JavaScript is disabled in your browser. Please enable JavaScript to view this website.
AB250393

Anti-CSL4 antibody [EPR13525] - BSA and Azide free

Be the first to review this product! Submit a review

|

(1 Publication)

Rabbit Recombinant Monoclonal CSL4 antibody. Carrier free. Suitable for IHC-P, ICC/IF, IP, WB, Flow Cyt (Intra) and reacts with Human samples. Cited in 1 publication.

View Alternative Names

CSL4, CGI-108, EXOSC1, Exosome complex component CSL4, Exosome component 1

6 Images
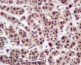
Immunohistochemistry (Formalin/PFA-fixed paraffin-embedded sections) - Anti-CSL4 antibody [EPR13525] - BSA and Azide free (AB250393)
  • IHC-P

Supplier Data

Immunohistochemistry (Formalin/PFA-fixed paraffin-embedded sections) - Anti-CSL4 antibody [EPR13525] - BSA and Azide free (AB250393)

This data was developed using ab181167, the same antibody clone in a different buffer formulation.

Immunohistochemical analysis of paraffin embedded Human breast carcinoma tissue labeling CSL4 with ab181167 at a 1/100 dilution. Prediluted HRP Polymer for Rabbit IgG secondary used. Counterstained with Hematoxylin.

Perform heat mediated antigen retrieval with citrate buffer pH 6 before commencing with IHC staining protocol.

Immunocytochemistry/ Immunofluorescence - Anti-CSL4 antibody [EPR13525] - BSA and Azide free (AB250393)
  • ICC/IF

Supplier Data

Immunocytochemistry/ Immunofluorescence - Anti-CSL4 antibody [EPR13525] - BSA and Azide free (AB250393)

This data was developed using ab181167, the same antibody clone in a different buffer formulation.

Immunofluorescence analysis of HepG2 cells (fixative 4% paraformaldehyde) labeling CSL4 with ab181167 at a 1/250 dilution. Goat anti rabbit IgG (Alexa Fluor® 555) secondary used at a 1/200 diution.

Flow Cytometry (Intracellular) - Anti-CSL4 antibody [EPR13525] - BSA and Azide free (AB250393)
  • Flow Cyt (Intra)

Supplier Data

Flow Cytometry (Intracellular) - Anti-CSL4 antibody [EPR13525] - BSA and Azide free (AB250393)

This data was developed using ab181167, the same antibody clone in a different buffer formulation.

Intracellular Flow Cytometry analysis of K562 cells using ab181167 at a 1/90 dilution (red) or a Rabbit monoclonal IgG (negative) (green). Goat anti rabbit IgG (FITC) secondary used at a 1/150 dilution.

Immunoprecipitation - Anti-CSL4 antibody [EPR13525] - BSA and Azide free (AB250393)
  • IP

Supplier Data

Immunoprecipitation - Anti-CSL4 antibody [EPR13525] - BSA and Azide free (AB250393)

This data was developed using ab181167, the same antibody clone in a different buffer formulation.

Detection of Human CSL4 by Western Blot of Immunoprecipitate. 293T whole cell lysate (lane 1) and a negative control (lane 2) loaded, ab181167 used for blotting immunoprecipitated CSL4 at a 1/50 dilution. Anti-Rabbit IgG (HRP), specific to the non-reduced form of IgG secondary used at a 1/1500 dilution.

All lanes:

Immunoprecipitation - Anti-CSL4 antibody [EPR13525] (<a href='/en-us/products/primary-antibodies/csl4-antibody-epr13525-ab181167'>ab181167</a>)

Predicted band size: 21 kDa

false

Western blot - Anti-CSL4 antibody [EPR13525] - BSA and Azide free (AB250393)
  • WB

Supplier Data

Western blot - Anti-CSL4 antibody [EPR13525] - BSA and Azide free (AB250393)

This data was developed using ab181167, the same antibody clone in a different buffer formulation.

All lanes:

Western blot - Anti-CSL4 antibody [EPR13525] (<a href='/en-us/products/primary-antibodies/csl4-antibody-epr13525-ab181167'>ab181167</a>) at 1/2000 dilution

Lane 1:

293T cell lysate at 20 µg

Lane 2:

Jurkat cell lysate at 20 µg

Lane 3:

HepG2 cell lysate at 20 µg

Secondary

All lanes:

Goat Anti-Rabbit IgG, (H+L), Peroxidase conjugated at 1/1000 dilution

Predicted band size: 21 kDa

false

Western blot - Anti-CSL4 antibody [EPR13525] - BSA and Azide free (AB250393)
  • WB

Lab

Western blot - Anti-CSL4 antibody [EPR13525] - BSA and Azide free (AB250393)

All lanes:

Western blot - Anti-CSL4 antibody [EPR13525] (<a href='/en-us/products/primary-antibodies/csl4-antibody-epr13525-ab181167'>ab181167</a>) at 1/1000 dilution

Lane 1:

Wild-type HeLa cell lysate at 20 µg

Lane 2:

EXOSC1 CRISPR-Cas9 edited HeLa cell lysate at 20 µg

Lane 3:

PC-12 cell lysate at 20 µg

Lane 4:

SH-SY5Y cell lysate at 20 µg

Predicted band size: 21 kDa

Observed band size: 22 kDa

false

Key facts

Host species

Rabbit

Clonality

Monoclonal

Clone number

EPR13525

Isotype

IgG

Carrier free

Yes

Reacts with

Human

Applications

IHC-P, IP, WB, ICC/IF, Flow Cyt (Intra)

applications

Immunogen

The exact immunogen used to generate this antibody is proprietary information.

Reactivity data

{ "title": "Reactivity Data", "filters": { "stats": ["", "Species", "Dilution Info", "Notes"], "tabs": { "all-applications": {"fullname" : "All Applications", "shortname": "All Applications"}, "IHCP" : {"fullname" : "Immunohistochemistry (Formalin/PFA-fixed paraffin-embedded sections)", "shortname":"IHC-P"}, "ICCIF" : {"fullname" : "Immunocytochemistry/ Immunofluorescence", "shortname":"ICC/IF"}, "IP" : {"fullname" : "Immunoprecipitation", "shortname":"IP"}, "WB" : {"fullname" : "Western blot", "shortname":"WB"}, "FlowCytIntra" : {"fullname" : "Flow Cytometry (Intracellular)", "shortname":"Flow Cyt (Intra)"} }, "product-promise": { "all": "all", "testedAndGuaranteed": "tested", "guaranteed": "expected", "predicted": "predicted", "notRecommended": "not-recommended" } }, "values": { "Human": { "IHCP-species-checked": "testedAndGuaranteed", "IHCP-species-dilution-info": "", "IHCP-species-notes": "<p></p>", "ICCIF-species-checked": "testedAndGuaranteed", "ICCIF-species-dilution-info": "", "ICCIF-species-notes": "<p></p>", "IP-species-checked": "testedAndGuaranteed", "IP-species-dilution-info": "", "IP-species-notes": "<p></p>", "WB-species-checked": "testedAndGuaranteed", "WB-species-dilution-info": "", "WB-species-notes": "<p></p>", "FlowCytIntra-species-checked": "testedAndGuaranteed", "FlowCytIntra-species-dilution-info": "", "FlowCytIntra-species-notes": "<p></p>" }, "Mouse": { "IHCP-species-checked": "predicted", "IHCP-species-dilution-info": "", "IHCP-species-notes": "", "ICCIF-species-checked": "predicted", "ICCIF-species-dilution-info": "", "ICCIF-species-notes": "", "IP-species-checked": "predicted", "IP-species-dilution-info": "", "IP-species-notes": "", "WB-species-checked": "predicted", "WB-species-dilution-info": "", "WB-species-notes": "", "FlowCytIntra-species-checked": "predicted", "FlowCytIntra-species-dilution-info": "", "FlowCytIntra-species-notes": "" } } }

Product details

ab250393 is the carrier-free version of ab181167.

Patented technology
Our RabMAb® technology is a patented hybridoma-based technology for making rabbit monoclonal antibodies. For details on our patents, please refer to RabMAb® patents.

What are the advantages of a recombinant monoclonal antibody?
This product is a recombinant monoclonal antibody, which offers several advantages including:

  • - High batch-to-batch consistency and reproducibility
  • - Improved sensitivity and specificity
  • - Long-term security of supply
  • - Animal-free batch production

For more information, read more on recombinant antibodies.

Conjugation ready
Our carrier-free antibodies are typically supplied in a PBS-only formulation, purified and free of BSA, sodium azide and glycerol. This conjugation-ready format is designed for use with fluorochromes, metal isotopes, oligonucleotides, and enzymes, which makes them ideal for antibody labelling, functional and cell-based assays, flow-based assays (e.g. mass cytometry) and Multiplex Imaging applications.

Use our conjugation kits for antibody conjugates that are ready-to-use in as little as 20 minutes with 1 minute hands-on-time and 100% antibody recovery: available for fluorescent dyes, HRP, biotin and gold.

Compatibility
This product is compatible with the Maxpar® Antibody Labeling Kit from Fluidigm, without the need for antibody preparation. Maxpar® is a trademark of Fluidigm Canada Inc.

Properties and storage information

Form
Liquid
Purification technique
Affinity purification Protein A
Storage buffer
pH: 7.2 - 7.4 Constituents: PBS
Shipped at conditions
Blue Ice
Appropriate short-term storage conditions
+4°C
Appropriate long-term storage conditions
+4°C
Storage information
Do Not Freeze

Product protocols

For this product, it's our understanding that no specific protocols are required. You can visit:

Target data

Non-catalytic component of the RNA exosome complex which has 3'->5' exoribonuclease activity and participates in a multitude of cellular RNA processing and degradation events. In the nucleus, the RNA exosome complex is involved in proper maturation of stable RNA species such as rRNA, snRNA and snoRNA, in the elimination of RNA processing by-products and non-coding 'pervasive' transcripts, such as antisense RNA species and promoter-upstream transcripts (PROMPTs), and of mRNAs with processing defects, thereby limiting or excluding their export to the cytoplasm. The RNA exosome may be involved in Ig class switch recombination (CSR) and/or Ig variable region somatic hypermutation (SHM) by targeting AICDA deamination activity to transcribed dsDNA substrates. In the cytoplasm, the RNA exosome complex is involved in general mRNA turnover and specifically degrades inherently unstable mRNAs containing AU-rich elements (AREs) within their 3' untranslated regions, and in RNA surveillance pathways, preventing translation of aberrant mRNAs. It seems to be involved in degradation of histone mRNA. The catalytic inactive RNA exosome core complex of 9 subunits (Exo-9) is proposed to play a pivotal role in the binding and presentation of RNA for ribonucleolysis, and to serve as a scaffold for the association with catalytic subunits and accessory proteins or complexes. EXOSC1 as peripheral part of the Exo-9 complex stabilizes the hexameric ring of RNase PH-domain subunits through contacts with EXOSC6 and EXOSC8.
See full target information EXOSC1

Publications (1)

Recent publications for all applications. Explore the full list and refine your search

Evidence-based complementary and alternative medicine : eCAM 2022:7757833 PubMed36091585

2022

Esculentoside A Alleviates Intestinal Dysmotility in Ulcerative Colitis by Regulating HS/CSE and NO/nNOS Systems.

Applications

Unspecified application

Species

Unspecified reactive species

Ying Liu,Wenhua Wei,Shiwei Liang,Haicheng Fang,Jie Cao
View all publications

Product promise

We are committed to supporting your work with high-quality reagents, and we're here for you every step of the way. In the unlikely event that one of our products does not perform as expected, you're protected by our Product Promise.
For full details, please see our Terms & Conditions

Please note: All products are 'FOR RESEARCH USE ONLY. NOT FOR USE IN DIAGNOSTIC OR THERAPEUTIC PROCEDURES'.

For licensing inquiries, please contact partnerships@abcam.com