JavaScript is disabled in your browser. Please enable JavaScript to view this website.
AB190506

Anti-CRTH2 antibody

Be the first to review this product! Submit a review

|

(2 Publications)

Rabbit Polyclonal CRTH2 antibody. Suitable for WB, ICC/IF and reacts with Human samples. Cited in 2 publications. Immunogen corresponding to Synthetic Peptide within Human PTGDR2.

View Alternative Names

CD294, CRTH2, DL1R, GPR44, PTGDR2, Prostaglandin D2 receptor 2, Chemoattractant receptor-homologous molecule expressed on Th2 cells, G-protein coupled receptor 44

2 Images
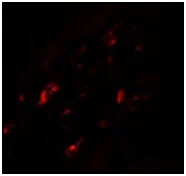
Immunocytochemistry/ Immunofluorescence - Anti-CRTH2 antibody (AB190506)
  • ICC/IF

Supplier Data

Immunocytochemistry/ Immunofluorescence - Anti-CRTH2 antibody (AB190506)

Immunofluorescence analysis of Human small intestine tissue labeling CRTH2 using ab190506 at 20 μg/ml.

Western blot - Anti-CRTH2 antibody (AB190506)
  • WB

Supplier Data

Western blot - Anti-CRTH2 antibody (AB190506)

All lanes:

Western blot - Anti-CRTH2 antibody (ab190506) at 1 µg/mL

Lane 1:

Human small intestine tissue lysate at 15 µg

Lane 2:

Human small intestine tissue lysate at 15 µg with blocking peptide

Predicted band size: 43 kDa

false

Key facts

Host species

Rabbit

Clonality

Polyclonal

Isotype

IgG

Carrier free

No

Reacts with

Human

Applications

WB, ICC/IF

applications

Immunogen

Synthetic Peptide within Human PTGDR2. The exact immunogen used to generate this antibody is proprietary information.

Q9Y5Y4

Reactivity data

{ "title": "Reactivity Data", "filters": { "stats": ["", "Species", "Dilution Info", "Notes"], "tabs": { "all-applications": {"fullname" : "All Applications", "shortname": "All Applications"}, "WB" : {"fullname" : "Western blot", "shortname":"WB"}, "ICCIF" : {"fullname" : "Immunocytochemistry/ Immunofluorescence", "shortname":"ICC/IF"} }, "product-promise": { "all": "all", "testedAndGuaranteed": "tested", "guaranteed": "expected", "predicted": "predicted", "notRecommended": "not-recommended" } }, "values": { "Human": { "WB-species-checked": "testedAndGuaranteed", "WB-species-dilution-info": "0.5-1 µg/mL", "WB-species-notes": "<p></p>", "ICCIF-species-checked": "testedAndGuaranteed", "ICCIF-species-dilution-info": "20 µg/mL", "ICCIF-species-notes": "<p></p>" } } }

Properties and storage information

Form
Liquid
Purification technique
Affinity purification Immunogen
Storage buffer
pH: 7.2 Preservative: 0.02% Sodium azide Constituents: PBS
Shipped at conditions
Blue Ice
Appropriate short-term storage duration
1-2 weeks
Appropriate short-term storage conditions
+4°C
Appropriate long-term storage conditions
-20°C
Aliquoting information
Upon delivery aliquot
Storage information
Avoid freeze / thaw cycle

Product protocols

For this product, it's our understanding that no specific protocols are required. You can visit:

Target data

Receptor for prostaglandin D2 (PGD2). Coupled to the G(i)-protein. Receptor activation may result in pertussis toxin-sensitive decreases in cAMP levels and Ca(2+) mobilization. PI3K signaling is also implicated in mediating PTGDR2 effects. PGD2 induced receptor internalization. CRTH2 internalization can be regulated by diverse kinases such as, PKC, PKA, GRK2, GPRK5/GRK5 and GRK6. Receptor activation is responsible, at least in part, in immune regulation and allergic/inflammation responses.
See full target information PTGDR2

Publications (2)

Recent publications for all applications. Explore the full list and refine your search

NPJ Regenerative medicine 10:4 PubMed39833274

2025

Systemic factors associated with antler growth promote complete wound healing.

Applications

Unspecified application

Species

Unspecified reactive species

Qianqian Guo,Guokun Zhang,Jing Ren,Jiping Li,Zhen Wang,Hengxing Ba,Zihao Ye,Ying Wang,Junjun Zheng,Chunyi Li

Pharmaceuticals (Basel, Switzerland) 16: PubMed37895951

2023

One-Step Automatic Radiosynthesis and Evaluation of [F]TM-30089 as GPR44 Radiotracer.

Applications

Unspecified application

Species

Unspecified reactive species

Jiangling Peng,Wei Tang,Jeffrey Rawson,Lynn Miao,Nelson Gonzalez,Runkai Yin,Jiaqi Chen,Melinda Ji,Zhixuan Li,Anna Gao,Andy Z Wu,John E Shively,Fouad Kandeel,Junfeng Li
View all publications

Product promise

We are committed to supporting your work with high-quality reagents, and we're here for you every step of the way. In the unlikely event that one of our products does not perform as expected, you're protected by our Product Promise.
For full details, please see our Terms & Conditions

Please note: All products are 'FOR RESEARCH USE ONLY. NOT FOR USE IN DIAGNOSTIC OR THERAPEUTIC PROCEDURES'.

For licensing inquiries, please contact partnerships@abcam.com