JavaScript is disabled in your browser. Please enable JavaScript to view this website.
AB300132

Anti-CSK antibody [EPR24673-97]

  • BOND RX™ Validated
  • 20ul selling size
  • RabMAb
  • Recombinant
  • KO Validated
  • What is this?

Be the first to review this product! Submit a review

|

(0 Publication)

Rabbit Recombinant Monoclonal CSK antibody. Suitable for ICC/IF, Flow Cyt (Intra), WB, IHC-P, IP and reacts with Human, Mouse, Rat samples.

View Alternative Names

Tyrosine-protein kinase CSK, C-Src kinase, Protein-tyrosine kinase CYL, CSK

13 Images
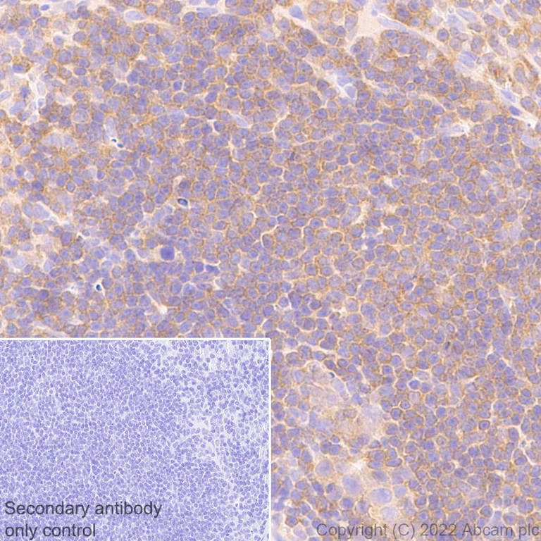
Immunohistochemistry (Formalin/PFA-fixed paraffin-embedded sections) - Anti-CSK antibody [EPR24673-97] (AB300132)
  • IHC-P

Supplier Data

Immunohistochemistry (Formalin/PFA-fixed paraffin-embedded sections) - Anti-CSK antibody [EPR24673-97] (AB300132)

Immunohistochemical analysis of paraffin-embedded Human tonsil tissue labelling CSK with ab300132 at 1/5000 (0.111 µg/ml) followed by a ready to use LeicaDS9800 (Bond™ Polymer Refine Detection) was used. Positive staining on human tonsil (PMID : 9287362). The section was incubated with ab300132 for 30 mins at room temperature. The immunostaining was performed on a Leica Biosystems BOND® RX instrument Counterstained with Hematoxylin. Secondary antibody only control : Secondary antibody is a ready to use LeicaDS9800 (Bond™ Polymer Refine Detection) was used. Heat mediated antigen retrieval with Tris-EDTA buffer (pH 9.0, epitope retrieval solution 2) for 20 mins

Immunocytochemistry - Anti-CSK antibody [EPR24673-97] (AB300132)
  • ICC

Supplier Data

Immunocytochemistry - Anti-CSK antibody [EPR24673-97] (AB300132)

Immunofluorescent analysis of 80% methanol-fixed, 0.1% TritonX-100 permeilized Jurkat (human T cell leukemia T lymphocyte) cells lebelling CSK with ab300132 at 1/50 (11.12 µg/ml) dilution, followed by ab150081 Goat Anti-Rabbit IgG H&L (Alexa Fluor® 488) preadsorbed antibody at 1/1000 dilution (Green). Confocal image showing cytoplasmic staining in Jurkat cell line. ab195889 Anti-alpha Tubulin mouse monoclonal antibody - Microtubule Marker (Alexa Fluor® 594) was used to counterstain tubulin at 1/200 dilution (Red). The Nuclear counterstain was DAPI (Blue). Secondary antibody only control : Secondary antibody is ab150081 Goat Anti-Rabbit IgG H&L (Alexa Fluor® 488) preadsorbed at 1/1000 dilution.

Flow Cytometry (Intracellular) - Anti-CSK antibody [EPR24673-97] (AB300132)
  • Flow Cyt (Intra)

Supplier Data

Flow Cytometry (Intracellular) - Anti-CSK antibody [EPR24673-97] (AB300132)

Intracellular flow cytometric analysis of 4% paraformaldehyde fixed 90% methanol permeabilized wild-type HAP1 (human chronic myelogenous leukemia near-haploid cell, Right) / CSK knockout HAP1(Left) cells labelling CSK with ab300132 at 1/500 dilution (0.1µg) (Red) compared with a Rabbit monoclonal IgG (ab172730) (Black) isotype control and an unlabelled control (cells without incubation with primary antibody and secondary antibody) (Blue). A Goat Anti-Rabbit IgG (Alexa Fluor® 488, ab150081) at 1/2000 dilution was used as the secondary antibody.

Immunohistochemistry (Formalin/PFA-fixed paraffin-embedded sections) - Anti-CSK antibody [EPR24673-97] (AB300132)
  • IHC-P

Supplier Data

Immunohistochemistry (Formalin/PFA-fixed paraffin-embedded sections) - Anti-CSK antibody [EPR24673-97] (AB300132)

Immunohistochemical analysis of paraffin-embedded human cardiac muscle tissue labelling CSK with ab300132 at 1/5000 (0.111 µg/ml) followed by a ready to use LeicaDS9800 (Bond™ Polymer Refine Detection) was used. Negative control : no staining on human cardiac muscle. The section was incubated with ab300132 for 30 mins at room temperature. The immunostaining was performed on a Leica Biosystems BOND® RX instrument. Counterstained with Hematoxylin. Heat mediated antigen retrieval with Tris-EDTA buffer (pH 9.0, epitope retrieval solution 2) for 20 mins.

Immunoprecipitation - Anti-CSK antibody [EPR24673-97] (AB300132)
  • IP

Supplier Data

Immunoprecipitation - Anti-CSK antibody [EPR24673-97] (AB300132)

CSK was immunoprecipitated from 0.35 mg Ramos (human Burkitt's lymphoma b lymphocyte) whole cell lysate 10 µg with ab300132 at 1/30 dilution (2µg in 0.35mg lysates). Western blot was performed on the immunoprecipitate using ab300132 at 1/1000 dilution. VeriBlot for IP secondary antibody(HRP)(ab131366) was used at 1/5000 dilution.

Blocking and dilution buffer and concentration : 5% NFDM/TBST.

All lanes:

Immunoprecipitation - Anti-CSK antibody [EPR24673-97] (ab300132) at 1/1000 dilution

Lane 1:

Ramos (human burkitt's lymphoma b lymphocyte) whole cell lysate at 10 µg

Lane 2:

ab300132 at 1/30 IP in Ramos whole cell lysate

Lane 3:

Rabbit monoclonal IgG (<a href='/en-us/products/primary-antibodies/rabbit-igg-monoclonal-epr25a-isotype-control-ab172730'>ab172730</a>) instead of ab300132 in Ramos whole cell lysate

Observed band size: 50 kDa

false

Exposure time: 3s

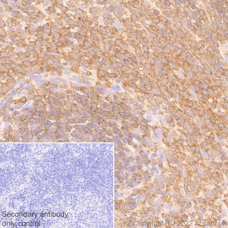
Immunohistochemistry (Formalin/PFA-fixed paraffin-embedded sections) - Anti-CSK antibody [EPR24673-97] (AB300132)
  • IHC-P

Supplier Data

Immunohistochemistry (Formalin/PFA-fixed paraffin-embedded sections) - Anti-CSK antibody [EPR24673-97] (AB300132)

Immunohistochemical analysis of paraffin-embedded mouse spleen tissue labelling CSK with ab300132 at 1/5000 (0.111 µg/ml) followed by a ready to use LeicaDS9800 (Bond™ Polymer Refine Detection). Positive staining on mouse spleen. The section was incubated with ab300132 for 30 mins at room temperature. The immunostaining was performed on a Leica Biosystems BOND® RX instrument. Counterstained with Hematoxylin. Secondary antibody only control : PBS was used instead of primary antibody (ab300132) followed by ready to use secondary antibody LeicaDS9800 (Bond™ Polymer Refine Detection) was used. Heat mediated antigen retrieval with Tris-EDTA buffer (pH 9.0, epitope retrieval solution2) for 20 mins.

Immunohistochemistry (Formalin/PFA-fixed paraffin-embedded sections) - Anti-CSK antibody [EPR24673-97] (AB300132)
  • IHC-P

Supplier Data

Immunohistochemistry (Formalin/PFA-fixed paraffin-embedded sections) - Anti-CSK antibody [EPR24673-97] (AB300132)

Immunohistochemical analysis of paraffin-embedded rat spleen tissue labelling CSK with ab300132 at 1/5000 (0.111 µg/ml) followed by a ready to use LeicaDS9800 (Bond™ Polymer Refine Detection). Positive staining on rat spleen. The section was incubated with ab300132 for 30 mins at room temperature. The immunostaining was performed on a Leica Biosystems BOND® RX instrument Counterstained with Hematoxylin. Secondary antibody only control : PBS was used instead of primary antibody (ab300132) followed by ready to use secondary antibody LeicaDS9800 (Bond™ Polymer Refine Detection). Heat mediated antigen retrieval with Tris-EDTA buffer (pH 9.0, epitope retrieval solution2) for 20 mins.

Immunoprecipitation - Anti-CSK antibody [EPR24673-97] (AB300132)
  • IP

Supplier Data

Immunoprecipitation - Anti-CSK antibody [EPR24673-97] (AB300132)

CSK was immunoprecipitated from 0.35 mg RAW 264.7 (mouse abelson murine leukemia virus-induced tumor macrophage) whole cell lysate 10 µg with ab300132 at 1/30 dilution (2µg in 0.35mg lysates). Western blot was performed on the immunoprecipitate using ab300132 at 1/1000 dilution. VeriBlot for IP secondary antibody(HRP)(ab131366) was used at 1/5000 dilution.

Blocking and dilution buffer and concentration : 5% NFDM/TBST.

All lanes:

Immunoprecipitation - Anti-CSK antibody [EPR24673-97] (ab300132) at 1/1000 dilution

Lane 1:

RAW 264.7 (mouse abelson murine leukemia virus-induced tumor macrophage) whole cell lysate at 10 µg

Lane 2:

ab300132 at 1/30 IP in RAW 264.7 whole cell lysate at 10 µg

Lane 3:

Rabbit monoclonal IgG (<a href='/en-us/products/primary-antibodies/rabbit-igg-monoclonal-epr25a-isotype-control-ab172730'>ab172730</a>) instead of ab300132 in RAW 264.7 whole cell lysate at 10 µg

Observed band size: 50 kDa

false

Exposure time: 3s

Immunoprecipitation - Anti-CSK antibody [EPR24673-97] (AB300132)
  • IP

Supplier Data

Immunoprecipitation - Anti-CSK antibody [EPR24673-97] (AB300132)

CSK was immunoprecipitated from 0.35 mg rat lymph node tissue lysate 10 µg with ab300132 at 1/30 dilution (2µg in 0.35mg lysates). Western blot was performed on the immunoprecipitate using ab300132 at 1/1000 dilution. VeriBlot for IP secondary antibody(HRP)(ab131366) was used at 1/5000 dilution.

Blocking and dilution buffer and concentration : 5% NFDM/TBST.

The identity of the lower MW band at approximately 37kDa is unknown.

All lanes:

Immunoprecipitation - Anti-CSK antibody [EPR24673-97] (ab300132) at 1/1000 dilution

Lane 1:

Rat lymph node tissue lysate at 10 µg

Lane 2:

ab300132 in Rat lymph node tissue lysate at 10 µg

Lane 3:

Rabbit monoclonal IgG (<a href='/en-us/products/primary-antibodies/rabbit-igg-monoclonal-epr25a-isotype-control-ab172730'>ab172730</a>) instead of ab300132 in rat lymph node tissue lysate at 10 µg

Observed band size: 50 kDa

false

Exposure time: 3s

Western blot - Anti-CSK antibody [EPR24673-97] (AB300132)
  • WB

Lab

Western blot - Anti-CSK antibody [EPR24673-97] (AB300132)

Western blot : Anti-CSK antibody [EPR24673-97] (ab300132) staining at 1/1000 dilution, shown in green; Mouse anti-GAPDH antibody [6C5] (ab8245) loading control staining at 1/20000 dilution, shown in magenta. In Western blot, ab300132 was shown to bind specifically to CSK. A band was observed at 50 kDa in wild-type A549 cell lysates with no signal observed at this size in CSK knockout cell line. To generate this image, wild-type and CSK knockout A549 cell lysates were analysed. First, samples were run on an SDS-PAGE gel then transferred onto a nitrocellulose membrane. Membranes were blocked in 3 % milk in TBS-0.1 % Tween® 20 (TBS-T) before incubation with primary antibodies overnight at 4 °C. Blots were washed four times in TBS-T, incubated with secondary antibodies for 1 h at room temperature, washed again four times then imaged. Secondary antibodies used were Goat anti-Rabbit IgG H&L 800CW and Goat anti-Mouse IgG H&L 680RD at 1/20000 dilution.

All lanes:

Western blot - Anti-CSK antibody [EPR24673-97] (ab300132) at 1/1000 dilution

Lane 1:

Wild-type A549 cell lysate at 20 µg

Lane 2:

CSK knockout A549 cell lysate at 20 µg

Lane 2:

Western blot - Human CSK knockout A549 cell line (<a href='/en-us/products/cell-lines/human-csk-knockout-a549-cell-line-ab300902'>ab300902</a>)

Secondary

All lanes:

Goat anti-Rabbit IgG H&L 800CW and Goat anti-Mouse IgG H&L 680RD at 1/20000 dilution

Observed band size: 50 kDa

false

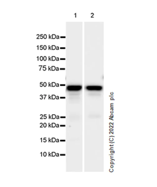
Western blot - Anti-CSK antibody [EPR24673-97] (AB300132)
  • WB

Supplier Data

Western blot - Anti-CSK antibody [EPR24673-97] (AB300132)

Blocking and dilution buffer and concentration : 5% NFDM/TBST.

All lanes:

Western blot - Anti-CSK antibody [EPR24673-97] (ab300132) at 1/1000 dilution

Lane 1:

Human tonsil tissue lysate at 20 µg

Lane 2:

Mouse spleen tissue lysate at 20 µg

Secondary

All lanes:

Goat Anti-Rabbit IgG (HRP) with minimal cross-reactivity with human IgG at 1/2000 dilution

Observed band size: 50 kDa

false

Exposure time: 3s

Western blot - Anti-CSK antibody [EPR24673-97] (AB300132)
  • WB

Supplier Data

Western blot - Anti-CSK antibody [EPR24673-97] (AB300132)

Intercept® (TBS) Blocking Buffer diluted with an equal volume of 0.1% TBS was used as a blocking and diluting buffer.

Lanes 1-4 : Merged signal (red and green). Green - ab300132 observed at 50 kDa. Red - loading control ab8245 observed at 36 kDa. ab300132 Anti-CSK antibody [EPR24673-97] was shown to specifically react with CSK in wild-type HAP1 cells. Loss of signal was observed when knockout cell line was used. Wild-type and CSK knockout samples were subjected to SDS-PAGE.

ab300132 and Anti-GAPDH antibody [6C5] - Loading Control (ab8245) were incubated at 4°C overnight at 1 in 1000 dilution and 1 in 20000 dilution respectively.

Blots were developed with Goat anti-Rabbit IgG H&L (IRDye® 800CW) preadsorbed (ab216773) and Goat anti-Mouse IgG H&L (IRDye® 680RD) preadsorbed (ab216776) secondary antibodies at 1 in 10000 dilution for 1 hour at room temperature before imaging.

All lanes:

Western blot - Anti-CSK antibody [EPR24673-97] (ab300132) at 1/1000 dilution

Lane 1:

Wild-type HAP1 whole cell lysate at 20 µg

Lane 2:

CSK knockout HAP1 whole cell lysate at 20 µg

Lane 3:

Jurkat (Human T cell leukemia cell line from peripheral blood) whole cell lysate at 20 µg

Lane 4:

C6 (Rat glial tumor glial cell) whole cell lysate at 20 µg

Secondary

All lanes:

Intercept® (TBS) Blocking Buffer diluted with an equal volume of 0.1% TBS at 1/10000 dilution

Observed band size: 50 kDa

false

Western blot - Anti-CSK antibody [EPR24673-97] (AB300132)
  • WB

Supplier Data

Western blot - Anti-CSK antibody [EPR24673-97] (AB300132)

Blocking and dilution buffer and concentration : 5% NFDM/TBST.

Exposure time : Lanes 1-3 : 15 seconds; Lanes 4-7 : 3 minutes; Lanes 8-9 : 15 seconds.

All lanes:

Western blot - Anti-CSK antibody [EPR24673-97] (ab300132) at 1/1000 dilution

Lane 1:

Ramos (Human burkitt's lymphoma b lymphocyte) whole cell lysate at 1/20 dilution

Lane 2:

Jurkat (Human T cell leukemia cell line from peripheral blood) whole cell lysate at 1/20 dilution

Lane 3:

RAW 264.7 (Mouse abelson murine leukemia virus-induced tumor macrophage) whole cell lysate at 1/20 dilution

Lane 4:

NIH/3T3 (Mouse embryonic fibroblast) whole cell lysate at 1/20 dilution

Lane 5:

C6 (Rat glial tumor glial cell) whole cell lysate at 1/20 dilution

Lanes 6 - 7:

PC-12 (Rat adrenal gland pheochromocytoma) whole cell lysate at 1/20 dilution

Lane 8:

Mouse lymph node tissue lysate at 1/20 dilution

Lane 9:

Rat lymph node tissue lysate at 1/20 dilution

Secondary

All lanes:

Western blot - Goat Anti-Rabbit IgG H&L (HRP) (<a href='/en-us/products/secondary-antibodies/goat-rabbit-igg-h-l-hrp-ab97051'>ab97051</a>) at 1/50000 dilution

Observed band size: 50 kDa

false

Key facts

Host species

Rabbit

Clonality

Monoclonal

Clone number

EPR24673-97

Isotype

IgG

Carrier free

No

Reacts with

Human, Mouse, Rat

Applications

Flow Cyt (Intra), ICC/IF, IHC-P, IP, WB

applications

Immunogen

The exact immunogen used to generate this antibody is proprietary information.

Reactivity data

{ "title": "Reactivity Data", "filters": { "stats": ["", "Species", "Dilution Info", "Notes"], "tabs": { "all-applications": {"fullname" : "All Applications", "shortname": "All Applications"}, "ICCIF" : {"fullname" : "Immunocytochemistry/ Immunofluorescence", "shortname":"ICC/IF"}, "FlowCytIntra" : {"fullname" : "Flow Cytometry (Intracellular)", "shortname":"Flow Cyt (Intra)"}, "WB" : {"fullname" : "Western blot", "shortname":"WB"}, "IHCP" : {"fullname" : "Immunohistochemistry (Formalin/PFA-fixed paraffin-embedded sections)", "shortname":"IHC-P"}, "IP" : {"fullname" : "Immunoprecipitation", "shortname":"IP"} }, "product-promise": { "all": "all", "testedAndGuaranteed": "tested", "guaranteed": "expected", "predicted": "predicted", "notRecommended": "not-recommended" } }, "values": { "Human": { "ICCIF-species-checked": "testedAndGuaranteed", "ICCIF-species-dilution-info": "1/50", "ICCIF-species-notes": "<p></p>", "FlowCytIntra-species-checked": "testedAndGuaranteed", "FlowCytIntra-species-dilution-info": "1/500", "FlowCytIntra-species-notes": "<p></p>", "WB-species-checked": "testedAndGuaranteed", "WB-species-dilution-info": "1/1000", "WB-species-notes": "<p></p>", "IHCP-species-checked": "testedAndGuaranteed", "IHCP-species-dilution-info": "1/5000", "IHCP-species-notes": "<p></p> Perform heat-mediated antigen retrieval with Tris/EDTA buffer pH 9.0 before commencing with IHC staining protocol.", "IP-species-checked": "testedAndGuaranteed", "IP-species-dilution-info": "1/30", "IP-species-notes": "<p></p>" }, "Mouse": { "ICCIF-species-checked": "notRecommended", "ICCIF-species-dilution-info": "1/50", "ICCIF-species-notes": "<p></p>", "FlowCytIntra-species-checked": "notRecommended", "FlowCytIntra-species-dilution-info": "1/500", "FlowCytIntra-species-notes": "<p></p>", "WB-species-checked": "testedAndGuaranteed", "WB-species-dilution-info": "1/1000", "WB-species-notes": "<p></p>", "IHCP-species-checked": "testedAndGuaranteed", "IHCP-species-dilution-info": "1/5000", "IHCP-species-notes": "<p></p> Perform heat-mediated antigen retrieval with Tris/EDTA buffer pH 9.0 before commencing with IHC staining protocol.", "IP-species-checked": "testedAndGuaranteed", "IP-species-dilution-info": "1/30", "IP-species-notes": "<p></p>" }, "Rat": { "ICCIF-species-checked": "notRecommended", "ICCIF-species-dilution-info": "1/50", "ICCIF-species-notes": "<p></p>", "FlowCytIntra-species-checked": "notRecommended", "FlowCytIntra-species-dilution-info": "1/500", "FlowCytIntra-species-notes": "<p></p>", "WB-species-checked": "testedAndGuaranteed", "WB-species-dilution-info": "1/1000", "WB-species-notes": "<p></p>", "IHCP-species-checked": "testedAndGuaranteed", "IHCP-species-dilution-info": "1/5000", "IHCP-species-notes": "<p></p> Perform heat-mediated antigen retrieval with Tris/EDTA buffer pH 9.0 before commencing with IHC staining protocol.", "IP-species-checked": "testedAndGuaranteed", "IP-species-dilution-info": "1/30", "IP-species-notes": "<p></p>" } } }

Product details

Patented technology
Our RabMAb® technology is a patented hybridoma-based technology for making rabbit monoclonal antibodies. For details on our patents, please refer to RabMAb® patents.

What are the advantages of a recombinant monoclonal antibody?
This product is a recombinant monoclonal antibody, which offers several advantages including:

  • - High batch-to-batch consistency and reproducibility
  • - Improved sensitivity and specificity
  • - Long-term security of supply
  • - Animal-free batch production

For more information, read more on recombinant antibodies.

Properties and storage information

Form
Liquid
Purification technique
Affinity purification Protein A
Storage buffer
pH: 7.2 - 7.4 Preservative: 0.01% Sodium azide Constituents: PBS, 40% Glycerol (glycerin, glycerine), 0.05% BSA
Shipped at conditions
Blue Ice
Appropriate short-term storage duration
1-2 weeks
Appropriate short-term storage conditions
+4°C
Appropriate long-term storage conditions
-20°C
Aliquoting information
Upon delivery aliquot
Storage information
Avoid freeze / thaw cycle

Product protocols

For this product, it's our understanding that no specific protocols are required. You can visit:

Target data

Non-receptor tyrosine-protein kinase that plays an important role in the regulation of cell growth, differentiation, migration and immune response. Phosphorylates tyrosine residues located in the C-terminal tails of Src-family kinases (SFKs) including LCK, SRC, HCK, FYN, LYN, CSK or YES1. Upon tail phosphorylation, Src-family members engage in intramolecular interactions between the phosphotyrosine tail and the SH2 domain that result in an inactive conformation. To inhibit SFKs, CSK is recruited to the plasma membrane via binding to transmembrane proteins or adapter proteins located near the plasma membrane. Suppresses signaling by various surface receptors, including T-cell receptor (TCR) and B-cell receptor (BCR) by phosphorylating and maintaining inactive several positive effectors such as FYN or LCK.
See full target information Tyrosine-protein kinase CSK

Product promise

We are committed to supporting your work with high-quality reagents, and we're here for you every step of the way. In the unlikely event that one of our products does not perform as expected, you're protected by our Product Promise.
For full details, please see our Terms & Conditions

Please note: All products are 'FOR RESEARCH USE ONLY. NOT FOR USE IN DIAGNOSTIC OR THERAPEUTIC PROCEDURES'.

For licensing inquiries, please contact partnerships@abcam.com