JavaScript is disabled in your browser. Please enable JavaScript to view this website.
AB191081

Anti-CRM1 antibody [EPR14124] - C-terminal

Be the first to review this product! Submit a review

|

(6 Publications)

Rabbit Recombinant Monoclonal CRM1 antibody. C-terminal. Suitable for WB, ICC/IF, Flow Cyt (Intra), IHC-P and reacts with Rat, Mouse, Human samples. Cited in 6 publications.

View Alternative Names

CRM1, XPO1, Exportin-1, Exp1, Chromosome region maintenance 1 protein homolog

5 Images
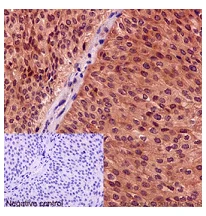
Immunohistochemistry (Formalin/PFA-fixed paraffin-embedded sections) - Anti-CRM1 antibody [EPR14124] - C-terminal (AB191081)
  • IHC-P

Supplier Data

Immunohistochemistry (Formalin/PFA-fixed paraffin-embedded sections) - Anti-CRM1 antibody [EPR14124] - C-terminal (AB191081)

Immunohistochemical analysis of paraffin-embedded human bladder transitional cell carcinoma tissue labeling CRM1 with ab191081 at 1/50 dilution followed by pre-diluted HRP Polymer for Rabbit IgG secondary antibody and counter-stained with Hematoxylin (inset : negative control).

Perform heat mediated antigen retrieval with Tris/EDTA buffer pH 9.0 before commencing with IHC staining protocol.

Immunocytochemistry/ Immunofluorescence - Anti-CRM1 antibody [EPR14124] - C-terminal (AB191081)
  • ICC/IF

Supplier Data

Immunocytochemistry/ Immunofluorescence - Anti-CRM1 antibody [EPR14124] - C-terminal (AB191081)

Immunofluorescent analysis of HeLa cells (4% Paraformaldehyde-fixed; 0.1% tritonX-100-permeabilized) labeling CRM1 with ab191081 at 1/50 dilution followed by Goat anti rabbit IgG (AlexaFluor® 488) secondary at 1/200 dilution and counter-stained with DAPI (blue).

Flow Cytometry (Intracellular) - Anti-CRM1 antibody [EPR14124] - C-terminal (AB191081)
  • Flow Cyt (Intra)

Supplier Data

Flow Cytometry (Intracellular) - Anti-CRM1 antibody [EPR14124] - C-terminal (AB191081)

Intracellular flow cytometric analysis of K562 cells (paraformaldehyde-fixed, 2%) labeling CRM1 with ab191081 at 1/160 dilution (red) or a rabbit IgG (negative) (green), followed by Goat anti rabbit IgG (FITC) secondary at 1/150 dilution.

Western blot - Anti-CRM1 antibody [EPR14124] - C-terminal (AB191081)
  • WB

Supplier Data

Western blot - Anti-CRM1 antibody [EPR14124] - C-terminal (AB191081)

Lanes 1 - 3:

Western blot - Anti-CRM1 antibody [EPR14124] - C-terminal (ab191081) at 1/5000 dilution

Lane 1:

C6 cell lysate at 10 µg

Lane 2:

PC12 cell lysate at 10 µg

Lane 3:

NIH 3T3 cell lysate at 10 µg

Secondary

All lanes:

Goat Anti-Rabbit IgG, (H+L),Peroxidase conjugate at 1/1000 dilution

false

Western blot - Anti-CRM1 antibody [EPR14124] - C-terminal (AB191081)
  • WB

Supplier Data

Western blot - Anti-CRM1 antibody [EPR14124] - C-terminal (AB191081)

All lanes:

Western blot - Anti-CRM1 antibody [EPR14124] - C-terminal (ab191081) at 1/20000 dilution

Lane 1:

K562 cell lysate at 20 µg

Lane 2:

HeLa cell lysate at 20 µg

Lane 3:

Jurkat cell lysate at 20 µg

Lane 4:

Ramos cell lysate at 20 µg

Secondary

All lanes:

Goat Anti-Rabbit IgG, (H+L),Peroxidase conjugate at 1/1000 dilution

Predicted band size: 123 kDa

false

  • Carrier free

    Anti-CRM1 antibody [EPR14124] - BSA and Azide free

Key facts

Host species

Rabbit

Clonality

Monoclonal

Clone number

EPR14124

Isotype

IgG

Carrier free

No

Reacts with

Mouse, Rat, Human

Applications

IHC-P, WB, Flow Cyt (Intra), ICC/IF

applications

Immunogen

The exact immunogen used to generate this antibody is proprietary information.

Reactivity data

{ "title": "Reactivity Data", "filters": { "stats": ["", "Species", "Dilution Info", "Notes"], "tabs": { "all-applications": {"fullname" : "All Applications", "shortname": "All Applications"}, "WB" : {"fullname" : "Western blot", "shortname":"WB"}, "ICCIF" : {"fullname" : "Immunocytochemistry/ Immunofluorescence", "shortname":"ICC/IF"}, "FlowCytIntra" : {"fullname" : "Flow Cytometry (Intracellular)", "shortname":"Flow Cyt (Intra)"}, "IHCP" : {"fullname" : "Immunohistochemistry (Formalin/PFA-fixed paraffin-embedded sections)", "shortname":"IHC-P"} }, "product-promise": { "all": "all", "testedAndGuaranteed": "tested", "guaranteed": "expected", "predicted": "predicted", "notRecommended": "not-recommended" } }, "values": { "Human": { "WB-species-checked": "testedAndGuaranteed", "WB-species-dilution-info": "1/1000 - 1/20000", "WB-species-notes": "<p></p>", "ICCIF-species-checked": "testedAndGuaranteed", "ICCIF-species-dilution-info": "1/50", "ICCIF-species-notes": "<p></p>", "FlowCytIntra-species-checked": "testedAndGuaranteed", "FlowCytIntra-species-dilution-info": "1/160", "FlowCytIntra-species-notes": "<p><a href='/en-us/products/primary-antibodies/rabbit-igg-monoclonal-epr25a-isotype-control-ab172730'>ab172730</a> - Rabbit monoclonal IgG, is suitable for use as an isotype control with this antibody.</p>", "IHCP-species-checked": "testedAndGuaranteed", "IHCP-species-dilution-info": "1/50", "IHCP-species-notes": "<p></p> Perform heat-mediated antigen retrieval with Tris/EDTA buffer pH 9.0 before commencing with IHC staining protocol." }, "Mouse": { "WB-species-checked": "testedAndGuaranteed", "WB-species-dilution-info": "1/1000 - 1/20000", "WB-species-notes": "<p></p>", "ICCIF-species-checked": "guaranteed", "ICCIF-species-dilution-info": "", "ICCIF-species-notes": "", "FlowCytIntra-species-checked": "guaranteed", "FlowCytIntra-species-dilution-info": "", "FlowCytIntra-species-notes": "", "IHCP-species-checked": "guaranteed", "IHCP-species-dilution-info": "", "IHCP-species-notes": "" }, "Rat": { "WB-species-checked": "testedAndGuaranteed", "WB-species-dilution-info": "1/1000 - 1/20000", "WB-species-notes": "<p></p> Perform heat-mediated antigen retrieval with Tris/EDTA buffer pH 9.0 before commencing with IHC staining protocol.", "ICCIF-species-checked": "guaranteed", "ICCIF-species-dilution-info": "", "ICCIF-species-notes": "", "FlowCytIntra-species-checked": "guaranteed", "FlowCytIntra-species-dilution-info": "", "FlowCytIntra-species-notes": "", "IHCP-species-checked": "guaranteed", "IHCP-species-dilution-info": "", "IHCP-species-notes": "" } } }

Product details

Patented technology
Our RabMAb® technology is a patented hybridoma-based technology for making rabbit monoclonal antibodies. For details on our patents, please refer to RabMAb® patents.

What are the advantages of a recombinant monoclonal antibody?
This product is a recombinant monoclonal antibody, which offers several advantages including:

  • - High batch-to-batch consistency and reproducibility
  • - Improved sensitivity and specificity
  • - Long-term security of supply
  • - Animal-free batch production

For more information, read more on recombinant antibodies.

Properties and storage information

Form
Liquid
Purification technique
Affinity purification Protein A
Storage buffer
pH: 7.2 - 7.4 Preservative: 0.01% Sodium azide Constituents: 59% PBS, 40% Glycerol (glycerin, glycerine), 0.05% BSA
Shipped at conditions
Blue Ice
Appropriate short-term storage duration
1-2 weeks
Appropriate short-term storage conditions
+4°C
Appropriate long-term storage conditions
-20°C
Aliquoting information
Upon delivery aliquot
Storage information
Avoid freeze / thaw cycle

Supplementary information

This supplementary information is collated from multiple sources and compiled automatically.

CRM1 also known as exportin 1 is a significant nuclear export protein with a molecular mass of approximately 123 kDa. It is expressed in a wide range of eukaryotic cells being an important component in transporting molecules from the nucleus to the cytoplasm. The CRM1 protein binds cargo proteins bearing a leucine-rich nuclear export signal (NES) and facilitates their passage through the nuclear pore complex. Due to its essential role in nuclear-cytoplasmic transport CRM1 serves as a targeted protein in various research and therapeutic contexts.
Biological function summary

CRM1 participates in the regulation of gene expression by controlling the export of mRNA and ribosomal subunits. It does not act alone but associates with other proteins such as Ran GTPase to form a functioning export complex. This CRM1 complex plays a pivotal role in maintaining cellular homeostasis and responding to cellular stress by regulating the localization of key signaling molecules and transcription factors.

Pathways

CRM1 integrates into critical pathways such as the Wnt signaling pathway and DNA damage response. In the Wnt signaling pathway CRM1 influences the localization and activity of beta-catenin a central protein in the pathway. In the DNA damage response CRM1 interacts with p53 a notable tumor suppressor protein. Through these pathways CRM1 ensures proper control of cell proliferation apoptosis and differentiation.

CRM1 is implicated in cancer and viral infections. Dysregulation of CRM1-mediated nuclear export can lead to abnormal accumulation of oncogenic proteins in the cytoplasm which contributes to cancer pathogenesis. CRM1 overexpression is often observed in several cancers including leukemia and pancreatic cancer linking it to essential regulatory proteins like p53 and NF-kB. Additionally certain viruses exploit CRM1’s export mechanism to enhance their replication making it a target for antiviral research.

Product protocols

For this product, it's our understanding that no specific protocols are required. You can visit:

Target data

Mediates the nuclear export of cellular proteins (cargos) bearing a leucine-rich nuclear export signal (NES) and of RNAs. In the nucleus, in association with RANBP3, binds cooperatively to the NES on its target protein and to the GTPase RAN in its active GTP-bound form (Ran-GTP). Docking of this complex to the nuclear pore complex (NPC) is mediated through binding to nucleoporins. Upon transit of a nuclear export complex into the cytoplasm, disassembling of the complex and hydrolysis of Ran-GTP to Ran-GDP (induced by RANBP1 and RANGAP1, respectively) cause release of the cargo from the export receptor. The directionality of nuclear export is thought to be conferred by an asymmetric distribution of the GTP- and GDP-bound forms of Ran between the cytoplasm and nucleus. Involved in U3 snoRNA transport from Cajal bodies to nucleoli. Binds to late precursor U3 snoRNA bearing a TMG cap.. (Microbial infection) Mediates the export of unspliced or incompletely spliced RNAs out of the nucleus from different viruses including HIV-1, HTLV-1 and influenza A. Interacts with, and mediates the nuclear export of HIV-1 Rev and HTLV-1 Rex proteins. Involved in HTLV-1 Rex multimerization.
See full target information XPO1

Publications (6)

Recent publications for all applications. Explore the full list and refine your search

Turkish journal of medical sciences 53:909-923 PubMed38031942

2023

CRM1 expression: association with high prognostic value in laryngeal cancer.

Applications

Unspecified application

Species

Unspecified reactive species

Talih Özdaş,Sibel Özdaş,İpek Canatar,Erdal Coşgun,Elif Burcu Şenyurt,Orhan Görgülü

Chemical biology & drug design 102:805-814 PubMed37442763

2023

Coptisine inhibits the malignancy of bladder carcinoma cells and regulates XPO1 expression.

Applications

Unspecified application

Species

Unspecified reactive species

Jie Li,Xiuheng Liu

Molecular cancer 21:105 PubMed35477447

2022

Long noncoding RNA TLNC1 promotes the growth and metastasis of liver cancer via inhibition of p53 signaling.

Applications

Unspecified application

Species

Unspecified reactive species

Kefei Yuan,Jiang Lan,Lin Xu,Xuping Feng,Haotian Liao,Kunlin Xie,Hong Wu,Yong Zeng

Cerebral cortex (New York, N.Y. : 1991) 30:3960-3976 PubMed32008040

2020

Inhibition of Autism-Related Crm1 Disrupts Mitosis and Induces Apoptosis of the Cortical Neural Progenitors.

Applications

Unspecified application

Species

Unspecified reactive species

Xue Li,Yue Feng,Meifang Yan,Xiaomeng Tu,Bin Xie,Fangfang Ni,Chunsheng Qu,Jie-Guang Chen

BMC cancer 18:764 PubMed30045709

2018

Decrease of 5-hydroxymethylcytosine and TET1 with nuclear exclusion of TET2 in small intestinal neuroendocrine tumors.

Applications

Unspecified application

Species

Unspecified reactive species

Elham Barazeghi,Surendra Prabhawa,Olov Norlén,Per Hellman,Peter Stålberg,Gunnar Westin

Experimental and therapeutic medicine 12:59-68 PubMed27347018

2016

Chromosome region maintenance 1 expression and its association with clinical pathological features in primary carcinoma of the liver.

Applications

Unspecified application

Species

Human

Qiao-Ling Xie,Yue Liu,Ying Zhu
View all publications

Product promise

We are committed to supporting your work with high-quality reagents, and we're here for you every step of the way. In the unlikely event that one of our products does not perform as expected, you're protected by our Product Promise.
For full details, please see our Terms & Conditions

Please note: All products are 'FOR RESEARCH USE ONLY. NOT FOR USE IN DIAGNOSTIC OR THERAPEUTIC PROCEDURES'.

For licensing inquiries, please contact partnerships@abcam.com