JavaScript is disabled in your browser. Please enable JavaScript to view this website.
AB174295

Anti-CSHL1/CSL antibody [EPR12580]

Be the first to review this product! Submit a review

|

(2 Publications)

Rabbit Recombinant Monoclonal CSHL1/CSL antibody. Suitable for IHC-P, WB and reacts with Human samples. Cited in 2 publications.

View Alternative Names

CSHP1, CSL, CSHL1, Chorionic somatomammotropin hormone-like 1, Chorionic somatomammotropin-like, Lactogen-like

2 Images
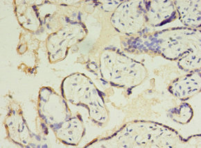
Immunohistochemistry (Formalin/PFA-fixed paraffin-embedded sections) - Anti-CSHL1/CSL antibody [EPR12580] (AB174295)
  • IHC-P

Supplier Data

Immunohistochemistry (Formalin/PFA-fixed paraffin-embedded sections) - Anti-CSHL1/CSL antibody [EPR12580] (AB174295)

Immunohistochemical analysis of paraffin-embedded Human placenta tissue labeling CSHL1/CSL with ab174295 at 1/250 dilution.

Perform heat mediated antigen retrieval with citrate buffer pH 6 before commencing with IHC staining protocol.

Western blot - Anti-CSHL1/CSL antibody [EPR12580] (AB174295)
  • WB

Supplier Data

Western blot - Anti-CSHL1/CSL antibody [EPR12580] (AB174295)

All lanes:

Western blot - Anti-CSHL1/CSL antibody [EPR12580] (ab174295) at 1/10000 dilution

All lanes:

Human placenta lysate at 10 µg

Secondary

All lanes:

Goat anti-rabbit HRP at 1/2000 dilution

Predicted band size: 25 kDa

false

Key facts

Host species

Rabbit

Clonality

Monoclonal

Clone number

EPR12580

Isotype

IgG

Carrier free

No

Reacts with

Human

Applications

IHC-P, WB

applications

Immunogen

The exact immunogen used to generate this antibody is proprietary information.

Reactivity data

{ "title": "Reactivity Data", "filters": { "stats": ["", "Species", "Dilution Info", "Notes"], "tabs": { "all-applications": {"fullname" : "All Applications", "shortname": "All Applications"}, "IHCP" : {"fullname" : "Immunohistochemistry (Formalin/PFA-fixed paraffin-embedded sections)", "shortname":"IHC-P"}, "IP" : {"fullname" : "Immunoprecipitation", "shortname":"IP"}, "WB" : {"fullname" : "Western blot", "shortname":"WB"}, "ICCIF" : {"fullname" : "Immunocytochemistry/ Immunofluorescence", "shortname":"ICC/IF"} }, "product-promise": { "all": "all", "testedAndGuaranteed": "tested", "guaranteed": "expected", "predicted": "predicted", "notRecommended": "not-recommended" } }, "values": { "Human": { "IHCP-species-checked": "testedAndGuaranteed", "IHCP-species-dilution-info": "1/250 - 1/500", "IHCP-species-notes": "<p></p>", "IP-species-checked": "notRecommended", "IP-species-dilution-info": "", "IP-species-notes": "<p></p>", "WB-species-checked": "testedAndGuaranteed", "WB-species-dilution-info": "1/10000 - 1/50000", "WB-species-notes": "<p></p>", "ICCIF-species-checked": "notRecommended", "ICCIF-species-dilution-info": "", "ICCIF-species-notes": "<p></p>" } } }

Product details

Species reactivity
Mouse, Rat: We have preliminary internal testing data to indicate this antibody may not react with these species.
Please contact us for more information.

Patented technology
Our RabMAb® technology is a patented hybridoma-based technology for making rabbit monoclonal antibodies. For details on our patents, please refer to RabMAb® patents.

What are the advantages of a recombinant monoclonal antibody?
This product is a recombinant monoclonal antibody, which offers several advantages including:

  • - High batch-to-batch consistency and reproducibility
  • - Improved sensitivity and specificity
  • - Long-term security of supply
  • - Animal-free batch production

For more information, read more on recombinant antibodies.

Properties and storage information

Form
Liquid
Purification technique
Affinity purification Protein A
Storage buffer
pH: 7.2 - 7.4 Preservative: 0.01% Sodium azide Constituents: PBS, 50% Tissue culture supernatant, 40% Glycerol (glycerin, glycerine), 0.05% BSA
Shipped at conditions
Blue Ice
Appropriate short-term storage duration
1-2 weeks
Appropriate short-term storage conditions
+4°C
Appropriate long-term storage conditions
-20°C
Aliquoting information
Upon delivery aliquot
Storage information
Avoid freeze / thaw cycle

Product protocols

For this product, it's our understanding that no specific protocols are required. You can visit:

Target data

May be a novel gestational hormone required to compensate for absence of other members of the GH/CS cluster during gestation.
See full target information CSHL1

Publications (2)

Recent publications for all applications. Explore the full list and refine your search

Molecular biology and evolution 39: PubMed35642306

2022

How Placenta Promotes the Successful Reproduction in High-Altitude Populations: A Transcriptome Comparison between Adaptation and Acclimatization.

Applications

Unspecified application

Species

Unspecified reactive species

Deng Wu,Yunao Liu,Wei Chen,Jianming Shao,Pubu Zhuoma,Dexiong Zhao,Yang Yu,Tianzi Liu,Ruoxuan Yu,Yongna Gan,Baima Yuzheng,Yongshu Huang,Haikun Zhang,Xiaoman Bi,Chengcheng Tao,Shujuan Lai,Qiaoxia Luo,Dake Zhang,Hongmei Wang,Pingcuo Zhaxi,Jianqing Zhang,Jie Qiao,Changqing Zeng

Oxidative medicine and cellular longevity 2022:7280312 PubMed35498136

2022

Screening of lncRNA-miRNA-mRNA Coexpression Regulatory Networks Involved in Acute Traumatic Coagulation Dysfunction Based on CTD, GeneCards, and PharmGKB Databases.

Applications

Unspecified application

Species

Unspecified reactive species

Yong Luo,Yong Fu,Taifa Tan,Jun Hu,Fang Li,Zhanchen Liao,Jian Peng
View all publications

Product promise

We are committed to supporting your work with high-quality reagents, and we're here for you every step of the way. In the unlikely event that one of our products does not perform as expected, you're protected by our Product Promise.
For full details, please see our Terms & Conditions

Please note: All products are 'FOR RESEARCH USE ONLY. NOT FOR USE IN DIAGNOSTIC OR THERAPEUTIC PROCEDURES'.

For licensing inquiries, please contact partnerships@abcam.com