JavaScript is disabled in your browser. Please enable JavaScript to view this website.
AB192799

Anti-CRMP2 (phospho T509) antibody

Be the first to review this product! Submit a review

|

(2 Publications)

Rabbit Polyclonal CRMP2 phospho T509 antibody. Suitable for WB, IHC-P and reacts with Human samples. Cited in 2 publications. Immunogen corresponding to Synthetic Peptide within Human DPYSL2 phospho T509 conjugated to Keyhole Limpet Haemocyanin.

View Alternative Names

CRMP2, ULIP2, DPYSL2, Dihydropyrimidinase-related protein 2, DRP-2, Collapsin response mediator protein 2, N2A3, Unc-33-like phosphoprotein 2, CRMP-2, ULIP-2

2 Images
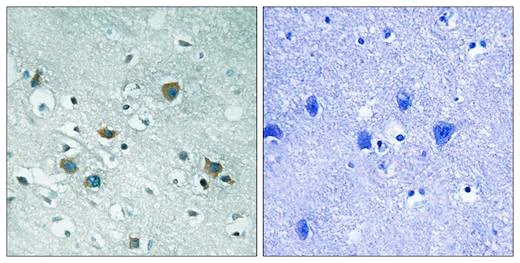
Immunohistochemistry (Formalin/PFA-fixed paraffin-embedded sections) - Anti-CRMP2 (phospho T509) antibody (AB192799)
  • IHC-P

Supplier Data

Immunohistochemistry (Formalin/PFA-fixed paraffin-embedded sections) - Anti-CRMP2 (phospho T509) antibody (AB192799)

Immunohistochemical analysis of paraffin-embedded human brain tissue labeling CRMP2 (phospho T509) with ab192799 at 1/50 (left) or ab192799 preincubated with blocking peptide (right).

Western blot - Anti-CRMP2 (phospho T509) antibody (AB192799)
  • WB

Supplier Data

Western blot - Anti-CRMP2 (phospho T509) antibody (AB192799)

All lanes:

Western blot - Anti-CRMP2 (phospho T509) antibody (ab192799) at 1/500 dilution

Lane 1:

HT29 cell extract

Lane 2:

HT29 cell extract with antigen-specific peptide

Predicted band size: 62 kDa

false

Key facts

Host species

Rabbit

Clonality

Polyclonal

Isotype

IgG

Carrier free

No

Reacts with

Human

Applications

IHC-P, WB

applications

Immunogen

Synthetic Peptide within Human DPYSL2 phospho T509 conjugated to Keyhole Limpet Haemocyanin. The exact immunogen used to generate this antibody is proprietary information.

Q16555

Reactivity data

{ "title": "Reactivity Data", "filters": { "stats": ["", "Species", "Dilution Info", "Notes"], "tabs": { "all-applications": {"fullname" : "All Applications", "shortname": "All Applications"}, "WB" : {"fullname" : "Western blot", "shortname":"WB"}, "IHCP" : {"fullname" : "Immunohistochemistry (Formalin/PFA-fixed paraffin-embedded sections)", "shortname":"IHC-P"} }, "product-promise": { "all": "all", "testedAndGuaranteed": "tested", "guaranteed": "expected", "predicted": "predicted", "notRecommended": "not-recommended" } }, "values": { "Human": { "WB-species-checked": "testedAndGuaranteed", "WB-species-dilution-info": "1/500 - 1/1000", "WB-species-notes": "<p></p>", "IHCP-species-checked": "testedAndGuaranteed", "IHCP-species-dilution-info": "1/50 - 1/100", "IHCP-species-notes": "<p></p>" }, "Mouse": { "WB-species-checked": "predicted", "WB-species-dilution-info": "", "WB-species-notes": "", "IHCP-species-checked": "predicted", "IHCP-species-dilution-info": "", "IHCP-species-notes": "" }, "Rat": { "WB-species-checked": "predicted", "WB-species-dilution-info": "", "WB-species-notes": "", "IHCP-species-checked": "predicted", "IHCP-species-dilution-info": "", "IHCP-species-notes": "" } } }

Product details

CRMP-2 is an enzyme with dihydropyrimidinase activity. Plays a role in RhoA-dependent signaling, through interaction with and regulation of Rho kinase. Plays a role in neurogenesis. Aberrantly expressed in fetal Down syndrome brain.

Properties and storage information

Form
Liquid
Purification technique
Affinity purification Immunogen
Purification notes
ab192799 was purified by affinity-chromatography using epitope-specific phosphopeptide. Non-phospho specific antibodies were removed by chromatography using non-phosphopeptide.
Storage buffer
pH: 7.4 Preservative: 0.02% Sodium azide Constituents: PBS, 50% Glycerol (glycerin, glycerine), 0.87% Sodium chloride
Shipped at conditions
Blue Ice
Appropriate short-term storage duration
1-2 weeks
Appropriate short-term storage conditions
+4°C
Appropriate long-term storage conditions
-20°C
Aliquoting information
Upon delivery aliquot
Storage information
Avoid freeze / thaw cycle

Product protocols

For this product, it's our understanding that no specific protocols are required. You can visit:

Target data

Plays a role in neuronal development and polarity, as well as in axon growth and guidance, neuronal growth cone collapse and cell migration. Necessary for signaling by class 3 semaphorins and subsequent remodeling of the cytoskeleton. May play a role in endocytosis.
See full target information DPYSL2 phospho T509

Publications (2)

Recent publications for all applications. Explore the full list and refine your search

Communications biology 8:916 PubMed40527961

2025

Drug treatment alters performance in a neural microphysiological system of information processing.

Applications

Unspecified application

Species

Unspecified reactive species

Bradley Watmuff,Forough Habibollahi,Candice Desouza,Moein Khajehnejad,Alon Loeffler,Koby Baranes,Noah Poulin,Mark Kotter,Brett J Kagan

Molecular & cellular proteomics : MCP 22:100543 PubMed37030595

2023

N-Terminomic Changes in Neurons During Excitotoxicity Reveal Proteolytic Events Associated With Synaptic Dysfunctions and Potential Targets for Neuroprotection.

Applications

Unspecified application

Species

Unspecified reactive species

S Sadia Ameen,Nane Griem-Krey,Antoine Dufour,M Iqbal Hossain,Ashfaqul Hoque,Sharelle Sturgeon,Harshal Nandurkar,Dominik F Draxler,Robert L Medcalf,Mohd Aizuddin Kamaruddin,Isabelle S Lucet,Michael G Leeming,Dazhi Liu,Amardeep Dhillon,Jet Phey Lim,Faiza Basheer,Hong-Jian Zhu,Laita Bokhari,Carli L Roulston,Prasad N Paradkar,Oded Kleifeld,Andrew N Clarkson,Petrine Wellendorph,Giuseppe D Ciccotosto,Nicholas A Williamson,Ching-Seng Ang,Heung-Chin Cheng
View all publications

Product promise

We are committed to supporting your work with high-quality reagents, and we're here for you every step of the way. In the unlikely event that one of our products does not perform as expected, you're protected by our Product Promise.
For full details, please see our Terms & Conditions

Please note: All products are 'FOR RESEARCH USE ONLY. NOT FOR USE IN DIAGNOSTIC OR THERAPEUTIC PROCEDURES'.

For licensing inquiries, please contact partnerships@abcam.com