JavaScript is disabled in your browser. Please enable JavaScript to view this website.
AB211438

Anti-CRLF1 antibody

Be the first to review this product! Submit a review

|

(3 Publications)

Rabbit Polyclonal CRLF1 antibody. Suitable for IHC-P, WB and reacts with Human samples. Cited in 3 publications. Immunogen corresponding to Recombinant Fragment Protein within Human CRLF1 aa 100 to C-terminus.

View Alternative Names

UNQ288/PRO327, CRLF1, Cytokine receptor-like factor 1, Cytokine-like factor 1, ZcytoR5, CLF-1

3 Images
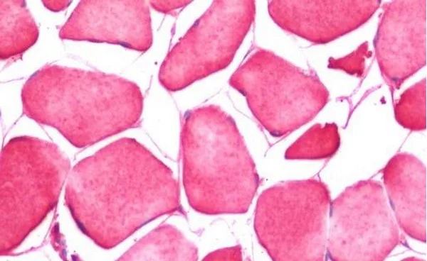
Immunohistochemistry (Formalin/PFA-fixed paraffin-embedded sections) - Anti-CRLF1 antibody (AB211438)
  • IHC-P

Supplier Data

Immunohistochemistry (Formalin/PFA-fixed paraffin-embedded sections) - Anti-CRLF1 antibody (AB211438)

Immunohistochemical analysis of formalin fixed, paraffin embedded Human skeletal muscle tissue labeling CRLF1 with ab211438 at 7.5 μg/ml.

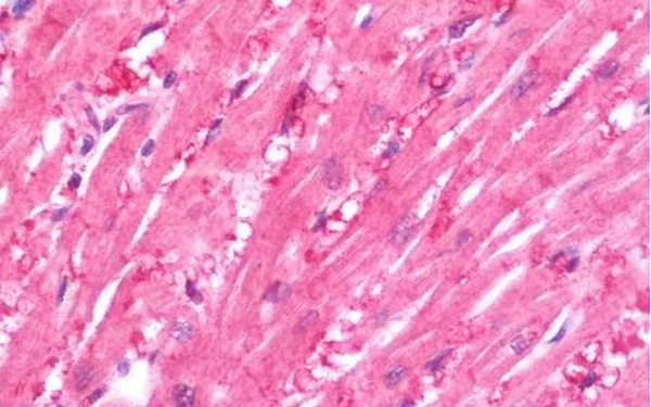
Immunohistochemistry (Formalin/PFA-fixed paraffin-embedded sections) - Anti-CRLF1 antibody (AB211438)
  • IHC-P

Supplier Data

Immunohistochemistry (Formalin/PFA-fixed paraffin-embedded sections) - Anti-CRLF1 antibody (AB211438)

Immunohistochemical analysis of formalin fixed, paraffin embedded Human heart tissue labeling CRLF1 with ab211438 at 7.5 μg/ml.

Western blot - Anti-CRLF1 antibody (AB211438)
  • WB

Supplier Data

Western blot - Anti-CRLF1 antibody (AB211438)

10% SDS PAGE

All lanes:

Western blot - Anti-CRLF1 antibody (ab211438) at 1/3000 dilution

All lanes:

HepG2 whole cell lysate at 30 µg

Predicted band size: 46 kDa

false

Key facts

Host species

Rabbit

Clonality

Polyclonal

Isotype

IgG

Carrier free

No

Reacts with

Human

Applications

WB, IHC-P

applications

Immunogen

Recombinant Fragment Protein within Human CRLF1 aa 100 to C-terminus. The exact immunogen used to generate this antibody is proprietary information.

O75462

Reactivity data

{ "title": "Reactivity Data", "filters": { "stats": ["", "Species", "Dilution Info", "Notes"], "tabs": { "all-applications": {"fullname" : "All Applications", "shortname": "All Applications"}, "IHCP" : {"fullname" : "Immunohistochemistry (Formalin/PFA-fixed paraffin-embedded sections)", "shortname":"IHC-P"}, "WB" : {"fullname" : "Western blot", "shortname":"WB"} }, "product-promise": { "all": "all", "testedAndGuaranteed": "tested", "guaranteed": "expected", "predicted": "predicted", "notRecommended": "not-recommended" } }, "values": { "Human": { "IHCP-species-checked": "testedAndGuaranteed", "IHCP-species-dilution-info": "7.5 µg/mL", "IHCP-species-notes": "<p></p> Perform heat-mediated antigen retrieval before commencing with IHC staining protocol.", "WB-species-checked": "testedAndGuaranteed", "WB-species-dilution-info": "1/500 - 1/3000", "WB-species-notes": "<p></p>" }, "Mouse": { "IHCP-species-checked": "predicted", "IHCP-species-dilution-info": "", "IHCP-species-notes": "", "WB-species-checked": "predicted", "WB-species-dilution-info": "", "WB-species-notes": "" }, "Rat": { "IHCP-species-checked": "predicted", "IHCP-species-dilution-info": "", "IHCP-species-notes": "", "WB-species-checked": "predicted", "WB-species-dilution-info": "", "WB-species-notes": "" } } }

Properties and storage information

Form
Liquid
Purification technique
Affinity purification Immunogen
Storage buffer
pH: 7 Preservative: 0.01% Thimerosal (merthiolate) Constituents: 89% Tris glycine, 10% Glycerol (glycerin, glycerine)
Shipped at conditions
Blue Ice
Appropriate short-term storage duration
1-2 weeks
Appropriate short-term storage conditions
+4°C
Appropriate long-term storage conditions
-20°C
Aliquoting information
Upon delivery aliquot
Storage information
Avoid freeze / thaw cycle

Supplementary information

This supplementary information is collated from multiple sources and compiled automatically.

CRLF1 also known as cytokine receptor-like factor 1 is a secreted protein with a molecular mass around 50 kDa. CRLF1 mainly expresses in the central nervous system and various other tissues including muscle and liver. It plays a role in immune function and neurodevelopment by forming part of a receptor complex. This protein assists in transmitting signals across cell membranes which influence growth differentiation and survival of certain cell types.
Biological function summary

Through forming a functional receptor complex with the cytokine cardiotrophin-like cytokine factor 1 (CLCF1) CRLF1 participates in cytokine signaling. The CRLF1-CLCF1 complex binds to a receptor composed of ciliary neurotrophic factor receptor (CNTFR) and leukemia inhibitory factor receptor (LIFR) activating intracellular pathways. This mechanism affects neuroprotective neurotrophic and immune-modulatory processes by promoting neuron survival and modulating immune responses.

Pathways

Its involvement in the JAK-STAT signaling pathway highlights CRLF1's role in modulating gene expression. The interactions with CRLF1 and LIFR are critical within this pathway influencing STAT3 phosphorylation and eventual transcriptional regulation. Though mainly implicated in the JAK-STAT pathway CRLF1 also overlaps with neurotrophic signaling processes working alongside proteins like CNTFR to mediate neural repair and precision immune regulation.

CRLF1 mutations are linked to several conditions including Cold-induced sweating syndrome and Crisponi syndrome—both related to dysregulation in neural and thermogenic processes. These syndromes often involve the CRLF1-associated pathway's failures to properly signal often resulting in issues consistent with complex disorders. Linked to LIFR through these pathologies CRLF1's malfunction significantly contributes to disrupted signaling networks emphasizing its association with specific developmental and immune malfunctions.

Product protocols

For this product, it's our understanding that no specific protocols are required. You can visit:

Target data

In complex with CLCF1, forms a heterodimeric neurotropic cytokine that plays a crucial role during neuronal development (Probable). May also play a regulatory role in the immune system.
See full target information CRLF1

Publications (3)

Recent publications for all applications. Explore the full list and refine your search

Nature communications 15:9550 PubMed39500869

2024

Inhibition of GPX4 enhances CDK4/6 inhibitor and endocrine therapy activity in breast cancer.

Applications

Unspecified application

Species

Unspecified reactive species

M T Herrera-Abreu,J Guan,U Khalid,J Ning,M R Costa,J Chan,Q Li,J-P Fortin,W R Wong,P Perampalam,A Biton,W Sandoval,J Vijay,M Hafner,R Cutts,G Wilson,J Frankum,T I Roumeliotis,J Alexander,O Hickman,R Brough,S Haider,J Choudhary,C J Lord,A Swain,C Metcalfe,N C Turner

Journal of translational medicine 19:429 PubMed34656128

2021

miR-3065-3p promotes stemness and metastasis by targeting CRLF1 in colorectal cancer.

Applications

Unspecified application

Species

Unspecified reactive species

Yifan Li,Jing Xun,Botao Wang,Yuan Ma,Lanqiu Zhang,Lei Yang,Ruifang Gao,Jun Guan,Tianyu Liu,Hejun Gao,Ximo Wang,Qi Zhang

Frontiers in cell and developmental biology 8:858 PubMed33072735

2020

CRLF1 Is a Key Regulator in the Ligamentum Flavum Hypertrophy.

Applications

Unspecified application

Species

Unspecified reactive species

Zhenyu Zheng,Xiang Ao,Peng Li,Zhengnan Lian,Tao Jiang,Zhongmin Zhang,Liang Wang
View all publications

Product promise

We are committed to supporting your work with high-quality reagents, and we're here for you every step of the way. In the unlikely event that one of our products does not perform as expected, you're protected by our Product Promise.
For full details, please see our Terms & Conditions

Please note: All products are 'FOR RESEARCH USE ONLY. NOT FOR USE IN DIAGNOSTIC OR THERAPEUTIC PROCEDURES'.

For licensing inquiries, please contact partnerships@abcam.com