JavaScript is disabled in your browser. Please enable JavaScript to view this website.
AB140773

Anti-CRLR antibody - N-terminal

4

(1 Review)

|

(1 Publication)

Rabbit Polyclonal CRLR antibody. Suitable for IHC-P and reacts with Human samples. Cited in 1 publication. Immunogen corresponding to Synthetic Peptide within Human CALCRL.

View Alternative Names

CGRPR, CALCRL, Calcitonin gene-related peptide type 1 receptor, CGRP type 1 receptor, Calcitonin receptor-like receptor, CRLR

1 Images
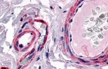
Immunohistochemistry (Formalin/PFA-fixed paraffin-embedded sections) - Anti-CRLR antibody - N-terminal (AB140773)
  • IHC-P

Unknown

Immunohistochemistry (Formalin/PFA-fixed paraffin-embedded sections) - Anti-CRLR antibody - N-terminal (AB140773)

Immunohistochemical analysis of formalin-fixed, paraffin embedded Human colon tissue (submucosal vessels) labelling CRLR with ab140773 at 16 µg/ml.

Key facts

Host species

Rabbit

Clonality

Polyclonal

Isotype

IgG

Carrier free

No

Reacts with

Human

Applications

IHC-P

applications

Immunogen

Synthetic Peptide within Human CALCRL. The exact immunogen used to generate this antibody is proprietary information.

Q16602

Reactivity data

{ "title": "Reactivity Data", "filters": { "stats": ["", "Species", "Dilution Info", "Notes"], "tabs": { "all-applications": {"fullname" : "All Applications", "shortname": "All Applications"}, "IHCP" : {"fullname" : "Immunohistochemistry (Formalin/PFA-fixed paraffin-embedded sections)", "shortname":"IHC-P"} }, "product-promise": { "all": "all", "testedAndGuaranteed": "tested", "guaranteed": "expected", "predicted": "predicted", "notRecommended": "not-recommended" } }, "values": { "Human": { "IHCP-species-checked": "testedAndGuaranteed", "IHCP-species-dilution-info": "16 µg/mL", "IHCP-species-notes": "<p></p> Perform heat-mediated antigen retrieval with citrate buffer pH 6 before commencing with IHC staining protocol." }, "Mouse": { "IHCP-species-checked": "predicted", "IHCP-species-dilution-info": "", "IHCP-species-notes": "" }, "Common marmoset": { "IHCP-species-checked": "predicted", "IHCP-species-dilution-info": "", "IHCP-species-notes": "" }, "Gorilla": { "IHCP-species-checked": "predicted", "IHCP-species-dilution-info": "", "IHCP-species-notes": "" }, "Monkey": { "IHCP-species-checked": "predicted", "IHCP-species-dilution-info": "", "IHCP-species-notes": "" }, "Orangutan": { "IHCP-species-checked": "predicted", "IHCP-species-dilution-info": "", "IHCP-species-notes": "" }, "Rabbit": { "IHCP-species-checked": "predicted", "IHCP-species-dilution-info": "", "IHCP-species-notes": "" } } }

Properties and storage information

Form
Liquid
Purification technique
Affinity purification Immunogen
Storage buffer
pH: 7.4 Preservative: 0.1% Sodium azide Constituents: PBS
Shipped at conditions
Blue Ice
Appropriate short-term storage conditions
+4°C
Appropriate long-term storage conditions
-20°C
Aliquoting information
Upon delivery aliquot

Supplementary information

This supplementary information is collated from multiple sources and compiled automatically.

The Calcitonin Receptor-Like Receptor (CRLR) also known as the calcitonin receptor-like receptor functions as a G-protein-coupled receptor involved in the regulation of various physiological processes. CRLR has a molecular mass of approximately 55 kDa. This receptor is broadly expressed in numerous tissues including the cardiovascular system the central nervous system and peripheral tissues. As a receptor CRLR plays a central role in signal transduction by binding to specific peptide ligands mainly through interaction with receptor activity-modifying proteins (RAMPs) which are essential for its functional specificity.
Biological function summary

CRLR operates as part of a receptor complex with RAMPs that determines its ligand specificity; this complex enables it to bind peptides such as adrenomedullin and calcitonin gene-related peptide (CGRP). When combined with different RAMPs CRLR can switch its ligand affinity and function as adrenomedullin or CGRP receptors therefore influencing vascular tone pain transmission and metabolic regulation. Research demonstrates that CRLR and its associated complexes contribute to processes like vasodilation angiogenesis and neurogenic inflammation emphasizing its role in maintaining homeostasis.

Pathways

CRLR actively participates in critical biological pathways particularly the signaling pathways of CGRP and adrenomedullin which are significant in cardiovascular and nervous system functions. Within these pathways CRLR modulates the activity of secondary messengers such as cyclic AMP (cAMP) upon ligand binding therefore initiating further downstream effects in target cells. Related proteins including RAMPs and components of cAMP signaling work in conjunction with CRLR to ensure precise cellular responses to ligand stimulation linking it to broader physiological processes like stress response and blood pressure regulation.

CRLR stands associated with conditions such as migraines and heart failure. The ability of CRLR to bind CGRP makes it a target for migraine therapies as CGRP plays a pivotal role in migraine pathophysiology. Additionally CRLR through its regulation of adrenomedullin becomes linked to heart failure given adrenomedullin's effects on vasodilation and cardiac function. In these pathological conditions CRLR often interacts with RAMPs influencing the severity and progression of the disease capturing interest for therapeutic interventions.

Product protocols

For this product, it's our understanding that no specific protocols are required. You can visit:

Target data

G protein-coupled receptor which specificity is determined by its interaction with receptor-activity-modifying proteins (RAMPs) (PubMed : 32296767, PubMed : 33602864, PubMed : 8626685). Together with RAMP1, form the receptor complex for calcitonin-gene-related peptides CALCA/CGRP1 and CALCB/CGRP2 (PubMed : 33602864). Together with RAMP2 or RAMP3, function as receptor complexes for adrenomedullin (ADM and ADM2) (PubMed : 32296767, PubMed : 9620797). Ligand binding causes a conformation change that triggers signaling via guanine nucleotide-binding proteins (G proteins) and modulates the activity of downstream effectors. Activates cAMP-dependent pathway (PubMed : 32296767, PubMed : 8626685).
See full target information CALCRL

Publications (1)

Recent publications for all applications. Explore the full list and refine your search

Science immunology 6: PubMed33622974

2021

Clonal expansion and activation of tissue-resident memory-like Th17 cells expressing GM-CSF in the lungs of severe COVID-19 patients.

Applications

Unspecified application

Species

Unspecified reactive species

Yu Zhao,Christoph Kilian,Jan-Eric Turner,Lidia Bosurgi,Kevin Roedl,Patricia Bartsch,Ann-Christin Gnirck,Filippo Cortesi,Christoph Schultheiß,Malte Hellmig,Leon U B Enk,Fabian Hausmann,Alina Borchers,Milagros N Wong,Hans-Joachim Paust,Francesco Siracusa,Nicola Scheibel,Marissa Herrmann,Elisa Rosati,Petra Bacher,Dominik Kylies,Dominik Jarczak,Marc Lütgehetmann,Susanne Pfefferle,Stefan Steurer,Julian Schulze Zur-Wiesch,Victor G Puelles,Jan-Peter Sperhake,Marylyn M Addo,Ansgar W Lohse,Mascha Binder,Samuel Huber,Tobias B Huber,Stefan Kluge,Stefan Bonn,Ulf Panzer,Nicola Gagliani,Christian F Krebs
View all publications

Product promise

We are committed to supporting your work with high-quality reagents, and we're here for you every step of the way. In the unlikely event that one of our products does not perform as expected, you're protected by our Product Promise.
For full details, please see our Terms & Conditions

Please note: All products are 'FOR RESEARCH USE ONLY. NOT FOR USE IN DIAGNOSTIC OR THERAPEUTIC PROCEDURES'.

For licensing inquiries, please contact partnerships@abcam.com