JavaScript is disabled in your browser. Please enable JavaScript to view this website.
AB155774

Anti-CSN2 antibody

Be the first to review this product! Submit a review

|

(4 Publications)

Rabbit Polyclonal CSN2 antibody. Suitable for IHC-P, WB, ICC/IF and reacts with Human samples. Cited in 4 publications. Immunogen corresponding to Synthetic Peptide within Human COPS2 aa 350 to C-terminus.

View Alternative Names

CSN2, TRIP15, COPS2, COP9 signalosome complex subunit 2, SGN2, Signalosome subunit 2, Alien homolog, JAB1-containing signalosome subunit 2, Thyroid receptor-interacting protein 15, TR-interacting protein 15, TRIP-15

3 Images
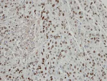
Immunohistochemistry (Formalin/PFA-fixed paraffin-embedded sections) - Anti-CSN2 antibody (AB155774)
  • IHC-P

Unknown

Immunohistochemistry (Formalin/PFA-fixed paraffin-embedded sections) - Anti-CSN2 antibody (AB155774)

Immunohistochemical analysis of paraffin-embedded Human Mahlavu xenograft tissue, labeling CSN2 with ab155774 at 1/100 dilution.

Immunocytochemistry/ Immunofluorescence - Anti-CSN2 antibody (AB155774)
  • ICC/IF

Unknown

Immunocytochemistry/ Immunofluorescence - Anti-CSN2 antibody (AB155774)

Immunofluorescence analysis of paraformaldehyde-fixed HeLa, labeling CSN2 with ab155774 at 1/500 dilution. Blue : Hoechst 33342 staining.

Western blot - Anti-CSN2 antibody (AB155774)
  • WB

Unknown

Western blot - Anti-CSN2 antibody (AB155774)

10% SDS PAGE

All lanes:

Western blot - Anti-CSN2 antibody (ab155774) at 1/1000 dilution

Lane 1:

A431 whole cell lysate at 30 µg

Lane 2:

H1299 whole cell lysate at 30 µg

Lane 3:

HeLa whole cell lysate at 30 µg

Predicted band size: 52 kDa

false

Key facts

Host species

Rabbit

Clonality

Polyclonal

Isotype

IgG

Carrier free

No

Reacts with

Human

Applications

WB, IHC-P, ICC/IF

applications

Immunogen

Synthetic Peptide within Human COPS2 aa 350 to C-terminus. The exact immunogen used to generate this antibody is proprietary information.

P61201

Reactivity data

{ "title": "Reactivity Data", "filters": { "stats": ["", "Species", "Dilution Info", "Notes"], "tabs": { "all-applications": {"fullname" : "All Applications", "shortname": "All Applications"}, "IHCP" : {"fullname" : "Immunohistochemistry (Formalin/PFA-fixed paraffin-embedded sections)", "shortname":"IHC-P"}, "WB" : {"fullname" : "Western blot", "shortname":"WB"}, "ICCIF" : {"fullname" : "Immunocytochemistry/ Immunofluorescence", "shortname":"ICC/IF"} }, "product-promise": { "all": "all", "testedAndGuaranteed": "tested", "guaranteed": "expected", "predicted": "predicted", "notRecommended": "not-recommended" } }, "values": { "Human": { "IHCP-species-checked": "testedAndGuaranteed", "IHCP-species-dilution-info": "1/100 - 1/1000", "IHCP-species-notes": "<p></p> Perform heat-mediated antigen retrieval with citrate buffer pH 6 before commencing with IHC staining protocol.", "WB-species-checked": "testedAndGuaranteed", "WB-species-dilution-info": "1/500 - 1/3000", "WB-species-notes": "<p></p>", "ICCIF-species-checked": "testedAndGuaranteed", "ICCIF-species-dilution-info": "1/100 - 1/1000", "ICCIF-species-notes": "<p></p>" }, "Mouse": { "IHCP-species-checked": "predicted", "IHCP-species-dilution-info": "", "IHCP-species-notes": "", "WB-species-checked": "predicted", "WB-species-dilution-info": "", "WB-species-notes": "", "ICCIF-species-checked": "predicted", "ICCIF-species-dilution-info": "", "ICCIF-species-notes": "" }, "Rat": { "IHCP-species-checked": "predicted", "IHCP-species-dilution-info": "", "IHCP-species-notes": "", "WB-species-checked": "predicted", "WB-species-dilution-info": "", "WB-species-notes": "", "ICCIF-species-checked": "predicted", "ICCIF-species-dilution-info": "", "ICCIF-species-notes": "" }, "Chicken": { "IHCP-species-checked": "predicted", "IHCP-species-dilution-info": "", "IHCP-species-notes": "", "WB-species-checked": "predicted", "WB-species-dilution-info": "", "WB-species-notes": "", "ICCIF-species-checked": "predicted", "ICCIF-species-dilution-info": "", "ICCIF-species-notes": "" }, "Cow": { "IHCP-species-checked": "predicted", "IHCP-species-dilution-info": "", "IHCP-species-notes": "", "WB-species-checked": "predicted", "WB-species-dilution-info": "", "WB-species-notes": "", "ICCIF-species-checked": "predicted", "ICCIF-species-dilution-info": "", "ICCIF-species-notes": "" }, "Monkey": { "IHCP-species-checked": "predicted", "IHCP-species-dilution-info": "", "IHCP-species-notes": "", "WB-species-checked": "predicted", "WB-species-dilution-info": "", "WB-species-notes": "", "ICCIF-species-checked": "predicted", "ICCIF-species-dilution-info": "", "ICCIF-species-notes": "" }, "Pig": { "IHCP-species-checked": "predicted", "IHCP-species-dilution-info": "", "IHCP-species-notes": "", "WB-species-checked": "predicted", "WB-species-dilution-info": "", "WB-species-notes": "", "ICCIF-species-checked": "predicted", "ICCIF-species-dilution-info": "", "ICCIF-species-notes": "" }, "Xenopus laevis": { "IHCP-species-checked": "predicted", "IHCP-species-dilution-info": "", "IHCP-species-notes": "", "WB-species-checked": "predicted", "WB-species-dilution-info": "", "WB-species-notes": "", "ICCIF-species-checked": "predicted", "ICCIF-species-dilution-info": "", "ICCIF-species-notes": "" }, "Xenopus tropicalis": { "IHCP-species-checked": "predicted", "IHCP-species-dilution-info": "", "IHCP-species-notes": "", "WB-species-checked": "predicted", "WB-species-dilution-info": "", "WB-species-notes": "", "ICCIF-species-checked": "predicted", "ICCIF-species-dilution-info": "", "ICCIF-species-notes": "" } } }

Properties and storage information

Form
Liquid
Purification technique
Affinity purification Immunogen
Storage buffer
pH: 7 Preservative: 0.01% Thimerosal (merthiolate) Constituents: 10% Glycerol (glycerin, glycerine), 1.21% Tris, 0.75% Glycine
Shipped at conditions
Blue Ice
Appropriate short-term storage conditions
+4°C
Appropriate long-term storage conditions
-20°C
Aliquoting information
Upon delivery aliquot
Storage information
Avoid freeze / thaw cycle

Product protocols

For this product, it's our understanding that no specific protocols are required. You can visit:

Target data

Essential component of the COP9 signalosome complex (CSN), a complex involved in various cellular and developmental processes. The CSN complex is an essential regulator of the ubiquitin (Ubl) conjugation pathway by mediating the deneddylation of the cullin subunits of SCF-type E3 ligase complexes, leading to decrease the Ubl ligase activity of SCF-type complexes such as SCF, CSA or DDB2. The complex is also involved in phosphorylation of p53/TP53, c-jun/JUN, IkappaBalpha/NFKBIA, ITPK1 and IRF8/ICSBP, possibly via its association with CK2 and PKD kinases. CSN-dependent phosphorylation of TP53 and JUN promotes and protects degradation by the Ubl system, respectively. Involved in early stage of neuronal differentiation via its interaction with NIF3L1.
See full target information COPS2

Publications (4)

Recent publications for all applications. Explore the full list and refine your search

iScience 26:106468 PubMed37091236

2023

Latent CSN-CRL complexes are crucial for curcumin-induced apoptosis and recruited during adipogenesis to lipid droplets via small GTPase RAB18.

Applications

Unspecified application

Species

Unspecified reactive species

Dawadschargal Dubiel,Jing Wang,Roland Hartig,Supattra Chaithongyot,Wolfgang Dubiel,Michael Naumann

Cellular and molecular life sciences : CMLS 79:461 PubMed35913642

2022

USP48 and A20 synergistically promote cell survival in Helicobacter pylori infection.

Applications

Unspecified application

Species

Unspecified reactive species

Phatcharida Jantaree,Supattra Chaithongyot,Olga Sokolova,Michael Naumann

Molecular metabolism 39:101012 PubMed32408015

2020

Exercise training reverses cancer-induced oxidative stress and decrease in muscle COPS2/TRIP15/ALIEN.

Applications

Unspecified application

Species

Unspecified reactive species

Christiano R R Alves,Willian das Neves,Ney R de Almeida,Eric J Eichelberger,Paulo R Jannig,Vanessa A Voltarelli,Gabriel C Tobias,Luiz R G Bechara,Daniele de Paula Faria,Maria J N Alves,Lars Hagen,Animesh Sharma,Geir Slupphaug,José B N Moreira,Ulrik Wisloff,Michael F Hirshman,Carlos E Negrão,Gilberto de Castro,Roger Chammas,Kathryn J Swoboda,Jorge L Ruas,Laurie J Goodyear,Patricia C Brum

Leukemia 33:171-180 PubMed30026574

2018

A genome-scale CRISPR-Cas9 screening in myeloma cells identifies regulators of immunomodulatory drug sensitivity.

Applications

Unspecified application

Species

Unspecified reactive species

Jiye Liu,Tianyu Song,Wenrong Zhou,Lijie Xing,Su Wang,Matthew Ho,Zhengang Peng,Yu-Tzu Tai,Teru Hideshima,Kenneth C Anderson,Yong Cang
View all publications

Product promise

We are committed to supporting your work with high-quality reagents, and we're here for you every step of the way. In the unlikely event that one of our products does not perform as expected, you're protected by our Product Promise.
For full details, please see our Terms & Conditions

Please note: All products are 'FOR RESEARCH USE ONLY. NOT FOR USE IN DIAGNOSTIC OR THERAPEUTIC PROCEDURES'.

For licensing inquiries, please contact partnerships@abcam.com