPR19619-92] (AB210752)

Blocking/Dilution buffer : 5% NFDM/TBST.

Exposure time : Lane 1-2 : 5 seconds; Lane 3 : 3 minutes.

All lanes:

Western blot - Anti-CRISPR-Cas9 antibody [EPR19619-92] (ab210752) at 1/5000 dilution

Lane 1:

Untransfected HEK-293 (Human epithelial cell line from embryonic kidney) whole cell lysate (control) at 20 µg

Lane 2:

HEK-293 (Human epithelial cell line from embryonic kidney) transfected with CRISPR-Cas9 (Q03JI6, Streptococcus thermophilus (strain ATCC BAA-491/LMD-9)) with His-tag at 20 µg

Lane 3:

HEK-293 (Human epithelial cell line from embryonic kidney) whole cell lysate transfected with CRISPR-Cas9 (A1IQ68, Neisseria meningitidis serogroup A) with His-tag at 20 µg

Secondary

All lanes:

Western blot - Goat Anti-Rabbit IgG H&L (HRP) (<a href='/en-us/products/secondary-antibodies/goat-rabbit-igg-h-l-hrp-ab97051'>ab97051</a>) at 1/100000 dilution

Predicted band size: 164 kDa

false

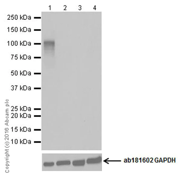
Western blot - Anti-CRISPR-Cas9 antibody [EPR19619-92] (AB210752)
  • WB

Supplier Data

Western blot - Anti-CRISPR-Cas9 antibody [EPR19619-92] (AB210752)

Blocking/Dilution buffer : 5% NFDM/TBST.

All lanes:

Western blot - Anti-CRISPR-Cas9 antibody [EPR19619-92] (ab210752) at 1/5000 dilution

Lane 1:

HEK-293 (Human epithelial cell line from embryonic kidney) whole cell lysate transfected with CRISPR-Cas9 (G3ECR1, Streptococcus thermophilus, N–terminal) with GFP-tag at 20 µg

Lane 2:

HeLa (Human epithelial cell line from cervix adenocarcinoma) whole cell lysate at 20 µg

Lane 3:

NIH/3T3 (Mouse embryonic fibroblast cell line) whole cell lysate at 20 µg

Lane 4:

Rat embryo lysate at 20 µg

Secondary

All lanes:

Western blot - Goat Anti-Rabbit IgG H&L (HRP) (<a href='/en-us/products/secondary-antibodies/goat-rabbit-igg-h-l-hrp-ab97051'>ab97051</a>) at 1/100000 dilution

Predicted band size: 164 kDa

false

Exposure time: 3s

Western blot - Anti-CRISPR-Cas9 antibody [EPR19619-92] (AB210752)
  • WB

Unknown

Western blot - Anti-CRISPR-Cas9 antibody [EPR19619-92] (AB210752)

Blocking/Dilution buffer : 5% NFDM/TBST.

The immunogen is located at the N-terminus.

All lanes:

Western blot - Anti-CRISPR-Cas9 antibody [EPR19619-92] (ab210752) at 1/5000 dilution

Lane 1:

Untransfected HEK-293 (Human epithelial cell line from embryonic kidney) whole cell lysate (control) at 20 µg

Lane 2:

HEK-293 (Human epithelial cell line from embryonic kidney) whole cell lysate transfected with CRISPR-Cas9 (Q99ZW2, Streptococcus pyogenes serotype M1) with GFP-tag at 20 µg

Lane 3:

HEK-293 (Human epithelial cell line from embryonic kidney) whole cell lysate transfected with CRISPR-Cas9 (G3ECR1, Streptococcus thermophilus, N–terminal aa1-800) with GFP-tag at 20 µg

Lane 4:

HEK-293 (Human epithelial cell line from embryonic kidney) whole cell lysate transfected with CRISPR-Cas9 (G3ECR1, Streptococcus thermophilus, C–terminal aa801-1409) with GFP-tag at 20 µg

Secondary

All lanes:

Western blot - Goat Anti-Rabbit IgG H&L (HRP) (<a href='/en-us/products/secondary-antibodies/goat-rabbit-igg-h-l-hrp-ab97051'>ab97051</a>) at 1/100000 dilution

Predicted band size: 164 kDa

false

Exposure time: 5s

  • Carrier free

    Anti-CRISPR-Cas9 antibody [EPR19619-92] - BSA and Azide free

Key facts

Host species

Rabbit

Clonality

Monoclonal

Clone number

EPR19619-92

Isotype

IgG

Carrier free

No

Applications

WB, IHC-P

applications

Immunogen

The exact immunogen used to generate this antibody is proprietary information.

Reactivity data

{ "title": "Reactivity Data", "filters": { "stats": ["", "Species", "Dilution Info", "Notes"], "tabs": { "all-applications": {"fullname" : "All Applications", "shortname": "All Applications"}, "WB" : {"fullname" : "Western blot", "shortname":"WB"}, "IHCP" : {"fullname" : "Immunohistochemistry (Formalin/PFA-fixed paraffin-embedded sections)", "shortname":"IHC-P"} }, "product-promise": { "all": "all", "testedAndGuaranteed": "tested", "guaranteed": "expected", "predicted": "predicted", "notRecommended": "not-recommended" } }, "values": { "Neisseria meningitidis": { "WB-species-checked": "predicted", "WB-species-dilution-info": "", "WB-species-notes": "", "IHCP-species-checked": "predicted", "IHCP-species-dilution-info": "", "IHCP-species-notes": "" }, "Streptococcus pyogenes": { "WB-species-checked": "predicted", "WB-species-dilution-info": "", "WB-species-notes": "", "IHCP-species-checked": "predicted", "IHCP-species-dilution-info": "", "IHCP-species-notes": "" }, "Streptococcus thermophilus": { "WB-species-checked": "predicted", "WB-species-dilution-info": "", "WB-species-notes": "", "IHCP-species-checked": "predicted", "IHCP-species-dilution-info": "", "IHCP-species-notes": "" }, "Transfected cell lysate - Neisseria meningitidis": { "WB-species-checked": "testedAndGuaranteed", "WB-species-dilution-info": "1/5000", "WB-species-notes": "<p></p>", "IHCP-species-checked": "notRecommended", "IHCP-species-dilution-info": "", "IHCP-species-notes": "" }, "Transfected cell lysate - Streptococcus pyogenes": { "WB-species-checked": "testedAndGuaranteed", "WB-species-dilution-info": "1/5000", "WB-species-notes": "<p></p>", "IHCP-species-checked": "notRecommended", "IHCP-species-dilution-info": "", "IHCP-species-notes": "" }, "Transfected cell lysate - Streptococcus thermophilus": { "WB-species-checked": "testedAndGuaranteed", "WB-species-dilution-info": "1/5000", "WB-species-notes": "<p></p>", "IHCP-species-checked": "testedAndGuaranteed", "IHCP-species-dilution-info": "1/50", "IHCP-species-notes": "<p></p>" } } }

Product details

What is this antibody validated in?
Anti-CRISPR-Cas9 antibody [EPR19619-92] (ab210752) is a rabbit recombinant monoclonal antibody and is validated for use in Western Blot (WB), Immunohistochemistry (IHC-P). What is the molecular weight of CRISPR-Cas9?
Anti-CRISPR-Cas9 [EPR19619-92] (ab210752) specifically detects a band for CRISPR-Cas9 (UniProt: G3ECR1) at a molecular weight of 164kDa.

Trial sizes available!
Test your antibody or perform pre-screening before committing to a larger quantity. Sold in 10µl. Discover our selection of trial-size antibodies.

Other related products
We have a range of other formats of antibody clone [EPR19619-92] also available for your convenience: ab210752, Carrier free - ab223548

Patented technology
Our RabMAb® technology is a patented hybridoma-based technology for making rabbit monoclonal antibodies. For details on our patents, please refer to RabMAb® patents.

What are the advantages of a recombinant monoclonal antibody?
This product is a recombinant monoclonal antibody, which offers several advantages including:

  • - High batch-to-batch consistency and reproducibility
  • - Improved sensitivity and specificity
  • - Long-term security of supply
  • - Animal-free batch production

For more information, read more on recombinant antibodies.

Properties and storage information

Form
Liquid
Purification technique
Affinity purification Protein A
Storage buffer
pH: 7.2 - 7.4 Preservative: 0.01% Sodium azide Constituents: PBS, 40% Glycerol (glycerin, glycerine), 0.05% BSA
Shipped at conditions
Blue Ice
Appropriate short-term storage duration
1-2 weeks
Appropriate short-term storage conditions
+4°C
Appropriate long-term storage conditions
-20°C
Aliquoting information
Upon delivery aliquot
Storage information
Avoid freeze / thaw cycle

Supplementary information

This supplementary information is collated from multiple sources and compiled automatically.

CRISPR-Cas9 also known simply as Cas9 is a protein that acts as a molecular scissor in gene editing. It has a molecular weight of approximately 160 kDa. Cas9 is a part of the CRISPR-Cas system originally discovered in bacteria where it serves as an adaptive immune system. In bacterial cells Cas9 targets and cleaves specific DNA sequences allowing for targeted gene modifications. While the expression of the CRISPR-Cas system occurs naturally in prokaryotes scientists now harness it in various organisms for genetic manipulation.
Biological function summary

The Cas9 protein functions as an integral part of the CRISPR-Cas9 complex which includes a guide RNA to direct the protein to specific DNA sequences. This complex enables precise cuts at targeted locations within the genome. The Cas9 protein size allows it to fit effectively within cells facilitating genome editing in areas such as research agriculture and therapeutics. The complexity of CRISPR-Cas9 also includes the interaction with other cellular components that assist in DNA repair post-cleavage.

Pathways

CRISPR-Cas9 plays a role in DNA repair pathways particularly non-homologous end joining and homologous recombination. After Cas9-induced DNA breaks these pathways become active to repair the cleaved DNA. The gene editing process facilitated by CRISPR-Cas9 often involves interaction with DNA repair proteins like ku70/80 and Rad51 in response to induced breaks. This allows for either the incorporation of new genetic material or the modification of existing genes.

CRISPR-Cas9 has potential in treating genetic disorders such as cystic fibrosis and Duchenne muscular dystrophy. By correcting mutated genes scientists aim to restore normal gene function offering potential therapeutic benefits. Additionally CRISPR-Cas9 relates indirectly to p53 a protein known for its tumor suppressor functions because gene-editing processes can sometimes activate p53-dependent pathways leading to cell cycle arrest or apoptosis. This highlights the importance of understanding the broader implications of CRISPR-Cas9 in therapeutic applications.

Product protocols

For this product, it's our understanding that no specific protocols are required. You can visit:

Target data

CRISPR (clustered regularly interspaced short palindromic repeat) is an adaptive immune system that provides protection against mobile genetic elements (viruses, transposable elements and conjugative plasmids). CRISPR clusters contain spacers, sequences complementary to antecedent mobile elements, and target invading nucleic acids. CRISPR clusters are transcribed and processed into CRISPR RNA (crRNA). In type II CRISPR systems correct processing of pre-crRNA requires a trans-encoded small RNA (tracrRNA), endogenous ribonuclease 3 (rnc) and Cas9. The tracrRNA serves as a guide for ribonuclease 3-aided processing of pre-crRNA (Probable). Cas9/crRNA/tracrRNA endonucleolytically cleaves linear or circular dsDNA target complementary to the spacer yielding blunt ends; Cas9 is inactive in the absence of the 2 guide RNAs (gRNA). Cas9 recognizes a 3'-G-rich protospacer adjacent motif (PAM, TGGTG in this organism) in the CRISPR repeat sequences to help distinguish self versus nonself, as targets within the bacterial CRISPR locus do not have PAMs. PAM recognition is also required for catalytic activity. When the CRISPR3/cas system consisting of cas9-cas1-cas2-csn2-CRISPR3 or just cas9-CRISPR3 is expressed in E.coli it prevents plasmids homologous to spacers 1 or 2 from transforming.
See full target information cas9

Additional targets

CRISPR-Cas9

Publications (2)

Recent publications for all applications. Explore the full list and refine your search

Molecular cancer research : MCR 18:891-902 PubMed32184217

2020

Kinetics of Nuclear Uptake and Site-Specific DNA Cleavage during CRISPR-Directed Gene Editing in Solid Tumor Cells.

Applications

Unspecified application

Species

Unspecified reactive species

Kelly Banas,Natalia Rivera-Torres,Pawel Bialk,Byung-Chun Yoo,Eric B Kmiec

Parasites & vectors 10:281 PubMed28583151

2017

Identification and validation of a Schistosoma japonicum U6 promoter.

Applications

Unspecified application

Species

Unspecified reactive species

Qing Li,Wan Wang,Nan Zhao,Pengcheng Li,Yue Xin,Wei Hu
View all publications

Product promise

We are committed to supporting your work with high-quality reagents, and we're here for you every step of the way. In the unlikely event that one of our products does not perform as expected, you're protected by our Product Promise.
For full details, please see our Terms & Conditions

Please note: All products are 'FOR RESEARCH USE ONLY. NOT FOR USE IN DIAGNOSTIC OR THERAPEUTIC PROCEDURES'.

For licensing inquiries, please contact partnerships@abcam.com