JavaScript is disabled in your browser. Please enable JavaScript to view this website.
AB247210

Anti-CrkL antibody [Y244] - BSA and Azide free

  • BOND RX™ Validated
  • RabMAb
  • Recombinant
  • KO Validated
  • What is this?

Be the first to review this product! Submit a review

|

(0 Publication)

Rabbit Recombinant Monoclonal CRKL antibody. Carrier free. Suitable for ICC/IF, IP, Flow Cyt, WB, IHC-P and reacts with Human, Mouse, Rat samples.

View Alternative Names

Crk-like protein, CRKL

6 Images
Flow Cytometry - Anti-CrkL antibody [Y244] - BSA and Azide free (AB247210)
  • Flow Cyt

Lab

Flow Cytometry - Anti-CrkL antibody [Y244] - BSA and Azide free (AB247210)

This data was developed using ab32018, the same antibody clone in a different buffer formulation.
Flow Cytometry analysis of K-562 (Human chronic myelogenous leukemia lymphoblast) cells labelling CrkL with purified ab32018 at 1/20 dilution (10 µg/mL) (Red). Cells were fixed with 4% Paraformaldehyde and permeabilised with 90% Methanol. A Goat anti rabbit IgG (Alexa Fluor® 488, ab150077) secondary antibody was used at 1/2000. Isotype control - Rabbit monoclonal IgG (Black). Unlabelled control - Cell without incubation with primary antibody and secondary antibody (Blue).

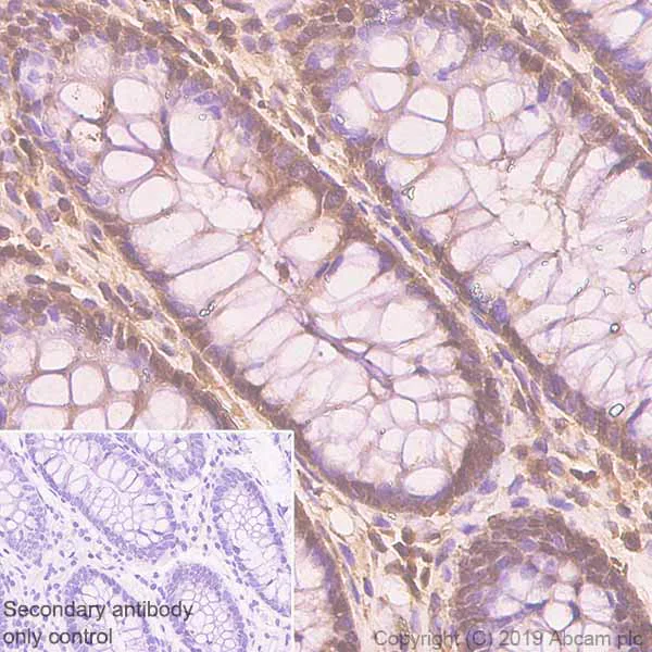
Immunohistochemistry (Formalin/PFA-fixed paraffin-embedded sections) - Anti-CrkL antibody [Y244] - BSA and Azide free (AB247210)
  • IHC-P

Lab

Immunohistochemistry (Formalin/PFA-fixed paraffin-embedded sections) - Anti-CrkL antibody [Y244] - BSA and Azide free (AB247210)

This data was developed using ab32018, the same antibody clone in a different buffer formulation.

Immunohistochemistry (Formalin/PFA-fixed paraffin-embedded sections) analysis of human colon tissue sections labeling CrkL with purified ab32018 at 1/100 dilution (2.24 μg/mL). Heat mediated antigen retrieval was performed using Heat mediated antigen retrieval using Bond™ Epitope Retrieval Solution 2 (pH 9.0). Tissue was counterstained with Hematoxylin. Rabbit specific IHC polymer detection kit HRP/DAB (ab209101) secondary antibody was used at 1/0 dilution. PBS instead of the primary antibody was used as the negative control.
The immunostaining was performed on a Leica Biosystems BOND® RX instrument.

Immunocytochemistry/ Immunofluorescence - Anti-CrkL antibody [Y244] - BSA and Azide free (AB247210)
  • ICC/IF

Supplier Data

Immunocytochemistry/ Immunofluorescence - Anti-CrkL antibody [Y244] - BSA and Azide free (AB247210)

This data was developed using ab32018, the same antibody clone in a different buffer formulation.
Immunocytochemistry analysis of K-562 (Human chronic myelogenous leukemia lymphoblast) cells labeling CrkL with purified ab32018 at 1/50 dilution (4.5 μg/mL). Cells were fixed in 100% Methanol and permeabilized with 0.1% tritonX-100. Cells were counterstained with ab195889 Anti-alpha Tubulin antibody [DM1A] - Microtubule Marker (Alexa Fluor® 594) 1/200 (2.5 μg/mL). Goat anti rabbit IgG (Alexa Fluor®488, ab150077) was used as the secondary antibody at 1/1000 (2 μg/mL) dilution. DAPI (blue) was used as nuclear counterstain. PBS instead of the primary antibody was used as the secondary antibody only control.

Immunoprecipitation - Anti-CrkL antibody [Y244] - BSA and Azide free (AB247210)
  • IP

Lab

Immunoprecipitation - Anti-CrkL antibody [Y244] - BSA and Azide free (AB247210)

This data was developed using ab32018, the same antibody clone in a different buffer formulation.
Purified ab32018 at 1/50 dilution (2μg) immunoprecipitating CrkL in K-562 whole cell lysate.
Lane 1 (input) : K-562 (Human chronic myelogenous leukemia lymphoblast) whole cell lysate 10μg
Lane 2 (+) : ab32018 + K-562 whole cell lysate.
Lane 3 (-) : Rabbit monoclonal IgG (ab172730) instead of ab32018 in K-562 whole cell lysate.
VeriBlot for IP Detection Reagent (HRP) (ab131366) (1/1000 dilution) was used for Western blotting.
Blocking Buffer and concentration : 5% NFDM/TBST.
Diluting buffer and concentration : 5% NFDM/TBST.
Observed band size : 37 kDa

All lanes:

Immunoprecipitation - Anti-CrkL antibody [Y244] (<a href='/en-us/products/primary-antibodies/crkl-antibody-y244-ab32018'>ab32018</a>)

Predicted band size: 34 kDa

false

Western blot - Anti-CrkL antibody [Y244] - BSA and Azide free (AB247210)
  • WB

Lab

Western blot - Anti-CrkL antibody [Y244] - BSA and Azide free (AB247210)

This data was developed using the same antibody clone in a different buffer formulation (ab32018).

Lanes 1-3 : Merged signal (red and green). Green - ab32018 observed at 37 kDa. Red - loading control ab7291 observed at 50 kDa.

ab32018 Anti-CrkL antibody [Y244] was shown to specifically react with CrkL in wild-type HeLa cells. Loss of signal was observed when knockout cell line ab265993 (knockout cell lysate ab257397) was used. Wild-type and CrkL knockout samples were subjected to SDS-PAGE. ab32018 and Anti-alpha Tubulin antibody [DM1A] - Loading Control (ab7291) were incubated overnight at 4°C at 1 in 1000 dilution and 1 in 20000 dilution respectively. Blots were developed with Goat anti-Rabbit IgG H&L (IRDye® 800CW) preadsorbed (ab216773) and Goat anti-Mouse IgG H&L (IRDye® 680RD) preadsorbed (ab216776) secondary antibodies at 1 in 20000 dilution for 1 hour at room temperature before imaging.

All lanes:

Western blot - Anti-CrkL antibody [Y244] (<a href='/en-us/products/primary-antibodies/crkl-antibody-y244-ab32018'>ab32018</a>) at 1/1000 dilution

Lane 1:

Wild-type HeLa cell lysate at 20 µg

Lane 2:

CRKL knockout HeLa cell lysate at 20 µg

Lane 2:

Western blot - Human CRKL knockout HeLa cell line (<a href='/en-us/products/cell-lines/human-crkl-knockout-hela-cell-line-ab265993'>ab265993</a>)

Lane 3:

K-562 cell lysate at 20 µg

Secondary

All lanes:

Western blot - Goat anti-Rabbit IgG H&L (IRDye® 800CW) preadsorbed (<a href='/en-us/products/secondary-antibodies/goat-rabbit-igg-h-l-irdye-800cw-preadsorbed-ab216773'>ab216773</a>) at 1/10000 dilution

Predicted band size: 34 kDa

Observed band size: 37 kDa

false

Western blot - Anti-CrkL antibody [Y244] - BSA and Azide free (AB247210)
  • WB

Unknown

Western blot - Anti-CrkL antibody [Y244] - BSA and Azide free (AB247210)

All lanes:

Western blot - Anti-CrkL antibody [Y244] (<a href='/en-us/products/primary-antibodies/crkl-antibody-y244-ab32018'>ab32018</a>) at 1/1000 dilution

Lane 1:

K-562 (Human chronic myelogenous leukemia lymphoblast) whole cell lysate at 15 µg

Lane 2:

Mouse thymus lysate at 15 µg

Lane 3:

Rat thymus lysate at 15 µg

Secondary

All lanes:

Western blot - Goat Anti-Rabbit IgG H&L (HRP) (<a href='/en-us/products/secondary-antibodies/goat-rabbit-igg-h-l-hrp-ab97051'>ab97051</a>) at 1/20000 dilution

Predicted band size: 34 kDa

false

Key facts

Host species

Rabbit

Clonality

Monoclonal

Clone number

Y244

Isotype

IgG

Carrier free

Yes

Reacts with

Human, Mouse, Rat

Applications

Flow Cyt, WB, IHC-P, IP, ICC/IF

applications

Immunogen

The exact immunogen used to generate this antibody is proprietary information.

Specificity

This antibody recognises CrkL (Crk-like)protein.

The mouse and rat recommendation is based on the WB results. We do not guarantee IHC-P for mouse and rat

Reactivity data

{ "title": "Reactivity Data", "filters": { "stats": ["", "Species", "Dilution Info", "Notes"], "tabs": { "all-applications": {"fullname" : "All Applications", "shortname": "All Applications"}, "ICCIF" : {"fullname" : "Immunocytochemistry/ Immunofluorescence", "shortname":"ICC/IF"}, "IP" : {"fullname" : "Immunoprecipitation", "shortname":"IP"}, "FlowCyt" : {"fullname" : "Flow Cytometry", "shortname":"Flow Cyt"}, "WB" : {"fullname" : "Western blot", "shortname":"WB"}, "IHCP" : {"fullname" : "Immunohistochemistry (Formalin/PFA-fixed paraffin-embedded sections)", "shortname":"IHC-P"} }, "product-promise": { "all": "all", "testedAndGuaranteed": "tested", "guaranteed": "expected", "predicted": "predicted", "notRecommended": "not-recommended" } }, "values": { "Human": { "ICCIF-species-checked": "testedAndGuaranteed", "ICCIF-species-dilution-info": "", "ICCIF-species-notes": "<p></p>", "IP-species-checked": "guaranteed", "IP-species-dilution-info": "", "IP-species-notes": "<p></p>", "FlowCyt-species-checked": "testedAndGuaranteed", "FlowCyt-species-dilution-info": "", "FlowCyt-species-notes": "<p></p>", "WB-species-checked": "testedAndGuaranteed", "WB-species-dilution-info": "", "WB-species-notes": "<p></p>", "IHCP-species-checked": "testedAndGuaranteed", "IHCP-species-dilution-info": "", "IHCP-species-notes": "<p>The mouse and rat recommendation is based on the WB results. We do not guarantee IHC-P for mouse and rat</p>" }, "Mouse": { "ICCIF-species-checked": "guaranteed", "ICCIF-species-dilution-info": "", "ICCIF-species-notes": "<p></p>", "IP-species-checked": "testedAndGuaranteed", "IP-species-dilution-info": "", "IP-species-notes": "<p></p>", "FlowCyt-species-checked": "guaranteed", "FlowCyt-species-dilution-info": "", "FlowCyt-species-notes": "<p></p>", "WB-species-checked": "guaranteed", "WB-species-dilution-info": "", "WB-species-notes": "<p></p>", "IHCP-species-checked": "guaranteed", "IHCP-species-dilution-info": "", "IHCP-species-notes": "<p>The mouse and rat recommendation is based on the WB results. We do not guarantee IHC-P for mouse and rat.</p>" }, "Rat": { "ICCIF-species-checked": "guaranteed", "ICCIF-species-dilution-info": "", "ICCIF-species-notes": "<p></p>", "IP-species-checked": "guaranteed", "IP-species-dilution-info": "", "IP-species-notes": "<p></p>", "FlowCyt-species-checked": "guaranteed", "FlowCyt-species-dilution-info": "", "FlowCyt-species-notes": "<p></p>", "WB-species-checked": "guaranteed", "WB-species-dilution-info": "", "WB-species-notes": "<p></p>", "IHCP-species-checked": "guaranteed", "IHCP-species-dilution-info": "", "IHCP-species-notes": "<p>The mouse and rat recommendation is based on the WB results. We do not guarantee IHC-P for mouse and rat.</p>" } } }

Product details

ab247210 is the carrier-free version of ab32018.

Patented technology
Our RabMAb® technology is a patented hybridoma-based technology for making rabbit monoclonal antibodies. For details on our patents, please refer to RabMAb® patents.

What are the advantages of a recombinant monoclonal antibody?
This product is a recombinant monoclonal antibody, which offers several advantages including:

  • - High batch-to-batch consistency and reproducibility
  • - Improved sensitivity and specificity
  • - Long-term security of supply
  • - Animal-free batch production

For more information, read more on recombinant antibodies.

Conjugation ready
Our carrier-free antibodies are typically supplied in a PBS-only formulation, purified and free of BSA, sodium azide and glycerol. This conjugation-ready format is designed for use with fluorochromes, metal isotopes, oligonucleotides, and enzymes, which makes them ideal for antibody labelling, functional and cell-based assays, flow-based assays (e.g. mass cytometry) and Multiplex Imaging applications.

Use our conjugation kits for antibody conjugates that are ready-to-use in as little as 20 minutes with 1 minute hands-on-time and 100% antibody recovery: available for fluorescent dyes, HRP, biotin and gold.

Compatibility
This product is compatible with the Maxpar® Antibody Labeling Kit from Fluidigm, without the need for antibody preparation. Maxpar® is a trademark of Fluidigm Canada Inc.

Properties and storage information

Form
Liquid
Purification technique
Affinity purification Protein A
Storage buffer
pH: 7.2 - 7.4 Constituents: PBS
Shipped at conditions
Blue Ice
Appropriate short-term storage conditions
+4°C
Appropriate long-term storage conditions
+4°C
Storage information
Do Not Freeze

Product protocols

For this product, it's our understanding that no specific protocols are required. You can visit:

Target data

May mediate the transduction of intracellular signals.
See full target information CRKL

Product promise

We are committed to supporting your work with high-quality reagents, and we're here for you every step of the way. In the unlikely event that one of our products does not perform as expected, you're protected by our Product Promise.
For full details, please see our Terms & Conditions

Please note: All products are 'FOR RESEARCH USE ONLY. NOT FOR USE IN DIAGNOSTIC OR THERAPEUTIC PROCEDURES'.

For licensing inquiries, please contact partnerships@abcam.com