JavaScript is disabled in your browser. Please enable JavaScript to view this website.
AB240952

Anti-CRMP1 + CRMP2 antibody [EPR7792] - BSA and Azide free

Be the first to review this product! Submit a review

|

(0 Publication)

Rabbit Recombinant Monoclonal CRMP2 antibody. Carrier free. Suitable for IHC-P, IP, ICC/IF, Flow Cyt (Intra), WB and reacts with Human, Mouse, Rat samples.

View Alternative Names

CRMP2, ULIP2, DPYSL2, Dihydropyrimidinase-related protein 2, DRP-2, Collapsin response mediator protein 2, N2A3, Unc-33-like phosphoprotein 2, CRMP-2, ULIP-2, DPYSL1, ULIP3, CRMP1, Dihydropyrimidinase-related protein 1, DRP-1, Collapsin response mediator protein 1, Inactive dihydropyrimidinase, Unc-33-like phosphoprotein 3, CRMP-1, ULIP-3

9 Images
Immunohistochemistry (Formalin/PFA-fixed paraffin-embedded sections) - Anti-CRMP1 + CRMP2 antibody [EPR7792] - BSA and Azide free (AB240952)
  • IHC-P

Unknown

Immunohistochemistry (Formalin/PFA-fixed paraffin-embedded sections) - Anti-CRMP1 + CRMP2 antibody [EPR7792] - BSA and Azide free (AB240952)

ab129082, at a dilution of 1/100, staining CRMP2 in paraffin embedded Human astrocytoma tissue by Immunohistochemistry.

This data was developed using the same antibody clone in a different buffer formulation containing PBS, BSA, glycerol, and sodium azide (ab129082)

Heat mediated antigen retrieval was performed with citrate buffer pH 6 before commencing with IHC staining protocol.

Immunohistochemistry (Formalin/PFA-fixed paraffin-embedded sections) - Anti-CRMP1 + CRMP2 antibody [EPR7792] - BSA and Azide free (AB240952)
  • IHC-P

Unknown

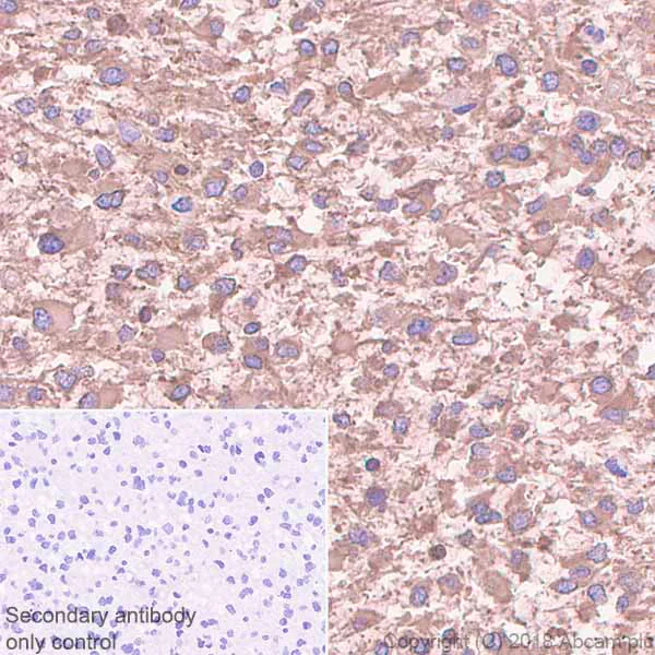
Immunohistochemistry (Formalin/PFA-fixed paraffin-embedded sections) - Anti-CRMP1 + CRMP2 antibody [EPR7792] - BSA and Azide free (AB240952)

Immunohistochemistry (Formalin/PFA-fixed paraffin-embedded sections) analysis of Human glioma tissue sections labeling CRMP2 with Purified ab129082 at 1 : 1000 dilution (0.12 μg/ml). Heat mediated antigen retrieval was performed using ab93684 (Tris/EDTA buffer, pH 9.0). ImmunoHistoProbe one step HRP Polymer (ready to use)was used as the secondary antibody. Negative control : PBS instead of the primary antibody. Hematoxylin was used as a counterstain.
This data was developed using the same antibody clone in a different buffer formulation containing PBS, BSA, glycerol, and sodium azide (ab129082)

Immunohistochemistry (Formalin/PFA-fixed paraffin-embedded sections) - Anti-CRMP1 + CRMP2 antibody [EPR7792] - BSA and Azide free (AB240952)
  • IHC-P

Unknown

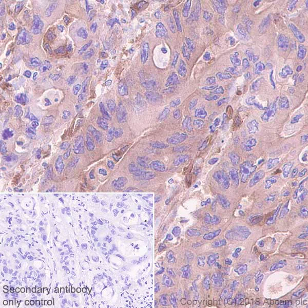
Immunohistochemistry (Formalin/PFA-fixed paraffin-embedded sections) - Anti-CRMP1 + CRMP2 antibody [EPR7792] - BSA and Azide free (AB240952)

Immunohistochemistry (Formalin/PFA-fixed paraffin-embedded sections) analysis of Human colon carcinoma tissue sections labeling CRMP2 with Purified ab129082 at 1 : 1000 dilution (0.12 μg/ml). Heat mediated antigen retrieval was performed using ab93684 (Tris/EDTA buffer, pH 9.0). ImmunoHistoProbe one step HRP Polymer (ready to use)was used as the secondary antibody. Negative control : PBS instead of the primary antibody. Hematoxylin was used as a counterstain.
This data was developed using the same antibody clone in a different buffer formulation containing PBS, BSA, glycerol, and sodium azide (ab129082)

Flow Cytometry (Intracellular) - Anti-CRMP1 + CRMP2 antibody [EPR7792] - BSA and Azide free (AB240952)
  • Flow Cyt (Intra)

Unknown

Flow Cytometry (Intracellular) - Anti-CRMP1 + CRMP2 antibody [EPR7792] - BSA and Azide free (AB240952)

Overlay histogram showing SH-SY5Y cells stained with ab129082 (red line). The cells were fixed with 80% methanol (5 min) and then permeabilized with 0.1% PBS-Tween for 20 min. The cells were then incubated in 1x PBS / 10% normal goat serum / 0.3M glycine to block non-specific protein-protein interactions followed by the antibody (ab129082, 1/1000 dilution) for 30 min at 22°C. The secondary antibody used was Alexa Fluor® 488 goat anti-rabbit IgG (H&L) (ab150077) at 1/2000 dilution for 30 min at 22°C. Isotype control antibody (black line) was rabbit IgG (monoclonal) (0.1 µg/1x106 cells) used under the same conditions. Unlabelled sample (blue line) was also used as a control. Acquisition of >5,000 events were collected using a 20mW Argon ion laser (488nm) and 525/30 bandpass filter.

This data was developed using the same antibody clone in a different buffer formulation containing PBS, BSA, glycerol, and sodium azide (ab129082)

Immunoprecipitation - Anti-CRMP1 + CRMP2 antibody [EPR7792] - BSA and Azide free (AB240952)
  • IP

Unknown

Immunoprecipitation - Anti-CRMP1 + CRMP2 antibody [EPR7792] - BSA and Azide free (AB240952)

ab129082 (purified) at 1 : 20 dilution (0.5μg) immunoprecipitating CRMP2 in U-87 MG whole cell lysate.
Lane 1 (input) : U-87 MG (Human glioblastoma-astrocytoma epithelial cell) whole cell lysate 10μg
Lane 2 (+) : ab129082 & U-87 MG whole cell lysate
Lane 3 (-) : Rabbit monoclonal IgG (ab172730) instead of ab129082 in U-87 MG whole cell lysate
For western blotting, VeriBlot for IP Detection Reagent (HRP) (ab131366) was used for detection at 1 : 1000 dilution.
Blocking and diluting buffer : 5% NFDM/TBST.
This data was developed using the same antibody clone in a different buffer formulation containing PBS, BSA, glycerol, and sodium azide (ab129082)

All lanes:

Immunoprecipitation - Anti-CRMP1 + CRMP2 antibody [EPR7792] (<a href='/en-us/products/primary-antibodies/crmp1-crmp2-antibody-epr7792-ab129082'>ab129082</a>)

Predicted band size: 47 kDa

false

Flow Cytometry (Intracellular) - Anti-CRMP1 + CRMP2 antibody [EPR7792] - BSA and Azide free (AB240952)
  • Flow Cyt (Intra)

Unknown

Flow Cytometry (Intracellular) - Anti-CRMP1 + CRMP2 antibody [EPR7792] - BSA and Azide free (AB240952)

Intracellular Flow Cytometry analysis of NIH/3T3 (Mouse embryonic fibroblast) cells labeling CRMP2 with Purified ab129082 at 1/20 dilution (10μg/ml) (red). Cells were fixed with 4% Paraformaldehyde. A Goat anti rabbit IgG (Alexa Fluor® 488, ab150077) secondary antibody was used at 1/2000. Isotype control - Rabbit monoclonal IgG (Black). Unlabeled control - Cell without incubation with primary antibody and secondary antibody (Blue). This data was developed using the same antibody clone in a different buffer formulation containing PBS, BSA, glycerol, and sodium azide (ab129082)

Immunocytochemistry/ Immunofluorescence - Anti-CRMP1 + CRMP2 antibody [EPR7792] - BSA and Azide free (AB240952)
  • ICC/IF

Lab

Immunocytochemistry/ Immunofluorescence - Anti-CRMP1 + CRMP2 antibody [EPR7792] - BSA and Azide free (AB240952)

ab129082 staining CRMP2 in NIH/3T3 (mouse embryonic fibroblast) cells by ICC/IF (Immunocytochemistry/immunofluorescence). Cells were fixed with 100% methanol. Samples were incubated with primary antibody at a dilution of 1/500. A goat anti rabbit IgG (Alexa Fluor® 488) (ab150077) was used as the secondary antibody at a dilution of 1/1000. DAPI was used as a nuclear counterstain.

Negative control 1 : PBS only.

This data was developed using the same antibody clone in a different buffer formulation containing PBS, BSA, glycerol, and sodium azide (ab129082)

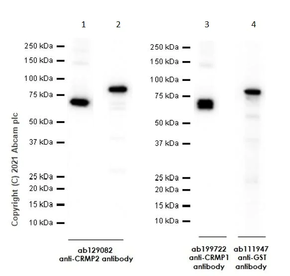
Western blot - Anti-CRMP1 + CRMP2 antibody [EPR7792] - BSA and Azide free (AB240952)
  • WB

Lab

Western blot - Anti-CRMP1 + CRMP2 antibody [EPR7792] - BSA and Azide free (AB240952)

THis data was developed using ab129082, the same antibody clone in a diffrent buffer formulation.

Blocking and dilution buffer : 5% NFDM /TBST

All lanes:

Western blot - Anti-CRMP1 + CRMP2 antibody [EPR7792] (<a href='/en-us/products/primary-antibodies/crmp1-crmp2-antibody-epr7792-ab129082'>ab129082</a>) at 1/1000 dilution

Lanes 1 and 3:

Western blot - Recombinant Human CRMP1 protein (His tag N-Terminus) (<a href='/en-us/products/proteins-peptides/recombinant-human-crmp1-protein-ab202599'>ab202599</a>)

Lanes 2 and 4:

Western blot - Recombinant Human CRMP2 protein (GST tag N-Terminus) (<a href='/en-us/products/proteins-peptides/recombinant-human-crmp2-protein-ab114269'>ab114269</a>)

Secondary

All lanes:

Western blot - Goat Anti-Rabbit IgG H&L (HRP) (<a href='/en-us/products/secondary-antibodies/goat-rabbit-igg-h-l-hrp-ab97051'>ab97051</a>) at 1/20000 dilution

false

Exposure time: 3s

OI-RD Scanning - Anti-CRMP1 + CRMP2 antibody [EPR7792] - BSA and Azide free (AB240952)
  • OI-RD Scanning

Unknown

OI-RD Scanning - Anti-CRMP1 + CRMP2 antibody [EPR7792] - BSA and Azide free (AB240952)

We have systematically measured KD (the equilibrium dissociation constant between the antibody and its antigen), of more than 840 recombinant antibodies to assess not only their individual KD values but also to see the average affinity of antibody. Based on the comparison with published literature values for mouse monoclonal antibodies, Recombinant antibodies appear to be on average 1-2 order of magnitude higher affinity.

  • Unconjugated

    Anti-CRMP1 + CRMP2 antibody [EPR7792]

  • 775 Alexa Fluor® 750

    Alexa Fluor® 750 Anti-CRMP1 + CRMP2 antibody [EPR7792]

  • 665 Alexa Fluor® 647

    Alexa Fluor® 647 Anti-CRMP1 + CRMP2 antibody [EPR7792]

  • 578 PE

    PE Anti-CRMP2 antibody [EPR7792]

  • 660 APC

    APC Anti-CRMP2 antibody [EPR7792]

  • HRP

    HRP Anti-CRMP2 antibody [EPR7792]

  • 519 Alexa Fluor® 488

    Alexa Fluor® 488 Anti-CRMP2 antibody [EPR7792]

  • 617 Alexa Fluor® 594

    Alexa Fluor® 594 Anti-CRMP2 antibody [EPR7792]

  • 565 Alexa Fluor® 555

    Alexa Fluor® 555 Anti-CRMP2 antibody [EPR7792]

  • 603 Alexa Fluor® 568

    Alexa Fluor® 568 Anti-CRMP1 + CRMP2 antibody [EPR7792]

Key facts

Host species

Rabbit

Clonality

Monoclonal

Clone number

EPR7792

Isotype

IgG

Carrier free

Yes

Reacts with

Mouse, Rat, Human

Applications

IHC-P, Flow Cyt (Intra), ICC/IF, IP, WB

applications

Immunogen

The exact immunogen used to generate this antibody is proprietary information.

Specificity

The mouse and rat recommendation is based on the WB results. We do not guarantee IHC-P for mouse and rat.

Reactivity data

{ "title": "Reactivity Data", "filters": { "stats": ["", "Species", "Dilution Info", "Notes"], "tabs": { "all-applications": {"fullname" : "All Applications", "shortname": "All Applications"}, "IHCP" : {"fullname" : "Immunohistochemistry (Formalin/PFA-fixed paraffin-embedded sections)", "shortname":"IHC-P"}, "IP" : {"fullname" : "Immunoprecipitation", "shortname":"IP"}, "ICCIF" : {"fullname" : "Immunocytochemistry/ Immunofluorescence", "shortname":"ICC/IF"}, "FlowCytIntra" : {"fullname" : "Flow Cytometry (Intracellular)", "shortname":"Flow Cyt (Intra)"}, "WB" : {"fullname" : "Western blot", "shortname":"WB"} }, "product-promise": { "all": "all", "testedAndGuaranteed": "tested", "guaranteed": "expected", "predicted": "predicted", "notRecommended": "not-recommended" } }, "values": { "Human": { "IHCP-species-checked": "testedAndGuaranteed", "IHCP-species-dilution-info": "", "IHCP-species-notes": "<p>The mouse and rat recommendation is based on the WB results. We do not guarantee IHC-P for mouse and rat.</p>", "IP-species-checked": "testedAndGuaranteed", "IP-species-dilution-info": "", "IP-species-notes": "<p></p>", "ICCIF-species-checked": "guaranteed", "ICCIF-species-dilution-info": "", "ICCIF-species-notes": "", "FlowCytIntra-species-checked": "testedAndGuaranteed", "FlowCytIntra-species-dilution-info": "", "FlowCytIntra-species-notes": "<p><a href='/en-us/products/primary-antibodies/rabbit-igg-monoclonal-epr25a-isotype-control-low-endotoxin-azide-free-ab199376'>ab199376</a> - Rabbit monoclonal IgG, is suitable for use as an isotype control with this antibody.</p>", "WB-species-checked": "testedAndGuaranteed", "WB-species-dilution-info": "", "WB-species-notes": "<p></p>" }, "Mouse": { "IHCP-species-checked": "guaranteed", "IHCP-species-dilution-info": "", "IHCP-species-notes": "", "IP-species-checked": "guaranteed", "IP-species-dilution-info": "", "IP-species-notes": "", "ICCIF-species-checked": "testedAndGuaranteed", "ICCIF-species-dilution-info": "", "ICCIF-species-notes": "<p></p>", "FlowCytIntra-species-checked": "testedAndGuaranteed", "FlowCytIntra-species-dilution-info": "", "FlowCytIntra-species-notes": "<p><a href='/en-us/products/primary-antibodies/rabbit-igg-monoclonal-epr25a-isotype-control-low-endotoxin-azide-free-ab199376'>ab199376</a> - Rabbit monoclonal IgG, is suitable for use as an isotype control with this antibody.</p>", "WB-species-checked": "testedAndGuaranteed", "WB-species-dilution-info": "", "WB-species-notes": "<p></p>" }, "Rat": { "IHCP-species-checked": "guaranteed", "IHCP-species-dilution-info": "", "IHCP-species-notes": "", "IP-species-checked": "guaranteed", "IP-species-dilution-info": "", "IP-species-notes": "", "ICCIF-species-checked": "guaranteed", "ICCIF-species-dilution-info": "", "ICCIF-species-notes": "", "FlowCytIntra-species-checked": "guaranteed", "FlowCytIntra-species-dilution-info": "", "FlowCytIntra-species-notes": "", "WB-species-checked": "testedAndGuaranteed", "WB-species-dilution-info": "", "WB-species-notes": "<p></p>" } } }

Product details

ab240952 is the carrier-free version of ab129082.

Patented technology
Our RabMAb® technology is a patented hybridoma-based technology for making rabbit monoclonal antibodies. For details on our patents, please refer to RabMAb® patents.

What are the advantages of a recombinant monoclonal antibody?
This product is a recombinant monoclonal antibody, which offers several advantages including:

  • - High batch-to-batch consistency and reproducibility
  • - Improved sensitivity and specificity
  • - Long-term security of supply
  • - Animal-free batch production

For more information, read more on recombinant antibodies.

Conjugation ready
Our carrier-free antibodies are typically supplied in a PBS-only formulation, purified and free of BSA, sodium azide and glycerol. This conjugation-ready format is designed for use with fluorochromes, metal isotopes, oligonucleotides, and enzymes, which makes them ideal for antibody labelling, functional and cell-based assays, flow-based assays (e.g. mass cytometry) and Multiplex Imaging applications.

Use our conjugation kits for antibody conjugates that are ready-to-use in as little as 20 minutes with 1 minute hands-on-time and 100% antibody recovery: available for fluorescent dyes, HRP, biotin and gold.

Compatibility
This product is compatible with the Maxpar® Antibody Labeling Kit from Fluidigm, without the need for antibody preparation. Maxpar® is a trademark of Fluidigm Canada Inc.

Properties and storage information

Form
Liquid
Purification technique
Affinity purification Protein A
Storage buffer
pH: 7.2 - 7.4 Constituents: PBS
Shipped at conditions
Blue Ice
Appropriate short-term storage conditions
+4°C
Appropriate long-term storage conditions
+4°C
Storage information
Do Not Freeze

Product protocols

For this product, it's our understanding that no specific protocols are required. You can visit:

Target data

Plays a role in neuronal development and polarity, as well as in axon growth and guidance, neuronal growth cone collapse and cell migration. Necessary for signaling by class 3 semaphorins and subsequent remodeling of the cytoskeleton. May play a role in endocytosis.
See full target information DPYSL2

Additional targets

CRMP1

Product promise

We are committed to supporting your work with high-quality reagents, and we're here for you every step of the way. In the unlikely event that one of our products does not perform as expected, you're protected by our Product Promise.
For full details, please see our Terms & Conditions

Please note: All products are 'FOR RESEARCH USE ONLY. NOT FOR USE IN DIAGNOSTIC OR THERAPEUTIC PROCEDURES'.

For licensing inquiries, please contact partnerships@abcam.com