JavaScript is disabled in your browser. Please enable JavaScript to view this website.
AB196624

Anti-CRSP2 / MED14 antibody

Be the first to review this product! Submit a review

|

(1 Publication)

Rabbit Polyclonal CRSP2 / MED14 antibody. Suitable for IHC-P, ICC/IF and reacts with Human, African green monkey samples. Cited in 1 publication. Immunogen corresponding to Synthetic Peptide within Human MED14.

View Alternative Names

ARC150, CRSP2, CXorf4, DRIP150, EXLM1, RGR1, TRAP170, MED14, Mediator of RNA polymerase II transcription subunit 14, Activator-recruited cofactor 150 kDa component, Cofactor required for Sp1 transcriptional activation subunit 2, Mediator complex subunit 14, RGR1 homolog, Thyroid hormone receptor-associated protein complex 170 kDa component, Transcriptional coactivator CRSP150, Vitamin D3 receptor-interacting protein complex 150 kDa component, CRSP complex subunit 2, hRGR1, Trap170

2 Images
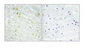
Immunohistochemistry (Formalin/PFA-fixed paraffin-embedded sections) - Anti-CRSP2 / MED14 antibody (AB196624)
  • IHC-P

Supplier Data

Immunohistochemistry (Formalin/PFA-fixed paraffin-embedded sections) - Anti-CRSP2 / MED14 antibody (AB196624)

Immunohistochemical analysis of formalin fixed and paraffin embedded human brain tissue labeling CRSP2 / MED14 with ab196624 at a 1/50 dilution. Right image treated with synthesized peptide.

Immunocytochemistry/ Immunofluorescence - Anti-CRSP2 / MED14 antibody (AB196624)
  • ICC/IF

Supplier Data

Immunocytochemistry/ Immunofluorescence - Anti-CRSP2 / MED14 antibody (AB196624)

Immunofluorscence analysis of COS-7 (African green monkey kidney fibroblast-like cell line) cells labeling CRSP2 / MED14 with ab196624 at a 1/100 dilution.

Key facts

Host species

Rabbit

Clonality

Polyclonal

Isotype

IgG

Carrier free

No

Reacts with

Human, African green monkey

Applications

IHC-P, ICC/IF

applications

Immunogen

Synthetic Peptide within Human MED14. The exact immunogen used to generate this antibody is proprietary information.

O60244

Reactivity data

{ "title": "Reactivity Data", "filters": { "stats": ["", "Species", "Dilution Info", "Notes"], "tabs": { "all-applications": {"fullname" : "All Applications", "shortname": "All Applications"}, "IHCP" : {"fullname" : "Immunohistochemistry (Formalin/PFA-fixed paraffin-embedded sections)", "shortname":"IHC-P"}, "ICCIF" : {"fullname" : "Immunocytochemistry/ Immunofluorescence", "shortname":"ICC/IF"} }, "product-promise": { "all": "all", "testedAndGuaranteed": "tested", "guaranteed": "expected", "predicted": "predicted", "notRecommended": "not-recommended" } }, "values": { "Human": { "IHCP-species-checked": "testedAndGuaranteed", "IHCP-species-dilution-info": "1/50 - 1/100", "IHCP-species-notes": "<p></p>", "ICCIF-species-checked": "guaranteed", "ICCIF-species-dilution-info": "", "ICCIF-species-notes": "" }, "Mouse": { "IHCP-species-checked": "predicted", "IHCP-species-dilution-info": "", "IHCP-species-notes": "", "ICCIF-species-checked": "predicted", "ICCIF-species-dilution-info": "", "ICCIF-species-notes": "" }, "African green monkey": { "IHCP-species-checked": "guaranteed", "IHCP-species-dilution-info": "", "IHCP-species-notes": "", "ICCIF-species-checked": "testedAndGuaranteed", "ICCIF-species-dilution-info": "1/100 - 1/500", "ICCIF-species-notes": "<p></p>" } } }

Properties and storage information

Form
Liquid
Purification technique
Affinity purification Immunogen
Storage buffer
pH: 7.4 Preservative: 0.02% Sodium azide Constituents: PBS, 50% Glycerol (glycerin, glycerine), 0.87% Sodium chloride
Shipped at conditions
Blue Ice
Appropriate short-term storage duration
1-2 weeks
Appropriate short-term storage conditions
+4°C
Appropriate long-term storage conditions
-20°C
Aliquoting information
Upon delivery aliquot
Storage information
Avoid freeze / thaw cycle

Product protocols

For this product, it's our understanding that no specific protocols are required. You can visit:

Target data

Component of the Mediator complex, a coactivator involved in the regulated transcription of nearly all RNA polymerase II-dependent genes. Mediator functions as a bridge to convey information from gene-specific regulatory proteins to the basal RNA polymerase II transcription machinery. Mediator is recruited to promoters by direct interactions with regulatory proteins and serves as a scaffold for the assembly of a functional preinitiation complex with RNA polymerase II and the general transcription factors.
See full target information MED14

Publications (1)

Recent publications for all applications. Explore the full list and refine your search

Journal of virology 97:e0166022 PubMed36602366

2023

PSMB1 Inhibits the Replication of Porcine Reproductive and Respiratory Syndrome Virus by Recruiting NBR1 To Degrade Nonstructural Protein 12 by Autophagy.

Applications

Unspecified application

Species

Unspecified reactive species

Liwei Li,Yuanzhe Bai,Yanjun Zhou,Yifeng Jiang,Wu Tong,Guoxin Li,Haihong Zheng,Fei Gao,Guangzhi Tong
View all publications

Product promise

We are committed to supporting your work with high-quality reagents, and we're here for you every step of the way. In the unlikely event that one of our products does not perform as expected, you're protected by our Product Promise.
For full details, please see our Terms & Conditions

Please note: All products are 'FOR RESEARCH USE ONLY. NOT FOR USE IN DIAGNOSTIC OR THERAPEUTIC PROCEDURES'.

For licensing inquiries, please contact partnerships@abcam.com