JavaScript is disabled in your browser. Please enable JavaScript to view this website.
AB254357

Anti-CSF-1-R antibody [EPR23529-26]

  • BOND RX™ Validated
  • 20ul selling size
  • RabMAb
  • Recombinant
  • What is this?

Be the first to review this product! Submit a review

|

(12 Publications)

Anti-CSF-1-R antibody [EPR23529-26] (ab254357) is a rabbit monoclonal antibody detecting CSF-1-R in Western Blot, IP, IHC-P, ICC/IF. Suitable for Mouse.

- Biophysical QC for unrivalled batch-batch consistency

View Alternative Names

CD115, Csfmr, Fms, Csf1r, Macrophage colony-stimulating factor 1 receptor, CSF-1 receptor, Proto-oncogene c-Fms, CSF-1-R, CSF-1R, M-CSF-R

5 Images
Immunocytochemistry/ Immunofluorescence - Anti-CSF-1-R antibody [EPR23529-26] (AB254357)
  • ICC/IF

Unknown

Immunocytochemistry/ Immunofluorescence - Anti-CSF-1-R antibody [EPR23529-26] (AB254357)

Immunofluorescent analysis of 4% Paraformaldehyde-fixed, 0.1% TritonX-100 permeabilized RAW264.7 cells labelling CSF-1-R with ab254357 at 1/100 dilution, followed by ab150077 Goat Anti-Rabbit IgG H&L (Alexa Fluor® 488) antibody at 1/1000 dilution (Green). Confocal image showing cytoplasmic staining in RAW 264.7 cell line ab195889 Anti-alpha Tubulin antibody [DM1A] - Microtubule Marker (Alexa Fluor® 594) was used to counterstain tubulin at 1/200 dilution (Red). The Nuclear counterstain was DAPI (Blue).

Secondary antibody only control : Secondary antibody is ab150077 Goat Anti-Rabbit IgG H&L (Alexa Fluor® 488) at 1/1000 dilution.

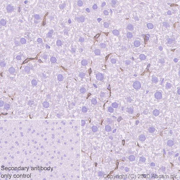
Immunohistochemistry (Formalin/PFA-fixed paraffin-embedded sections) - Anti-CSF-1-R antibody [EPR23529-26] (AB254357)
  • IHC-P

Unknown

Immunohistochemistry (Formalin/PFA-fixed paraffin-embedded sections) - Anti-CSF-1-R antibody [EPR23529-26] (AB254357)

Immunohistochemical analysis of paraffin-embedded Mouse liver tissue labeling CSF-1-R with ab254357 at 1/100 dilution followed by a ready to use Rabbit specific IHC polymer detection kit HRP/DAB (ab209101). Positive staining on Kupffer cells in mouse liver. The section was incubated with ab254357 for 30 mins at room temperature.The immunostaining was performed on a Leica Biosystems BOND® RX instrument Counterstained with Hematoxylin.

Secondary antibody only control : Secondary antibody is a ready to use Rabbit specific IHC polymer detection kit HRP/DAB (ab209101).

Heat mediated antigen retrieval with Citrate buffer (pH 6.0, epitope retrieval solution 1) for 20 mins

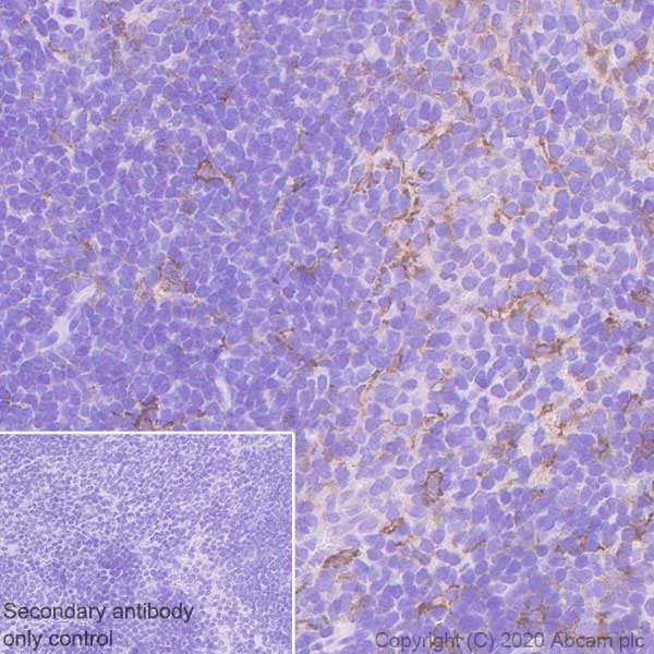
Immunohistochemistry (Formalin/PFA-fixed paraffin-embedded sections) - Anti-CSF-1-R antibody [EPR23529-26] (AB254357)
  • IHC-P

Unknown

Immunohistochemistry (Formalin/PFA-fixed paraffin-embedded sections) - Anti-CSF-1-R antibody [EPR23529-26] (AB254357)

Immunohistochemical analysis of paraffin-embedded Mouse spleen tissue labeling CSF-1-R with ab254357 at 1/100 dilution followed by a ready to use Rabbit specific IHC polymer detection kit HRP/DAB (ab209101). Positive staining on macrophages in mouse spleen. The section was incubated with ab254357 for 30 mins at room temperature.The immunostaining was performed on a Leica Biosystems BOND® RX instrument Counterstained with Hematoxylin.

Secondary antibody only control : Secondary antibody is a ready to use Rabbit specific IHC polymer detection kit HRP/DAB (ab209101).

Heat mediated antigen retrieval with Citrate buffer (pH 6.0, epitope retrieval solution 1) for 20 mins

Immunoprecipitation - Anti-CSF-1-R antibody [EPR23529-26] (AB254357)
  • IP

Unknown

Immunoprecipitation - Anti-CSF-1-R antibody [EPR23529-26] (AB254357)

CSF-1-R was immunoprecipitated from 0.35 mg RAW 264.7 (mouse abelson murine leukemia virus-induced tumor macrophage) whole cell lysate with ab254357 at 1/30 dilution (2ug in 0.35mg lysates). Western blot was performed on the immunoprecipitate using ab254357 at 1/1000 dilution. VeriBlot for IP Detection Reagent (HRP)(ab131366) was used at 1/5000 dilution.

Lane 1 : RAW 264.7 (mouse abelson murine leukemia virus-induced tumor macrophage) whole cell lysate 10 ug

Lane 2 : ab254357 IP in RAW 264.7 whole cell lysate

Lane 3 : Rabbit monoclonal IgG (ab172730) instead of ab254357 in RAW 264.7 whole cell lysate

Blocking and dilution buffer and concentration : 5% NFDM/TBST.

Exposure time : 128 seconds.

All lanes:

Immunoprecipitation - Anti-CSF-1-R antibody [EPR23529-26] (ab254357)

Predicted band size: 108 kDa

false

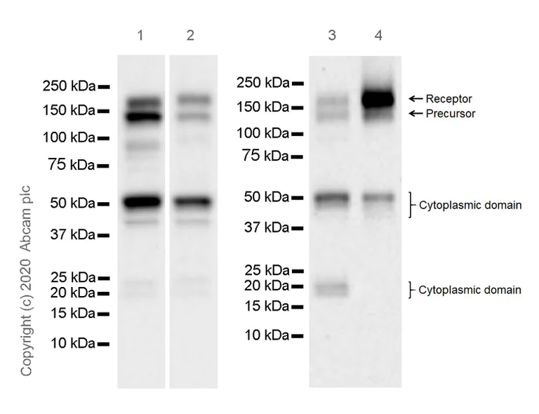
Western blot - Anti-CSF-1-R antibody [EPR23529-26] (AB254357)
  • WB

Supplier Data

Western blot - Anti-CSF-1-R antibody [EPR23529-26] (AB254357)

Blocking and dilution buffer : 5% NFDM/TBST.

Exposure times.

Lanes 1-2 : 70 seconds; Lanes 3-4 : 3 minutes.

The expression profile and molecular weight observed is consistent with what has been described in the literature (PMID : 14673177)
This blot was developed using a higher sensitivity ECL substrate.

All lanes:

Western blot - Anti-CSF-1-R antibody [EPR23529-26] (ab254357) at 1/1000 dilution

Lane 1:

RAW 264.7 (mouse abelson murine leukemia virus-induced tumor macrophage) whole cell lysate at 20 µg

Lane 2:

J774A.1 (mouse reticulum cell sarcoma monocyte macrophage) whole cell lysate at 20 µg

Lane 3:

Mouse spleen tissue lysate at 20 µg

Lane 4:

Mouse placenta tissue lysate at 20 µg

Secondary

All lanes:

Western blot - Goat Anti-Rabbit IgG H&L (HRP) (<a href='/en-us/products/secondary-antibodies/goat-rabbit-igg-h-l-hrp-ab97051'>ab97051</a>) at 1/100000 dilution

Predicted band size: 108 kDa

false

  • Carrier free

    Anti-CSF-1-R antibody [EPR23529-26] - BSA and Azide free

Key facts

Host species

Rabbit

Clonality

Monoclonal

Clone number

EPR23529-26

Isotype

IgG

Carrier free

No

Reacts with

Mouse

Applications

IHC-P, WB, ICC/IF, IP

applications

Immunogen

The exact immunogen used to generate this antibody is proprietary information.

Reactivity data

{ "title": "Reactivity Data", "filters": { "stats": ["", "Species", "Dilution Info", "Notes"], "tabs": { "all-applications": {"fullname" : "All Applications", "shortname": "All Applications"}, "IHCP" : {"fullname" : "Immunohistochemistry (Formalin/PFA-fixed paraffin-embedded sections)", "shortname":"IHC-P"}, "IP" : {"fullname" : "Immunoprecipitation", "shortname":"IP"}, "WB" : {"fullname" : "Western blot", "shortname":"WB"}, "ICCIF" : {"fullname" : "Immunocytochemistry/ Immunofluorescence", "shortname":"ICC/IF"}, "FlowCyt" : {"fullname" : "Flow Cytometry", "shortname":"Flow Cyt"} }, "product-promise": { "all": "all", "testedAndGuaranteed": "tested", "guaranteed": "expected", "predicted": "predicted", "notRecommended": "not-recommended" } }, "values": { "Human": { "IHCP-species-checked": "notRecommended", "IHCP-species-dilution-info": "1/100", "IHCP-species-notes": "<p></p> Perform heat-mediated antigen retrieval with citrate buffer pH 6 before commencing with IHC staining protocol.", "IP-species-checked": "notRecommended", "IP-species-dilution-info": "1/30", "IP-species-notes": "<p></p>", "WB-species-checked": "notRecommended", "WB-species-dilution-info": "1/1000", "WB-species-notes": "<p></p>", "ICCIF-species-checked": "notRecommended", "ICCIF-species-dilution-info": "1/100", "ICCIF-species-notes": "<p></p>", "FlowCyt-species-checked": "notRecommended", "FlowCyt-species-dilution-info": "", "FlowCyt-species-notes": "<p></p>" }, "Mouse": { "IHCP-species-checked": "testedAndGuaranteed", "IHCP-species-dilution-info": "1/100", "IHCP-species-notes": "<p></p> Perform heat-mediated antigen retrieval with citrate buffer pH 6 before commencing with IHC staining protocol.", "IP-species-checked": "testedAndGuaranteed", "IP-species-dilution-info": "1/30", "IP-species-notes": "<p></p>", "WB-species-checked": "testedAndGuaranteed", "WB-species-dilution-info": "1/1000", "WB-species-notes": "<p></p>", "ICCIF-species-checked": "testedAndGuaranteed", "ICCIF-species-dilution-info": "1/100", "ICCIF-species-notes": "<p></p>", "FlowCyt-species-checked": "notRecommended", "FlowCyt-species-dilution-info": "", "FlowCyt-species-notes": "" }, "Rat": { "IHCP-species-checked": "notRecommended", "IHCP-species-dilution-info": "1/100", "IHCP-species-notes": "<p></p> Perform heat-mediated antigen retrieval with citrate buffer pH 6 before commencing with IHC staining protocol.", "IP-species-checked": "notRecommended", "IP-species-dilution-info": "", "IP-species-notes": "", "WB-species-checked": "notRecommended", "WB-species-dilution-info": "1/1000", "WB-species-notes": "<p></p>", "ICCIF-species-checked": "notRecommended", "ICCIF-species-dilution-info": "", "ICCIF-species-notes": "", "FlowCyt-species-checked": "notRecommended", "FlowCyt-species-dilution-info": "", "FlowCyt-species-notes": "" } } }

Product details

What is this antibody validated in?
Anti-CSF-1-R antibody [EPR23529-26] (ab254357) is a rabbit recombinant monoclonal antibody and is validated for use in Western Blot (WB), Immunoprecipitation (IP), Immunohistochemistry (IHC-P), Immunocytochemistry/immunofluorescence (ICC/IF) in Mouse samples.

What is the molecular weight of CSF-1-R?
Anti-CSF-1-R [EPR23529-26] (ab254357) specifically detects a band for CSF-1-R (UniProt: P09581) at a molecular weight of 108kDa.

Trial sizes available!
Test your antibody or perform pre-screening before committing to a larger quantity. Sold in 10µl. Discover our selection of trial-size antibodies.

Other related products
We have a range of other formats of antibody clone [EPR23529-26] also available for your convenience: ab254357, Carrier free - ab272049, Alexa Fluor® 647 - ab275171

Patented technology
Our RabMAb® technology is a patented hybridoma-based technology for making rabbit monoclonal antibodies. For details on our patents, please refer to RabMAb® patents.

What are the advantages of a recombinant monoclonal antibody?
This product is a recombinant monoclonal antibody, which offers several advantages including:

  • - High batch-to-batch consistency and reproducibility
  • - Improved sensitivity and specificity
  • - Long-term security of supply
  • - Animal-free batch production

For more information, read more on recombinant antibodies.

Properties and storage information

Form
Liquid
Purification technique
Affinity purification Protein A
Storage buffer
pH: 7.2 - 7.4 Preservative: 0.01% Sodium azide Constituents: PBS, 40% Glycerol (glycerin, glycerine), 0.05% BSA
Shipped at conditions
Blue Ice
Appropriate short-term storage duration
1-2 weeks
Appropriate short-term storage conditions
+4°C
Appropriate long-term storage conditions
-20°C
Aliquoting information
Upon delivery aliquot
Storage information
Avoid freeze / thaw cycle

Product protocols

For this product, it's our understanding that no specific protocols are required. You can visit:

Target data

Tyrosine-protein kinase that acts as a cell-surface receptor for CSF1 and IL34 and plays an essential role in the regulation of survival, proliferation and differentiation of hematopoietic precursor cells, especially mononuclear phagocytes, such as macrophages and monocytes. Promotes the release of pro-inflammatory chemokines in response to IL34 and CSF1, and thereby plays an important role in innate immunity and in inflammatory processes. Plays an important role in the regulation of osteoclast proliferation and differentiation, the regulation of bone resorption, and is required for normal bone and tooth development. Required for normal male and female fertility, and for normal development of milk ducts and acinar structures in the mammary gland during pregnancy. Promotes reorganization of the actin cytoskeleton, regulates formation of membrane ruffles, cell adhesion and cell migration, and promotes cancer cell invasion. Activates several signaling pathways in response to ligand binding, including the ERK1/2 and the JNK pathway (By similarity). Phosphorylates PIK3R1, PLCG2, GRB2, SLA2 and CBL. Activation of PLCG2 leads to the production of the cellular signaling molecules diacylglycerol and inositol 1,4,5-trisphosphate, that then lead to the activation of protein kinase C family members, especially PRKCD. Phosphorylation of PIK3R1, the regulatory subunit of phosphatidylinositol 3-kinase, leads to activation of the AKT1 signaling pathway. Activated CSF1R also mediates activation of the MAP kinases MAPK1/ERK2 and/or MAPK3/ERK1, and of the SRC family kinases SRC, FYN and YES1. Activated CSF1R transmits signals both via proteins that directly interact with phosphorylated tyrosine residues in its intracellular domain, or via adapter proteins, such as GRB2. Promotes activation of STAT family members STAT3, STAT5A and/or STAT5B. Promotes tyrosine phosphorylation of SHC1 and INPP5D/SHIP-1. Receptor signaling is down-regulated by protein phosphatases, such as INPP5D/SHIP-1, that dephosphorylate the receptor and its downstream effectors, and by rapid internalization of the activated receptor. In the central nervous system, may play a role in the development of microglia macrophages (By similarity).
See full target information Csf1r

Publications (12)

Recent publications for all applications. Explore the full list and refine your search

Reproductive medicine and biology 24:e12639 PubMed40110174

2025

The effect of ionizing radiation on testicular interstitial stromal cells.

Applications

Unspecified application

Species

Unspecified reactive species

Esraa Tamam,Chen Yan,Reiko Sekiya,Tao-Sheng Li

Molecular neurodegeneration 19:95 PubMed39695808

2024

Microglial CD2AP deficiency exerts protection in an Alzheimer's disease model of amyloidosis.

Applications

Unspecified application

Species

Unspecified reactive species

Lingliang Zhang,Lingling Huang,Yuhang Zhou,Jian Meng,Liang Zhang,Yunqiang Zhou,Naizhen Zheng,Tiantian Guo,Shanshan Zhao,Zijie Wang,Yuanhui Huo,Yingjun Zhao,Xiao-Fen Chen,Honghua Zheng,David M Holtzman,Yun-Wu Zhang

Journal of nanobiotechnology 22:409 PubMed38992688

2024

Targeting CSF1R in myeloid-derived suppressor cells: insights into its immunomodulatory functions in colorectal cancer and therapeutic implications.

Applications

Unspecified application

Species

Unspecified reactive species

Xin Tong,Shifeng Qiao,Zhe Dong,Xiaohui Zhao,Xiaxia Du,Wei Niu

Cancer immunology, immunotherapy : CII 73:76 PubMed38554213

2024

PGRN inhibits CD8T cell recruitment and promotes breast cancer progression by up-regulating ICAM-1 on TAM.

Applications

Unspecified application

Species

Unspecified reactive species

Ting Zhou,Husun Qian,Dian Zhang,Wenli Fang,MengLi Yao,He Shi,Tingmei Chen,Chengsen Chai,Bianqin Guo

Genes & diseases 11:100989 PubMed38303927

2024

Colony-stimulating factor-1 receptor inhibition combined with paclitaxel exerts effective antitumor effects in the treatment of ovarian cancer.

Applications

Unspecified application

Species

Unspecified reactive species

Meijia Yu,Yiming Wu,Qingfang Li,Weiqi Hong,Yang Yang,Xiaoyi Hu,Yanfei Yang,Tianqi Lu,Xia Zhao,Xiawei Wei

Cell reports 42:113364 PubMed37922312

2023

Single-cell RNA sequencing-guided fate-mapping toolkit delineates the contribution of yolk sac erythro-myeloid progenitors.

Applications

IHC-Fr

Species

Mouse

Y X Zhao,J Y Song,X W Bao,J L Zhang,J C Wu,L Y Wang,C He,W Shao,X L Bai,T B Liang,J P Sheng

Scientific reports 13:15170 PubMed37704707

2023

Osteoclast differentiation and dynamic mRNA expression during mice embryonic palatal bone development.

Applications

Unspecified application

Species

Unspecified reactive species

Yongzhen Lai,Yan Guo,Caiyu Liao,Chuanqing Mao,Jing Liu,Chengyan Ren,Wen Yang,Lin Luo,Weihui Chen

Neural regeneration research 18:2413-2423 PubMed37282471

2023

A novel phenotype of B cells associated with enhanced phagocytic capability and chemotactic function after ischemic stroke.

Applications

Unspecified application

Species

Unspecified reactive species

Rui Wang,Huaming Li,Chenhan Ling,Xiaotao Zhang,Jianan Lu,Weimin Luan,Jianmin Zhang,Ligen Shi

Frontiers in pharmacology 13:902016 PubMed36324684

2022

Sphingomyelin synthase 2 is a positive regulator of the CSF1R-STAT3 pathway in pancreatic cancer-associated macrophage.

Applications

Unspecified application

Species

Unspecified reactive species

Shuhua He,Xiang Gu,Jintong Yang,Fei Xu,Jiachun Hu,Wei Wang,Yiheng Huang,Bin Lou,Tingbo Ding,Lu Zhou,Deyong Ye,Ker Yu,Jibin Dong

Nature communications 12:5289 PubMed34489419

2021

Capillary-associated microglia regulate vascular structure and function through PANX1-P2RY12 coupling in mice.

Applications

Unspecified application

Species

Unspecified reactive species

Kanchan Bisht,Kenneth A Okojie,Kaushik Sharma,Dennis H Lentferink,Yu-Yo Sun,Hong-Ru Chen,Joseph O Uweru,Saipranusha Amancherla,Zainab Calcuttawala,Antony Brayan Campos-Salazar,Bruce Corliss,Lara Jabbour,Jordan Benderoth,Bria Friestad,William A Mills,Brant E Isakson,Marie-Ève Tremblay,Chia-Yi Kuan,Ukpong B Eyo
View all publications

Product promise

We are committed to supporting your work with high-quality reagents, and we're here for you every step of the way. In the unlikely event that one of our products does not perform as expected, you're protected by our Product Promise.
For full details, please see our Terms & Conditions

Please note: All products are 'FOR RESEARCH USE ONLY. NOT FOR USE IN DIAGNOSTIC OR THERAPEUTIC PROCEDURES'.

For licensing inquiries, please contact partnerships@abcam.com