JavaScript is disabled in your browser. Please enable JavaScript to view this website.
AB251055

Anti-CRM1 antibody [EPR14124] - BSA and Azide free

Be the first to review this product! Submit a review

|

(1 Publication)

Rabbit Recombinant Monoclonal CRM1 antibody. Carrier free. Suitable for ICC/IF, WB, Flow Cyt (Intra), IHC-P and reacts with Human, Rat, Mouse samples. Cited in 1 publication.

View Alternative Names

CRM1, XPO1, Exportin-1, Exp1, Chromosome region maintenance 1 protein homolog

4 Images
Flow Cytometry (Intracellular) - Anti-CRM1 antibody [EPR14124] - BSA and Azide free (AB251055)
  • Flow Cyt (Intra)

Unknown

Flow Cytometry (Intracellular) - Anti-CRM1 antibody [EPR14124] - BSA and Azide free (AB251055)

This data was developed using ab191081, the same antibody clone in a different buffer formulation.

Intracellular flow cytometric analysis of K562 cells (paraformaldehyde-fixed, 2%) labeling CRM1 with ab191081 at 1/160 dilution (red) or a rabbit IgG (negative) (green), followed by Goat anti rabbit IgG (FITC) secondary at 1/150 dilution.

Immunohistochemistry (Formalin/PFA-fixed paraffin-embedded sections) - Anti-CRM1 antibody [EPR14124] - BSA and Azide free (AB251055)
  • IHC-P

Supplier Data

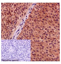
Immunohistochemistry (Formalin/PFA-fixed paraffin-embedded sections) - Anti-CRM1 antibody [EPR14124] - BSA and Azide free (AB251055)

This data was developed using ab191081, the same antibody clone in a different buffer formulation.

Immunohistochemical analysis of paraffin-embedded human bladder transitional cell carcinoma tissue labeling CRM1 with ab191081 at 1/50 dilution followed by pre-diluted HRP Polymer for Rabbit IgG secondary antibody and counter-stained with Hematoxylin (inset : negative control).

Perform heat mediated antigen retrieval with Tris/EDTA buffer pH 9.0 before commencing with IHC staining protocol.

Western blot - Anti-CRM1 antibody [EPR14124] - BSA and Azide free (AB251055)
  • WB

Supplier Data

Western blot - Anti-CRM1 antibody [EPR14124] - BSA and Azide free (AB251055)

This data was developed using ab191081, the same antibody clone in a different buffer formulation.

All lanes:

Western blot - Anti-CRM1 antibody [EPR14124] - BSA and Azide free (ab251055) at 1/20000 dilution

Lane 1:

K562 cell lysate at 20 µg

Lane 2:

HeLa cell lysate at 20 µg

Lane 3:

Jurkat cell lysate at 20 µg

Lane 4:

Ramos cell lysate at 20 µg

Secondary

All lanes:

Goat Anti-Rabbit IgG, (H+L),Peroxidase conjugate at 1/1000 dilution

Predicted band size: 123 kDa

false

Western blot - Anti-CRM1 antibody [EPR14124] - BSA and Azide free (AB251055)
  • WB

Supplier Data

Western blot - Anti-CRM1 antibody [EPR14124] - BSA and Azide free (AB251055)

This data was developed using ab191081, the same antibody clone in a different buffer formulation.

All lanes:

Western blot - Anti-CRM1 antibody [EPR14124] - BSA and Azide free (ab251055) at 1/5000 dilution

Lane 1:

C6 cell lysate at 10 µg

Lane 2:

PC-12 cell lysate at 10 µg

Lane 3:

NIH/3T3 cell lysate at 10 µg

Secondary

All lanes:

Goat anti-rabbit IgG, (H+L), peroxidase conjugated at 1/1000 dilution

Predicted band size: 123 kDa

false

Key facts

Host species

Rabbit

Clonality

Monoclonal

Clone number

EPR14124

Isotype

IgG

Carrier free

Yes

Reacts with

Mouse, Rat, Human

Applications

IHC-P, WB, Flow Cyt (Intra), ICC/IF

applications

Immunogen

The exact immunogen used to generate this antibody is proprietary information.

Reactivity data

{ "title": "Reactivity Data", "filters": { "stats": ["", "Species", "Dilution Info", "Notes"], "tabs": { "all-applications": {"fullname" : "All Applications", "shortname": "All Applications"}, "ICCIF" : {"fullname" : "Immunocytochemistry/ Immunofluorescence", "shortname":"ICC/IF"}, "WB" : {"fullname" : "Western blot", "shortname":"WB"}, "FlowCytIntra" : {"fullname" : "Flow Cytometry (Intracellular)", "shortname":"Flow Cyt (Intra)"}, "IHCP" : {"fullname" : "Immunohistochemistry (Formalin/PFA-fixed paraffin-embedded sections)", "shortname":"IHC-P"} }, "product-promise": { "all": "all", "testedAndGuaranteed": "tested", "guaranteed": "expected", "predicted": "predicted", "notRecommended": "not-recommended" } }, "values": { "Human": { "ICCIF-species-checked": "testedAndGuaranteed", "ICCIF-species-dilution-info": "", "ICCIF-species-notes": "<p></p>", "WB-species-checked": "testedAndGuaranteed", "WB-species-dilution-info": "", "WB-species-notes": "<p></p>", "FlowCytIntra-species-checked": "testedAndGuaranteed", "FlowCytIntra-species-dilution-info": "", "FlowCytIntra-species-notes": "<p></p>", "IHCP-species-checked": "testedAndGuaranteed", "IHCP-species-dilution-info": "", "IHCP-species-notes": "<p></p>" }, "Mouse": { "ICCIF-species-checked": "guaranteed", "ICCIF-species-dilution-info": "", "ICCIF-species-notes": "", "WB-species-checked": "testedAndGuaranteed", "WB-species-dilution-info": "", "WB-species-notes": "<p></p>", "FlowCytIntra-species-checked": "guaranteed", "FlowCytIntra-species-dilution-info": "", "FlowCytIntra-species-notes": "", "IHCP-species-checked": "guaranteed", "IHCP-species-dilution-info": "", "IHCP-species-notes": "" }, "Rat": { "ICCIF-species-checked": "guaranteed", "ICCIF-species-dilution-info": "", "ICCIF-species-notes": "", "WB-species-checked": "testedAndGuaranteed", "WB-species-dilution-info": "", "WB-species-notes": "<p></p>", "FlowCytIntra-species-checked": "guaranteed", "FlowCytIntra-species-dilution-info": "", "FlowCytIntra-species-notes": "", "IHCP-species-checked": "guaranteed", "IHCP-species-dilution-info": "", "IHCP-species-notes": "" } } }

Product details

ab251055 is the carrier-free version of ab191081.

Patented technology
Our RabMAb® technology is a patented hybridoma-based technology for making rabbit monoclonal antibodies. For details on our patents, please refer to RabMAb® patents.

What are the advantages of a recombinant monoclonal antibody?
This product is a recombinant monoclonal antibody, which offers several advantages including:

  • - High batch-to-batch consistency and reproducibility
  • - Improved sensitivity and specificity
  • - Long-term security of supply
  • - Animal-free batch production

For more information, read more on recombinant antibodies.

Conjugation ready
Our carrier-free antibodies are typically supplied in a PBS-only formulation, purified and free of BSA, sodium azide and glycerol. This conjugation-ready format is designed for use with fluorochromes, metal isotopes, oligonucleotides, and enzymes, which makes them ideal for antibody labelling, functional and cell-based assays, flow-based assays (e.g. mass cytometry) and Multiplex Imaging applications.

Use our conjugation kits for antibody conjugates that are ready-to-use in as little as 20 minutes with 1 minute hands-on-time and 100% antibody recovery: available for fluorescent dyes, HRP, biotin and gold.

Compatibility
This product is compatible with the Maxpar® Antibody Labeling Kit from Fluidigm, without the need for antibody preparation. Maxpar® is a trademark of Fluidigm Canada Inc.

Properties and storage information

Form
Liquid
Purification technique
Affinity purification Protein A
Storage buffer
pH: 7.2 - 7.4 Constituents: PBS
Shipped at conditions
Blue Ice
Appropriate short-term storage conditions
+4°C
Appropriate long-term storage conditions
+4°C
Storage information
Do Not Freeze

Supplementary information

This supplementary information is collated from multiple sources and compiled automatically.

CRM1 also known as exportin 1 is a significant nuclear export protein with a molecular mass of approximately 123 kDa. It is expressed in a wide range of eukaryotic cells being an important component in transporting molecules from the nucleus to the cytoplasm. The CRM1 protein binds cargo proteins bearing a leucine-rich nuclear export signal (NES) and facilitates their passage through the nuclear pore complex. Due to its essential role in nuclear-cytoplasmic transport CRM1 serves as a targeted protein in various research and therapeutic contexts.
Biological function summary

CRM1 participates in the regulation of gene expression by controlling the export of mRNA and ribosomal subunits. It does not act alone but associates with other proteins such as Ran GTPase to form a functioning export complex. This CRM1 complex plays a pivotal role in maintaining cellular homeostasis and responding to cellular stress by regulating the localization of key signaling molecules and transcription factors.

Pathways

CRM1 integrates into critical pathways such as the Wnt signaling pathway and DNA damage response. In the Wnt signaling pathway CRM1 influences the localization and activity of beta-catenin a central protein in the pathway. In the DNA damage response CRM1 interacts with p53 a notable tumor suppressor protein. Through these pathways CRM1 ensures proper control of cell proliferation apoptosis and differentiation.

CRM1 is implicated in cancer and viral infections. Dysregulation of CRM1-mediated nuclear export can lead to abnormal accumulation of oncogenic proteins in the cytoplasm which contributes to cancer pathogenesis. CRM1 overexpression is often observed in several cancers including leukemia and pancreatic cancer linking it to essential regulatory proteins like p53 and NF-kB. Additionally certain viruses exploit CRM1’s export mechanism to enhance their replication making it a target for antiviral research.

Product protocols

For this product, it's our understanding that no specific protocols are required. You can visit:

Target data

Mediates the nuclear export of cellular proteins (cargos) bearing a leucine-rich nuclear export signal (NES) and of RNAs. In the nucleus, in association with RANBP3, binds cooperatively to the NES on its target protein and to the GTPase RAN in its active GTP-bound form (Ran-GTP). Docking of this complex to the nuclear pore complex (NPC) is mediated through binding to nucleoporins. Upon transit of a nuclear export complex into the cytoplasm, disassembling of the complex and hydrolysis of Ran-GTP to Ran-GDP (induced by RANBP1 and RANGAP1, respectively) cause release of the cargo from the export receptor. The directionality of nuclear export is thought to be conferred by an asymmetric distribution of the GTP- and GDP-bound forms of Ran between the cytoplasm and nucleus. Involved in U3 snoRNA transport from Cajal bodies to nucleoli. Binds to late precursor U3 snoRNA bearing a TMG cap.. (Microbial infection) Mediates the export of unspliced or incompletely spliced RNAs out of the nucleus from different viruses including HIV-1, HTLV-1 and influenza A. Interacts with, and mediates the nuclear export of HIV-1 Rev and HTLV-1 Rex proteins. Involved in HTLV-1 Rex multimerization.
See full target information XPO1

Publications (1)

Recent publications for all applications. Explore the full list and refine your search

Molecular medicine reports 21:454-462 PubMed31746378

2019

Blueberry anthocyanin‑enriched extract ameliorates transverse aortic constriction‑induced myocardial dysfunction via the DDAH1/ADMA/NO signaling pathway in mice.

Applications

Unspecified application

Species

Unspecified reactive species

Weiqing Hu,Wenyue Wang,Qing Ma,Tao Liu,Jiefeng Zhang,Jicun Zhang
View all publications

Product promise

We are committed to supporting your work with high-quality reagents, and we're here for you every step of the way. In the unlikely event that one of our products does not perform as expected, you're protected by our Product Promise.
For full details, please see our Terms & Conditions

Please note: All products are 'FOR RESEARCH USE ONLY. NOT FOR USE IN DIAGNOSTIC OR THERAPEUTIC PROCEDURES'.

For licensing inquiries, please contact partnerships@abcam.com