JavaScript is disabled in your browser. Please enable JavaScript to view this website.
AB202638

Anti-CRISPR-Cas9 antibody [EPR19620]

Be the first to review this product! Submit a review

|

(3 Publications)

Rabbit Recombinant Monoclonal CRISPR-Cas9 antibody. Suitable for WB, IHC-P, ICC/IF, Flow Cyt (Intra) and reacts with Transfected cell lysate - Neisseria meningitidis, Transfected cell line - Neisseria meningitidis samples. Cited in 3 publications.

View Alternative Names

NMA0631, cas9, CRISPR-associated endonuclease Cas9

9 Images
Flow Cytometry (Intracellular) - Anti-CRISPR-Cas9 antibody [EPR19620] (AB202638)
  • Flow Cyt (Intra)

Supplier Data

Flow Cytometry (Intracellular) - Anti-CRISPR-Cas9 antibody [EPR19620] (AB202638)

Intracellular flow cytometric analysis of 4% paraformaldehyde-fixed HEK-293 (Human epithelial cell line from embryonic kidney) cells transfected with CRISPR-Cas9 (A1IQ68, Neisseria meningitidis serogroup A / serotype 4A (strain Z2491)) with Myc-His tag labeling CRISPR-Cas9 with ab202638 at 1/80 dilution (red) compared with a Rabbit IgG,monoclonal[EPR25A]- Isotype control (ab172730) (black). Goat anti Rabbit IgG (Alexa Fluorr® 488) at 1/2000 dilution was used as the secondary antibody.

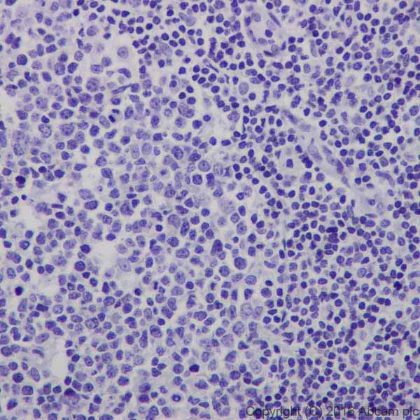
Immunohistochemistry (Formalin/PFA-fixed paraffin-embedded sections) - Anti-CRISPR-Cas9 antibody [EPR19620] (AB202638)
  • IHC-P

Supplier Data

Immunohistochemistry (Formalin/PFA-fixed paraffin-embedded sections) - Anti-CRISPR-Cas9 antibody [EPR19620] (AB202638)

Immunohistochemical analysis of paraffin-embedded Human tonsil tissue labeling CRISPR-Cas9 with ab202638 at 1/100 dilution, followed by Goat Anti-Rabbit IgG H&L (HRP) (ab97051) at 1/500 dilution.

No staining on Human tonsil is observed.

Counter stained with Hematoxylin.

Perform heat mediated antigen retrieval with Tris/EDTA buffer pH 9.0 before commencing with IHC staining protocol.

Immunocytochemistry/ Immunofluorescence - Anti-CRISPR-Cas9 antibody [EPR19620] (AB202638)
  • ICC/IF

Supplier Data

Immunocytochemistry/ Immunofluorescence - Anti-CRISPR-Cas9 antibody [EPR19620] (AB202638)

Immunocytochemical analysis of agarose-embedded sections of 293T (Human epithelial cell line from embryonic kidney) cells transfected with blank pcDNA3.1(+)-Myc-His vector labeling CRISPR-Cas9 with ab202638 at 1/100 dilution, followed by Goat Anti-Rabbit IgG H&L (HRP) (ab97051) at 1/500 dilution.

Negative on the 293T cells transfected with blank pcDNA3.1(+)-Myc-His vector.

Counter stained with Hematoxylin.

Immunocytochemistry/ Immunofluorescence - Anti-CRISPR-Cas9 antibody [EPR19620] (AB202638)
  • ICC/IF

Supplier Data

Immunocytochemistry/ Immunofluorescence - Anti-CRISPR-Cas9 antibody [EPR19620] (AB202638)

Immunocytochemical analysis of agarose-embedded section of 293T (Human epithelial cell line from embryonic kidney) cells transfected with Neisseria meningitidis serogroup A Cas9 (pcDNA3.1(+)-Myc-His) labeling CRISPR-Cas9 with ab202638 at 1/100 dilution, followed by Goat Anti-Rabbit IgG H&L (HRP) (ab97051) at 1/500 dilution.

Positive staining on the 293T cells transfected with Neisseria meningitidis serogroup A Cas9 is observed.

Counter stained with Hematoxylin.

Secondary antibody only control : Used PBS instead of primary antibody, secondary antibody is ab97051 at 1/500 dilution.

Immunocytochemistry/ Immunofluorescence - Anti-CRISPR-Cas9 antibody [EPR19620] (AB202638)
  • ICC/IF

Supplier Data

Immunocytochemistry/ Immunofluorescence - Anti-CRISPR-Cas9 antibody [EPR19620] (AB202638)

Immunofluorescent analysis of 4% paraformaldehyde-fixed, 0.1% Triton X-100 permeabilized 293T (Human epithelial cell line from embryonic kidney) cells transfected with CRISPR-Cas9 (A1IQ68, Neisseria meningitidis serogroup A / serotype 4A (strain Z2491)) with Myc-His tag or Empty vector, labeling CRISPR-Cas9 with ab202638 at 1/100 dilution, followed by Goat Anti-Rabbit IgG (Alexa Fluor® 488) (ab150077) secondary antibody at 1/1000 dilution.

Confocal image showing positive staining on 293T cells transfected with CRISPR-Cas9 (A1IQ68, Neisseria meningitidis serogroup A / serotype 4A (strain Z2491)) with Myc-His tag.

The nuclear counterstain is DAPI (blue).

Tubulin is detected with Anti-alpha Tubulin antibody [DM1A] - Loading Control (ab7291) at 1/1000 dilution and Goat Anti-Mouse IgG H&L (Alexa Fluor® 594) preadsorbed (ab150120) at 1/1000 dilution (red).

The negative controls are as follows : -

-ve control 1 : ab202638 at 1/100 dilution followed by ab150120 at 1/1000 dilution.

-ve control 2 : ab7291 at 1/1000 dilution followed by ab150077 at 1/1000 dilution.

Immunohistochemistry (Formalin/PFA-fixed paraffin-embedded sections) - Anti-CRISPR-Cas9 antibody [EPR19620] (AB202638)
  • IHC-P

Supplier Data

Immunohistochemistry (Formalin/PFA-fixed paraffin-embedded sections) - Anti-CRISPR-Cas9 antibody [EPR19620] (AB202638)

Immunohistochemical analysis of paraffin-embedded Mouse stomach tissue labeling CRISPR-Cas9 with ab202638 at 1/100 dilution, followed by Goat Anti-Rabbit IgG H&L (HRP) (ab97051) at 1/500 dilution.

No staining on mouse stomach is observed.

Counter stained with Hematoxylin.

Perform heat mediated antigen retrieval with Tris/EDTA buffer pH 9.0 before commencing with IHC staining protocol.

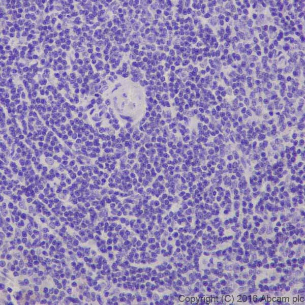
Immunohistochemistry (Formalin/PFA-fixed paraffin-embedded sections) - Anti-CRISPR-Cas9 antibody [EPR19620] (AB202638)
  • IHC-P

Supplier Data

Immunohistochemistry (Formalin/PFA-fixed paraffin-embedded sections) - Anti-CRISPR-Cas9 antibody [EPR19620] (AB202638)

Immunohistochemical analysis of paraffin-embedded Rat spleen tissue labeling CRISPR-Cas9 with ab202638 at 1/100 dilution, followed by Goat Anti-Rabbit IgG H&L (HRP) (ab97051) at 1/500 dilution.

No staining on rat spleen is observed.

Counter stained with Hematoxylin.

Perform heat mediated antigen retrieval with Tris/EDTA buffer pH 9.0 before commencing with IHC staining protocol.

Western blot - Anti-CRISPR-Cas9 antibody [EPR19620] (AB202638)
  • WB

Supplier Data

Western blot - Anti-CRISPR-Cas9 antibody [EPR19620] (AB202638)

Blocking/Dilution buffer : 5% NFDM/TBST.

All lanes:

Western blot - Anti-CRISPR-Cas9 antibody [EPR19620] (ab202638) at 1/20000 dilution

Lane 1:

HEK-293 (Human epithelial cell line from embryonic kidney) whole cell lysate transfected with CRISPR-Cas9 (A1IQ68, Neisseria meningitidis serogroup A / serotype 4A (strain Z2491)) with Myc-His tag at 20 µg

Lane 2:

HeLa (Human epithelial cell line from cervix adenocarcinoma) whole cell lysate at 20 µg

Lane 3:

NIH/3T3 (Mouse embryonic fibroblast cell line) whole cell lysate at 20 µg

Lane 4:

Rat embryo lysate at 20 µg

Secondary

All lanes:

Western blot - Goat Anti-Rabbit IgG H&L (HRP) (<a href='/en-us/products/secondary-antibodies/goat-rabbit-igg-h-l-hrp-ab97051'>ab97051</a>) at 1/100000 dilution

Predicted band size: 124 kDa,164 kDa

Observed band size: 124 kDa,150 kDa,86 kDa

false

Exposure time: 1s

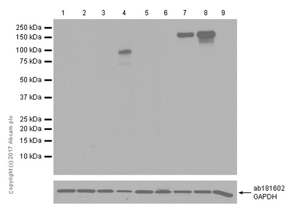
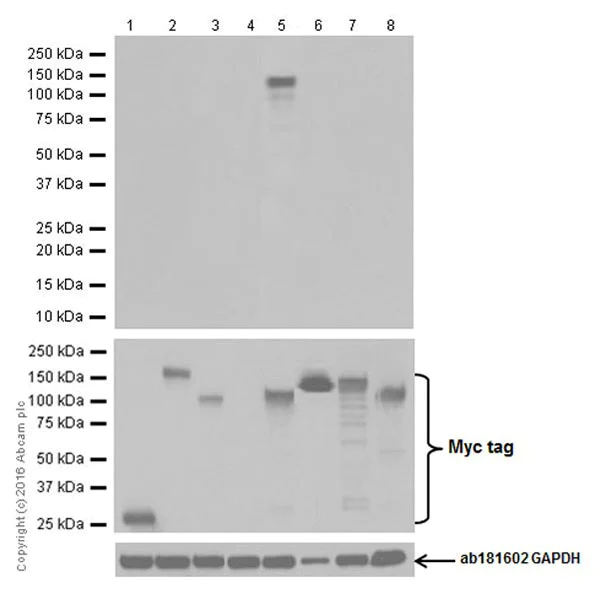
Western blot - Anti-CRISPR-Cas9 antibody [EPR19620] (AB202638)
  • WB

Supplier Data

Western blot - Anti-CRISPR-Cas9 antibody [EPR19620] (AB202638)

Blocking/Dilution buffer : 5% NFDM/TBST.

All lanes:

Western blot - Anti-CRISPR-Cas9 antibody [EPR19620] (ab202638) at 1/5000 dilution

Lane 1:

Empty vector with GFP-Myc tag (vector control) transfected HEK-293 (Human epithelial cell line from embryonic kidney) whole cell lysate at 20 µg

Lane 2:

HEK-293 (Human epithelial cell line from embryonic kidney) whole cell lysate transfected with CRISPR-Cas9 (Q99ZW2, Streptococcus pyogenes serotype M1) with GFP-Myc tag at 20 µg

Lane 3:

HEK-293 (Human epithelial cell line from embryonic kidney) whole cell lysate transfected with CRISPR-Cas9 (G3ECR1, Streptococcus thermophilus, N–terminal aa1-800) with GFP-Myc tag at 20 µg

Lane 4:

Empty vector with Myc-His tag (vector control) transfected HEK-293 (Human epithelial cell line from embryonic kidney) whole cell lysate at 20 µg

Lane 5:

HEK-293 (Human epithelial cell line from embryonic kidney) whole cell lysate transfected with CRISPR-Cas9 (A1IQ68, Neisseria meningitidis serogroup A / serotype 4A (strain Z2491)) with Myc-His tag at 20 µg

Lane 6:

HEK-293 (Human epithelial cell line from embryonic kidney) whole cell lysate transfected with CRISPR-Cas9 (G3ECR1, Streptococcus thermophilus) with Myc-His tag at 20 µg

Lane 7:

HEK-293 (Human epithelial cell line from embryonic kidney) whole cell lysate transfected with CRISPR-Cas9 (Q03JI6, Streptococcus thermophilus (strain ATCC BAA-491 / LMD-9)) with Myc-His tag at 20 µg

Lane 8:

HEK-293 (Human epithelial cell line from embryonic kidney) whole cell lysate transfected with CRISPR-Cas9 (J7RUA5, Staphylococcus aureus subsp. aureus) with Myc-His tag at 20 µg

Secondary

All lanes:

Western blot - Goat Anti-Rabbit IgG H&L (HRP) (<a href='/en-us/products/secondary-antibodies/goat-rabbit-igg-h-l-hrp-ab97051'>ab97051</a>) at 1/100000 dilution

Predicted band size: 124 kDa

Observed band size: 150 kDa

false

Exposure time: 3s

  • 519 Alexa Fluor® 488

    Alexa Fluor® 488 Anti-CRISPR-Cas9 antibody [EPR19620]

  • Carrier free

    Anti-CRISPR-Cas9 antibody [EPR19620] - BSA and Azide free

Key facts

Host species

Rabbit

Clonality

Monoclonal

Clone number

EPR19620

Isotype

IgG

Carrier free

No

Applications

Flow Cyt (Intra), IHC-P, ICC/IF, WB

applications

Immunogen

The exact immunogen used to generate this antibody is proprietary information.

Reactivity data

{ "title": "Reactivity Data", "filters": { "stats": ["", "Species", "Dilution Info", "Notes"], "tabs": { "all-applications": {"fullname" : "All Applications", "shortname": "All Applications"}, "WB" : {"fullname" : "Western blot", "shortname":"WB"}, "IHCP" : {"fullname" : "Immunohistochemistry (Formalin/PFA-fixed paraffin-embedded sections)", "shortname":"IHC-P"}, "ICCIF" : {"fullname" : "Immunocytochemistry/ Immunofluorescence", "shortname":"ICC/IF"}, "FlowCytIntra" : {"fullname" : "Flow Cytometry (Intracellular)", "shortname":"Flow Cyt (Intra)"} }, "product-promise": { "all": "all", "testedAndGuaranteed": "tested", "guaranteed": "expected", "predicted": "predicted", "notRecommended": "not-recommended" } }, "values": { "Neisseria meningitidis": { "WB-species-checked": "predicted", "WB-species-dilution-info": "", "WB-species-notes": "", "IHCP-species-checked": "predicted", "IHCP-species-dilution-info": "", "IHCP-species-notes": "", "ICCIF-species-checked": "predicted", "ICCIF-species-dilution-info": "", "ICCIF-species-notes": "", "FlowCytIntra-species-checked": "predicted", "FlowCytIntra-species-dilution-info": "", "FlowCytIntra-species-notes": "" }, "Transfected cell line - Neisseria meningitidis": { "WB-species-checked": "notRecommended", "WB-species-dilution-info": "", "WB-species-notes": "", "IHCP-species-checked": "testedAndGuaranteed", "IHCP-species-dilution-info": "1/1000", "IHCP-species-notes": "<p></p> Perform heat-mediated antigen retrieval with Tris/EDTA buffer pH 9.0 before commencing with IHC staining protocol.", "ICCIF-species-checked": "notRecommended", "ICCIF-species-dilution-info": "", "ICCIF-species-notes": "", "FlowCytIntra-species-checked": "notRecommended", "FlowCytIntra-species-dilution-info": "", "FlowCytIntra-species-notes": "" }, "Transfected cell lysate - Neisseria meningitidis": { "WB-species-checked": "testedAndGuaranteed", "WB-species-dilution-info": "1/5000", "WB-species-notes": "<p></p>", "IHCP-species-checked": "notRecommended", "IHCP-species-dilution-info": "", "IHCP-species-notes": "", "ICCIF-species-checked": "testedAndGuaranteed", "ICCIF-species-dilution-info": "1/100", "ICCIF-species-notes": "<p></p>", "FlowCytIntra-species-checked": "testedAndGuaranteed", "FlowCytIntra-species-dilution-info": "1/80", "FlowCytIntra-species-notes": "<p></p>" } } }

Product details

Patented technology
Our RabMAb® technology is a patented hybridoma-based technology for making rabbit monoclonal antibodies. For details on our patents, please refer to RabMAb® patents.

What are the advantages of a recombinant monoclonal antibody?
This product is a recombinant monoclonal antibody, which offers several advantages including:

  • - High batch-to-batch consistency and reproducibility
  • - Improved sensitivity and specificity
  • - Long-term security of supply
  • - Animal-free batch production

For more information, read more on recombinant antibodies.

Properties and storage information

Form
Liquid
Purification technique
Affinity purification Protein A
Storage buffer
pH: 7.2 - 7.4 Preservative: 0.01% Sodium azide Constituents: PBS, 40% Glycerol (glycerin, glycerine), 0.05% BSA
Shipped at conditions
Blue Ice
Appropriate short-term storage duration
1-2 weeks
Appropriate short-term storage conditions
+4°C
Appropriate long-term storage conditions
-20°C
Aliquoting information
Upon delivery aliquot
Storage information
Avoid freeze / thaw cycle

Supplementary information

This supplementary information is collated from multiple sources and compiled automatically.

CRISPR-Cas9 also known simply as Cas9 is a protein that acts as a molecular scissor in gene editing. It has a molecular weight of approximately 160 kDa. Cas9 is a part of the CRISPR-Cas system originally discovered in bacteria where it serves as an adaptive immune system. In bacterial cells Cas9 targets and cleaves specific DNA sequences allowing for targeted gene modifications. While the expression of the CRISPR-Cas system occurs naturally in prokaryotes scientists now harness it in various organisms for genetic manipulation.
Biological function summary

The Cas9 protein functions as an integral part of the CRISPR-Cas9 complex which includes a guide RNA to direct the protein to specific DNA sequences. This complex enables precise cuts at targeted locations within the genome. The Cas9 protein size allows it to fit effectively within cells facilitating genome editing in areas such as research agriculture and therapeutics. The complexity of CRISPR-Cas9 also includes the interaction with other cellular components that assist in DNA repair post-cleavage.

Pathways

CRISPR-Cas9 plays a role in DNA repair pathways particularly non-homologous end joining and homologous recombination. After Cas9-induced DNA breaks these pathways become active to repair the cleaved DNA. The gene editing process facilitated by CRISPR-Cas9 often involves interaction with DNA repair proteins like ku70/80 and Rad51 in response to induced breaks. This allows for either the incorporation of new genetic material or the modification of existing genes.

CRISPR-Cas9 has potential in treating genetic disorders such as cystic fibrosis and Duchenne muscular dystrophy. By correcting mutated genes scientists aim to restore normal gene function offering potential therapeutic benefits. Additionally CRISPR-Cas9 relates indirectly to p53 a protein known for its tumor suppressor functions because gene-editing processes can sometimes activate p53-dependent pathways leading to cell cycle arrest or apoptosis. This highlights the importance of understanding the broader implications of CRISPR-Cas9 in therapeutic applications.

Product protocols

For this product, it's our understanding that no specific protocols are required. You can visit:

Target data

CRISPR (clustered regularly interspaced short palindromic repeat) is an adaptive immune system that provides protection against mobile genetic elements (viruses, transposable elements and conjugative plasmids). CRISPR clusters contain spacers, sequences complementary to antecedent mobile elements, and target invading nucleic acids. CRISPR clusters are transcribed and processed into CRISPR RNA (crRNA). In type II CRISPR systems correct processing of pre-crRNA requires a trans-encoded small RNA (tracrRNA), endogenous ribonuclease 3 (rnc) and this protein. The tracrRNA serves as a guide for ribonuclease 3-aided processing of pre-crRNA. Subsequently Cas9/crRNA/tracrRNA endonucleolytically cleaves linear or circular dsDNA target complementary to the spacer; Cas9 is inactive in the absence of the 2 guide RNAs (gRNA). Cas9 recognizes the protospacer adjacent motif (PAM) in the CRISPR repeat sequences to help distinguish self versus nonself, as targets within the bacterial CRISPR locus do not have PAMs. PAM recognition is also required for catalytic activity (By similarity). Cuts target DNA in Cas9 : gRNAs mixing experiments with C.jejuni strain NCTC 11168 and P.multocoda strain Pm70.
See full target information cas9

Additional targets

CRISPR-Cas9

Publications (3)

Recent publications for all applications. Explore the full list and refine your search

Nature : PubMed40902823

2025

Cas9 senses CRISPR RNA abundance to regulate CRISPR spacer acquisition.

Applications

Unspecified application

Species

Unspecified reactive species

Xufei Zhou,Rucheng Diao,Xin Li,Christine A Ziegler,Max J Gramelspacher,Lydia Freddolino,Zhonggang Hou,Yan Zhang

Communications biology 8:1332 PubMed40897812

2025

AAV-dCas9 vector unsilences paternal Ube3a in neurons by impeding Ube3a-ATS transcription.

Applications

Unspecified application

Species

Unspecified reactive species

Justin M Wolter,Lucas M James,Samantha L Boeshore,Hanqian Mao,Eric S McCoy,Daniel F Ryan,Giulia Fragola,Bonnie Taylor-Blake,Jason L Stein,Mark J Zylka

NPJ Regenerative medicine 7:14 PubMed35110584

2022

CDH18 is a fetal epicardial biomarker regulating differentiation towards vascular smooth muscle cells.

Applications

Unspecified application

Species

Unspecified reactive species

Julia Junghof,Yuta Kogure,Tian Yu,Eva María Verdugo-Sivianes,Megumi Narita,Antonio Lucena-Cacace,Yoshinori Yoshida
View all publications

Product promise

We are committed to supporting your work with high-quality reagents, and we're here for you every step of the way. In the unlikely event that one of our products does not perform as expected, you're protected by our Product Promise.
For full details, please see our Terms & Conditions

Please note: All products are 'FOR RESEARCH USE ONLY. NOT FOR USE IN DIAGNOSTIC OR THERAPEUTIC PROCEDURES'.

For licensing inquiries, please contact partnerships@abcam.com