JavaScript is disabled in your browser. Please enable JavaScript to view this website.
AB271293

Anti-CRISPR-Cas9 antibody [KANI345B]

5

(1 Review)

|

(0 Publication)

Rat Recombinant Monoclonal CRISPR-Cas9 antibody. Suitable for ICC, WB, IHC-P and reacts with Transfected cell line - Streptococcus pyogenes samples.

View Alternative Names

csn1, SPy_1046, cas9, CRISPR-associated endonuclease Cas9/Csn1, SpCas9, SpyCas9

7 Images
Immunocytochemistry - Anti-CRISPR-Cas9 antibody [KANI345B] (AB271293)
  • ICC

Supplier Data

Immunocytochemistry - Anti-CRISPR-Cas9 antibody [KANI345B] (AB271293)

Immunofluorescent analysis of 4% paraformaldehyde-fixed, 0.1% Triton X-100 permeabilized 293T+OE-94 cells labelling CRISPR-Cas9 with ab271293 at 1/50 dilution (18.32 ug/ml), followed by ab150160 Goat Anti-Rat IgG H&L (Alexa Fluor® 594) antibody at 1/1000 dilution (2 ug/ml) (Red). The nuclear counterstain was DAPI (Blue).
Confocal image showing cytoplasmic staining in 293T cells transfected with GFP-tagged Cas9 expression vector.
Secondary antibody only control : Secondary antibody is ab150160 Goat Anti-Rat IgG H&L (Alexa Fluor® 594) antibody at 1/1000 dilution (2 ug/ml).

Immunohistochemistry (Formalin/PFA-fixed paraffin-embedded sections) - Anti-CRISPR-Cas9 antibody [KANI345B] (AB271293)
  • IHC-P

Supplier Data

Immunohistochemistry (Formalin/PFA-fixed paraffin-embedded sections) - Anti-CRISPR-Cas9 antibody [KANI345B] (AB271293)

Immunohistochemical analysis of paraffin-embedded (Panel A) HEK-293T (human epithelial cell line from embryonic kidney transformed with large T antigen) transfected with a GFP-Myc-tagged CRISPR-associated endonuclease Cas9/Csn1 construct and (Panel B) HEK-293T (human epithelial cell line from embryonic kidney transformed with large T antigen) transfected with empty plasmid, labeling CRISPR-Cas9 with ab271293 at 1/200 (4.58 ug/ml) dilution followed by a ready to use Goat Anti-Rat IgG H&L (HRP polymer) (ab214882). Counterstained with Hematoxylin.
Positive staining on (A) HEK-293T transfected with a GFP-Myc-tagged CRISPR-associated endonuclease Cas9/Csn1 construct, no staining on (B) HEK-293T transfected with empty plasmid.

Secondary antibody only control : Secondary antibody is a ready to use Goat Anti-Rat IgG H&L (HRP polymer) (ab214882).

Immunohistochemistry (Formalin/PFA-fixed paraffin-embedded sections) - Anti-CRISPR-Cas9 antibody [KANI345B] (AB271293)
  • IHC-P

Supplier Data

Immunohistochemistry (Formalin/PFA-fixed paraffin-embedded sections) - Anti-CRISPR-Cas9 antibody [KANI345B] (AB271293)

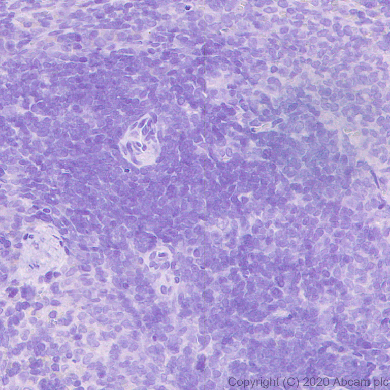
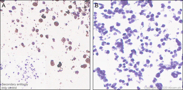
Immunohistochemical analysis of paraffin-embedded human tonsil tissue labeling CRISPR-Cas9 with ab271293 at 1/200 (4.58 ug/ml) dilution followed by a ready to use Goat Anti-Rat IgG H&L (HRP polymer) (ab214882). Counterstained with Hematoxylin. Secondary antibody only control : Secondary antibody is a ready to use Goat Anti-Rat IgG H&L (HRP polymer) (ab214882). Heat mediated antigen retrieval using ab93678 (citrate buffer, pH 6.0).
Negative control : No staining on the human tonsil.

Immunohistochemistry (Formalin/PFA-fixed paraffin-embedded sections) - Anti-CRISPR-Cas9 antibody [KANI345B] (AB271293)
  • IHC-P

Supplier Data

Immunohistochemistry (Formalin/PFA-fixed paraffin-embedded sections) - Anti-CRISPR-Cas9 antibody [KANI345B] (AB271293)

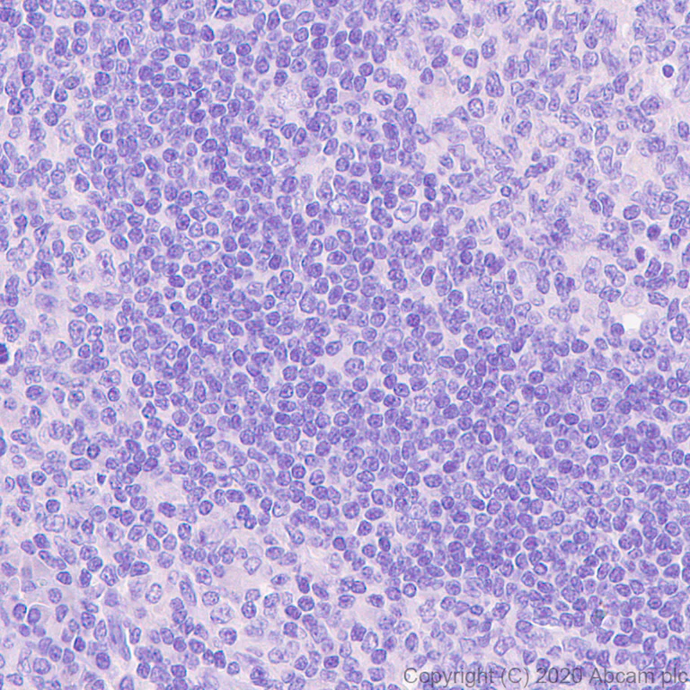
Immunohistochemical analysis of paraffin-embedded rat spleen tissue labeling CRISPR-Cas9 with ab271293 at 1/200 (4.58 ug/ml) dilution followed by a ready to use Goat Anti-Rat IgG H&L (HRP polymer) (ab214882). Counterstained with Hematoxylin. Heat mediated antigen retrieval using ab93678 (citrate buffer, pH 6.0).
Negative control : No staining on the rat spleen.

Immunohistochemistry (Formalin/PFA-fixed paraffin-embedded sections) - Anti-CRISPR-Cas9 antibody [KANI345B] (AB271293)
  • IHC-P

Supplier Data

Immunohistochemistry (Formalin/PFA-fixed paraffin-embedded sections) - Anti-CRISPR-Cas9 antibody [KANI345B] (AB271293)

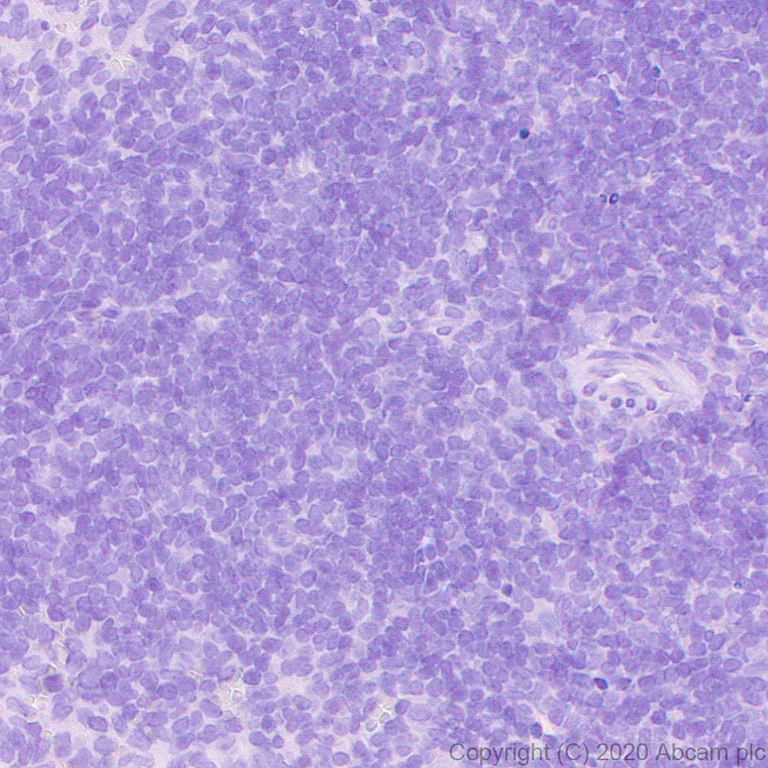
Immunohistochemical analysis of paraffin-embedded mouse spleen tissue labeling CRISPR-Cas9 with ab271293 at 1/200 (4.58 ug/ml) dilution followed by a ready to use Goat Anti-Rat IgG H&L (HRP polymer) (ab214882). Counterstained with Hematoxylin. Heat mediated antigen retrieval using ab93678 (citrate buffer, pH 6.0).
Negative control : No staining on the mouse spleen.

Western blot - Anti-CRISPR-Cas9 antibody [KANI345B] (AB271293)
  • WB

Supplier Data

Western blot - Anti-CRISPR-Cas9 antibody [KANI345B] (AB271293)

Blocking/Dilution buffer : 5% NFDM/TBST.

All lanes:

Western blot - Anti-CRISPR-Cas9 antibody [KANI345B] (ab271293) at 1/5000 dilution

Lane 1:

HEK-293 (human embryonic kidney epithelial cell) transfected with CRISPR-Cas9 (Q99ZW2, Streptococcus pyogenes serotype M1) with GFP-Myc tag, whole cell lysate at 5 µg

Lane 2:

HeLa (human cervix adenocarcinoma epithelial cell) whole cell lysate at 5 µg

Lane 3:

NIH/3T3 (mouse embryonic fibroblast) whole cell lysate at 5 µg

Lane 4:

C6 (rat glial tumor glial cell), whole cell lysate at 5 µg

Secondary

All lanes:

Peroxidase-Conjugated Goat anti-Mouse IgG (H+L) at 1/10000 dilution

false

Exposure time: 1s

Western blot - Anti-CRISPR-Cas9 antibody [KANI345B] (AB271293)
  • WB

Supplier Data

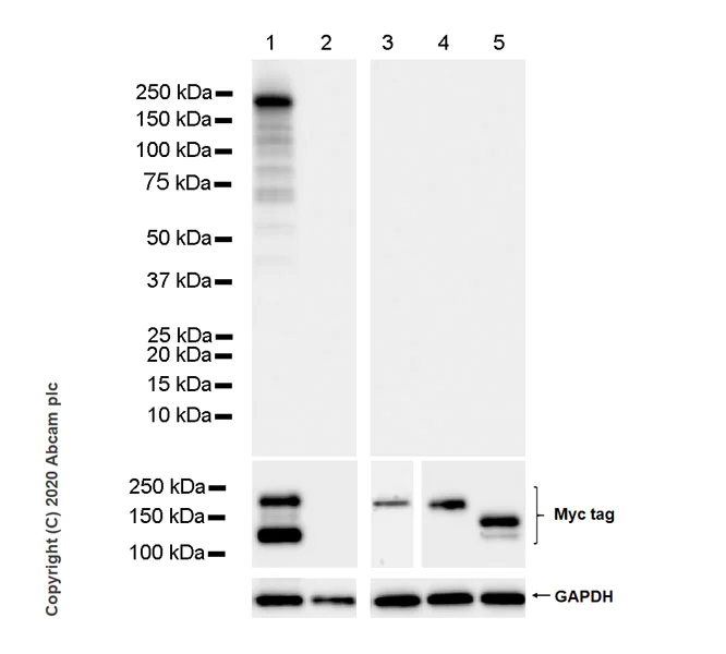
Western blot - Anti-CRISPR-Cas9 antibody [KANI345B] (AB271293)

Blocking/Dilution buffer : 5% NFDM/TBST.

All lanes:

Western blot - Anti-CRISPR-Cas9 antibody [KANI345B] (ab271293) at 1/5000 dilution

Lane 1:

HEK-293 (human embryonic kidney epithelial cell) transfected with CRISPR-Cas9 (Q99ZW2, Streptococcus pyogenes serotype M1) with GFP-Myc tag, whole cell lysate at 5 µg

Lane 2:

HEK-293T transfected with an empty vector (vector control), containing a myc-His-tag®, whole cell lysate at 5 µg

Lane 3:

HEK-293 transfected with CRISPR-Cas9 (G3ECR1, Streptococcus thermophilus) with Myc-His tag, whole cell lysate at 5 µg

Lane 4:

HEK-293 transfected with CRISPR-Cas9 (Q03JI6, Streptococcus thermophilus) with Myc-His tag, whole cell lysate at 5 µg

Lane 5:

HEK-293 transfected with CRISPR-Cas9 (J7RUA5, Staphylococcus aureus subsp. aureus) with Myc-His tag, whole cell lysate at 5 µg

Secondary

All lanes:

Peroxidase-Conjugated Goat anti-Mouse IgG (H+L) at 1/10000 dilution

false

Exposure time: 1s

  • Carrier free

    Anti-CRISPR-Cas9 antibody [KANI345B] - BSA and Azide free

Key facts

Host species

Rat

Clonality

Monoclonal

Clone number

KANI345B

Isotype

IgG2a

Carrier free

No

Applications

WB, IHC-P, ICC

applications

Immunogen

The exact immunogen used to generate this antibody is proprietary information.

Reactivity data

{ "title": "Reactivity Data", "filters": { "stats": ["", "Species", "Dilution Info", "Notes"], "tabs": { "all-applications": {"fullname" : "All Applications", "shortname": "All Applications"}, "ICC" : {"fullname" : "Immunocytochemistry", "shortname":"ICC"}, "WB" : {"fullname" : "Western blot", "shortname":"WB"}, "IHCP" : {"fullname" : "Immunohistochemistry (Formalin/PFA-fixed paraffin-embedded sections)", "shortname":"IHC-P"} }, "product-promise": { "all": "all", "testedAndGuaranteed": "tested", "guaranteed": "expected", "predicted": "predicted", "notRecommended": "not-recommended" } }, "values": { "Streptococcus pyogenes": { "ICC-species-checked": "predicted", "ICC-species-dilution-info": "", "ICC-species-notes": "", "WB-species-checked": "predicted", "WB-species-dilution-info": "", "WB-species-notes": "", "IHCP-species-checked": "predicted", "IHCP-species-dilution-info": "", "IHCP-species-notes": "" }, "Transfected cell line - Streptococcus pyogenes": { "ICC-species-checked": "testedAndGuaranteed", "ICC-species-dilution-info": "1/50", "ICC-species-notes": "<p></p>", "WB-species-checked": "testedAndGuaranteed", "WB-species-dilution-info": "1/5000", "WB-species-notes": "<p></p>", "IHCP-species-checked": "testedAndGuaranteed", "IHCP-species-dilution-info": "1/200", "IHCP-species-notes": "<p></p> Perform heat-mediated antigen retrieval with citrate buffer pH 6 before commencing with IHC staining protocol." } } }

Product details

What are the advantages of a recombinant monoclonal antibody?
This product is a recombinant monoclonal antibody, which offers several advantages including:

  • - High batch-to-batch consistency and reproducibility
  • - Improved sensitivity and specificity
  • - Long-term security of supply
  • - Animal-free batch production

For more information, read more on recombinant antibodies.

Want a custom formulation?
This antibody clone is manufactured by Abcam. If you require a custom buffer formulation or conjugation for your experiments, please contact orders@abcam.com

Properties and storage information

Form
Liquid
Purification technique
Affinity purification Protein A
Storage buffer
Preservative: 0.01% Sodium azide Constituents: PBS, 40% Glycerol (glycerin, glycerine), 0.05% BSA
Shipped at conditions
Blue Ice
Appropriate short-term storage duration
1-2 weeks
Appropriate short-term storage conditions
+4°C
Appropriate long-term storage conditions
-20°C
Aliquoting information
Upon delivery aliquot
Storage information
Avoid freeze / thaw cycle

Supplementary information

This supplementary information is collated from multiple sources and compiled automatically.

CRISPR-Cas9 also known simply as Cas9 is a protein that acts as a molecular scissor in gene editing. It has a molecular weight of approximately 160 kDa. Cas9 is a part of the CRISPR-Cas system originally discovered in bacteria where it serves as an adaptive immune system. In bacterial cells Cas9 targets and cleaves specific DNA sequences allowing for targeted gene modifications. While the expression of the CRISPR-Cas system occurs naturally in prokaryotes scientists now harness it in various organisms for genetic manipulation.
Biological function summary

The Cas9 protein functions as an integral part of the CRISPR-Cas9 complex which includes a guide RNA to direct the protein to specific DNA sequences. This complex enables precise cuts at targeted locations within the genome. The Cas9 protein size allows it to fit effectively within cells facilitating genome editing in areas such as research agriculture and therapeutics. The complexity of CRISPR-Cas9 also includes the interaction with other cellular components that assist in DNA repair post-cleavage.

Pathways

CRISPR-Cas9 plays a role in DNA repair pathways particularly non-homologous end joining and homologous recombination. After Cas9-induced DNA breaks these pathways become active to repair the cleaved DNA. The gene editing process facilitated by CRISPR-Cas9 often involves interaction with DNA repair proteins like ku70/80 and Rad51 in response to induced breaks. This allows for either the incorporation of new genetic material or the modification of existing genes.

CRISPR-Cas9 has potential in treating genetic disorders such as cystic fibrosis and Duchenne muscular dystrophy. By correcting mutated genes scientists aim to restore normal gene function offering potential therapeutic benefits. Additionally CRISPR-Cas9 relates indirectly to p53 a protein known for its tumor suppressor functions because gene-editing processes can sometimes activate p53-dependent pathways leading to cell cycle arrest or apoptosis. This highlights the importance of understanding the broader implications of CRISPR-Cas9 in therapeutic applications.

Product protocols

For this product, it's our understanding that no specific protocols are required. You can visit:

Target data

CRISPR (clustered regularly interspaced short palindromic repeat) is an adaptive immune system that provides protection against mobile genetic elements (viruses, transposable elements and conjugative plasmids) (PubMed : 21455174). CRISPR clusters contain spacers, sequences complementary to antecedent mobile elements, and target invading nucleic acids. CRISPR clusters are transcribed and processed into CRISPR RNA (crRNA). In type II CRISPR systems correct processing of pre-crRNA requires a trans-encoded small RNA (tracrRNA), endogenous ribonuclease 3 (rnc) and this protein. The tracrRNA serves as a guide for ribonuclease 3-aided processing of pre-crRNA; Cas9 only stabilizes the pre-crRNA : tracrRNA interaction and has no catalytic function in RNA processing (PubMed : 24270795). Subsequently Cas9/crRNA/tracrRNA endonucleolytically cleaves linear or circular dsDNA target complementary to the spacer; Cas9 is inactive in the absence of the 2 guide RNAs (gRNA). The target strand not complementary to crRNA is first cut endonucleolytically, then trimmed 3'-5' exonucleolytically. DNA-binding requires protein and both gRNAs, as does nuclease activity. Cas9 recognizes the protospacer adjacent motif (PAM) in the CRISPR repeat sequences to help distinguish self versus nonself, as targets within the bacterial CRISPR locus do not have PAMs. DNA strand separation and heteroduplex formation starts at PAM sites; PAM recognition is required for catalytic activity (PubMed : 24476820). Confers immunity against a plasmid with homology to the appropriate CRISPR spacer sequences (CRISPR interference) (PubMed : 21455174).
See full target information cas9

Additional targets

CRISPR-Cas9

Product promise

We are committed to supporting your work with high-quality reagents, and we're here for you every step of the way. In the unlikely event that one of our products does not perform as expected, you're protected by our Product Promise.
For full details, please see our Terms & Conditions

Please note: All products are 'FOR RESEARCH USE ONLY. NOT FOR USE IN DIAGNOSTIC OR THERAPEUTIC PROCEDURES'.

For licensing inquiries, please contact partnerships@abcam.com