JavaScript is disabled in your browser. Please enable JavaScript to view this website.
AB234987

Anti-CSHL1/CSL antibody

Be the first to review this product! Submit a review

|

(1 Publication)

Rabbit Polyclonal CSHL1/CSL antibody. Suitable for WB, IHC-P and reacts with Mouse, Human samples. Cited in 1 publication. Immunogen corresponding to Recombinant Fragment Protein within Human CSHL1 aa 1-150.

View Alternative Names

CSHP1, CSL, CSHL1, Chorionic somatomammotropin hormone-like 1, Chorionic somatomammotropin-like, Lactogen-like

2 Images
Western blot - Anti-CSHL1/CSL antibody (AB234987)
  • WB

Supplier Data

Western blot - Anti-CSHL1/CSL antibody (AB234987)

All lanes:

Western blot - Anti-CSHL1/CSL antibody (ab234987) at 1/500 dilution

All lanes:

Mouse placenta lysate

Secondary

All lanes:

Goat polyclonal to rabbit at 1/10000 dilution

Predicted band size: 25 kDa

false

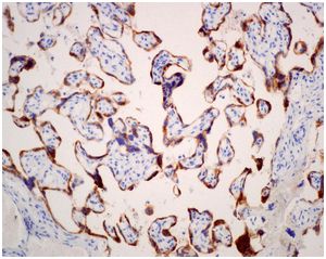
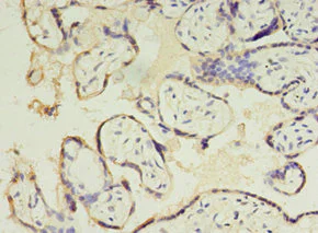
Immunohistochemistry (Formalin/PFA-fixed paraffin-embedded sections) - Anti-CSHL1/CSL antibody (AB234987)
  • IHC-P

Supplier Data

Immunohistochemistry (Formalin/PFA-fixed paraffin-embedded sections) - Anti-CSHL1/CSL antibody (AB234987)

Paraffin-embedded human placenta tissue stained for CSHL1/CSL using ab234987 at 1/100 dilution in immunohistochemical analysis.

Key facts

Host species

Rabbit

Clonality

Polyclonal

Isotype

IgG

Carrier free

No

Reacts with

Mouse, Human

Applications

WB, IHC-P

applications

Immunogen

Recombinant Fragment Protein within Human CSHL1 aa 1-150. The exact immunogen used to generate this antibody is proprietary information.

Q14406

Reactivity data

{ "title": "Reactivity Data", "filters": { "stats": ["", "Species", "Dilution Info", "Notes"], "tabs": { "all-applications": {"fullname" : "All Applications", "shortname": "All Applications"}, "WB" : {"fullname" : "Western blot", "shortname":"WB"}, "IHCP" : {"fullname" : "Immunohistochemistry (Formalin/PFA-fixed paraffin-embedded sections)", "shortname":"IHC-P"} }, "product-promise": { "all": "all", "testedAndGuaranteed": "tested", "guaranteed": "expected", "predicted": "predicted", "notRecommended": "not-recommended" } }, "values": { "Human": { "WB-species-checked": "guaranteed", "WB-species-dilution-info": "", "WB-species-notes": "", "IHCP-species-checked": "testedAndGuaranteed", "IHCP-species-dilution-info": "1/20 - 1/200", "IHCP-species-notes": "<p></p>" }, "Mouse": { "WB-species-checked": "testedAndGuaranteed", "WB-species-dilution-info": "1/500 - 1/5000", "WB-species-notes": "<p></p>", "IHCP-species-checked": "guaranteed", "IHCP-species-dilution-info": "", "IHCP-species-notes": "" } } }

Properties and storage information

Form
Liquid
Purification technique
Affinity purification Protein G
Purification notes
Purity >95%
Storage buffer
pH: 7.4 Preservative: 0.03% Proclin 300 Constituents: PBS, 50% Glycerol (glycerin, glycerine)
Shipped at conditions
Blue Ice
Appropriate short-term storage duration
1-2 weeks
Appropriate short-term storage conditions
+4°C
Appropriate long-term storage conditions
-20°C
Aliquoting information
Upon delivery aliquot
Storage information
Avoid freeze / thaw cycle

Product protocols

For this product, it's our understanding that no specific protocols are required. You can visit:

Target data

May be a novel gestational hormone required to compensate for absence of other members of the GH/CS cluster during gestation.
See full target information CSHL1

Publications (1)

Recent publications for all applications. Explore the full list and refine your search

Frontiers in oncology 12:962540 PubMed36158688

2022

A comprehensive role evaluation and mechanism exploration of POGLUT2 in pan-cancer.

Applications

Unspecified application

Species

Unspecified reactive species

Xianyun Xu,Guangming Xie,Mingfeng Xie,Qian Liu
View all publications

Product promise

We are committed to supporting your work with high-quality reagents, and we're here for you every step of the way. In the unlikely event that one of our products does not perform as expected, you're protected by our Product Promise.
For full details, please see our Terms & Conditions

Please note: All products are 'FOR RESEARCH USE ONLY. NOT FOR USE IN DIAGNOSTIC OR THERAPEUTIC PROCEDURES'.

For licensing inquiries, please contact partnerships@abcam.com