JavaScript is disabled in your browser. Please enable JavaScript to view this website.
AB84375

Anti-CRM1 antibody

Be the first to review this product! Submit a review

|

(1 Publication)

Rabbit Polyclonal CRM1 antibody. Suitable for IHC-P and reacts with Mouse, Human samples. Cited in 1 publication. Immunogen corresponding to Synthetic Peptide within Human XPO1 aa 1000 to C-terminus.

View Alternative Names

CRM1, XPO1, Exportin-1, Exp1, Chromosome region maintenance 1 protein homolog

2 Images
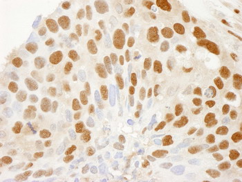
Immunohistochemistry (Formalin/PFA-fixed paraffin-embedded sections) - Anti-CRM1 antibody (AB84375)
  • IHC-P

Unknown

Immunohistochemistry (Formalin/PFA-fixed paraffin-embedded sections) - Anti-CRM1 antibody (AB84375)

ab84375, at a 1/250 dilution, staining CRM1 in formalin fixed, paraffin embedded human breast tumor section by immunohistochemistry.
Detection : DAB staining

Immunohistochemistry (Formalin/PFA-fixed paraffin-embedded sections) - Anti-CRM1 antibody (AB84375)
  • IHC-P

Unknown

Immunohistochemistry (Formalin/PFA-fixed paraffin-embedded sections) - Anti-CRM1 antibody (AB84375)

ab84375, at a 1/250 dilution, staining CRM1 in formalin fixed, paraffin embedded mouse squamous cell carcinoma by immunohistochemistry. Detection : DAB staining

Key facts

Host species

Rabbit

Clonality

Polyclonal

Isotype

IgG

Carrier free

No

Reacts with

Mouse, Human

Applications

IHC-P

applications

Immunogen

Synthetic Peptide within Human XPO1 aa 1000 to C-terminus. The exact immunogen used to generate this antibody is proprietary information.

O14980

Reactivity data

{ "title": "Reactivity Data", "filters": { "stats": ["", "Species", "Dilution Info", "Notes"], "tabs": { "all-applications": {"fullname" : "All Applications", "shortname": "All Applications"}, "IHCP" : {"fullname" : "Immunohistochemistry (Formalin/PFA-fixed paraffin-embedded sections)", "shortname":"IHC-P"} }, "product-promise": { "all": "all", "testedAndGuaranteed": "tested", "guaranteed": "expected", "predicted": "predicted", "notRecommended": "not-recommended" } }, "values": { "Human": { "IHCP-species-checked": "testedAndGuaranteed", "IHCP-species-dilution-info": "1/100 - 1/500", "IHCP-species-notes": "<p>Epitope exposure is recommended. Epitope exposure with citrate buffer will enhance staining.</p>" }, "Mouse": { "IHCP-species-checked": "testedAndGuaranteed", "IHCP-species-dilution-info": "1/100 - 1/500", "IHCP-species-notes": "<p>Epitope exposure is recommended. Epitope exposure with citrate buffer will enhance staining.</p>" }, "Chimpanzee": { "IHCP-species-checked": "predicted", "IHCP-species-dilution-info": "", "IHCP-species-notes": "" }, "Gorilla": { "IHCP-species-checked": "predicted", "IHCP-species-dilution-info": "", "IHCP-species-notes": "" }, "Orangutan": { "IHCP-species-checked": "predicted", "IHCP-species-dilution-info": "", "IHCP-species-notes": "" }, "Rhesus monkey": { "IHCP-species-checked": "predicted", "IHCP-species-dilution-info": "", "IHCP-species-notes": "" } } }

Properties and storage information

Form
Liquid
Purification technique
Affinity purification Immunogen
Purification notes
The antibody was affinity purified using an epitope specific to CRM1 immobilized on solid support.
Storage buffer
pH: 6.8 - 7.4 Preservative: 0.09% Sodium azide Constituents: Tris buffered saline, 0.1% BSA
Shipped at conditions
Blue Ice
Appropriate short-term storage conditions
+4°C
Appropriate long-term storage conditions
+4°C
Aliquoting information
Upon delivery aliquot
Storage information
Avoid freeze / thaw cycle

Supplementary information

This supplementary information is collated from multiple sources and compiled automatically.

CRM1 also known as exportin 1 is a significant nuclear export protein with a molecular mass of approximately 123 kDa. It is expressed in a wide range of eukaryotic cells being an important component in transporting molecules from the nucleus to the cytoplasm. The CRM1 protein binds cargo proteins bearing a leucine-rich nuclear export signal (NES) and facilitates their passage through the nuclear pore complex. Due to its essential role in nuclear-cytoplasmic transport CRM1 serves as a targeted protein in various research and therapeutic contexts.
Biological function summary

CRM1 participates in the regulation of gene expression by controlling the export of mRNA and ribosomal subunits. It does not act alone but associates with other proteins such as Ran GTPase to form a functioning export complex. This CRM1 complex plays a pivotal role in maintaining cellular homeostasis and responding to cellular stress by regulating the localization of key signaling molecules and transcription factors.

Pathways

CRM1 integrates into critical pathways such as the Wnt signaling pathway and DNA damage response. In the Wnt signaling pathway CRM1 influences the localization and activity of beta-catenin a central protein in the pathway. In the DNA damage response CRM1 interacts with p53 a notable tumor suppressor protein. Through these pathways CRM1 ensures proper control of cell proliferation apoptosis and differentiation.

CRM1 is implicated in cancer and viral infections. Dysregulation of CRM1-mediated nuclear export can lead to abnormal accumulation of oncogenic proteins in the cytoplasm which contributes to cancer pathogenesis. CRM1 overexpression is often observed in several cancers including leukemia and pancreatic cancer linking it to essential regulatory proteins like p53 and NF-kB. Additionally certain viruses exploit CRM1’s export mechanism to enhance their replication making it a target for antiviral research.

Product protocols

For this product, it's our understanding that no specific protocols are required. You can visit:

Target data

Mediates the nuclear export of cellular proteins (cargos) bearing a leucine-rich nuclear export signal (NES) and of RNAs. In the nucleus, in association with RANBP3, binds cooperatively to the NES on its target protein and to the GTPase RAN in its active GTP-bound form (Ran-GTP). Docking of this complex to the nuclear pore complex (NPC) is mediated through binding to nucleoporins. Upon transit of a nuclear export complex into the cytoplasm, disassembling of the complex and hydrolysis of Ran-GTP to Ran-GDP (induced by RANBP1 and RANGAP1, respectively) cause release of the cargo from the export receptor. The directionality of nuclear export is thought to be conferred by an asymmetric distribution of the GTP- and GDP-bound forms of Ran between the cytoplasm and nucleus. Involved in U3 snoRNA transport from Cajal bodies to nucleoli. Binds to late precursor U3 snoRNA bearing a TMG cap.. (Microbial infection) Mediates the export of unspliced or incompletely spliced RNAs out of the nucleus from different viruses including HIV-1, HTLV-1 and influenza A. Interacts with, and mediates the nuclear export of HIV-1 Rev and HTLV-1 Rex proteins. Involved in HTLV-1 Rex multimerization.
See full target information XPO1

Publications (1)

Recent publications for all applications. Explore the full list and refine your search

OncoTargets and therapy 10:3501-3513 PubMed28761359

2017

Nuclear DDX3 expression predicts poor outcome in colorectal and breast cancer.

Applications

Unspecified application

Species

Unspecified reactive species

Marise R Heerma van Voss,Farhad Vesuna,Guus M Bol,Jan Meeldijk,Ana Raman,G Johan Offerhaus,Horst Buerger,Arvind H Patel,Elsken van der Wall,Paul J van Diest,Venu Raman
View all publications

Product promise

We are committed to supporting your work with high-quality reagents, and we're here for you every step of the way. In the unlikely event that one of our products does not perform as expected, you're protected by our Product Promise.
For full details, please see our Terms & Conditions

Please note: All products are 'FOR RESEARCH USE ONLY. NOT FOR USE IN DIAGNOSTIC OR THERAPEUTIC PROCEDURES'.

For licensing inquiries, please contact partnerships@abcam.com