JavaScript is disabled in your browser. Please enable JavaScript to view this website.
AB176331

Anti-CRMP5 antibody [EPR13127(B)]

Be the first to review this product! Submit a review

|

(2 Publications)

Rabbit Recombinant Monoclonal CRMP5 antibody. Suitable for IHC-P, IP, WB and reacts with Human samples. Cited in 2 publications.

View Alternative Names

CRMP5, ULIP6, DPYSL5, Dihydropyrimidinase-related protein 5, DRP-5, CRMP3-associated molecule, Collapsin response mediator protein 5, UNC33-like phosphoprotein 6, CRAM, CRMP-5, ULIP-6

3 Images
Immunohistochemistry (Formalin/PFA-fixed paraffin-embedded sections) - Anti-CRMP5 antibody [EPR13127(B)] (AB176331)
  • IHC-P

Supplier Data

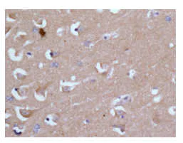
Immunohistochemistry (Formalin/PFA-fixed paraffin-embedded sections) - Anti-CRMP5 antibody [EPR13127(B)] (AB176331)

Immunohistochemical analysis of paraffin-embedded Human brain tissue labeling CRMP5 with ab176331 at 1/50 dilution.

Perform heat mediated antigen retrieval with citrate buffer pH 6 before commencing with IHC staining protocol.

Immunoprecipitation - Anti-CRMP5 antibody [EPR13127(B)] (AB176331)
  • IP

Supplier Data

Immunoprecipitation - Anti-CRMP5 antibody [EPR13127(B)] (AB176331)

Western blot analysis on immunoprecipitation pellet from SH-SY5Y cell lysate using ab176331 at 1/10 dilution.

All lanes:

Immunoprecipitation - Anti-CRMP5 antibody [EPR13127(B)] (ab176331)

Predicted band size: 61 kDa

false

Western blot - Anti-CRMP5 antibody [EPR13127(B)] (AB176331)
  • WB

Supplier Data

Western blot - Anti-CRMP5 antibody [EPR13127(B)] (AB176331)

All lanes:

Western blot - Anti-CRMP5 antibody [EPR13127(B)] (ab176331) at 1/10000 dilution

Lane 1:

Fetal brain tissue lysate at 10 µg

Lane 2:

Human cerebellum lysate at 10 µg

Lane 3:

SH-SY5Y cell lysate at 10 µg

Predicted band size: 61 kDa

false

  • Carrier free

    Anti-CRMP5 antibody [EPR13127(B)] - BSA and Azide free

Key facts

Host species

Rabbit

Clonality

Monoclonal

Clone number

EPR13127(B)

Isotype

IgG

Carrier free

No

Reacts with

Human

Applications

IP, IHC-P, WB

applications

Immunogen

The exact immunogen used to generate this antibody is proprietary information.

Reactivity data

{ "title": "Reactivity Data", "filters": { "stats": ["", "Species", "Dilution Info", "Notes"], "tabs": { "all-applications": {"fullname" : "All Applications", "shortname": "All Applications"}, "IHCP" : {"fullname" : "Immunohistochemistry (Formalin/PFA-fixed paraffin-embedded sections)", "shortname":"IHC-P"}, "IP" : {"fullname" : "Immunoprecipitation", "shortname":"IP"}, "WB" : {"fullname" : "Western blot", "shortname":"WB"} }, "product-promise": { "all": "all", "testedAndGuaranteed": "tested", "guaranteed": "expected", "predicted": "predicted", "notRecommended": "not-recommended" } }, "values": { "Human": { "IHCP-species-checked": "testedAndGuaranteed", "IHCP-species-dilution-info": "1/50 - 1/100", "IHCP-species-notes": "<p></p>", "IP-species-checked": "testedAndGuaranteed", "IP-species-dilution-info": "1/10 - 1/100", "IP-species-notes": "<p></p>", "WB-species-checked": "testedAndGuaranteed", "WB-species-dilution-info": "1/10000 - 1/50000", "WB-species-notes": "<p></p>" }, "Mouse": { "IHCP-species-checked": "predicted", "IHCP-species-dilution-info": "", "IHCP-species-notes": "", "IP-species-checked": "predicted", "IP-species-dilution-info": "", "IP-species-notes": "", "WB-species-checked": "predicted", "WB-species-dilution-info": "", "WB-species-notes": "" }, "Rat": { "IHCP-species-checked": "predicted", "IHCP-species-dilution-info": "", "IHCP-species-notes": "", "IP-species-checked": "predicted", "IP-species-dilution-info": "", "IP-species-notes": "", "WB-species-checked": "predicted", "WB-species-dilution-info": "", "WB-species-notes": "" } } }

Product details

Patented technology
Our RabMAb® technology is a patented hybridoma-based technology for making rabbit monoclonal antibodies. For details on our patents, please refer to RabMAb® patents.

What are the advantages of a recombinant monoclonal antibody?
This product is a recombinant monoclonal antibody, which offers several advantages including:

  • - High batch-to-batch consistency and reproducibility
  • - Improved sensitivity and specificity
  • - Long-term security of supply
  • - Animal-free batch production

For more information, read more on recombinant antibodies.

Properties and storage information

Form
Liquid
Purity
Tissue culture supernatant
Storage buffer
pH: 7.2 - 7.4 Preservative: 0.01% Sodium azide Constituents: PBS, 50% Tissue culture supernatant, 40% Glycerol (glycerin, glycerine), 0.05% BSA
Shipped at conditions
Blue Ice
Appropriate short-term storage duration
1-2 weeks
Appropriate short-term storage conditions
+4°C
Appropriate long-term storage conditions
-20°C
Aliquoting information
Upon delivery aliquot
Storage information
Avoid freeze / thaw cycle

Product protocols

For this product, it's our understanding that no specific protocols are required. You can visit:

Target data

Involved in the negative regulation of dendrite outgrowth.
See full target information DPYSL5

Publications (2)

Recent publications for all applications. Explore the full list and refine your search

Molecular carcinogenesis 63:1559-1571 PubMed38780126

2024

Anlotinib induces neuronal-like differentiation of neuroblastoma by downregulating CRMP5.

Applications

Unspecified application

Species

Unspecified reactive species

Junwen Hu,Wenlong Yang,Kang Wang,Hongyan Xu,Tianxiang Chen,Chao Li,Ting Xiong,Han Xu,Ming Luo,Shouhua Zhang,Jinlong Yan

Genes 12: PubMed34073147

2021

PARP Inhibitors Talazoparib and Niraparib Sensitize Melanoma Cells to Ionizing Radiation.

Applications

Unspecified application

Species

Unspecified reactive species

Stephanie Jonuscheit,Tina Jost,Fritzi Gajdošová,Maximilian Wrobel,Markus Hecht,Rainer Fietkau,Luitpold Distel
View all publications

Product promise

We are committed to supporting your work with high-quality reagents, and we're here for you every step of the way. In the unlikely event that one of our products does not perform as expected, you're protected by our Product Promise.
For full details, please see our Terms & Conditions

Please note: All products are 'FOR RESEARCH USE ONLY. NOT FOR USE IN DIAGNOSTIC OR THERAPEUTIC PROCEDURES'.

For licensing inquiries, please contact partnerships@abcam.com