JavaScript is disabled in your browser. Please enable JavaScript to view this website.
AB300630

Anti-Crk p38 antibody [22/Crk]

Be the first to review this product! Submit a review

|

(0 Publication)

Mouse Recombinant Monoclonal Crk p38 antibody. Suitable for WB, ICC/IF, IP and reacts with Human, Mouse, Rat samples.

View Alternative Names

Adapter molecule crk, Proto-oncogene c-Crk, p38, CRK

8 Images
Immunocytochemistry/ Immunofluorescence - Anti-Crk p38 antibody [22/Crk] (AB300630)
  • ICC/IF

Supplier Data

Immunocytochemistry/ Immunofluorescence - Anti-Crk p38 antibody [22/Crk] (AB300630)

Immunofluorescent analysis of 4% Paraformaldehyde-fixed, 0.1% TritonX-100 permeabilized HeLa (human cervix adenocarcinoma epithelial cell) cells labelling Crk p38 with ab300630 at 1/50 (20ug/mL) dilution, followed by ab150117 Goat Anti-Mouse IgG H&L (Alexa Fluor® 488) preadsorbed antibody at 1/1000 2 ug/mL dilution (Green). Confocal image showing cytoplasmic and nuclear staining in HeLa cell line is observed. ab179513 Anti-beta Tubulin rabbit monoclonal antibody was used to counterstain tubulin at 1/200 10 ug/mL dilution (Red). The Nuclear counterstain was DAPI (Blue). Secondary antibody only control : Secondary antibody is ab150117 Goat Anti-Mouse IgG H&L (Alexa Fluor® 488) preadsorbed at 1/1000 2 ug/mL dilution.

Immunoprecipitation - Anti-Crk p38 antibody [22/Crk] (AB300630)
  • IP

Supplier Data

Immunoprecipitation - Anti-Crk p38 antibody [22/Crk] (AB300630)

Crk p38 was immunoprecipitated from 0.35 mg HeLa (human cervix adenocarcinoma epithelial cell) whole cell lysate with ab300630 at 1/30 dilution (2 µg in 0.35 mg lysates). Western blot was performed on the immunoprecipitate using ab300630 at 1/1000 dilution. VeriBlot for IP secondary antibody(HRP)(ab131366) was used at 1/5000 dilution.

Blocking and dilution buffer and concentration : 5% NFDM/TBST

This blot was developed using a high sensitivity ECL substrate. The high-sensitivity ECL substrate used allows for the detection of proteins in the mid-femtogram range.

ab300630 recognises a band at ~35 KDa (isoform Crk-II) and ~23KDa (isoform Crk-I).

All lanes:

Immunoprecipitation - Anti-Crk p38 antibody [22/Crk] (ab300630) at 1/1000 dilution

Lane 1:

HeLa (human cervix adenocarcinoma epithelial cell) whole cell lysate at 10 µg

Lane 2:

ab300630 at 1/30 IP in HeLa whole cell lysate at 10 µg

Lane 3:

Mouse IgG2a, kappa monoclonal isotype control (<a href='/en-us/products/primary-antibodies/mouse-igg2a-kappa-monoclonal-mopc-173-isotype-control-chip-grade-ab18413'>ab18413</a>) instead of ab300630 in HeLa whole cell lysate at 10 µg

Secondary

All lanes:

Immunoprecipitation - VeriBlot for IP Detection Reagent (HRP) (<a href='/en-us/products/reagents/veriblot-for-ip-detection-reagent-hrp-ab131366'>ab131366</a>) at 1/5000 dilution

Predicted band size: 33 kDa

Observed band size: 23 kDa,35 kDa

true

Exposure time: 3min

Immunocytochemistry/ Immunofluorescence - Anti-Crk p38 antibody [22/Crk] (AB300630)
  • ICC/IF

Supplier Data

Immunocytochemistry/ Immunofluorescence - Anti-Crk p38 antibody [22/Crk] (AB300630)

Immunofluorescent analysis of 100% methanol-fixed, 0.1% TritonX-100 permeabilized C6 (rat glial tumor glial cell) cells labelling Crk p38 with ab300630 at 1/50 (20ug/mL) dilution, followed by ab150117 Goat Anti-Mouse IgG H&L (Alexa Fluor® 488) preadsorbed antibody at 1/1000 2 ug/mL dilution (Green). Confocal image showing cytoplasmic and nuclear staining in C6 cell line is observed. ab179513 Anti-beta Tubulin rabbit monoclonal antibody was used to counterstain tubulin at 1/200 10 ug/mL dilution (Red). The Nuclear counterstain was DAPI (Blue). Secondary antibody only control : Secondary antibody is ab150117 Goat Anti-Mouse IgG H&L (Alexa Fluor® 488) preadsorbed at 1/1000 2 ug/mL dilution.

Immunocytochemistry/ Immunofluorescence - Anti-Crk p38 antibody [22/Crk] (AB300630)
  • ICC/IF

Supplier Data

Immunocytochemistry/ Immunofluorescence - Anti-Crk p38 antibody [22/Crk] (AB300630)

Immunofluorescent analysis of 100% methanol-fixed, 0.1% TritonX-100 permeabilized RAW 264.7 (mouse Abelson murine leukemia virus-induced tumor macrophage) cells labelling Crk p38 with ab300630 at 1/50 (20ug/mL) dilution, followed by ab150117 Goat Anti-Mouse IgG H&L (Alexa Fluor® 488) preadsorbed antibody at 1/1000 2 ug/mL dilution (Green). Confocal image showing cytoplasmic and nuclear staining in RAW 264.7 cell line is observed. ab179513 Anti-beta Tubulin rabbit monoclonal antibody was used to counterstain tubulin at 1/200 10 ug/mL dilution (Red). The Nuclear counterstain was DAPI (Blue). Secondary antibody only control : Secondary antibody is ab150117 Goat Anti-Mouse IgG H&L (Alexa Fluor® 488) preadsorbed at 1/1000 2 ug/mL dilution.

Immunoprecipitation - Anti-Crk p38 antibody [22/Crk] (AB300630)
  • IP

Supplier Data

Immunoprecipitation - Anti-Crk p38 antibody [22/Crk] (AB300630)

Crk p38 was immunoprecipitated from 0.35 mg C6 (rat glial tumor glial cell) whole cell lysate with ab300630 at 1/30 dilution (2 µg in 0.35 mg lysates). Western blot was performed on the immunoprecipitate using ab300630 at 1/1000 dilution. VeriBlot for IP secondary antibody(HRP)(ab131366) was used at 1/5000 dilution.

Blocking and dilution buffer and concentration : 5% NFDM/TBST

This blot was developed using a high sensitivity ECL substrate. The high-sensitivity ECL substrate used allows for the detection of proteins in the mid-femtogram range.

ab300630 recognises a band at ~35 KDa (isoform Crk-II) and ~23KDa (isoform Crk-I).

All lanes:

Immunoprecipitation - Anti-Crk p38 antibody [22/Crk] (ab300630) at 1/1000 dilution

Lane 1:

C6 (rat glial tumor glial cell) whole cell lysate at 10 µg

Lane 2:

ab300630 at 1/30 IP in C6 whole cell lysate at 10 µg

Lane 3:

Mouse IgG2a, kappa monoclonal isotype control (<a href='/en-us/products/primary-antibodies/mouse-igg2a-kappa-monoclonal-mopc-173-isotype-control-chip-grade-ab18413'>ab18413</a>) instead of ab300630 in C6 whole cell lysate at 10 µg

Secondary

All lanes:

Immunoprecipitation - VeriBlot for IP Detection Reagent (HRP) (<a href='/en-us/products/reagents/veriblot-for-ip-detection-reagent-hrp-ab131366'>ab131366</a>) at 1/5000 dilution

Predicted band size: 33 kDa

Observed band size: 23 kDa,35 kDa

true

Exposure time: 3min

Immunoprecipitation - Anti-Crk p38 antibody [22/Crk] (AB300630)
  • IP

Supplier Data

Immunoprecipitation - Anti-Crk p38 antibody [22/Crk] (AB300630)

Crk p38 was immunoprecipitated from 0.35 mg NIH/3T3 (mouse embryonic fibroblast) whole cell lysate with ab300630 at 1/30 dilution (2 µg in 0.35 mg lysates). Western blot was performed on the immunoprecipitate using ab300630 at 1/1000 dilution. VeriBlot for IP secondary antibody(HRP)(ab131366) was used at 1/5000 dilution.

Blocking and dilution buffer and concentration : 5% NFDM/TBST

This blot was developed using a high sensitivity ECL substrate. The high-sensitivity ECL substrate used allows for the detection of proteins in the mid-femtogram range.

ab300630 recognises a band at ~35 KDa (isoform Crk-II) and ~23KDa (isoform Crk-I).

All lanes:

Immunoprecipitation - Anti-Crk p38 antibody [22/Crk] (ab300630) at 1/1000 dilution

Lane 1:

NIH/3T3 (mouse embryonic fibroblast) whole cell lysate at 10 µg

Lane 2:

ab300630 at 1/30 IP in NIH/3T3 whole cell lysate at 10 µg

Lane 3:

Mouse IgG2a, kappa monoclonal isotype control (<a href='/en-us/products/primary-antibodies/mouse-igg2a-kappa-monoclonal-mopc-173-isotype-control-chip-grade-ab18413'>ab18413</a>) instead of ab300630 in NIH/3T3 whole cell lysate at 10 µg

Secondary

All lanes:

Immunoprecipitation - VeriBlot for IP Detection Reagent (HRP) (<a href='/en-us/products/reagents/veriblot-for-ip-detection-reagent-hrp-ab131366'>ab131366</a>) at 1/5000 dilution

Predicted band size: 33 kDa

Observed band size: 23 kDa,35 kDa

true

Exposure time: 3min

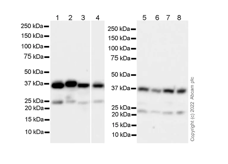
Western blot - Anti-Crk p38 antibody [22/Crk] (AB300630)
  • WB

Supplier Data

Western blot - Anti-Crk p38 antibody [22/Crk] (AB300630)

Blocking and diluting buffer and concentration : 5% NFDM/TBST The expression profile/ molecular weight observed is consistent with what has been described in the literature (PMID : 8943292). ab300630 recognises a band at ~35 KDa (isoform Crk-II) and ~23KDa (isoform Crk-I). Exposure time : Lanes 1-4 : 15 seconds Lanes 5-8 : 8 seconds

All lanes:

Western blot - Anti-Crk p38 antibody [22/Crk] (ab300630) at 1/1000 dilution

Lane 1:

HeLa (human cervix adenocarcinoma epithelial cell), whole cell lysate 10 µg

Lane 2:

K562 (human chronic myelogenous leukemia lymphoblast), whole cell lysate 10 µg

Lane 3:

HepG2 (human hepatocellar carcinoma epithelial cell), whole cell lysate 10 µg

Lane 4:

Ramos (human Burkitts lymphoma B lymphocyte), whole cell lysate 10 µg

Lane 5:

Jurkat (human T cell leukemia T lymphocyte), whole cell lysate 10 µg

Lane 6:

C6 (rat glial tumor glial cell), whole cell lysate 10 µg

Lane 7:

RAW264.7 (mouse Abelson murine leukemia virus-induced tumor macrophage), whole cell lysate 10 µg

Lane 8:

PC-12 (rat adrenal gland pheochromocytoma), whole cell lysate 10 µg

Secondary

All lanes:

Peroxidase-Conjugated Goat anti-Mouse IgG (H+L) at 1/10000 dilution

Observed band size: 35 kDa,23 kDa

false

Western blot - Anti-Crk p38 antibody [22/Crk] (AB300630)
  • WB

Lab

Western blot - Anti-Crk p38 antibody [22/Crk] (AB300630)

Western blot : Anti-Crk p38 antibody [22/Crk] ab300630 staining at 1/1000 dilution, shown in green; Rabbit anti alpha Tubulin ab52866 loading control staining at 1/20000 dilution, shown in magenta. A band was observed at 35, 24 kDa in Wild-type HeLa cell lysates with no signal observed at this size in CRK knockout HeLa cell line. To generate this image, samples were run on an SDS-PAGE gel then transferred onto a nitrocellulose membrane. Membranes were blocked in 5pc Milk in TBS-0.1 % Tween 20 (TBS-T) before incubation with primary antibodies overnight at 4 °C. Blots were washed four times in TBS-T, incubated with secondary antibodies for 1 h at room temperature, washed again four times then imaged. Secondary antibodies used were Goat anti-Mouse 800CW and Goat anti-Rabbit 680RD at 1/20,000 dilution.

All lanes:

Western blot - Anti-Crk p38 antibody [22/Crk] (ab300630) at 1/1000 dilution

Lane 1:

Wild-type HeLa whole cell lysate at 20 µg

Lane 2:

Western blot - Human CRK (Crk p38) knockout HeLa cell line (<a href='/en-us/products/cell-lines/human-crk-crk-p38-knockout-hela-cell-line-ab265097'>ab265097</a>) at 20 µg

Lane 3:

HepG2 whole cell lysate at 20 µg

Lane 4:

K562 whole cell lysate at 20 µg

Secondary

All lanes:

Goat anti-Mouse 800CW & Goat anti-Rabbit 680RD at 1/20000 dilution

Predicted band size: 34 kDa

Observed band size: 35 kDa,24 kDa

false

  • Carrier free

    Anti-Crk p38 antibody [22/Crk] - BSA and Azide free

Key facts

Host species

Mouse

Clonality

Monoclonal

Clone number

22-Crk

Isotype

IgG2a

Carrier free

No

Reacts with

Human, Mouse, Rat

Applications

WB, ICC/IF, IP

applications

Immunogen

The exact immunogen used to generate this antibody is proprietary information.

Specificity

The immunogen for this antibody shares 54% sequence similarity with Crk-like protein (CrkL). We have preliminary data showing that this antibody recognises recombinant CrkL in WB. If you have any questions regarding this data, please contact our Scientific Support team

Reactivity data

{ "title": "Reactivity Data", "filters": { "stats": ["", "Species", "Dilution Info", "Notes"], "tabs": { "all-applications": {"fullname" : "All Applications", "shortname": "All Applications"}, "WB" : {"fullname" : "Western blot", "shortname":"WB"}, "ICCIF" : {"fullname" : "Immunocytochemistry/ Immunofluorescence", "shortname":"ICC/IF"}, "IP" : {"fullname" : "Immunoprecipitation", "shortname":"IP"} }, "product-promise": { "all": "all", "testedAndGuaranteed": "tested", "guaranteed": "expected", "predicted": "predicted", "notRecommended": "not-recommended" } }, "values": { "Human": { "WB-species-checked": "testedAndGuaranteed", "WB-species-dilution-info": "1/1000", "WB-species-notes": "<p></p>", "ICCIF-species-checked": "testedAndGuaranteed", "ICCIF-species-dilution-info": "1/50", "ICCIF-species-notes": "<p></p>", "IP-species-checked": "testedAndGuaranteed", "IP-species-dilution-info": "1/30", "IP-species-notes": "<p></p>" }, "Mouse": { "WB-species-checked": "testedAndGuaranteed", "WB-species-dilution-info": "1/1000", "WB-species-notes": "<p></p>", "ICCIF-species-checked": "testedAndGuaranteed", "ICCIF-species-dilution-info": "1/50", "ICCIF-species-notes": "<p></p>", "IP-species-checked": "testedAndGuaranteed", "IP-species-dilution-info": "1/30", "IP-species-notes": "<p></p>" }, "Rat": { "WB-species-checked": "testedAndGuaranteed", "WB-species-dilution-info": "1/1000", "WB-species-notes": "<p></p>", "ICCIF-species-checked": "testedAndGuaranteed", "ICCIF-species-dilution-info": "1/50", "ICCIF-species-notes": "<p></p>", "IP-species-checked": "testedAndGuaranteed", "IP-species-dilution-info": "1/30", "IP-species-notes": "<p></p>" } } }

Product details

What are the advantages of a recombinant monoclonal antibody?
This product is a recombinant monoclonal antibody, which offers several advantages including:

  • - High batch-to-batch consistency and reproducibility
  • - Improved sensitivity and specificity
  • - Long-term security of supply
  • - Animal-free batch production

For more information, read more on recombinant antibodies.

Want a custom formulation?
This antibody clone is manufactured by Abcam. If you require a custom buffer formulation or conjugation for your experiments, please contact orders@abcam.com

Properties and storage information

Form
Liquid
Purification technique
Affinity purification Protein A
Storage buffer
pH: 7.2 - 7.4 Preservative: 0.01% Sodium azide Constituents: PBS, 40% Glycerol (glycerin, glycerine), 0.05% BSA
Shipped at conditions
Blue Ice
Appropriate short-term storage duration
1-2 weeks
Appropriate short-term storage conditions
+4°C
Appropriate long-term storage conditions
-20°C
Aliquoting information
Upon delivery aliquot
Storage information
Avoid freeze / thaw cycle

Product protocols

For this product, it's our understanding that no specific protocols are required. You can visit:

Target data

Involved in cell branching and adhesion mediated by BCAR1-CRK-RAPGEF1 signaling and activation of RAP1.. Isoform Crk-II. Regulates cell adhesion, spreading and migration (PubMed : 31311869). Mediates attachment-induced MAPK8 activation, membrane ruffling and cell motility in a Rac-dependent manner. Involved in phagocytosis of apoptotic cells and cell motility via its interaction with DOCK1 and DOCK4 (PubMed : 19004829). May regulate the EFNA5-EPHA3 signaling (By similarity).
See full target information CRK

Product promise

We are committed to supporting your work with high-quality reagents, and we're here for you every step of the way. In the unlikely event that one of our products does not perform as expected, you're protected by our Product Promise.
For full details, please see our Terms & Conditions

Please note: All products are 'FOR RESEARCH USE ONLY. NOT FOR USE IN DIAGNOSTIC OR THERAPEUTIC PROCEDURES'.

For licensing inquiries, please contact partnerships@abcam.com